ALK-positive lymphoma, variant of ALCL

PathologyAtlas-ALK-positive ALCL VS-OK

ALK-positive anaplastic large cell lymphoma-Case02

CT01.jpg

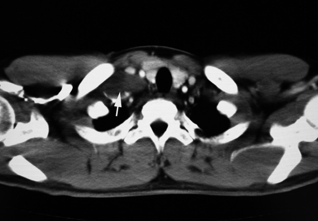
31歳男性 胸腺・頸部腫瘤

頸部の腫瘤に気づく. 次第に大きくなり受診。頸部腫瘤以外に, 発熱など症状はない。 CTで胸腺に最大の腫瘤が認められ、鎖骨上窩、頸部リンパ節腫大が認められた。肝・脾腫なし。腹部腫瘤は認められない。LDH 192IU/L, sIL-2R 5515 高値。

頸部リンパ節病理組織所見

Virtual Slideの閲覧--->頸部リンパ節 右クリックで新しいウィンドウで開くと便利です。

 

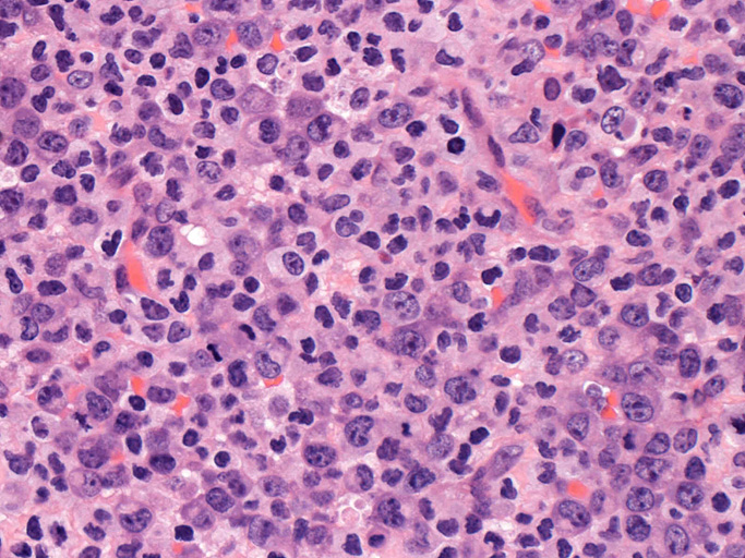
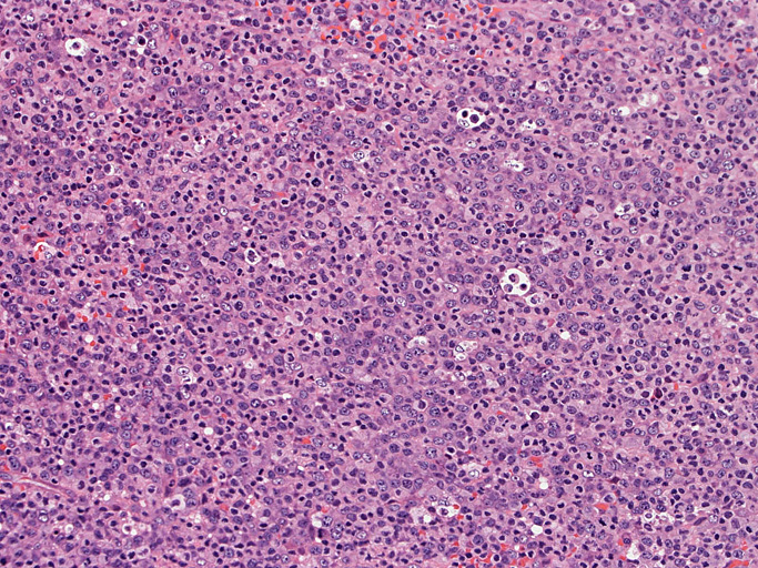
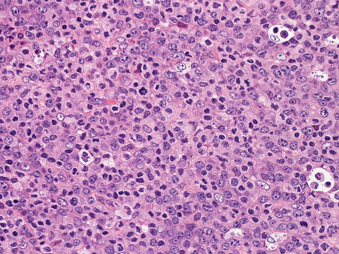
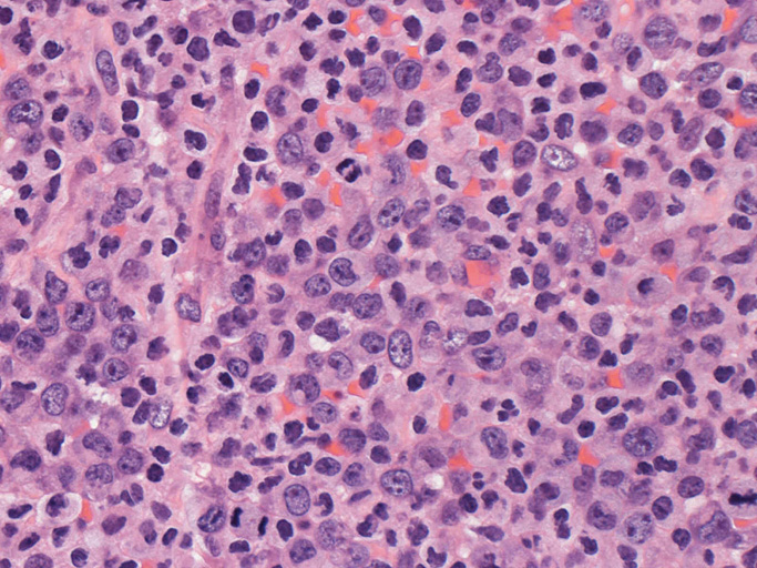
いわゆるanaplastic large cellと呼ぶ多型または腎臓型核をもった大型細胞の増殖はみられない。centroblastに似る円形, 卵円形, わずかに切れ込みをもつ核をもつ大型細胞が索状または地図様に集ぞくし, 背景には淡明な細胞質としわのよったhypercrhomaticな核をもつ細胞がシート状に認められる。二種類の細胞がHEでは認められる。
ALK-positive ALCLのvariant, lymphohistiocytic variantが近いと考える

 
HE01mpf.jpg
HE02.jpg
HE05.jpg
HE06.jpg
x100HEx200HEx400HEx400HE

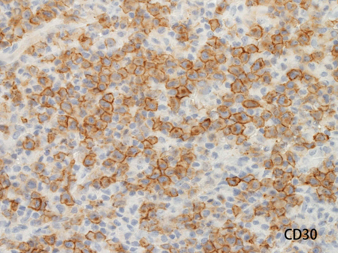
免疫染色所見

 
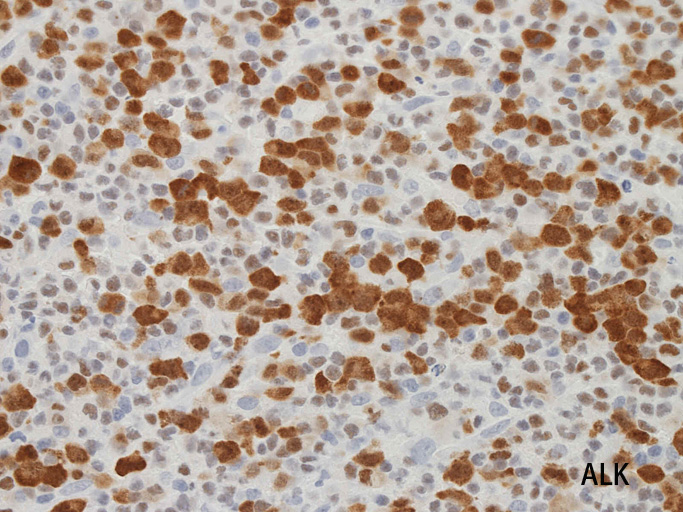
ALK01.jpg
ALK02.jpg
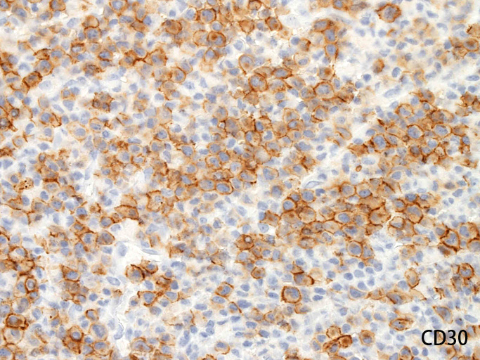
CD30.jpg
CD30b_01.jpg
ALKALKCD30CD30
CD3_01.jpg
CD20_01.jpg
UCHL1_01.jpg
CD3CD20CD45RO

ALK/p80が細胞質・核に陽性となる。大型類円形核の細胞以外に, やや小型の類円形細胞に陽性細胞が認められるようです。背景細胞の多くはALK陰性。

ALKは核, 細胞質いずれにもびまん性に染まるパターンです。CD3, CD20は陰性でnull cellの様ですがCD45RO(UCHL-1)が膜に陽性となっています。


トップ   新規 一覧 検索 最終更新   ヘルプ   最終更新のRSS