Wikipathologica-KDP

PathologyAtlas

Acute monoblastic/ monocytic leukaemia 急性単芽球性白血病と急性単球性白血病

急性単芽球性白血病と急性単球性白血病の病理

Acute monoblastic/monocytic leukaemia生物学的に多様な疾患のグループであり以下の白血病を含む

FAB分類

myeloblast + monoblast + promonocytesが≧30% を占める
SBB+ / MPO+ の顆粒球系cellsは<20% である
nonspecific esterase positive cells>80%:80%以上の細胞は非特異的エステラーゼが陽性です
monoblast predominate in M5a :単芽球優位なのはM5a
promonocyte predominate in M5b :前単芽球が優位なのはM5bです。末梢血は単球が増加

WHO分類(ICD-O code 9891/3)

白血病細胞の≧80% が単球系の細胞でmonoblast+promonocyte+monocyteから構成される
<20% はneutrophilic lineageが占めてもよい(SBB+/MPO+)

単球系白血病細胞のほとんど(>80%のことが多い)が単芽球であるタイプ
=> acute monoblastic leukaemia

単球系白血病細胞のほとんどがPromonocyte(前単球). 末梢血は単球
=> acute monocytic leukaemia

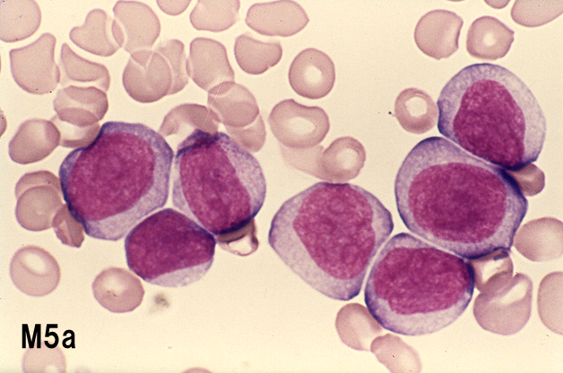
急性単芽球性白血病(FAB-M5a)

AML-M5aSmear.png

単芽球の形態(骨髄スメア標本):
やや大型, N/C比は小, 核は類円形あるいは脳回状(convoluted:渦巻き状の,回旋状の,曲がりくねったの意)で細胞質の中央部に位置し核網は繊細, 1-3個の明瞭な核小体が見られる. 細胞質は淡灰青色でゆったりとして豊か. 一部の芽球細胞質に微細なゴミ様のアズール顆粒を見ることがある. 細胞膜が偽足様突起をもつものあり.
Auer小体はきわめてまれ
(クリックで大きな画像が見られます)

前単球 promonocyte; 核は不規則なくびれや脳回様陥入(cleaved )をともなって形状は不整.細胞質は単芽球よりも青みがやや弱く, 多数のアズール顆粒をもつ. 空胞も認められる

 
AML-M5a1-160Giemsa.png

M5a
Bone marrow clot section:
この標本では貪食像が顕著でStarry-Sky appearanceを示しています。(May-Giemasa)

#img(): File not found:
 

Acute monoblastic leukaemia, AML-M5(FAB-M5a)

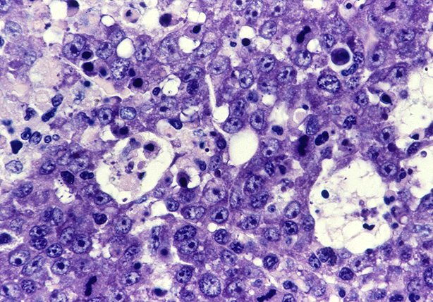
Case01 骨髄組織病理

IWT case yo male.

File not found: BMclot-M5a01-01_s.jpgFile not found: BMclot-M5a01-02_s.jpg
ASD-GiemsaASD-Giemsa

ASDに染まらない, 異常細胞の密な増殖がある. 核クロマチンは繊細. 核小体が1-2個認められる細胞が多い. 類円形/長円形核が見られる他, 切れ込みのある核, 勾玉状, ねじれのある核が認められる.
細胞質は好塩基性, N/C比大の細胞の他, 比較的広い細胞質をもつ細胞も認められる. はっきりした骨髄芽球とは印象の異なる細胞. リンパ腫細胞のようにも見える.

芽球増多の中に結構多くのMgkや, 形質細胞の混在がある. Mgkには小型Mgkや, 低分葉, 分離核Mgkなど異形成を示す細胞があるようです.

 

phenotype:

単芽球 monoblastsは CD34に染まらない(Mgkが淡く染色されている). CD117(C-KIT)が単芽球にCD34よりも良くそまると記載する教科書もあるが, 本例ではごく少数の芽球細胞が陽性を示すのみであった.

File not found: 3846a-CD34_s.jpgFile not found: 3846a-CD117_s.jpg
CD34CD117

CD34, C-KIT いずれも腫瘍細胞は陰性を呈する. MPO(Naphtol-ASD-CAE染色で代用可)とlysozymeを染色し, 陽性陰性細胞を比べ, MPO+ << lysozyme+ が参考になる.

File not found: 3846a-CD33_s.jpgFile not found: 3846a-CD163_s.jpgFile not found: 3846a-CD68PG-M1_s.jpgFile not found: 3846a-CD68KP-1_s.jpg
CD33CD163CD68, PG-M1CD68 KP-1

CD33はびまん性に陽性. CD163, CD68 クローンPG-M1, KP-1が多くの細胞に陽性を示している. MPOは陰性であった.

骨髄細胞所見/ 末梢血細胞所見

File not found: BMsmear-M5a01-01_s.jpgFile not found: BMsmear-M5a01-02_s.jpgFile not found: PB-M5a01-01_s.jpg
BM smear, May-GiemsaBM smear, May-Giemsa末梢血 smear, May-Giemsa

Case02 骨髄組織病理

IWT case yo male

Acute monocytic leukaemia, AML-NOS M5 (FAB-M5b)

Case03 骨髄病理組織

IWT case 40歳代後半 female

37℃台の発熱, 上肢の掻痒感がある紅斑が出現. 近医を受診し投薬を受けたが, 倦怠感が持続し食欲がなく1週間で体重が7kg減少した. 2週間後に歯肉腫脹が出現する. ふらつきが強くなり再受診. 汎血球減少あり紹介受診となる.

File not found: HE01hpf_s.jpgFile not found: HE02mpf_s.jpgFile not found: HE03mpf_s.jpgFile not found: Naphtol-ASD-CAE03hpf_s.jpg
HEHEHENaphtol-ASD-CAE-Giemsa
 
File not found: 5810-smear03_s.jpgFile not found: 5810-smear05_s.jpgFile not found: 5810-smear01_s.jpg
BM smear x60BM smear x60BM smear x60
 
 

細胞化学染色Cytochemical Stains===>細胞化学技術についての解説

非特異的エステラーゼ染色

AML-M5a1-155ANAE.png

非特異的エステラーゼ染色 スメア標本にのみ有効で, 骨髄組織には適応できない.

AML-M5a1-156ANBE.png
#img(): File not found:
 

臨床的特徴

M5a(単芽球性白血病)

M5b(単球性白血病)

臨床症状

t(9;11)(p22;q23): MLLT3-MLLを伴う急性白血病


トップ   新規 一覧 検索 最終更新   ヘルプ   最終更新のRSS