Wikipathologica-KDP
WikiPathologica
Acute promyelocytic leukaemia(APL), AML-M3†
骨髄中に異常前骨髄球様細胞が増加する。致死的なcoagulopathyと形態的特徴により他の白血病と画然と区別される。日本では白血病の10-15%
病理組織,細胞所見†
形態的にhypergranular(classical) APLとmicrogranular (hypogranular) APL の2型がみられる。
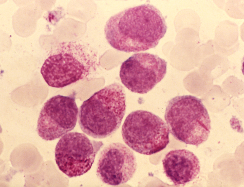
■ Hypergranular APL
- APL症例の70-80%を占める。末梢血では, ほとんどがleukocytopenia(平均白血球数は1800/μl)を呈する。
- 芽球が増加していないことも多いが、異常前骨髄球細胞が8割ほどに増加するので診断は比較的容易。
- 異常前骨髄球は, 大型細胞でN/C比は低め, 細胞質は粗いアズール顆粒が密集して核の辺縁が不明瞭になるほどが特徴。核縁が見える場合, 類円型または嵌入した腎臓型をしている。
- ほとんど全症例で芽球,前骨髄球に10-20個, それ以上のAuer rodsが出現し, faggot cellと呼ばれる。fagotto(=薪の束、イタリア語)
- 成熟白血球にdysplatic changeやAuer rodが出現する場合がある。
- 骨髄clot section, trephine biopsyでは一般的にhypercellular, よい標本ではAuer rodが見られる。増殖細胞はNaphtol-ASD-CAE,免疫染色MPOが強陽性に染まる。
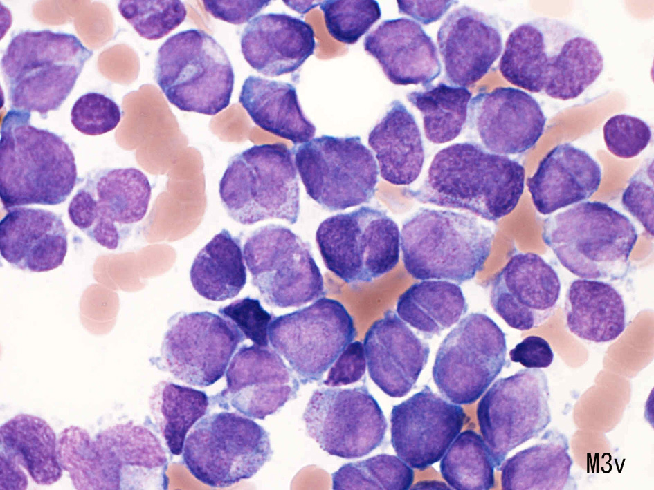
■ Microgranular(hypogranular)APL (M3variant)
- APLの20-30%を占める. 末梢は前骨髄球の増加によりleukocytosisがある(平均白血球数は42000/μl)
- 増殖細胞の多くはアズール顆粒が非常に繊細であるため、光顕で見るのが困難である。
- variant typeの異常前骨髄球は大型で比較的小さなN/C比を示す。核は通常, 分葉lobulatedあるいは切れ込みinvaginatedが認められ単球の核に似ている。
- 顆粒は核の切れ込みのところに集中して見られることが多い
- ほとんどのmicrogranular typeには典型的なhypergranular APL細胞が小集団として出現する
- 過塩基性細胞質をもつ小型前骨髄球が出現するがこれはhypergranular typeにも見られる
- ほぼ全例にfaggot cellが見られるが、数は多くない.
- 1-3個のAuer bodyをもつ芽球と前骨髄球が通常認められる
- MPO, Naphtol-ASD-CAE, SBBには強陽性を示す
■APLの遺伝子異常
- t(15;17)(q22;q11-12)はAPLに特異的な染色体転座とされる。de novo, 治療関連APLの90%の症例に検出される。hypergranular, microgranularいずれにも出現する。
転座により15q22のPML(promyelocytic leukemia)geneと17qのRARA(retinoic acid receptor-alpha)geneのfusion が発生しfusion productが産生される。PMLは Zinc finger binding transcription factorをencodeする遺伝子。切断部位は大部分RARAの第二イントロンにあり, ついで第3イントロンにあるとされる。
- PML-RARAのfusion geneは転座が検出されないAPLにも証明されておりAPLに特異な遺伝子異常とされる。
- fusion geneにはPML/RARA, RARA/PMLの2つがおこり両方のmRNAが発現しているが、PML/RARAの方がより病態に重要な働きをしていると考えられている。
APLのvariant translocation-- t(11;17)(q23.2;q12),t(11;17)(q13.4;q12)と t(5;17)(q35.1;q12)がWHO分類のAPL variant translocationに記載されている
- t(11;17)(q23.2;q12) ZBTB16-RARA
- 11番染色体にある 9 Zinc finger motif, ZBTB16(以前は, PLZF: promyelocytic leukemia zinc finger)とRARAのfusion geneができる。形態ではM2/M3中間型, 典型的なhypergranular M3の症例が報告されている。レチノイン酸治療には一般に反応しない。
ZBTB16はKrueppel C2H2-type zinc-finger protein familyの一員で, C末端に9つのKruppel-type zinc fingerドメインをもつzinc finger転写因子をコードする. このタンパクはcell cycleの進行に関与し, ヒストン脱アセチル化と相互に反応する.
この遺伝子座の異常な遺伝子再編成は、急性前骨髄球性白血病(APL)発症に関連している。11q23.2 に限局し, 13 exon.
この転座によるAPLは形態的な違いが認められる.--regular nuclei(核がそろっている)がほとんど, 顆粒が多数で通常Auer rodsを欠く. Pelger異常を示す好中球が増加する. MPO活性が強い.
- t(11;17)(q13.4;q12)
- 11q13のNUMA1(nuclear mitotic apparatus protein 1)がRARAとfusion geneをつくりAPL発症の原因となる。
- t(5;17)(q35.1;q12) NPM1-RARA
- さらにまれなvariant translocation, レチノイン酸治療に反応しない. *1
- STAT5B-RARA
- STAT5B(17q21.2). G-banding法では17番染色体はnormalに見える.all-trans レチノイン酸治療に反応する症例が報告された.*2
ZBTB16/RARA, STAT5B/RARA転座症例は, all-trans retinoic acid, arsenic trioxide(ヒ素), および anthracyclinesに抵抗を示す.*3
- trisomy 8がしばしばAML-M3に認められることがあり, 疾患の増悪に関係している可能性がある。
Acute promyelocytic leukaemiaの症例†
■症例01 58歳 男性 AML-M3 variant
■症例02 67歳 男性 AML-M3 非定型例
■症例03 22歳 女性 AML-M3 非定型例
■症例04 48歳 女性 AML-M3 非定型例