Wikipathologica-KDP

PathologyAtlas

wikiのページでは文字列をクリックすると関連ページにとんで閲覧することができます。 アクティブな文字列は茶色や青色になっています。

このページのコンテンツ。

 

ATLL, リンパ腫型, 急性型の症例

Adult T-cell leukaemia/ lymphoma, systemic lymphadenopathy and interstitial pneumonia

case 01: 78 year-old male

嘔気, 食思不振で来院. 腋窩鼠径部リンパ節腫大あり。LDH高値、末梢血中に異常リンパ球が出現。CTで全身性多発リンパ節腫大を認め悪性リンパ腫白血化を疑い入院精査。沖縄出身. 家族歴に血液疾患はない。

File not found: ATL-loupe-Toume_s.jpg File not found: HE-Toume_s.jpg File not found: HE-Toume01_s.jpg サムネイルのクリックで大きな画像が見られます。

リンパ節はT細胞リンパ腫なので大きくない(12mmほど). びまん性に中-大型異型リンパ球がシート状密に増殖している。

一般にT細胞リンパ腫のリンパ節は小さい(1-2cmほど). 一方, B細胞リンパ腫のリンパ節は大きくなりbulky massも認められるようになる。(中村栄男先生)

 

免疫染色

  File not found: CD3-Toume01_s.jpg File not found: CD5-Toume01_s.jpg File not found: CD25-Toume01_s.jpg CD3陽性T細胞であるがCD3の染色態度は通常と異なる。CD25陽性. CD5は発現していない細胞が多い。

 

CCR4免疫染色(ポテリジオテスト)

CCR4-Toume.jpg

flow cytometryの結果--->File not found: FCM-Fig_s.jpg File not found: FCM-Dot_s.jpg T-cell markerの異常発現が確認される。

腫瘍細胞はCD4+, CD25+で, CCR4が免疫染色(ポテリジオテスト)で, びまん性に陽性となっている。T-cell markerのCD5, CD7の発現はみられない細胞が多い.

 
 

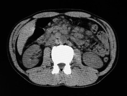
Adult T cell leukaemia/lymphoma, abdominal lymphadenopathy

ATLCT01.jpg

case 02: 50 year-old male.

突然発症した両季肋下痛で受診。BT37℃, CTで多数の腹膜リンパ節腫大を指摘される。ATLV-1陽性, sIL-2R 21100. LDH 465IU/L
CBC: WBC4800, RBC412x104;, ly18%, plt40x104;で, 末梢血に異常リンパ球の増殖はみとめられなかった。

 
 
 

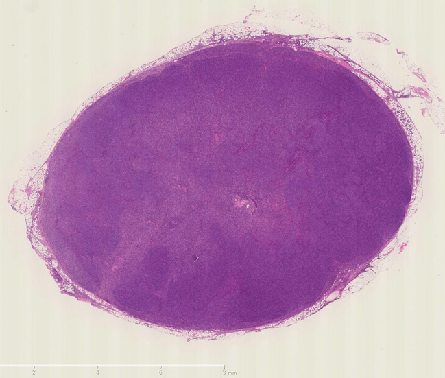
腹膜リンパ節生検組織

 

flow cytometryの結果--->File not found: flow01_s.jpg File not found: flow02_s.jpg

増殖細胞はCD4+, CD25+. ATLLの腫瘍細胞は通常CD7陰性であるが本症例では CD7は陽性が多い。

 
 
 
 

病理組織診断: Adult T cell lymphoma---> 腹膜リンパ節の病理組織所見

ATL_HE01web.jpg 病理組織像のPDFファイルが見られます。
組織画像を右クリック, 新しいタブで開くを選んでクリックするとログインboxが現れます。Sign in as guestでログインしてください。

小型から中型リンパ球を背景にHodgkin cell, Mirror image cellなどHodgkin lymphoma, LPに似た組織像を呈する症例のようです. CD3, CD4がびまん性に陽性を示します.

 
 

Adult T cell leukaemia/lymphoma; hypercalcemia, acute type

Case03 71yo male.

南九州出身. 腰痛, 肩のはり, 傾眠傾向で受診. CTで全身リンパ節腫大, 脾腫あり. 末梢血で異常リンパ球増多.高カルシウム血症あり.

WBC53600/μl, atypical lymphocytes 81%, Hb12.3g/dl, plt. 32.2x104/μl, TP5.7g/dl, Alb 3.7g/dl, LDH876IU/L, BUN17, Cre1.09, Ca 15.9mg/dl, CRP0.30. sIL2-R 41100.

 

骨髄病理組織

File not found: ATLLacuteASD01_s.jpgFile not found: ATLLacuteASD02_s.jpgFile not found: ATLLacuteASD03_s.jpgFile not found: ATLLacuteASD04_s.jpg
ASD-GiemsaASD-GiemsaASD-GiemsaASD-Giemsa

髄内にCAE陰性の細胞がシート状密に増殖しnodularな病変が散在する.

 

骨髄および末梢血細胞像

File not found: ATLLacuteASD05_s.jpgFile not found: ATLLacuteASD06_s.jpgFile not found: ATLLacutePB01_s.jpgFile not found: ATLLacutePB02_s.jpg
ASD-GiemsaASD-GiemsaPB;May-GiemsaPB:May-Giemsa

核大ASD-Giemsaでは, 多稜形, 類円形, くびれやねじれた核をもつN/C比大の細胞で核小体をもつ細胞も多い.
クロマチンは比較的繊細. リンパ腫細胞のbone marrow involvementが鑑別にあがる.

 

骨髄組織免疫染色

File not found: ATLL-CD3_s.jpgFile not found: ATLL-CD5_s.jpgFile not found: ATLL-CD20_s.jpg
CD3CD5CD20

通常CD3と同等かそれ以上(B-cellが薄く染まるので)に染まるCD5陽性細胞が少なくなっている.

 
File not found: ATLLacute_CD4_s.jpgFile not found: ATLLacute_CD8_s.jpgFile not found: ATLLacute_CD25_s.jpg
CD4CD8CD25

腫瘍細胞はCD4+, CD25+ の細胞(下図 FCMでは43.1%)

 
 

FCM

FCMhisto.jpg FCMdot.jpg

panT-cell markerの異常発現がある. CD2, CD4, CD25陽性細胞が増多. CD3, CD5, CD7の発現不全あり. Peripheral T-cell lymphomaの骨髄病変に矛盾無く, ATLLもDDxになる.

典型的なATL細胞はCD7陰性で, CD3は発現が低下していることが多い.

 

HTLV-I/ II(CLIA) (S/CO) 234.41

 

核型:

46,XY,add(2)(p13),del(9)(q?),add(10)(q22),-13,-16,add(17)(q21.2),-20,+mar1,+mar2,+mar3[7]/45,X,-Y[3]/46,XY[4] 20細胞中16細胞に異常あり.

核型photo;

HTLV-1の感染検査- ATLおよびHTLV-1キャリア診断のための検査

・成人T細胞白血病の原因ウイルスであるHTLV-Ⅰの抗体価を測定する検査と核酸検査がある.
・HTLV-Ⅰ抗体検査には、PA法、CLIA法、ウェスタンブロット(WB)法があり、PA法とCLIA法はスクリーニング検査.確認検査にはWB法を用いる.

多くの被検者は、たとえ一次検査が陽性であっても、確認検査で陽性と確定されない限り「HTLV-1感染(症)」とは診断されないことを知らない。

医療者は一次検査の結果が陽性であった場合には、被検者に「一次検査の結果が陽性であり、これから確認検査を行うこと、確認検査の結果が出るまで感染は明らかでないこと」を確実に理解してもらう必要がある。
被検者に「一次検査が陽性であることがHTLV-1感染(症)罹患を意味する」との誤解や不安を与える説明とならないよう配慮し、慎重に対処する必要がある。

 

ATL: Adult T cell lymphoma/ leukaemia

HTLV-1とATL

ATL(Adult T cell lymphoma/leukaemia)はHTLV-1(今は正式にHuman T-lymphotropic virus 1と呼ぶ)が感染したCD4陽性T細胞が腫瘍性増殖したものFCMでは80%がFoxP3陽性。Tregに関連したT-cellの腫瘍。
患者さん血清中にHTLV-1抗体陽性, 腫瘍細胞DNAにHTLV-1 provirusが単クローン性に組み込まれている。

HTLV-1はウイルスゲノム全長が9000塩基ほどの小さなウイルスである。このウイルスは, 今から5千年以上前にアフリカでサルからヒトへの感染がおこり, その後長い間ヒトと共存してきた

現在, 南アメリカ, カリブ海沿岸, アフリカ, 日本の九州,沖縄や北海道などに感染者が存在し, 世界でおよそ1000-2000万人がHTLV-1に感染していると報告されている。日本においてはキャリアの移住により首都圏や大都市で感染者の増加があると考えられる。

ヒトに関与するレトロウイルス科Retorviridaeには2つの属がある。
1.レンチウイルス属
2.ヒトTリンパ好性ウイルス-ウシ白血病ウイルス(HTLV-BLV)属

ヒトTリンパ好性ウイルス1, 2(HTLV-1, HTLV-2)は後者の属に含まれる。レンチウイルス属は神経系や免疫系の疾患を起こすがHTLV-BLV群のように発がん性はもたない。後天性免疫不全症候群(AIDS)の原因となるHIVが含まれる。
レトロウイルスはRNAウイルスであるがこの科のウイスルは逆転写酵素という一本鎖ウイルスRNAゲノムを二本鎖ウイルスDNAへと変換させる特異な酵素をもつことで他のRNAウイルスとは区別される。

HTLV1の感染経路

HTLV1は体液中に遊離ウイルス粒子としては存在せず感染した細胞の遺伝子に組み込まれる形で存在するため感染細胞と宿主細胞の接触を介して感染する。すなわち新規感染を起こすには生きた感染細胞が必須であり感染細胞と細胞の接触が必要である*8

なぜHTLV-1は末梢性CD4陽性T細胞を標的とし, 未熟なCD4陽性T細胞に感染がすくないか?
未熟胸腺T細胞では, Wnt経路の転写因子でT細胞分化に重要な働きをする, TCL1(T-cell factor 1)とLEF1(lymphoid enhancer binding factor 1)が高発現している。TCL1とLEF1は, Taxと結合してその機能を抑制していることが明らかになっている*9

このようにHTLV-1の感染・複製は 未熟T細胞の多い胸腺では抑制されており, HTLV-1としては, その生存のため,末梢性T細胞を増殖させる必要がある。---> HBZによるHTLV-1感染細胞のエフェクターメモリーT細胞への誘導を参照

HTLV-1感染細胞の腫瘍化

感染者の大部分は無症候性キャリアとなり生涯にATLを発症する確率は約5%ほどとされる。ATLは主に垂直感染より約50年の潜伏期を経て発症する。単クローン性悪性ATL細胞が増殖, 多臓器に浸潤する。免疫障害により日和見感染(CMV, pneumocystis pneumoniaなど)を来す。

日本での感染者は約120万人*10で, その中のごく一部のキャリアが50-60年におよぶ長い潜伏期の後にATLを発症する。

本邦統計によるとATLの生涯発症危険率はキャリア男性の6%, キャリア女性の2%であり平均発症年齢は約60歳である*11。ATL発症者は年間約700例以上に達する

 

HTLV-2

ヒトT細胞白血病ウイルス2型(human T-cell leukemia virus type 2; HTLV-2)は有毛細胞白血病患者由来の細胞株より分離された*12

HTLV-2の感染も地域集積が認められる他,一部の米国やヨーロッパの麻薬常用者に感染が拡大していることが報告されている*13

HTLV-2感染は日本でも報告*14されており,今後,海外からの入国者の増加に伴い日本でも問題になる可能性が考えられる。

ATLリンパ腫病変の病理組織診断

ATLリンパ腫病変の病理組織診断*15*16

ATLLの組織像は多彩でいろいろなパターンを示し特異性に欠けるHTLV-1をまず調べる。

免疫表現型, 遺伝子

poteligeotest.jpg

「ポテリジオ」(一般名;モガムリズマブ(遺伝子組換え)は、ATL細胞表面に存在するCCR4に結合し、ADCC活性によりATL細胞を傷害する)のコンパニオン診断薬

Poteligeo testによるATL CCR4の染色病理像

File not found: CCR4-Toume_s.jpg

ATLの臨床病型

くすぶり型, 慢性型, リンパ腫型, 急性型の4型に分類され診断基準が示されている. *18

1.いずれの型も、血清中抗HTLV-1抗体陽性
2.診断基準(LSG) 下図

ATLtypes.JPG

くすぶり型--緩徐な経過をとるものが多いが短期間に急性型に移行する場合もある。しばしば皮膚病変, 呼吸器病変を伴う.

慢性型--約2/3の症例が短期に急性型に移行する。臨床的にはCLLに類似している。

リンパ腫型--末梢血異常リンパ球は1%未満でリンパ腫と診断される病変がある。

急性型--上記どの型にも属さない, 末梢血白血球増加, 高LDH血症, 高Ca血症が高頻度にみられ, リンパ節腫大, 肝脾腫, 皮疹も出現する. 末血にはATL細胞(flower cell)が出現する.

急性ATLの場合、発症後の平均生存率は約6ヶ月である。

flowercell.jpg
 

HTLV-1の分子遺伝学とATLL発症機構

第56回日本網内系学会 松岡雅雄先生の講演ほか文献まとめ事項。

HTLV1provirus-gene.jpg
 

HTLV-1は主に感染細胞のクロナールな増殖により, そのコピー数を維持している。ヒト免疫不全ウイルス(HIV)が感染細胞内で活発な複製を行い, 膨大な数のウイルス粒子を産生するのとは対照的。HTLV-1の生存戦略はいかにうまく感染細胞を増殖させるかということになる

細胞外のHTLV-1のvirionには, ほぼ感染能力はなく, 感染細胞と未感染細胞の細胞間接触にはvirological synapseの形成が必要であり, このsynapseを介してウイルスゲノムが未感染細胞に移入される。gagおよびtaxタンパク質がsynapseの主要な構成成分

HTLV-1はレトロウイルス科デルタウイルス属に分類される。他のレトロウイルス同様,long terminal repeat(LTR)やgag, pol, envなどの構造遺伝子をもつ。

HTLV-1の特徴はenvと3'LTR間に存在するpX領域で, 4つのORF(open reading frame)とalternating splicingより複数の調節遺伝子が存在する。ORF-Iにはp12I;, ORF-IIにはp13II;p30II;, ORF-IIIにはrex, ORF-IVにはtaxがコードされている。

pX領域のマイナス鎖からはHTLV-1 bZIP factor(HBZ)がコードされていることが見いだされた。HBZにはspliced formとunspliced formが報告されている。

以上の調節遺伝子はウイルスおよび宿主の遺伝子発現とその機能を多彩に修飾してウイルス生存に有利に作用させる。

 

調節遺伝子産物TaxとHBZの作用

Tax

ATL患者の腫瘍細胞解析では, 多くの症例においてTaxの発現は不活性化されている。全症例中の60%が機能的Taxを発現していないという報告があり, tax遺伝子変異, taxプロモータである5LTRの欠失やメチル化などがその機序として考えられている。

Taxは細胞障害性Tリンパ球(CTL)の主な標的分子であり, Tax発現細胞はCTLによりすみやかに除去されてしまう*19。これらの事実は, がん化の最終段階においてはTaxは不要であり、逆に不活性化されたほうが免疫学的除去を回避するために有利であると推察される。

HBZ

taxandHBZ01.jpg

HTLV-1が生体内で持続的に増殖し次の個体に感染するためのHBZ機能

細胞増殖, 抗アポトーシス効果

  • HBZはRbと結合して細胞周期を促進する。*21
     
  • HBZはBimを阻害する*22
     
  • HBZ RNAはsurvivin発現を誘導してアポトーシスを抑制する*23
     
  • HBZは抑制性受容体からのシグナルを阻害
    • HBZはSHP-1, SHP-2がco-inhibitory receptorのITIM, ITSMモチーフへ結合するのを減弱 させ, その抑制を解除する。*24
       
    • THEMISはGrb2と結合してTCRシグナルをブロック, T-cell活性化を阻害するHBZはTHEMISと結合することによりGrb2とTHEMISの競合を妨害する。結果、T-cellは活性化し増殖する。
       
    • TEMISはTcellのみに, 特異的に発現しているHTLV-1がT-cellのみを増殖させるメカニズムとしてこのHBZとTHEMISの相互作用が考えられる。

宿主免疫機構の回避

  • HBZによりT cell immunoreceptor with Ig and ITIM domains(TIGIT), Foxp3, CCR4, PD-1, NRP1遺伝子の転写が亢進する。
     
  • HBZはTIGIT,PD-1発現を誘導する。TIGIT, PD-1は樹状細胞を介して免疫抑制性IL-10を産生する。

感染細胞の母乳, 精液への移行

  • HTLV-1はCD4+T細胞分画のうち, エフェクター・メモリー細胞で, CD62L+, CD45RA-, CCR4+, CADM1+, Foxp3+, CD25+という特殊な一部のCD4+細胞に感染している。
     
  • HTLV-1感染細胞, ATL細胞がエフェクター・メモリーTリンパ球, Foxp3陽性Tリンパ球の形質を有するのはHBZの働きによると考えられる。
     
  • HBZはGATA3転写因子活性をあげることにより, Tリンパ球にCCR4発現を誘導している。発現誘導されたCCR4はTリンパ球の組織浸潤に関与している。それだけではなく, CCR4とCD103(integlin αE)を介するシグナルによりTリンパ球増殖を促進する。(皮膚浸潤ATL細胞はCCR4とCD103を発現している)
     
  • 母乳や精液を介する垂直・水平感染がおこるが、一般的に母乳・精液中のT細胞はほとんど エフェクター・メモリーT細胞であるHTLV-1はHBZを使って感染リンパ球をエフェクター・メモリーT細胞に形質を変えて母乳や精液中に入っている。これにより感染細胞は新規ホストに移行することが可能になっている。
     

THEMIS(: thymocyte-expressed molecule involved in selection)

THEMIS-protein.jpg Grb2-THEMIS-SHP1 complex.jpg THEMIS-SHP1-GRB2.jpg

 

胸腺細胞(thymocytes)のpositive selectionの間, TCRの刺激により足場タンパク(scaffold protein)であるLAT(linker of activated T-cells)の複数のチロシン残基がリン酸化される。リン酸化されたチロシン残基はSH2ドメインをもつ分子に多くの結合サイトを提供することになる
LATに結合する分子のうち, アダプター(接続)タンパクのGRB2は中央にSH2ドメイン, 両端にSH3ドメインをもつ。THEMISはpoly-proline region(PPR)でGRB2のC末端側のSH3ドメインに結合する。

SHP1はGRB2のSH2ドメインにSHP1のC末端リン酸化チロシン残基で結合している。GRB2はTHEMISとSHP1をともに結合させている。

THEMISはT細胞のみに特異的に発現しており, DP細胞に最も高発現している.*25*26*27

THEMISの機能である, Grb2との結合, TCR依存チロシンリン酸化, 胸腺でのpositive selection には, THEMISのモチーフである CABIT1, CABIT2ドメイン, PPRのいずれもが必要なことが報告されている。*28

TCRがLck(lymphocyte-specific protein tyrosine kinase)および, おそらくZAP70(zeta-chain-associated protein kinase of 70kDa)とクロスリンクすると同時にTHEMISのチロシン残基がリン酸化される。

TIGIT,CD226/CD155経路

CD226とT cell Ig and ITIM domain(TIGIT)は, 既知の共刺激因子CD28-CTLA-4経路とよく似た, 新たに独立した経路としてヒトの自己免疫疾患に大きく関与していることが近年のgenome-wide研究から見いだされた。

B7-CD28-CTLA-4経路と同様に, CD226とTIGITは同じリンガンド(CD155とCD112)に結合し, CD226は活性化制御を, 他方TIGITは抑制的な制御を行っている。近年の研究ではTIGITはT細胞になんら直接的な影響は与えないが, リガンドCD155を通して,樹状細胞(DCs)の代理的効果を発揮していると推測されていた。TIGITとCD155の相互作用は反応性T細胞の増殖を阻害し, IFNγ産生を抑制する寛容性DCsを誘導する

TIGITは細胞質内に2つのITIMを持つが, TIGITが直接T細胞の反応を抑制するかどうかは明確になっていなかったが,
TIGIT欠損マウスの研究では, T-cellの過剰増殖がおこり, 自己免疫への感受性が増強していた。TIGITはT cell-intrinsic effectsを持ち, TIGITのシグナルは直接T細胞の増殖を阻害していた。*29


*1  内丸薫他, HTLV-1感染とATLに関する検査 SRL宝函 2018; 39(2):4-11
*2  Kuramitsu M, et al. Proviral Features of Human T Cell Leukemia Virus Type 1 in Carriers with Indeterminate Western Blot Analysis Results. J Clin Microbiol. 2017;55(9):2838-49.
*3  Qiu X, Hodges S, Lukaszewska T, et al. Evaluation of a new, fully automated immunoassay for detection of HTLV-I and HTLV-II antibodies. J Med Virol. 2008;80(3):484-93.
*4  出口松夫, 鍵田正智, 吉岡範, 他. 6種HTLV抗体測定試薬の基本性能について. 医学と薬学. 2011;66(6):1053-9.
*5  園山里美, 宇野直輝, 岡田侑也, 他. HTLV-1/2 抗体測定試薬「エクルーシス試薬Anti-HTLV I/II」の基礎性能評価. 医学検査. 2016;65(6):642-8.
*6  厚生労働科学研究費補助金「HTLV-1感染症の診断法の標準化と発症リスクの解明に関する研究」班(代表 浜口功)平成23-25年度総合研究報告書
*7  http://htlv.umin.jp/relative.html
*8  Matsuoka M, Jeang KT. Human T-cell leukaemia virus type 1 (HTLV-1) infectivity and cellular transformation. Nat Rev Cancer. 2007 Apr;7(4):270-80.
*9  Ma G. et al. TCF1 and LEF1 act as T-cell intrinsic HTLV-1 antagonists by targeting Tax. Proc Natl Acad Sci U S A. 2015 Feb 17;112(7):2216-21.
*10  Takatsuki K: Discovery of adult T-cell leukemia. Retrovirology 2005; 2:16
*11  Matsuoka M Human T-cell leukemia virus type I and adult T-cell leukemia. Oncogene 2003; 22: 5131-40
*12  Kalyanaraman VS et al. A new subtype of human T-cell leukemia virus (HTLV-II) associated with a T-cell variant of hairy cell leukemia. Science, 1982; 218: 571-573.
*13  岡山 昭彦,他:「HTLV-1の自然史と疫学」,ヒトT細胞白血病ウイルスI型HTLV-1と疾患,136-143,渡邉俊樹,他(編),文明堂,東京,2007.
*14  Yoshizaki H et al. Human T-cell leukemia virus type II in Japan. Jpn J Cancer Res, 1996; 87: 1-4.
*15  最新悪性リンパ腫アトラス 文光堂2004;pp211-216
*16  WHO Classification of Tumors of Haematopoietic and Lymphoid Tissues 4th Ed. p281-284
*17  Ohshima K, et al., Clonal HTLV-infected CD4+ T-lymphocytes and non-clonal non-HTLV-1 infected giant cells in incipient ATLL with Hodgkin-like histologic features. Int J Cancer 1997, 72:592-598
*18  Shimoyama M., Chemotherapy of ATL. In: Adult T-cell Leukemia(ed by K Takatsuki), p221-237, Oxford Press, New York, 1994
*19  Kannagi M, et al. Immunological risks of adult T-cell leukemia at primary HTLV-I infection. Trends Microbiol. 2004 Jul;12(7):346-52.
*20  Gaudray G, et alThe complementary strand of the human T-cell leukemia virus type 1 RNA genome encodes a bZIP transcription factor that down-regulates viral transcription. J Virol. 2002 Dec;76(24):12813-22.
*21  Kawatsuki A, et al HTLV-1 bZIP factor protein targets the Rb/E2F-1 pathway to promote proliferation and apoptosis of primary CD4(+) T cells. Oncogene. 2016 Aug 25;35(34):4509-17.
*22  Tanaka-Nakanishi A, et al HTLV-1 bZIP factor suppresses apoptosis by attenuating the function of FoxO3a and altering its localization. Cancer Res. 2014 Jan 1;74(1):188-200.
*23  Mitobe Y, et al HTLV-1 bZIP Factor RNA and Protein Impart Distinct Functions on T-cell Proliferation and Survival. Cancer Res. 2015 Oct 1;75(19):4143-52.
*24  Yasuma K,et al HTLV-1 bZIP Factor Impairs Anti-viral Immunity by Inducing Co-inhibitory Molecule, T Cell Immunoglobulin and ITIM Domain (TIGIT). PLoS Pathog. 2016 Jan 6;12(1):e1005372.
*25  Fu G, et al Themis controls thymocyte selection through regulation of T cell antigen receptor-mediated signaling. Nat Immunol. 2009 Aug;10(8):848-56.
*26  Johnson AL, et al Themis is a member of a new metazoan gene family and is required for the completion of thymocyte positive selection. Nat Immunol. 2009 Aug;10(8):831-9.
*27  Lesourne R, et al Themis, a T cell-specific protein important for late thymocyte development. Nat Immunol. 2009 Aug;10(8):840-7.
*28  Okada T, et al Differential function of Themis CABIT domains during T cell development PLos one 2014; 9(2): e89115
*29  Joller N, et al Cutting Edge: TIGIT has T cell-intrinsic inhibitory functions Journal Immunol 2011; 186: 1338-1342

トップ   新規 一覧 検索 最終更新   ヘルプ   最終更新のRSS