Wikipathologica-KDP

PathologyAtlas

Askin tumor--胸部・胸壁に発生したEwing sarcoma/pPNET.

Askin FB, Rosai J, et al. Malignant small cell tumor of the thoracopulmonary region in childhood: a distinctive clinicopathologic entity of uncertain histogenesis. Cancer. 1979 Jun;43(6):2438-51.

[20例の小児, 若年者(平均年齢14.5歳)の肺胸壁部分に発生する悪性小細胞性腫瘍を特徴とする疾患を報告した。女子に多く(75%), 肺末梢または胸壁軟部組織の腫瘍である。腫瘍は局所再発をきたす傾向があり, その他の小児小細胞性腫瘍, 横紋筋肉腫, Ewing肉腫, 神経芽細胞腫, 悪性リンパ腫,に比べて播種性の拡大はすくないようである。しかし, 生存期間中央値は8ヶ月にすぎず悪性度は高い。3例の電顕所見では神経上皮細胞への分化が認めらるが、本腫瘍の由来についてはさらなる精査が必要である。]

Case-01 10歳女児 胸壁腫瘍+肋骨浸潤

病理組織所見

askinAloupe.jpg
askinA01.jpg
askinA02.jpg
askinA03.jpg
Fig.01Fig.02Fig.03Fig.04
askinA05.jpg
askinA04.jpg
askinA06.jpg
askinA07.jpg
Fig.05Fig.06Fig.07Fig.08

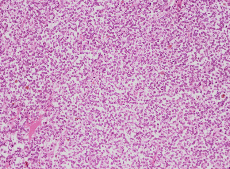
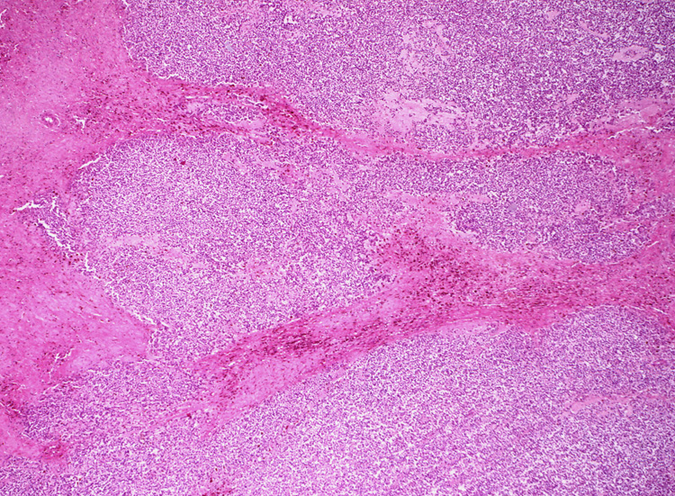
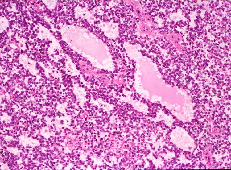
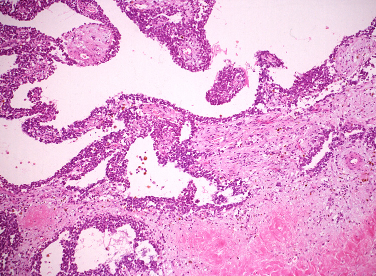
ルーペ像では(Fig.01)ヘモジデリンを貪食したマクロファージに富む線維性間質をもち、腫瘍細胞が胞巣状, 地図状に増殖している。線維性間質はdesmoplasticではなく成熟した線維組織のようである。本例ではさらに腫瘍胞巣内にタンパク液の貯留した偽嚢胞様構造が散在するほか、層状の腫瘍細胞に裏装された嚢胞様構造が出現している。(Fig.03,04)

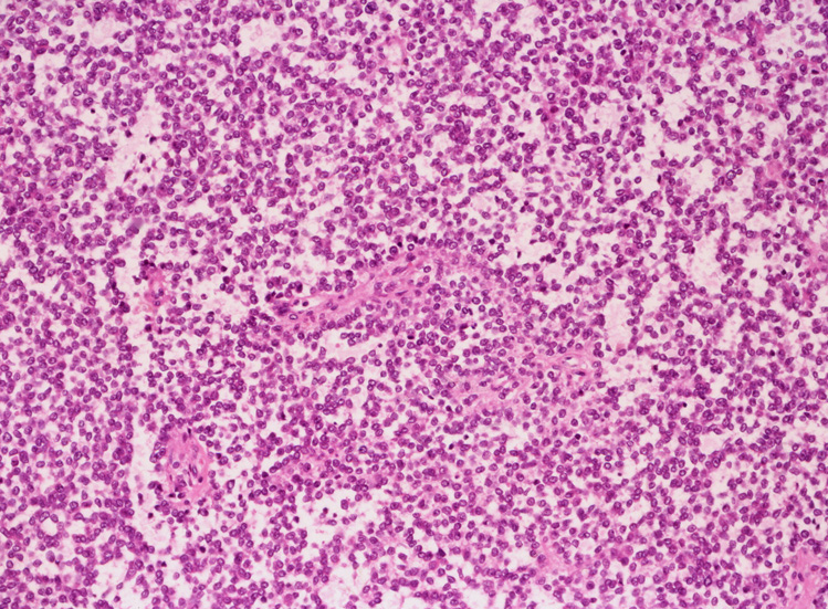
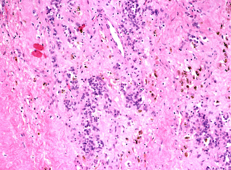
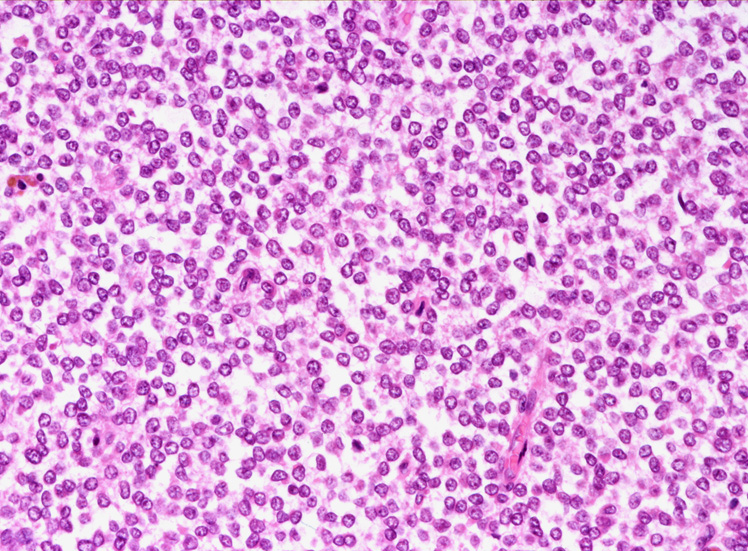
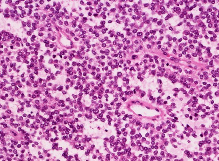
腫瘍細胞はシート状密に増殖する、類円形小型淡明な核をもった細胞質の乏しい細胞からなる。細胞分裂像は目立たなかった。(Fig.05,06), 線維間質部分の拡大所見。腫瘍細胞が小さな集簇をつくって浸潤している。(Fig.07) Fig08では血管周囲性ロゼットが認められる。

RT-PCRによるEWS-FLI1 fusion geneの検出

Ida K, et al., EWS-FLI-1 and EWS-ERG chimeric mRNAs in Ewing's sarcoma and primitive neuroectodermal tumor. Int J Cancer. 1995 Nov 15;63(4):500-4.
Abstruct ↓↓

#ref(): File not found: "PMID7591257.txt" at page "Askin tumor"

Case-02 15歳男性、胸壁腫瘍

胸壁腫瘍--> Virtual Slideを見る

病理組織所見

RT-PCR:EWS-Erg fusion geneの検出

EWSErg.jpg

トップ   新規 一覧 検索 最終更新   ヘルプ   最終更新のRSS