Wikipathologica-KDP

Autoimmune pancreatitis 自己免疫性膵炎

症例01 特徴的な膵管狭窄像を欠き腸間膜腫瘤を随伴した自己免疫性膵炎

58歳男性
平成X年10月中旬心窩部不快感出現.他院で膵尾部に腫瘤性病変を指摘される.精査のため当院受診.CTで膵頭部,膵尾部および骨盤腔内に腫瘤を認め悪性リンパ腫を疑われる.同年11月膵尾部,骨盤腔内腹膜腫瘤開腹生検.

膵尾部, 骨盤腔内腹膜腫瘤生検組織所見

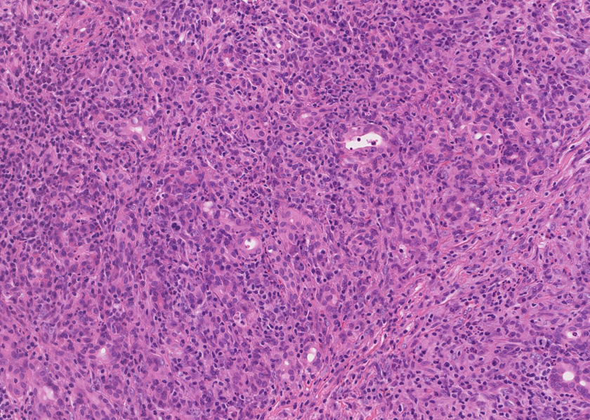
膵尾部の腫瘤

panc01a.jpg

膵腫瘤針生検組織片(クリックで大きな画像が見られます)

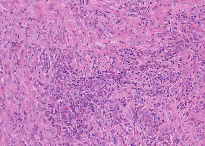
Aには腺房腺管組織に炎症が認められる.

Bの部位では血管中心に形質細胞の密な浸潤像が所見として見られる

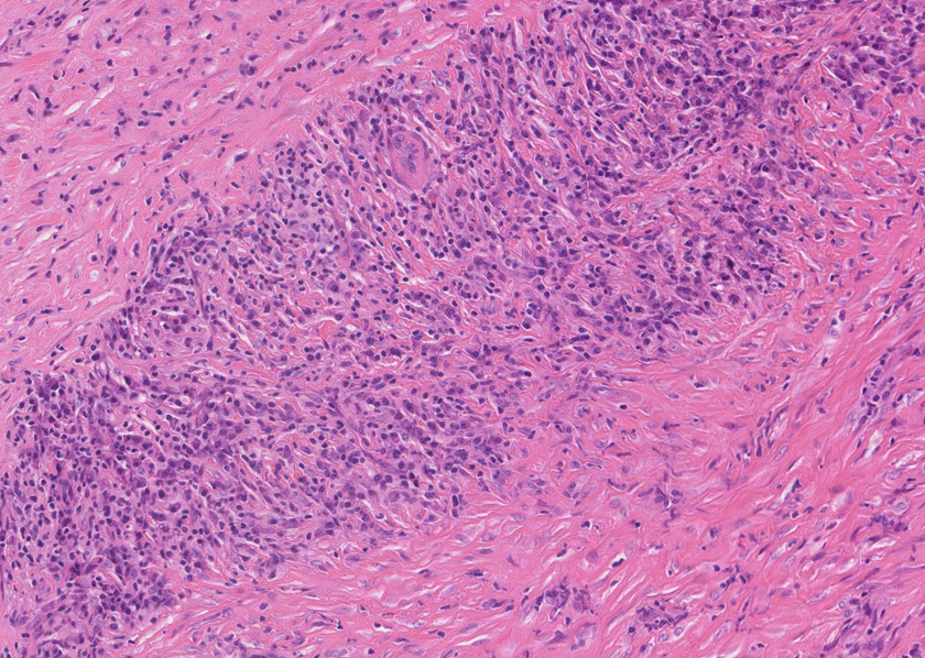
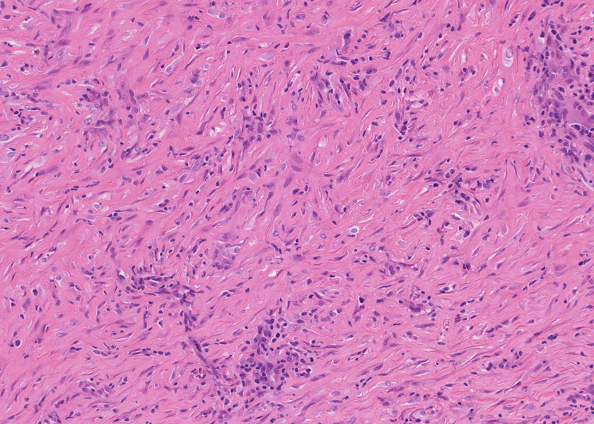
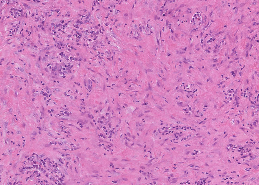
Cの部位は増生細胞がSMA陽性となりmyofibroblastの増生病変

 
pancA.jpg
pancB.jpg

膵腺房間質にリンパ球, 形質細胞, 好中球の炎症細胞浸潤が認められる。

pancC.jpg

線維化組織に類円, 葉巻型淡明な核の紡錘型細胞が増生している。免染SMA陽性。血管周囲に慢性炎症あり。

腹膜腫瘤の針生検組織片

組織像は膵腫瘤B, Cと同じくinflammatory myofibroblastic tumorである。島状に形質細胞主体の慢性炎症が強い。腹膜腫瘤には腺管は認められない。

abdo01.jpg
abdo02.jpg
abdo03.jpg

__Virtual slideを見る--->膵生検組織, 腹膜腫瘤生検組織 (右クリックで新しいウィンドウで開くと便利です。)

画像所見, 治療, 経過

 
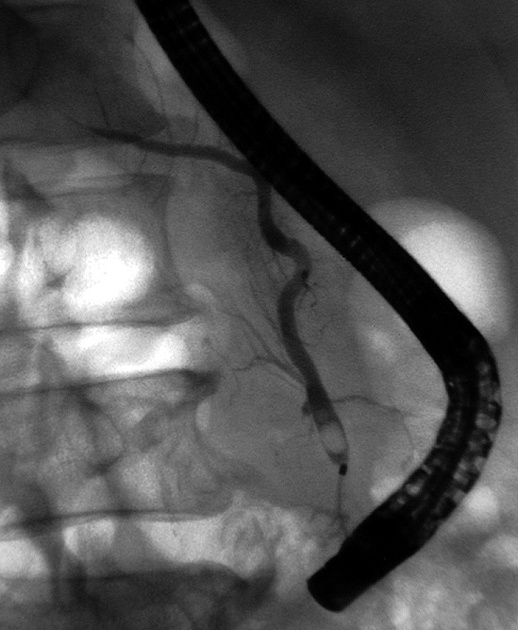
ERCP01.jpg
pancchiryomae.jpg
abdtumormae.jpg

本性例のERCP画像では主膵管とその分枝にあきらかな狭窄所見や壁の不整を認めない。 膵には頭部(CT画像なし),尾部に腫瘤が形成されている。
腹腔内には静脈を巻き込むように血管周囲に腫瘤の形成がある。(クリックで大きな画像が見られます)

悪性リンパ腫や膵癌など悪性腫瘍は否定され自己免疫性膵炎と診断し, steroid治療を開始する。約2ヶ月の投与で, 膵、腹腔腫瘤は著明に縮小または消失しました。steroid減量中に黄疸が出現, 画像診断で硬化性胆管炎の合併をうたがいsteroidを増量、黄疸は消失。以後steroid をゆるやかに漸減し中止したが症状の再発はない。

pancchiryogo.jpg
abdtumorgo.jpg

Steroid 治療2ヶ月後のCT; 腫瘤性病変の著明な縮小と消失が確認できる。


トップ   新規 一覧 検索 最終更新   ヘルプ   最終更新のRSS