B-cell receptor signaling B細胞シグナル伝達

抗体

B1-B細胞についてはThe peripheral B-cell repertoire in humansを参照.

B細胞の分化

勉強中・ページ作成中 (2017-10-06)φ(・_・”)''

骨髄でのB細胞分化

 
B-celldiff02.jpg

プロB細胞

早期プロB細胞ではH鎖遺伝子の再構成は完成していない. 転写はおこるが機能的なμ鎖は発現しない.

V(D)J組み換えの不正確さは抗体レパートリーの多様性を獲得する一方で非機能性遺伝子再構成をきたす恐れがある. プロB細胞が機能的なH鎖を産生しているかどうかを確認するために, 再構成されたH鎖はレセプターに組み込まれ, 機能的H鎖であればシグナルが伝達されるようになっている.

プロB細胞の段階ではL鎖遺伝子再構成はおこっておらずL鎖が産生されないので, プロB細胞はL鎖のかわりにL鎖に似ているが多様性のないサロゲート(代替)L鎖をつくりだし, μ鎖といっしょにプレBCRとして一時的に細胞表面に発現させる.

サロゲート鎖はλ5とVpreBで構成されており, μ鎖とともにpreBCRとして細胞表面に発現される.preBCRはIgα(CD79α), Igβ(CD79β)とも会合している.

Igα(CD79α), Igβ(CD79β)はプロB細胞の段階よりその細胞が死ぬまで, または抗体産生形質細胞に最終分化するまで発現される.

細胞表面に発現したプレBCRはプロB細胞に機能的再構成がおこなわれていることを通知する.

プレBCRのシグナル伝達には, シグナル分子のBLNKと細胞内チロシンキナーゼTECファミリーメンバーのBtk(Burton's tyrosine kinase)が必要である.

プレB細胞

Igα(CD79α), Igβ(CD79β)レセプターからの刺激がH鎖遺伝子の再構成をストップして分裂を促し, 大型プレB細胞への移行を引きおこす.

プロB細胞からプレB細胞になるまでは数回の細胞分裂をおこし, 静止期の小型プレB細胞になるまでに約30倍から60倍に細胞数が増加する. 特定の再構成H鎖をもつ一つの大型プレB細胞から多数の小型プレB細胞が産生される

小型プレB細胞では再びRAG-1/2の組み換え酵素が発現し, L鎖遺伝子再構成が始まる.各々, 異なったL鎖遺伝子再構成ができるため一つのプレB細胞から多様な特異性を持つB細胞が産生される. BCRは全体として多様性を形成する.

機能性軽鎖遺伝子再構成がすむと軽鎖の産生がおこり軽鎖はμ鎖とIgα(CD79α), Igβ(CD79β)とともにIgM分子として細胞表面に発現される. この細胞表面IgMからのシグナルは軽鎖遺伝子再構成をストップさせる.

L鎖では対立遺伝子排除に加えて, イソタイプ遺伝子排除 isotypic exclusionもおこる.

未熟B細胞 immature B cells

再構成L鎖がμ鎖と会合すると膜結合型IgM(sIgM)として細胞表面に発現されプレB細胞は未熟B細胞となる.

この段階で抗原レセプターは初めて自己抗原に対す寛容性をテストされ, B細胞レパートリーの選択がおこる.骨髄中枢リンパ組織でおこるため中枢性免疫寛容と呼ばれる.

自己抗原と反応しない未熟B細胞は成熟を許可され, 類洞を経て骨髄中心洞へ注ぎ, 骨髄を出て, 静脈を通って脾臓へはいる.

IgαシグナルはB細胞の骨髄からの移動と末梢での生存に特に重要である.

末梢B細胞サブセットと, その分化制御の「場」

 

末梢B細胞は, その多数を占めるB2-B細胞, 脾臓の特殊な領域である辺縁帯(Marginal zone)に存在するMZ-B細胞, 主として胸腔, 腹腔に存在するB1-B細胞のサブセットに分類される。(=マウスの分類. ヒトのB1-B細胞についてはいまだ研究中)

B細胞の分化はB細胞自身にプログラムされた現象とストローマ細胞など他の系列の細胞により刺激され,始めてB細胞に生じる現象が制御しあって正しく行われる。
そのため,B細胞が他の細胞から刺激をうける「場」がB細胞分化制御に重要であり, B細胞の移動にはケモカイン・ケモカイン受容体が重要な役割を果たす。

 

髄外B細胞分化01--脾臓でのB細胞分化

 
spleenBcell01.jpg

骨髄から血流を介して脾臓に移動した未熟B細胞は辺縁帯(Marginal zone)に局在するMZ-B細胞一次濾胞に存在する濾胞細胞(follicular B, FO-B)となる。いずれもB2-B細胞由来の最終分化B細胞である。

 
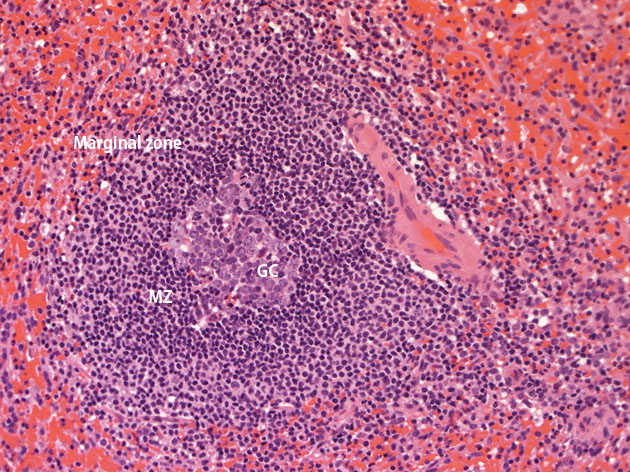
SpleenBarea01.jpg

Spleen 白脾髄の組織像(二次濾胞). GC:germinal center, MZ:Mantle zone, Marginal zone.

白脾髄(white pulp)は毛細動脈を囲むように形成され, 赤脾髄との境をつくる辺縁部と動脈の間には主にT細胞により構成された動脈周囲リンパ球鞘(periarterial lymphoid sheath: PALS)とB細胞を中心とする一次濾胞が認められる.

血中由来抗原とリンパ球は脾臓動脈を通り辺縁部に流れ込み辺縁部で抗原は樹状細胞によって抗原提示されPALSへ運ばれる. 血中リンパ球も辺縁部へ進入しPALSへ移動してゆく.

指状突起型樹状細胞(interdigitating dendritic cells)により取り込まれた抗原ペプチドはclassII MHCとの複合体としてhelper T細胞に提示される.

DCにより活性化された抗原特異的CD4陽性T細胞CXCR5(リガンドはCXCL13)の発現を増強しB細胞領域に遊走する.

抗原で刺激されたB細胞はCCR7(リガンドはCCL19/CCL21)発現を増強しT細胞領域へ遊走を開始する.

同一抗原により活性化したT, B細胞はT-B領域境界面において効率よく邂逅し, T細胞依存性免疫応答が開始される.

 
B-celldiff-spleen.jpg

T-B領域境界面で活性化されたB細胞は, 一旦小規模なB細胞集団primary fociを形成しその後B細胞領域内移動し, 大規模なB細胞集団で構築される胚中心を形成する

抗原感作によって活性化されたhelper T細胞は一次濾胞へ移入し(GC Tfh cell)濾胞性樹状細胞とともに抗原特異的B細胞の活性化と分化が誘導されると一次濾胞は胚中心をもつ二次濾胞へと変化する.

胚中心B細胞は著しく増殖する過程で, AIDの働きでclass switchや抗体遺伝子に高度の塩基置換が挿入され(somatic hypermutation;SHM)結果, 異なる抗原親和性をもつB細胞集団が出現する. (活性化B細胞, activated B-cells)

記憶B細胞の免疫グロブリン遺伝子にもSHMが認められ, また血中抗体の親和性は免疫後の時間経過とともに増加することから親和性が増加したB細胞が胚中心内で選択をうけ, 記憶B細胞や長期生存形質細胞(long-lived plasma cells; LLP cell)が産生されると考えられていた.

マウスでの解析より, 胚中心構造は高親和性LLP形成に必須である一方, 記憶B細胞形成には必須ではないことがわかっている.

活性化B細胞の一部はケモカイン受容体のEBI2を発現し, T細胞領域と赤脾髄との境界領域(bridging channel)に移動して増殖し, extra-follicular fociを形成, plasma cellに分化してIgM抗体(一次抗体)を産生する.

extra-follicular fociを形成する活性化B細胞の一部は, AIDを発現誘導し, 抗体遺伝子定常部でclass switch recombination(CSR)をおこしてIgG抗体を産生するplasma cellへ分化する. このCSRをおこしてIgG抗体を産生する plasma cellの抗体遺伝子V領域にはsomatic hypermutation (SHM)が全くみられない.

extra-follicular fociを形成するplasma cellは短命で抗体を産生した後3日以内に死滅する.

このように, 免疫正常マウスでの記憶B細胞集団は免疫グロブリン遺伝子にSHMが蓄積したものと, 変異がないものの2集団にわかれることから, 記憶B細胞は胚中心内外の独立した2経路で産生されることが推察されている.

髄外B細胞分化02-リンパ節でのB細胞分化

リンパ節は線維性皮膜をもった縦径1mmから1-2cm,そら豆型のリンパ組織. リンパ管に沿って約600個ほどが介在している.頚部,腋窩,鼠径部,腹膜には多数集まっている.

 

胚中心B細胞分化とシグナル伝達機構*1

Lymph nodeイラストとGerminal centerの構造 (サムネイル画像のクリックで大きな画像が見られます)

File not found: lymphnodeilust_s.jpgFile not found: GC02_s.jpgFile not found: Cb01_s.jpgFile not found: Cc01_s.jpg
lymph nodeGerminal centerCentroblastsCentrocyte

GC; Germinal center(胚中心), LZ; light zone(明殻), DZ; dark zone(暗殻)

 

胚中心B細胞分化を制御するシグナル

転写因子*9

B細胞分化制御に必須な細胞表面分子


*1  藤堂景史, 疋田正喜 胚中心B細胞のシグナル伝達機構 炎症と免疫 2015; 23(6): 535-540
*2  Allen CD et al. Germinal-center organization and cellular dynamics. Immunity 27; 2007:190-202.
*3  Victora GD et al. Germinal center dynamics revealed by multiphoton microscopy with a photoactivatable fluorescent reporter. Cell 2010; 43:592-605
*4  Zotos D et al. Determining germinal centre B cell fate. Trends Immunol 2012; 33:281-288
*5  Nutt SL et al Germinal center B and follicular helper T cells:siblings, cousins or just good friends? Nat Immunol 2011; 12:472-477
*6  Ozaki K et al:A critical role for lL-21 in regulating immunoglobulin production. Science 2002; 298:1630-1634
*7  Ozaki K et al:Regulation of B cell differentiation and plasma cell generation by IL-21, a novel inducer of Blimp-1 and Bcl-6.J Immunol 2004; l73:5361-5371
*8  Avery DT et al:B cell-intrinsic signaling through IL-21 receptor and STAT3 is required for establishing long-lived antibody responses in humans.J Exp Med 2010; 207:155-171
*9  Shapiro-Shelef M et al:Regulation of plasma-cell development. Nat Rev Immunol 2005; 5:230-242
*10  de Vinuesa CG et al:Germinal centers without T cells.J Exp Med l91 :485-494,2000
*11  Xu J et al:Mice deficient for the CD40 ligand.Immunity 1:423-431, 1994
*12  Han S et al Cellular interaction in germinal centers. Roles of CD40 1igand and B7-2 in established germinal centers.J Immunol l55:556-567,1995
*13  Good-Jacobson KL, et al.PD-1 regulates germinal center B cell survival and the formation and affinity of long-lived plasma cells. Nat Immunol. 2010 Jun;11(6):535-42.
*14  Ou X, et al.Adaptor protein DOK3 promotes plasma cell differentiation by regulating the expression of programmed cell death 1 ligands. Proc Natl Acad Sci U S A. 2014 Aug 5;111(31):11431-6.

トップ   新規 一覧 検索 最終更新   ヘルプ   最終更新のRSS