静岡病理医会

222回SPS-Case08

Crow-Fukase Syndrome(POEMS症候群)の脾摘標本

豊橋市民病院病理 前多松喜

CFlymph02.jpg

50歳代男性
両下腿の浮腫, 階段昇降時の易疲労感, 両手指, 足底のぴりぴりする感じ, 腹満感を主訴に受診。3年前から検診で脾腫, 肝嚢胞, 低コレステロール血症, 蛋白尿を指摘されていた。精査により後腹膜リンパ節腫大, 脾腫, 腹水, 両下肢浮腫, 肝腎機能障害, 貧血, 皮膚色素沈着, 剛毛が認められた。神経学的異常所見なし。
血清VEGF値は458pg/ml(基準値115pg/ml以下)と高値であった。

腋窩リンパ節生検組織病理所見(右図)
萎縮したリンパ濾胞が散在, 胚中心はリンパ球に乏しくFDC陽性の紡錘形細胞がトグロを巻いているように存在し周囲の血管進入像もある。濾胞間には血管が増生, リンパ球は減少している。
萎縮した胚中心にはFDCが詰まっておりMantle zoneリンパ球は残っている。これら所見からは, もともとは胚中心をもつ大きな濾胞であったものがリンパ球が抜けて萎縮した。あたらしいリンパ球がhomingしていないのではないかと考えられる。

リンパ節のCastleman病に類似する病変。--->1. リンパ節, 低倍率, 2. リンパ節濾胞 Sorry, 閲覧にはID, passwordが必要です

Crow-Fukase 症候群リンパ節の病理組織学的検討;筑波大学大越 教夫先生の学位論文に詳細な検討が載っています。

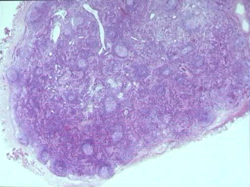
脾臓の病理所見

■■Virtual Slide---> 脾腫瘤

脾臓660g, Crow-Fukase Sxと診断されると本来脾摘の適応はないが, 患者さんの希望もあって摘出となる。脾臓は正常の5-6倍の重量。外表, 割面は白色調で血液含有量が少ないと思われる。

http://210.225.236.18:8080/NDPServe.dll

spleen01.jpg
spleencut.jpg
spleencut02.jpg

Crow-Fukase(深瀬) 症候群

種々のplasma cell dyscrasia (とくに骨硬化性形質細胞腫)が基礎に存在し、多発ニューロパチーを必須として、 下記, POEMSと呼称される多彩な症状を併存する症候群

Crow-Fukase症候群= POEMS症候群  以下の頭文字をとった欧米での疾患名
P: polyneuropathy 多発神経炎
O: organomegaly 臓器腫大(肝・脾腫)
E: endocrinopathy 内分泌障害( 糖尿病・女性化乳房・性腺機能低下・甲状腺機能低下)
M: monoclonal gammopathy 単クローン性γ-globulin増加(IgGまたはIgA)
S: skin change (色素沈着・皮膚硬化・剛毛・血管腫様ゆうぜい)

多発神経炎:
ほぼ必発。一般に感覚障害より運動障害が強く起立不能となることも多い。感覚障害はgrove and socks型で異常感覚も発現することあり。筋萎縮で手足の変形をきたすことがある。

皮膚症状

浮腫:
高率に発現し下肢に強い。胸水・腹水・まれに心嚢液貯留を示し, 全身浮腫をきたすことがある。

臓器腫大: 肝脾腫はさまざまな程度に認められるが組織はnon specificな変化。機能にも異常のないことが多い。

Crow-Fukase症候群の治療

症例の経過 MP療法を開始し3ヶ月後症状消失した。しかしpredonineによる糖尿病を発症したため中止。その後療法を再開するも症状が再発した。MP療法では寛解困難と考え自家末梢血幹細胞移植を施行。移植後6ヶ月経過は良好。社会生活をおくれている。VEGFは30-40pg/mlと低値を保っている。


トップ   新規 一覧 検索 最終更新   ヘルプ   最終更新のRSS