Wikipathologica-KDP

WikiPathologica

Extrarenal malignant rhabdoid tumor

腎外性悪性ラブドイド(横紋筋様)腫瘍

肉眼所見:通常やわらかい肉様の褐色ないし白褐色の腫瘍で被膜はなく浸潤性増殖をする。

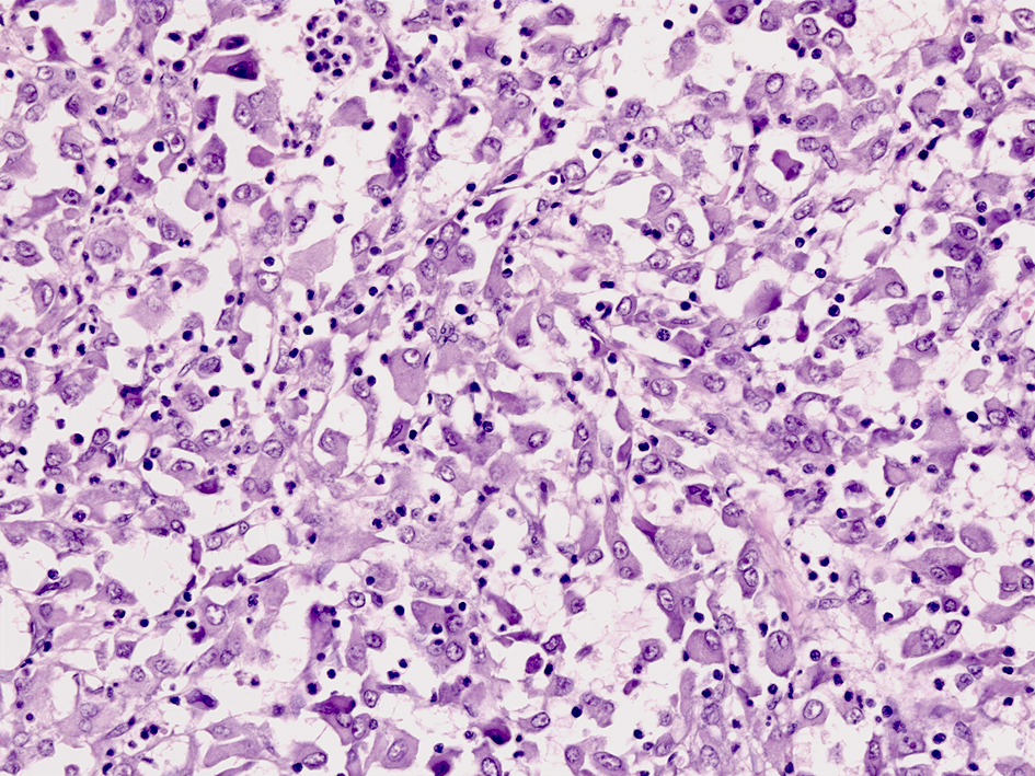
組織所見:上皮様腫瘍細胞は上皮様で, 遍在する核は核小体が明瞭で濃染するクロマチンをもつ。細胞質は好酸性で豊富であり核周辺に円形, 硝子様のPAS陽性封入体がみられる. 電顕では封入体にはケラチンとビメンチンを含む中間径フィラメントの凝集が確認される。

ERMRT01.jpg ERMRT02.jpg 

免疫染色:

分子生物学的特徴

INI-1

HGNCの公式シンボルは SMARCB1 別名:RDT; INI1; SNF5; Snr1; BAF47; MRD15; RTPS1; Sfh1p; hSNFS; SNF5L1; SWNTS1; PPP1R144
公式のフルネームは SWI/SNF related, matrix associated, actin dependent regulator of chromatin, subfamily b, member 1

染色体22q11.2に局在し, クロマチンリモデリング複合体のWSI/SNFの構成要素INI1タンパク質をコードする。

INI1遺伝子の変異や欠損は 小児腎臓に好発する横紋筋肉腫様腫瘍(malignant rhabdoid tumors, MRTs)や中枢神経腫瘍のatypical teratoid/ rhabdoid tumor(AT/RT)の遺伝的特徴となっている*1

INI1タンパク質は, ほぼ全ての細胞に発現しており, 正常細胞では核に陽性を示す.*2
免疫染色による腫瘍診断では染色法の問題、染色の失敗や陽性率の問題のため腫瘍では陰性となるタンパク質の染色結果は解釈が困難であるがINI1は通常,ほぼ全ての細胞で発現しており内在性コントロールで陽性が確認可能のため, その有用性が認められている。

腎,あるいは腎外軟部組織のmalignant rhabdoid tumorsと同様にAT/RTではINI1タンパク質免疫染色で, 核不染が認められる。

rabdoid feature.jpg
 

ラブドイド細胞の出現する腫瘍(右図:類上皮肉腫は除く。)においてINI1が陰性にならないことが確認されている*3

ウイルムス腫瘍 明細胞肉腫, 先天性間葉芽腎腫, 腎明細胞癌あるいはユーイング肉腫(Ewing arcoma), 悪性末梢神経鞘腫(MPNST)でもINI1免疫染色は陰性にならない*4. 鑑別診断に使える。

類上皮肉腫についてはINI1が陰性となる症例が多いことに注意 !!

 
 

類上皮肉腫

類上皮肉腫 epithelioid sarcomaには通常型 classical近位型 proxymalがあり, 硝子様の封入体を伴いラブドイド細胞様形態を示す上皮様異型細胞を含むためにEMRTとの鑑別診断に挙がる。

組織

組織学的所見には幅があり、時々ラブドイド細胞を含むが, おとなしい形態の上皮様細胞がシート状または中心に壊死を伴った結節状に増殖する所見もあれば, 紡錘形の細胞増殖を示すものもある
偽血管様変化や, かなり稀であるが, 化生性の骨が認められることもある。

免疫染色所見

EMRTとのオーバーラップがみられ, 両者はいずれも低分子, 高分子CKおよびvimentinに陽性である。類上皮肉腫の90%はINI-1発現が欠如し腫瘍細胞核が陰性となるEMRTと異なる点は, 類上皮肉腫の50%はCD34陽性を示す

類上皮肉腫の予後はEMRTと同様に不良である


*1 Biegel JA, et al. Alterlations of the hSNF5/INI1 gene in central nervous system atypical teratoid/rhabdoid tumors and renal and extrarenal rhabdoid tumors. Clin Cancer Res 2002; 8: 3461-3467
*2 Wilson BG, et al. SWI/SNF nucleosome remodellers and cancer. Nat Rev Cancer 2011; 11: 481-492
*3 Perry A et al., INI1 expression is retained in composite rhabdoid tumors, including rhabdoid meningiomas. Mod Pathol. 2005 Jul;18(7):951-8.PMID:15761491
*4 Hoot AC et al., Immunohistochemical analysis of hSNF5/INI1 distinguishes renal and extra-renal malignant rhabdoid tumors from other pediatric soft tissue tumors.Am J Surg Pathol. 2004 Nov;28(11):1485-91.PMID:1548965

トップ   新規 一覧 検索 最終更新   ヘルプ   最終更新のRSS