Trichoderm and organ development

PathologyAtlas link=ok

Gestational Sac

妊娠推定5-6週でAbortion

GS04.jpg

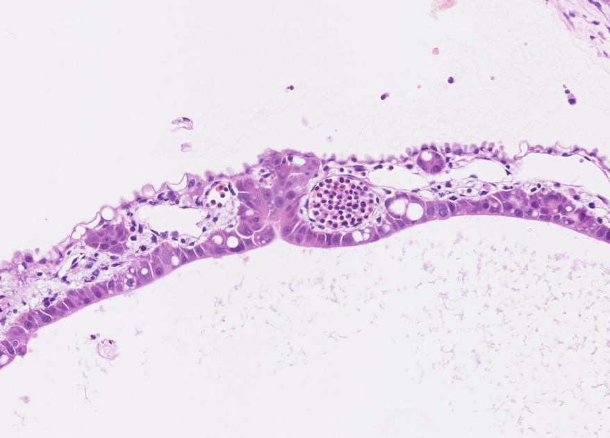
羊膜と絨毛膜との間の絨毛膜腔に卵黄嚢yolk sac が見られる。絨毛膜には絨毛に富む有毛部と反対側の無毛部(絨毛は消失する)がある。

 
GS03.jpg

クリックで大きな画像が見られます。

 

Virtual slideを見る--->gestational sac (右クリックで新しいウィンドウで開くと便利です。)sign in as guestをクリックしてください。

Yolk sac 卵黄嚢 と絨毛

yolksac.jpg

yolk sac卵黄嚢 の壁 拡大像
内腔を覆う上皮細胞, 赤芽球を入れた細血管, リンパ管および間質細胞が認められます。

 
villi01.jpg

トップ   新規 一覧 検索 最終更新   ヘルプ   最終更新のRSS