Langerhans cell sarcoma

wikipathologica-皮膚へもどる
wikipathologica-樹状細胞疾患へもどる
Langerhans cell histiocytosis症例解説

Langerhans cell histiocytosis

Langerhans cell histiocytosis症例01

 
LCHmacro.jpg
LHCHmacro02.jpg

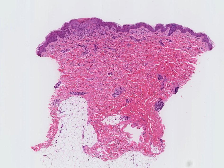
0歳女児 皮膚に1mm大の丘疹が多発, びらんを伴っている.肝脾腫あり

 

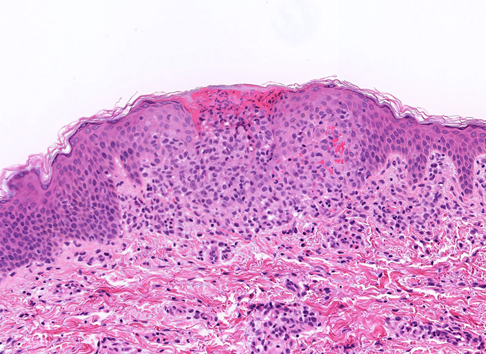
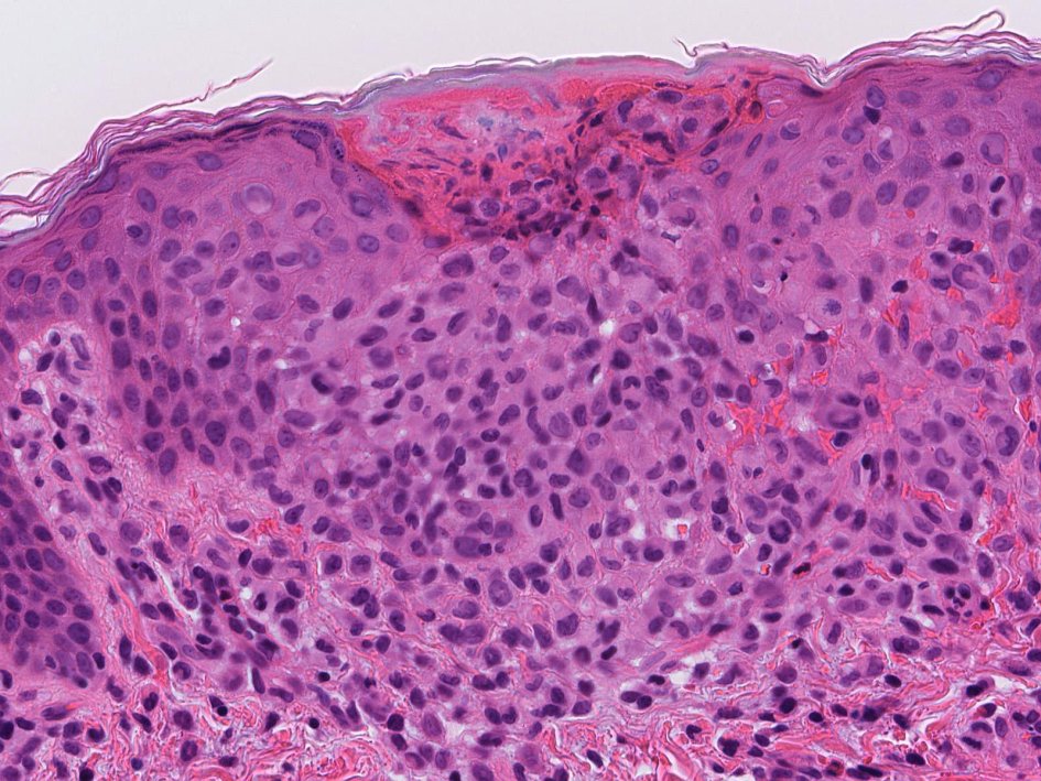
皮膚組織所見

LCH01.jpg
LangerhansHE01.png
LCHhigh.jpg
丘疹のルーペ像HE X10HE X40
LangerhansCD1a.png
LangerhansS100.png
CD1aS100

症例01のVirtual slide

ヴァーチャルスライドを見る右クリックで新しいウインドウで見ると便利です。

病理組織診断:Langerhans cell histiocytosis, multifocal multisysem disease

Comment

当症例についてのコメントをwikipathologica@gmail.comへおよせください。このページに掲載させて頂きます。

症例募集

このページではLangerhans cell histiocytosisの症例を募集中です。症例データ,画像を送ってもよいという方はwikipathologica@gmail.comへご連絡ください

Langerhans cell histiocytosis症例解説のページへ


トップ   新規 一覧 検索 最終更新   ヘルプ   最終更新のRSS