Wikipathologica-KDP
Waldenström macroglobulinemia†
スウェーデンの内科医Jan Gösta Waldenström (1906-1996) により1944年報告された。*1
まれなリンパ形質細胞性腫瘍の一型で, B細胞型の腫瘍細胞が骨髄, リンパ節に浸潤増殖しIgMを産生する。
リンパ腫と骨髄腫のハイブリッド性質をもつ疾患。男性に多く中年から高齢者に発症する。通常は潜在性発症で貧血, 出血傾向(歯肉,鼻出血,皮膚点状出血など), 心血管障害などの症状が見られ, リンパ腫, 肝脾腫を認める。
骨髄腫のような骨融解病変はみられない。
monoclonal IgM paraproteinemiaの存在がWaldenström macroglobulinemia(WM)のhallmarkであるが同様にmonoclonal IgMの認められる悪性リンパ腫, CLLとの鑑別が困難なことがある。
2008年WHO blue book*2ではlymphoplasmacytic lymphoma(LPL)の特異なサブタイプとしてWMは定義され, LPLのうち骨髄病変が存在し, IgM monoclonal gammopathyをきたす疾患で,IgMの濃度によらない*3となっている。
WMの病理†
骨髄病変はほぼ全症例に存在する。WMの骨髄所見は多様heterogenousである*4。
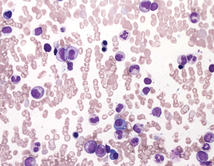
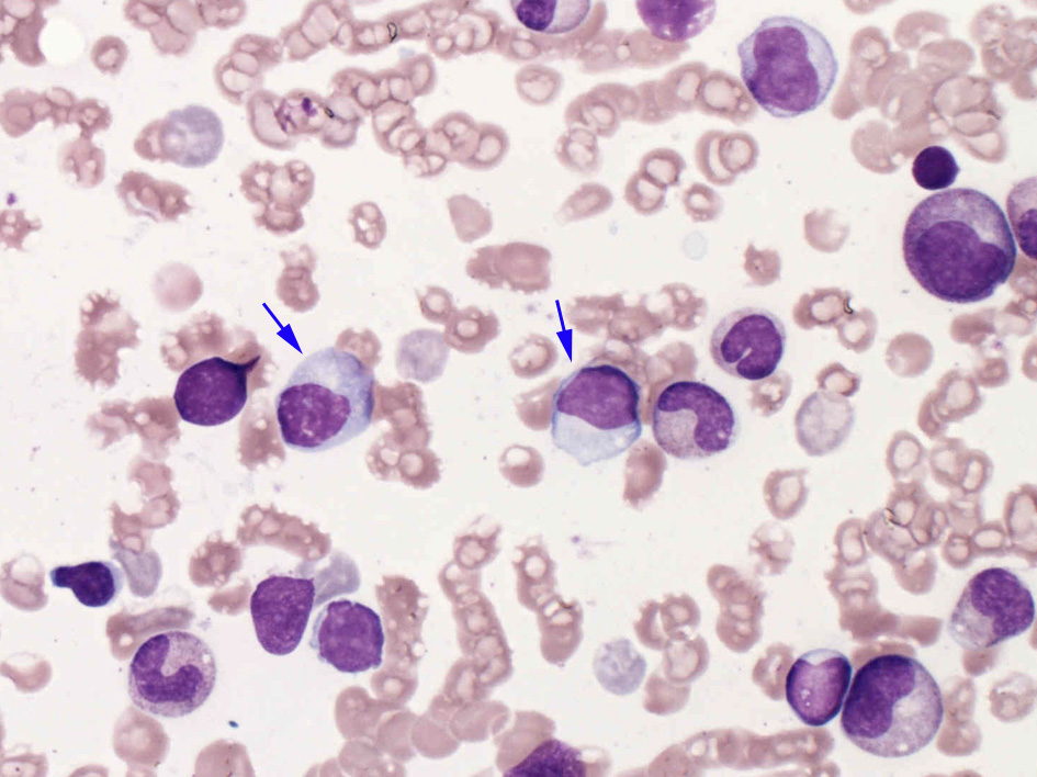
WM/LPLでは成熟Bリンパ球から形質細胞までの細胞出現を見る。ほぼ全例にリンパ球,形質細胞, 形質細胞様リンパ球plasmacytoid lymphocyteの増多が認められる。
- 形質細胞様リンパ球の増加する症例ではIgM paraproteinは少なくWMの典型的な症状は呈さない傾向にある。
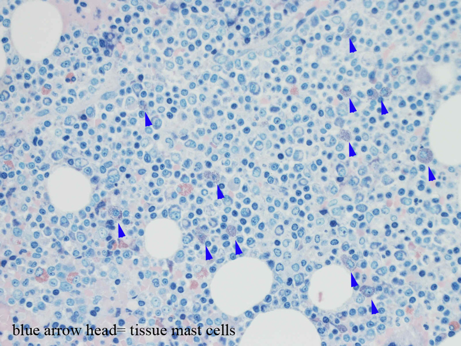
- しばしばmast cell,組織球の増加を伴う。混在するmast cellの増加はtryptaseの免疫染色で確認できる。C-kit染色でも可。ASD-Giemsa染色なら免染しなくてもすぐ同定できます。染色がうまくいっている指標にもなる。
- 細胞質内封入体, 核内封入体とくにDutcher bodyがしばしば認められる。
- まれにPAS陽性, signet-ring cellが出現するWM症例がある。
- 髄内病変分布はnodular(pratrabecularおよびnon-paratrabecular), interstitial, mixed nodular and interstitial, diffuse solid lesionをとる。
- reticlin fibrosisは局所病変にとどまる。
- smear同様骨髄生検組織でもlymphplasmacytic cellの増加が顕著でimmunoblastも増加することがある。amyloidの沈着が生検組織に認められることがある。
骨髄組織・細胞標本†
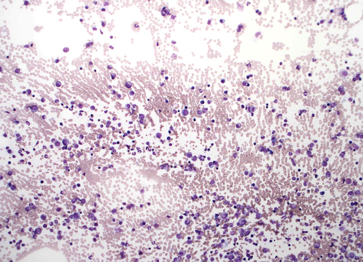
骨髄スメア標本です。ねっとりした血清成分がよくわかります。「hyperviscosity」の状態= 過粘稠(ねんちゅう-と読むらしい)症状; hyperviscosityの正しい訳は過粘度のほうがよいと思う.
赤血球が索状に連なる連銭形成rouleauxが明瞭です。
bone marrow clot section(May-Giemsa染色)標本
metachromatic basophilic granulesをもつmast cellが多数出現する
plasmacytoid lymphocyte
WM腫瘍細胞†
WM腫瘍細胞の由来
WMのB細胞サブセットは骨髄,脾臓辺縁帯, リンパ節, 末梢血に存在する。WM腫瘍B細胞の由来については長く議論されてきた。*5
- WMのlymphoplasmacytic cellはpost germinal center B cell由来のクローン
- WMの腫瘍細胞のnormal counter partはIgM+ and/or IgM+, IgD+ memory B cell
- Ig heavy chain 遺伝子座(14q23)のtranslocationは認められない
- postswitch clonotypic Ig (IgG, IgA)は存在せず, isotype switchは起こっていない。
- WMではIgH variable region(VH)にはsomatic mutationが確認される。
- ほとんどのWH腫瘍B細胞ではVH3/JH4 gene familyが使われ, hypermutatedである。intraclonal heterogeneityは欠如している。
- WM腫瘍B細胞では正常のclass switch recombinationの機能は保たれているが, switching processの開始に異常をきたしていると考えられている。
WM腫瘍細胞の免疫染色*6
- pan B-cell marker, CD19, CD20, CD22が陽性になる。
- cytoplasmic Ig(cIg), FMC7, bcl-2, PAX5, CD38, CD79aは陽性。
- CD5は5~20%で陽性となる。
症例によるvariationは見られるが, 新規診断基準*7*8では
- monoclonal surface Ig (sIg)陽性。(kappa/lambda= 5:1)
- CD19+, CD20+, CD5-, CD10-, CD23-
- CD23+となる症例が報告により存在する。(35%, 61%など)
WM腫瘍細胞の遺伝子異常†
MYD88 mutationとWaldenstroem macroglobulinemia†
Waldenström macroglobulinemiaの患者さんにはMYD88 L265Pのsomatic mutationが高率に認められることが骨髄lymphoplasmacytic cellのwhole genome sequence分析により発見された。*9
- WMと診断されたLPL 30例の末梢血, 骨髄からソートしたCD19細胞をもちいた全ゲノムシークエンスで27/30例にMYD88遺伝子L265P変異が検出された。SangerシークエンスでWM 49/54例(91%), IgM非分泌性LPL 3/3例(100%)がMYD88L265P変異陽性であった。一方IgM-MGUSでは2/21例(10%)と低頻度であった。*10
- MYD88の二量化阻害剤とともにWM細胞を培養すると, MYD88シグナルが抑制され, IκBα, NF-κBp65のりん酸化とNF-κBの核染色が著明に減少した。同様な結果はIRAK1/4キナーゼ阻害剤をMYD88変異陽性MW細胞に添加しても認められる。一方野生型MYD88のWM細胞ではMYD88シグナル抑制による, これらの変化は見られなかった。*10
- PCR-RFLPによる解析ではWM症例 18/27例(67%)にL265P変異が認められた。
- MYD88L265P変異検出は, WMとIgMを産生する他のリンパ系腫瘍の鑑別診断に有用と考えられる。
WMのその他の遺伝子変異†
WM30症例の全ゲノムシークエンスにおいて10%以上の症例で変異を認めた遺伝子はMYD88遺伝子(90%)のほかに*11
- CXCR4遺伝子 27%
- ARID1A遺伝子 17% であった。
WMのCXCR4遺伝子変異
- CXCR4遺伝子のgermline異常により起こる WHIM( Warts, hypoganmaglobulinemia, infections and myelocathexis)症候群において報告されているnonsense変異やframeshift(FM)変異に類似していた。*11
- WHIMでの遺伝子異常はほとんどがnonsense変異(R334X, S338X)でframe shift変異は少数。
- WMでは, 51/ 175例(29.1%)にCXCR4変異が認められ, nonsense変異25例(49%), frameshift変異が26例(51%)であった*10
- CXCR4遺伝子変異のあるWM症例には全例にMYD88遺伝子変異が認められた
- CXCR4遺伝子のnonsense変異は過粘稠症候群のような急速に進行する症例に認められたが生命予後には関係しなかった。
- CXCR4遺伝子nonsense変異とMYD88L265P変異とが両方認められる症例は骨髄浸潤の腫瘍量が多くIgMが高値であった。
- MYD88L265P変異のない症例は, 変異陽性例と比べ発症年齢が高く, 骨髄浸潤は少なかったが生存期間は短かった。*10
WMの治療†
症状のある患者さんに治療を開始する。血清IgM増加のみでは治療対象としない。*12
- Hb濃度<10g/dl, platelet count<10万/ml
- 著しいadenopathy, 臓器腫大, hyperviscosityの症状あり, 重症neuropathy, amyloidosis, cryogloblinemia, cold agglutinin disease, 疾患のtransformationが明瞭なとき
- IgM paraprotein >5g/dlになるとhyperviscosity の危険が出現する。
chemotherapy
- 第一選択はアルキル化剤(chlorambucil, cyclophosphamide, melphalan), プリンアナログ(cladribine, fludarabine)およびmonoclonal抗体(rituximab)
- 血漿交換(1-1.5L)はacute hyperviscosityに適応となる。
- プリンアナログあるいはrituximabがinitial combination therapyとなる。
- chrolambucilは第一選択薬とされていた。response rateは31-92%とさまざまな報告がある。
- cladribine. response rate: 44-90%
- fludarabine. response rate: 38-100%
- rituximab. response rate: 20-50%
- CD16(FcγRⅢA)のpolymorphismはrituximabの効果に影響をあたえる。
- thalidomideのWMへの効果は単剤, 多剤ともに限定的である
- High dose chemotherapyとautologous stem cell transplantationも試みられている。
WMに対する特効薬というものは現時点ではなく, 個々の患者さんの状況に応じて選択する。アルキル化剤についてはautologous transplantationを試みようとする患者さんでは選択しないことを推奨する。移植の効能については引き続き検討を要する。*12
WM/LPLの治療 up to date†
LPL/WMの治療 up to date --->虎ノ門病院血液内科 伊豆津先生の講演へ(第6回lymphomaniaの病理診断コースより)
原発性マクログロブリン血症へのイブルチニブ療法
Ibrutinib: BTK inhibitor(ブルトン型チロシンキナーゼ(BTK)阻害剤)-->ibrutinib の説明