Wikipathologica-KDP

WikiPathologica

Wegener's granulomatosis, Wegener肉芽腫症

Wegener02.jpg

ドイツの病理医, Dr. Friedrich Wegener(1907-1990)が1935年, 症例を報告し, 特異な血管炎を示す、Periarteritis Nodosa(PN)とは異なった独立した疾患として報告した*1*2

破壊性副鼻腔炎, 肺膿瘍, 尿毒症を呈し, 血管炎と肉芽腫により特徴づけられる症例をHeinz Klinger(ベルリンの病理医)がWegener以前に, PNの境界型として報告しているが, Wegenerは新しい疾患として研究をおこない, 3症例を「On Generalised Septic Vessel Disease」として1936年に記載している*3

臨床所見

古典的トリアス
1. 上気道肺の壊死性肉芽腫
2. 全身血管炎
3. 壊死性腎炎

トリアスがそろうまで診断がつかないというのは大きな間違いで、そろったときには患者さんは死んでしまう。 そうならないうちにWegenerを診断して適切な治療を開始することが大事。

5型の臨床型がある。
1. 上気道・肺・腎に病変を示すclassical type--ほとんどが剖検症例
2. 限局型WG, 肺にだけ病変を示す型
3. 上気道に限局する表層性・限局性WG
4. びまん性肺出血を起こす型--劇症型、致死的。肺移植などが必要
5. 糸球体腎炎主体型

Wegenerには以上の, 5型があるという認識を持っていることが臨床も病理にも大切

診断

antineutrophilic cytoplasmic antibodies (ANCA) 好中球, 組織球の顆粒に対する自己抗体, 間接免疫蛍光法またはELISAで検出する。

C-ANCA: びまん性顆粒状に細胞質が免疫染色される。アズール顆粒に含まれる29-kdの中性セリンプロテアーゼであるproteinase-3が抗原。PR3-ANCAとも呼ぶ。 Wegener肉芽腫にたいして高度に特異的であるが, 偽陽性*4*5*6*7*8があり, 感染*9, 膠原病, 線維性肺疾患, 慢性過敏性肺臓炎, 肺塞栓症, 悪性腫瘍, 炎症性腸疾患などで陽性の報告がある。 Wegener肉芽腫, 全身型の90%以上, 限局型の約60%に陽性を示す。

P-ANCA: myeloperoxydase(MPO)へ直接反応する, MPO-ANCA. P-ANCAにはまれながらMPO以外の抗原,enolase, catalase, cathepsin G, elastase, lactoferinおよびlysozymeなどに反応するものがある。この場合免疫染色では異常な染まり方*10*11をしめす。診断にはELISAが推奨される。 P-ANCAのWegener肉芽腫への特異性はC-ANCAよりかなり低い。半月体形成性腎炎, 顕微鏡的血管炎,Churg-Strauss症候群で陽性となる。Wegener肉芽腫では5-10%の症例に陽性を示す。*12*13

病理組織所見*14

#ref(): File not found: "wegener01.jpg" at page "Wegener's granulomatosis"

Katzensteinらは肺 Wegener肉芽腫の組織型について3つの型をあげている。*16

1.Classic Wegener's 古典的Wegener

2. BOOP-like variant BOOP様変異型

3. alveolar hemorrhage and capillaritis 肺胞内出血および毛細血管炎型

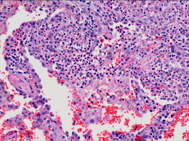
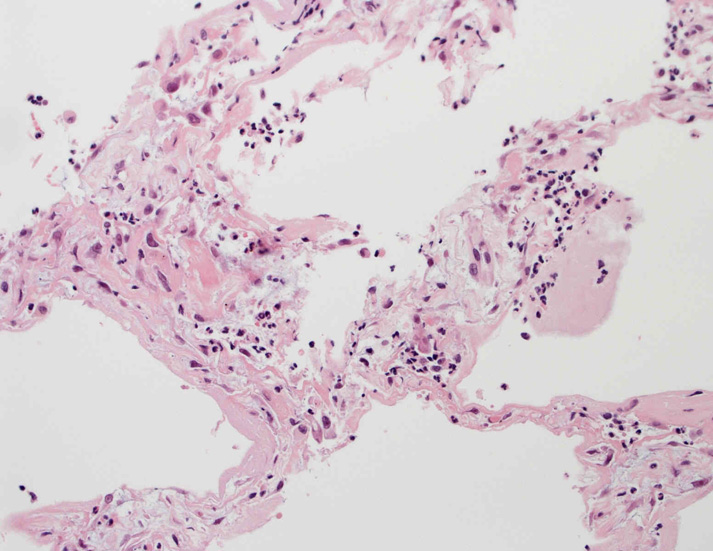
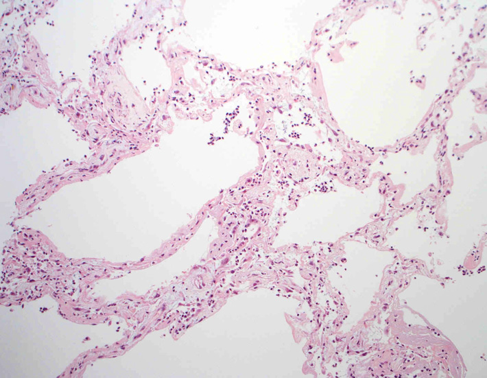
肺毛細血管炎 capillaritis

肺胞壁に多数の好中球浸潤。肺胞腔内に出血。 capillaritisが起こるWegener' granulomatosis劇症型には, なかなか肉芽腫性病変を見つけることは難しい

capillaritisの組織所見*17

 
capillaritis01.jpg
capillaritis02.jpg
Fig.01 capillaritisと肺胞出血Fig.02 Fig.01拡大像

capillaritis 毛細血管炎の画像リンクページ--capillaritis01<--クリックでリンクへ移動。

Wegener肉芽腫症 Cases

Case-01

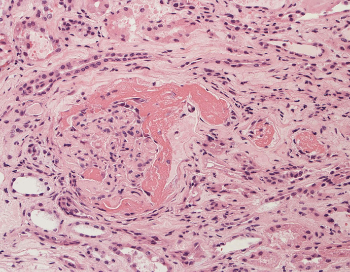
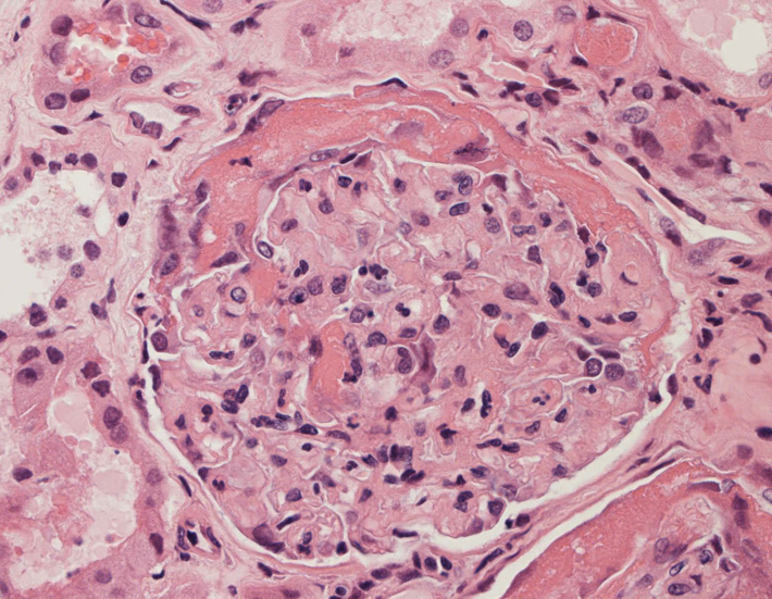
76歳男性 (Post mortum needle examination -- lung, kidney )

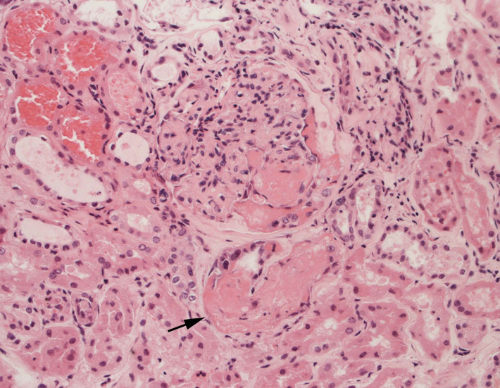
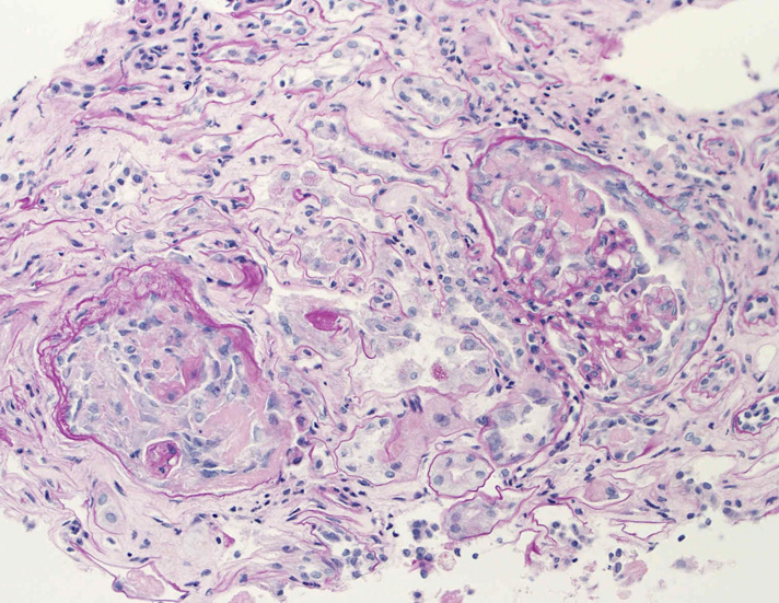
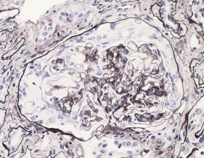
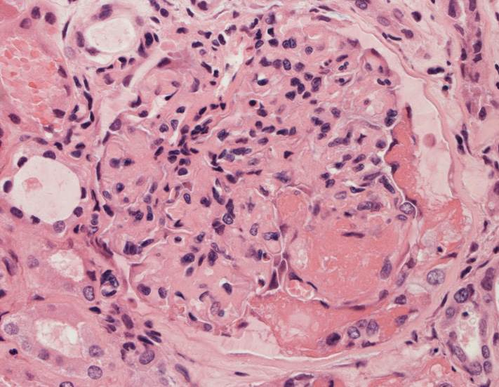
腎臓の病理組織所見-->壊死性糸球体腎炎

kidney01.jpg
kidney02.jpg
kidney03.jpg
Fig.01Fig.02Fig.03
kidney04pas.jpg
kidney05.jpg
kidney06.jpg
Fig.03(PAS)Fig.04(PAM染色)Fig.05(PAM染色)
kidney07.jpg
kidney08.jpg
Fig.06Fig.07 尿細管壊死
 

--->Wegener's granulomatosis急性腎不全症例のリンク Pittsburgh Univ. Dep. of Pathology Online Case Studies

 
 

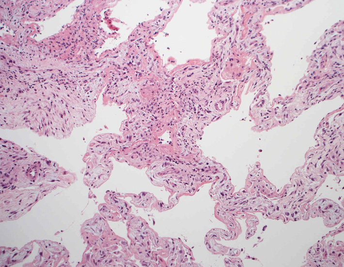
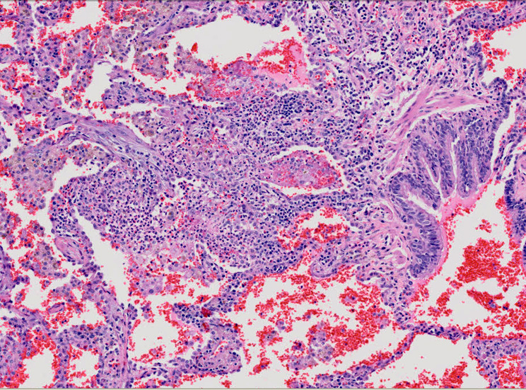
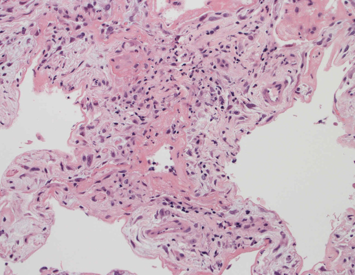
肺の病理所見

lung01.jpg
lung02.jpg
lung03.jpg
lung04.jpg
Fig.01Fig.02Fig.03Fig.04

Case-02 bronchocentric type Wegener granulomatosis


*1 James DG. Wegener and Wegener's granulomatosis Thorax; 42: 920-921
*2 Wegener F. Periarteritis nodosa und ihre Bedeutung bei einem Fall von chronischer Ruhr. dtsch Gerichtl Med 25; 93-101: 1935
*3 Wegener F. Uber Generaliserte, septische Gefaesserkrankungen. Verh Dtsch Ges Pathol 29; 202-10, 1937
*4 Davenport A, et al., Clinical relevance of testing for antineutrophil cytoplasm antibodies (ANCA) with a standard indirect immunofluorescence ANCA test in patients with upper or lower respiratory tract symptoms. Thorax. 1994 Mar;49(3):213-7. PMID: 8202876
*5 Edgar JD, et al., An audit of ANCA in routine clinical practice. Postgrad Med J. 1995 Oct;71(840):605-12.PMID: 8545289 Free
*6 Gal AA, Velasquez A. Antineutrophil cytoplasmic autoantibody in the absence of Wegener's granulomatosis or microscopic polyangiitis: implications for the surgical pathologist. Mod Pathol. 2002 Mar;15(3):197-204.PMID: 11904336 Free article
*7 Kerr GS, et al., Limited prognostic value of changes in antineutrophil cytoplasmic antibody titers in patients with Wegener's granulomatosis. Adv Exp Med Biol. 1993;336:411-4.PMID: 8296645
*8 Merkel PA, et al., Prevalence of antineutrophil cytoplasmic antibodies in a large inception cohort of patients with connective tissue disease. Ann Intern Med. 1997 Jun 1;126(11):866-73. PMID: 9163287 Free
*9 Cho C,et al., False-positive antineutrophil cytoplasmic antibody in aspergillosis with oxalosis. Arch Pathol Lab Med. 1995 Jun;119(6):558-61. (PMID: 7605176)Comment in: Arch Pathol Lab Med. 1996 May;120(5):425-6.
*10 Seo P, Stone JH.The antineutrophil cytoplasmic antibody-associated vasculitides. Am J Med. 2004 Jul 1;117(1):39-50. Review. PMID:15210387
*11 Vassilopoulos D, et al., Prevalence of antineutrophil cytoplasmic antibodies in patients with various pulmonary diseases or multiorgan dysfunction. Arthritis Rheum. 2003 Apr 15;49(2):151-5.PMID:12687504
*12 Gaudin PB, et al., The pathologic spectrum of pulmonary lesions in patients with anti-neutrophil cytoplasmic autoantibodies specific for anti-proteinase 3 and anti-myeloperoxidase. Am J Clin Pathol. 1995 Jul;104(1):7-16.
*13 Langford CA, Hoffman GS. Rare diseases.3: Wegener's granulomatosis. Thorax. 1999 Jul;54(7):629-37. Review. No abstract available. PMID:10377211 Free
*14 IAP スライドセミナ 肺の外科病理update, 2009
*15 New Engl J Med 346; 24: 1898
*16 Major problems in pathology Katzenstein and Askin's Surgical pathology of Non-neoplastic lung disease 4th Ed, Saunders Elsevier 2006
*17 Green R, et al. Pulmonary capillaritis and alveolar hemorrhage. Update on diagnosis and management. Chest 1996; 110:1305-1316.

トップ   新規 一覧 検索 最終更新   ヘルプ   最終更新のRSS