Wikipathologica-KDP

WikiPathologica

注意: このページは管理人の個人的まとめページです。正式なMeet the Hematopathology Experts in 関東 のWeb pageではありません。

thyroid lymphoma(low-grade) with follicular growth pattern

76歳女性 主訴: 頚部腫瘤

Meet the Hematology Experts in 関東 悪性リンパ腫検鏡会 2016年8月27日(土) 東京都千代田区大手町 1-3-2 経団連会館2F 国際会議場 において検討症例

 
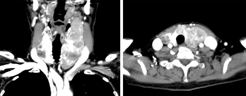
Urk-CT-thyroid.jpg

甲状腺CT:甲状腺左葉から峡部腫大, 内部に不均一に染まる低濃度腫瘤あり。
頚部気管が右に偏位。右葉にも複数の低濃度結節あり。頚部リンパ節腫大なし.

(サムネイルのクリックで大きなphotoが見られます。)

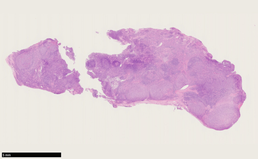
左甲状腺腫瘤部分切除生検

Urk-thyroid-loupe01.jpg

生検組織loupe像:濾胞構造が明瞭な腫瘤病変.

PET-CT他, 画像診断では甲状腺以外にリンパ節および節外臓器病変は認められず原発と考えられる。

文献

  • Issacson PG, et al Follicular colonization in thyroid lymphoma Am J pathol 1992; 141(1): 43-52
     
  • Bacon CM, et al Follicular lymphoma of the thyroid gland Am J Surg Pathol 2009; 33(1): 22-34 (Issacsonもauthorの1人)

Virtual Slide--症例のVirtual slideがご覧になれます。

  • 文字列をクリックするとログインページになります。右クリックで新しいタブで開くと便利です。
  • log in as Guestをクリックして閲覧を開始してください。(浜松ホトニクスのNanozoomerを使っています)

検鏡後病理診断: thyroid MALT lymphoma with follicular colonization

 
 

Meet the Hematopathology Experts in 関東 悪性リンパ腫検鏡会

2016年8月27日 東京都千代田区大手町1-3-2 経団連会館2F 国際会議場~  主催 ヤンセンファーマ株式会社メディカルアフェアーズ本部
敬称略

総合司会 東海大学医学部基盤診療学系病理診断学 教授 中村直哉

第一部: 高悪性度B細胞性リンパ腫

特別講演 高悪性度B細胞リンパ腫 埼玉医科大学総合医療センター病理診断科 教授 田丸淳一

検鏡症例

症例01: ホジキン細胞様細胞を伴う多彩な細胞からなるリンパ腫生検例 60歳代女性, 鼠径リンパ節, がん・感染症センター都立駒込病院 病理科 医長 外岡 暁子

症例02: 著明な好酸球浸潤を背景に大型巨細胞を散見する症例 旭川赤十字病院 病理科 副部長 菊池 智樹

症例03: 奇怪な分葉核をもった巨細胞をみとめ組織型の確定に難渋したaggressive B-cell lymphomaの一例 横浜市立大学 分子病理学講座 助手 江中 牧子

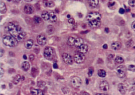
Bizzarre cell01.jpg

第二部:低悪性度B細胞性リンパ腫

特別講演 低悪性度B細胞性リンパ腫 がん研究会がん研究所 分子標的病理プロジェクト プロジェクトリーダー 竹内 賢吾

検鏡症例

症例01: 反応性過形成と低悪性度B細胞リンパ腫の鑑別が困難であった一例 70歳代男性 鼠径リンパ節, 地方独立行政法人栃木県立がんセンター 病理診断科 副科長 星 サユリ

症例02: 濾胞性増殖の顕著な甲状腺リンパ腫の1例 76歳女性 甲状腺, 磐田市立総合病院 病理診断科 副院長 谷岡 書彦

症例03: Evans症候群と縦隔・肺門リンパ節腫脹, 肺浸潤影を呈し, EUS-FNAでの診断を試みた症例 東芝病院 血液内科 部長 鈴木 謙

症例04: 7年の化学療法終了2年前より腎機能障害を示すpolyclonalγグロブリン血症持続症例 日本医科大学病院 病理診断科 杉崎 祐一

検鏡・コメンテーター (敬称略)

久留米大学医学部医学科病理学講座 教授 大島 孝一

獨協医科大学 病理診断学講座 教授 小島 勝

埼玉医科大学総合医療センター病理診断科 教授 田丸淳一

がん研究会がん研究所 分子標的病理プロジェクト プロジェクトリーダー 竹内 賢吾

日本バプテスト病院 中央検査部 主任部長 中峰 寛和

名古屋大学大学院医学系研究科 臓器病態診断学 教授 中村 栄男

会終了後 懇親会


*1  Yamaguchi M, et al. De novo CD5+ diffuse large B-cell lymphoma: results of a detailed clinicopathological review in 120 patients. Haematologica. 2008 Aug;93(8):1195-202.

トップ   新規 一覧 検索 最終更新   ヘルプ   最終更新のRSS