Wikipathologica-KDP

PathologyAtlas

syphilitic pharyngitis 梅毒性咽頭炎

50歳代男性

1ヶ月ほど前より咽頭不快感が出現するため, Y耳鼻科を受診.咽頭に発赤,びらんを認め治療を受けるが軽快せず.頚部リンパ節の腫大が加わり, 悪性リンパ腫の疑いで当院耳鼻科を受診する。異性、および同性との性交渉歴あり(梅毒の診断がついた後に確認)。

 

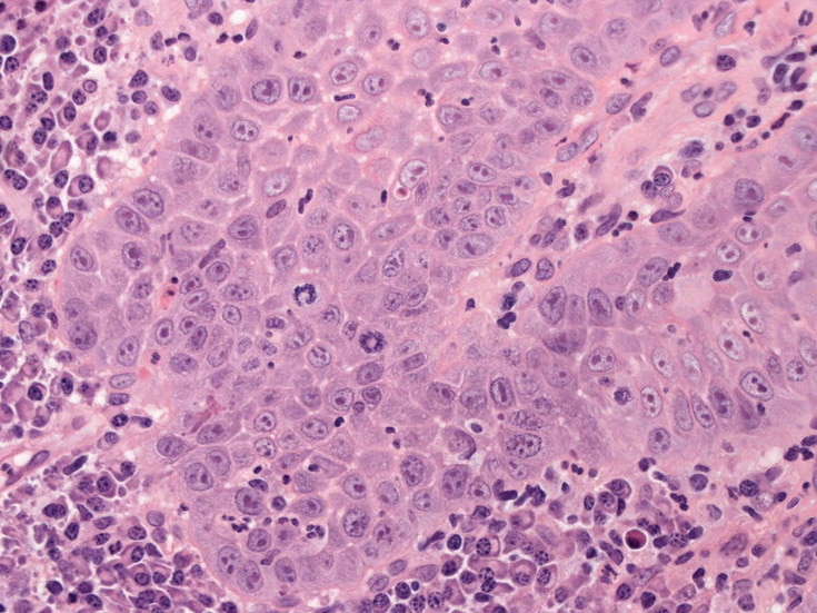
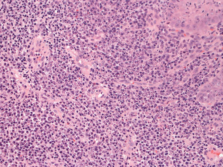
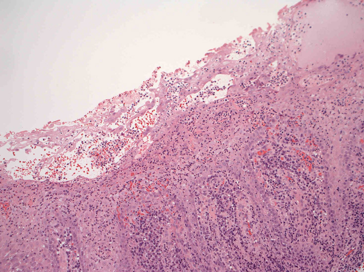
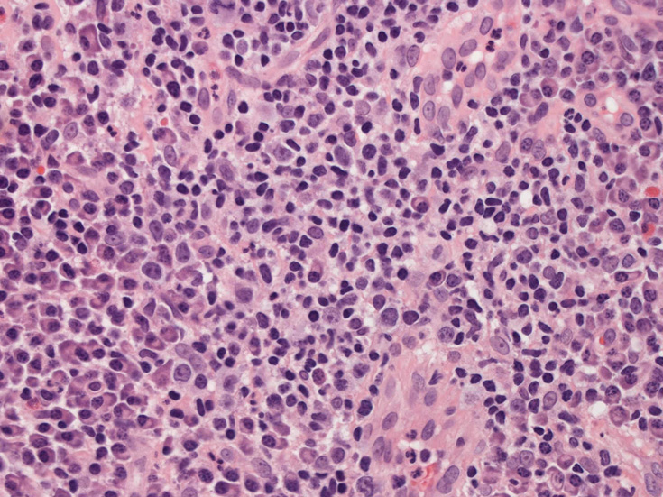
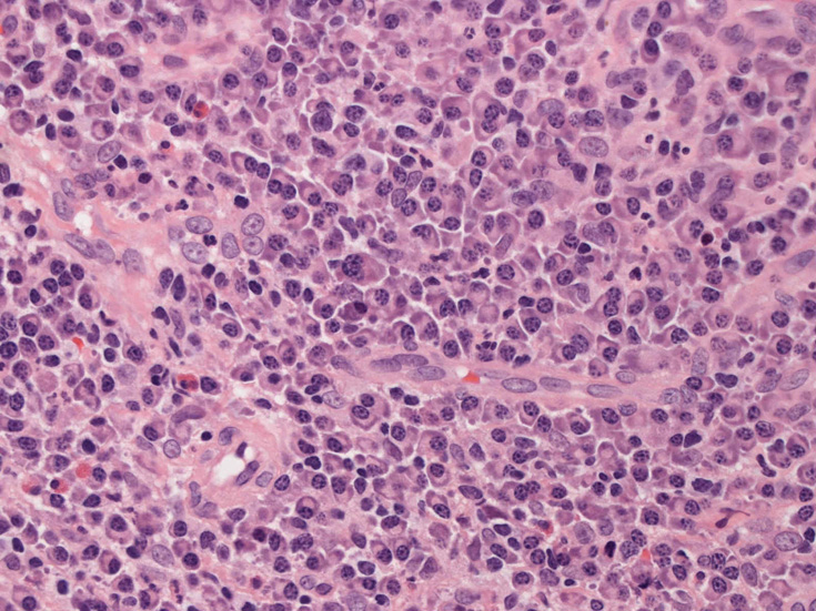
咽頭粘膜病理組織所見

erosion01.jpg
epithelium01.jpg
plasmacells01.jpg
plasmacells02.jpg
plasmacells03.jpg
lymphocytes01.jpg
 

びらんとchronic active inflammationを示す扁平上皮粘膜の所見。形質細胞の密な浸潤がめだつ他, 単球様リンパ球がfocalに浸潤する所見を認める。あきらかな肉芽腫形成や血管炎の所見はなく, なんか変な強い炎症所見。臨床情報のSTS陽性があり、鑑別として梅毒性咽頭炎を挙げることができた。

pretherapy.jpg
posttherapy.jpg

左:治療前, 腫脹とびらんを示す咽頭粘膜. 右:抗生剤による治療後

 
 

Treponema pallidumのPCR *1

trepoPCR.jpg

梅毒-臨床事項*2

primarychancre.jpg

硬性下疳primary chancre (chancreはフランス語)

滲出物と痛みを伴わない伝染性潰瘍。硬い辺縁と平坦な底部をもつ潰瘍性の隆起。通常は単発, 多発は1/3までの患者に認められる。
感染の既往者には小丘疹など非定形的病変が出現したり,病変が全く現れなかったりすることがある。 局所リンパ節腫大が認められることもある。中等度大, 弾性硬の非化膿性リンパ節。

播種-第二期梅毒

感染者は全身疾患としての症状・兆候を示すようになる。90%に四肢体幹に始まる発疹が出現, 斑状から次第に丘疹となり一部の患者さんでは1週間ほどで膿疱化する。手掌, 足底に出現することが特徴的。膿疱は次第に癒合てcondyloma lataと呼ばれる蒼白な斑状病変となる。
同じく90%に全身リンパ節腫大, 75%に発熱, 疲労感, 食思不振, 関節痛, 咽頭痛, 体重減少がみられる。粘膜疹が30%の患者さんに現れる。40%は中枢神経症状が発現, 急性非化膿性髄膜炎はわずかに1-2%である。残りは, 頭痛, メニンギスムス, ぶどう膜炎, 神経感覚性難聴, 脳神経症状など。

組織破壊--第三期梅毒

初感染より10-25年を経過して顕性化する。

  • 心血管性梅毒はtunica mediaの脆弱化によりおこり, 大動脈弁閉鎖不全を伴う上行大動脈の動脈瘤, 冠動脈口狭窄をきたす。
  • syphilitic gummma(梅毒性ゴム腫):顕微鏡的サイズから大きな腫瘤までさまざまなサイズの病変が通常, 皮膚粘膜組織, 骨組織に出現する。他のどの組織にも発生する。
  • 心血管梅毒とゴム腫は抗生剤の投与が行われるようになってから頻度が少なくなった。一方blood-brain barrierを超えてtreponemaを殺菌するほどの濃度が移行しない不十分量の投与のため神経梅毒はいまだに発生している。
  • meningovascular shyphilus
    初感染から5-10年を経て発症する。てんかん, 卒中症状, 言語障害などが臨床症状であり特徴的な中枢神経組織の血管内膜炎による多発性小梗塞が原因となる。
  • parenchymatous neurosyphilus
    初感染より15-30年で発症する。変性によるニューロンやミエリン神経線維の消失が原因で起こる。症状は精神・神経症状が複雑に合併, 全身麻痺やTabes dorsalisをきたす。
  • 神経梅毒の患者さんには全く臨床症状・症候を示さない例があるが脳脊髄液では細胞増加, タンパク増加、梅毒反応陽性, Treponema抗体価上昇などが認められる。これらは asymptomatic neurosyphilisと呼ばれる*3

梅毒性リンパ節炎の症例

SPS-城南病理合同集談会(第232回SPS)Case01--->症例のページを閲覧する


*1 Centurion-Lara A, et al., Detection of Treponema pallidum by a sensitive reverse transcriptase PCR J Clin Microbiol. 1997 Jun;35(6):1348-52. PMID: 9163442
*2 Smith M.B. et al: Spirochete infections. In Henry JB (eds): Clinical diagnosis and management by laboratory methods. 20th ed. Philadelphia, W.B. Saunders, 2001, p1131-1143
*3 Tramont EC: Treponema pallidum(syphilis) In Mandell J et al (eds): Principles and practice of infectious disease. 4th ed. New York, Churchill Livingstone, 1995, p2117

トップ   新規 一覧 検索 最終更新   ヘルプ   最終更新のRSS