Toxoplasmic lymphadenitis

静岡病理医会

toxoplasmosis-筋肉の病変

急性骨髄性白血病治療に出現した右頚部腫瘤の1例 草間由紀子(浜松医科大学附属病院)

57歳男性

#ref(): File not found: "CTtoxo01.jpg" at page "toxoplasmosis - 233SPS Case01"

他院を倦怠感, 発熱, 咽頭痛で受診, 白血球増多, 芽球出現あり精査によりAML-M5aと診断される。寛解導入, 地固め療法を行うが再発, 再寛解導入に対し抵抗性となる。シタラビン大量療法に変更するが無効。40℃の発熱あり感染症合併し抗生剤開始。化学療法開始より7ヶ月めに臍帯血移植を目的に当院へ転院した。
転院後AV療法(AraC+VP-16)開始。感染症に対して抗生剤および免疫グロブリンの投与が行われる。その後臍帯血移植施行し好中球生着が確認された。移植4週後から右下腿後面アキレス腱付近に筋肉痛症状が出現する。移植5週後, 発熱と右頸部に圧痛を伴う3cmほどの腫瘤を触知。造影CTでは頸部には明らかな病変は確認されなかった。両側下腿筋肉内には斑状濃染域が見られた。後日MRIで同様の所見が認められた。

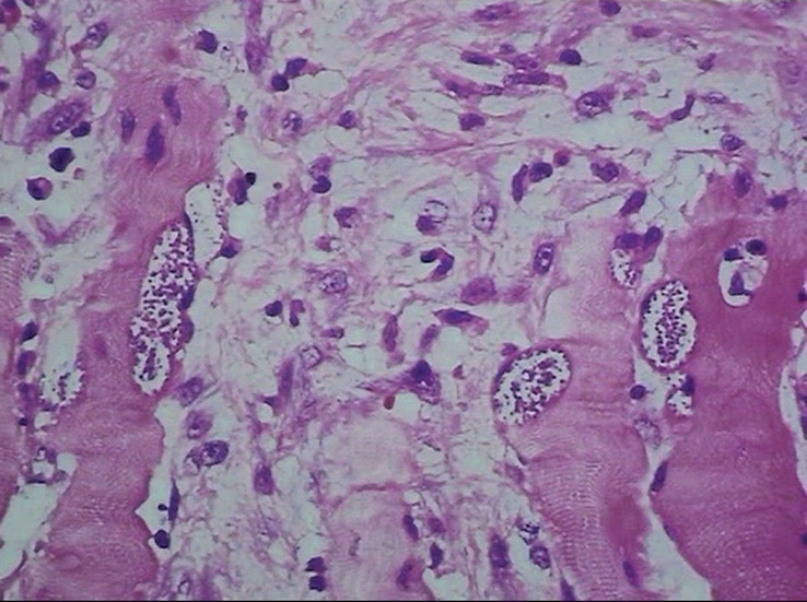
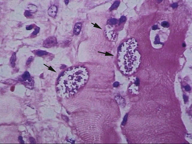
右頸部腫瘤生検組織病理所見

右頸部腫瘤の生検組織所見では, 横紋筋内にmicroorganismらしき構造物が認められた。

 
tumorbiopsy.jpg
toxo03.jpg
toxo04.jpg
toxoGroc.jpg
toxocytology.jpg
toxopap01.jpg
toxoimmu01.jpg

リンク

toxoplasmic lymphadenitis---19歳男性 リンパ節


トップ   新規 一覧 検索 最終更新   ヘルプ   最終更新のRSS