Hairy cell leukaemia Case presentationのページ

Hairy cell leukaemia-Clinical features and diagnosis

定義(WHO 5th classification)

有毛細胞白血病(HCL)は,通常,骨髄,末梢血および脾臓に発現し, 95%以上の症例でBRAF p.V600E体細胞変異を有する、豊富な細胞質と特徴的な毛状突起を有する腫瘍細胞から成る,
低悪性度の成熟B細胞新生物である

WHO 5th classificationでのHCL必須および望ましい診断基準 [ WHO 5th HCL --> fileHairy cell leukaemia-WHO5th.txt]

必須: 血液塗抹標本または骨髄塗抹標本における特徴的な形態 and/or 骨髄生検における特徴的な形態

望ましい

 

Hairy cell leukaemiaの臨床像と診断

 

毛様細胞白血病(Hairy Cell Leukaemia)は,末梢血,骨髄,および脾臓赤脾髄内に,豊富な細胞質と 「毛様」 突起を有する腫瘍性B細胞が集積することを特徴とする,まれな低悪性度リンパ性悪性腫瘍である。
HCLは一般的に脾腫を引き起こし,赤血球,血小板,顆粒球,単球の産生が様々に低下する。結果として生じる細胞減少症は,貧血,出血,感染リスクの上昇など,全身にさまざまな影響を及ぼす。

腫瘍細胞の由来

HCLは、前形質細胞(pre-plasma cell)またはpost gerrminal centerの特徴を示す後期活性化メモリーB細胞から発生すると仮定されている.*4*5. HCLの悪性細胞は以下の特徴を有する:

病因

電離放射線,農薬,農作物への暴露が原因として挙げられている.*10*11*12

 

BRAF V600E変異

BRAFのページを閲覧する.

HCLのほぼ全ての症例は,セリン/スレオニンキナーゼBRAF(RAFのアイソフォーム)のクローン性体細胞V600E活性化突然変異を示し,RAF-MEK-ERKシグナル伝達経路の構成的活性化と細胞生存の亢進をもたらす*13*14*15*16*17*18*19.

蓄積されたデータから,BRAFシグナル異常がHCLの生物学的特徴(「毛状」形態,細胞生存率の亢進,遺伝子発現シグネチャーなど)の基本的原因であることが示唆されている*20BRAFの阻害はin vitroでこれらの変化を逆転させ,効果的な治療戦略として用いられてきた.

RAF-MEK-ERKシグナル伝達経路の異常な活性化は,細胞の生存と増殖を促進するシグナルを伝達する.HCLの増殖指数は非常に低いので,これらの作用のうち,細胞生存の促進(アポトーシスの抑制)がより重要であると考えられている*21.

高感度分子アッセイ(次世代シークエンシング,対立遺伝子特異的ポリメラーゼ連鎖反応など)を用いた初期の研究では,HCLの大部分の症例で腫瘍クローン全体にBRAF V600E変異が同定されたが,他の末梢B細胞リンパ腫や白血病では同定されなかった. *22*23*24*25

その後の研究でBRAF V600Eの証明された疾患

HCL variantにはBRAF V600E変異は存在せず,高率にIGHV4-34免疫グロブリン再配列を有する.*24これらと他の明確な所見により,HCL variantは独自の疾患単位として分類されている.

その他の発症メカニズム

HCL細胞はフィブロネクチンを産生・集合させ*31塩基性線維芽細胞増殖因子(bFGF,FGF-2)*32,トランスフォーミング増殖因子-β(TGF-β1)*33,α腫瘍壊死因子(TNF)-α*32*34*35*36などのサイトカインを産生する。TNFは骨髄抑制とその結果としての汎血球減少に関与している可能性がある.*34

細胞周期阻害因子CDKN1B(p27),転写因子KLF2,KMT2C(MLL3),MAP2K1(MEK1をコードする)の変異が同定されている。

病理学的所見: 細胞組織の形態学的特徴

末梢血

末梢血は通常,単球減少を含む汎血球減少とHCLに特徴的な循環腫瘍細胞を示す。約90%の症例で,HCL細胞はMay-Giemsa染色塗抹標本で同定され,通常,全白血球数の20%以下を占める。
しかし,白血球増多を呈する患者の10%では,HCL細胞が優勢な循環白血球である。

ごく少数の患者は著明な白血球増加を呈し,白血球数は20万/μLを超える。この程度の白血球増加を示す患者は,HCLではなくHCL変種である可能性が高い。

Flow cytometry(FCM)-HCL

フローサイトメトリーによる特徴的なHCLフェノタイプの発現は,形態所見と組み合わせることで,HCL診断の基盤を成す。

(右端 Fig. A) 末梢血における毛様細胞白血病(HCL)の光散乱特性(FCM)。
毛様細胞/hairy cells(緑)は,正常リンパ球(赤)よりも前方光散乱(FSC,垂直軸)が高く,側方光散乱(SSC,水平軸)がやや高い。また,赤色のリンパ球と黒色の顆粒球の間に位置するはずの単球が欠如している点にも注意。 前方散乱/側方散乱の図は「じっくり医学講座, フローサイトメトリー(FCM)の原理をできるだけ簡単に、わかりやすく解説!」より*47

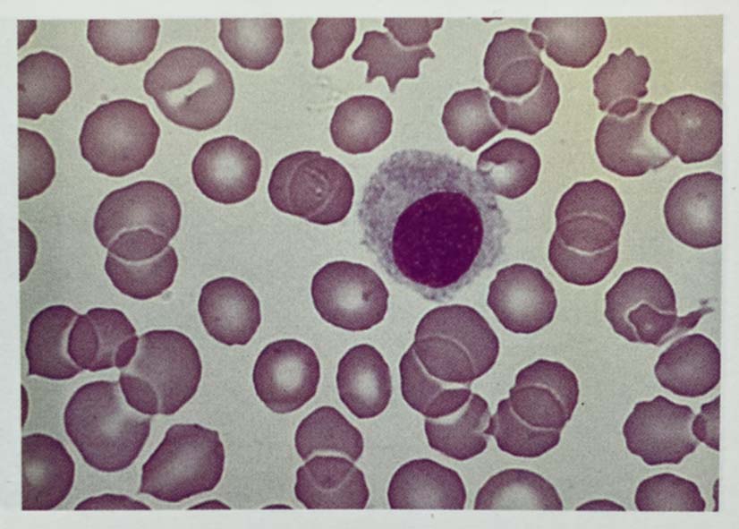
末梢血におけるヘアリー細胞白血病

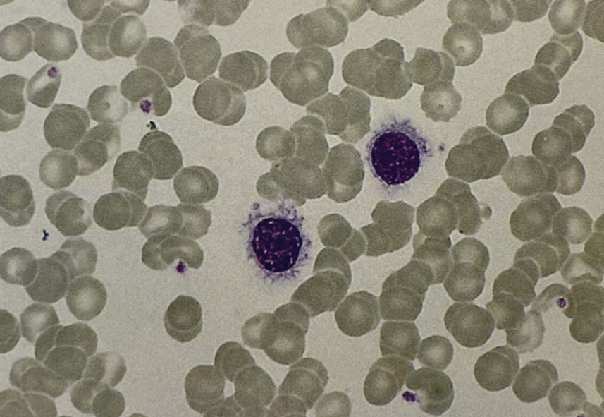
HCL細胞は,通常成熟リンパ球の1~2倍の大きさの単核細胞である(Fig1.)*48核の位置は偏心していることが多いが,中心核の場合もある。核は卵形が最も一般的であるが,円形,楕円形,腎状,または馬蹄形であることもある。HCL変異例では,非典型的な形態学的所見がより頻繁にみられる。クロマチンパターンは網状またはネット状であり,核小体は不明瞭または欠如している。

細胞質は量にばらつきがあるが,通常はかなり豊富で,淡青色から青灰色を呈し,時に "綿毛状 "と表現される。細胞質の輪郭は,位相差顕微鏡で最もよく観察される様々な数の突起の存在により,しばしば不明瞭であり,突起が細い場合は細胞に "毛状 "の外観を与え,突起が太い場合は "フリル状 "の外観を与える。毛状の突起は,電子顕微鏡*49,特に走査型電子顕微鏡で容易に確認できる。

 

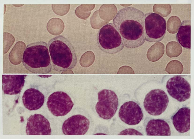
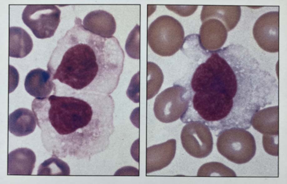
HCL細胞 末梢血*50*51

 

HCL 末梢血HCL細胞のヴァリアント

骨髄 bone marrow

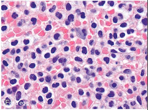
fried egg.jpg

骨髄(BM)は,HCLによる骨髄線維化とHairy細胞の細胞境界の連鎖のため,しばしば吸引が困難か不可能である(dry tap)。そのため,診断は末梢血とtrephine biopsyの分析に大きく依存する.

HCL骨髄病変の組織所見>fileHCL-morphology01.pdf

骨髄を侵すヘアリー細胞白血病

滲出した赤血球がしばしばみられ,脾臓で最もよくみられる有毛細胞で裏打ちされた空間に赤血球が集まった "血餅 "がみられることもある。有糸分裂像はまれで,腫瘍細胞の壊死やアポトーシスはみられない

骨髄の浸潤の程度は,通常,切片のCD20, PAX5などのB細胞関連抗原の免疫組織化学染色によって最もよく推定される。多くの場合,骨髄は有毛細胞のびまん性/間質性浸潤によりhypercellularである.*52

結節状の骨髄浸潤パターンがみられることは,まれである。少数例(おそらく10~20%)では,骨髄が低細胞性である
時に,骨髄形成不全を示唆するほど低細胞性が深く,脂肪細胞の周囲に浸潤している少数の有毛細胞を同定するには,注意深い観察が必要である [56-62] 。

びまん性病変を有する患者では,骨髄の広い範囲が有毛細胞で完全に覆われていることがある。一例として,ある研究では,骨髄浸潤の中央値は85%であった.*52

BMに限局性浸潤している場合,脂肪と造血細胞はある程度温存され,浸潤はランダムに存在する.

BM trephine biopsyのレチクリン染色(塗銀染色)では,ほとんどの場合,弾性線維が中程度から著明に増加する。一部の症例では,レチクリン線維が個々の有毛細胞を取り囲んでいるように見え,隣接するより正常なBM組織に伸展していることもある。骨硬化が報告されることはまれである.*53*54*55

脾臓,肝臓,リンパ節,その他の部位

通常,診断のために必要ではないが,脾臓の組織学的検査により,事実上すべての症例で腫瘍浸潤が証明される。他の適応症のために肝生検が行われるまれな例では,肝類洞の斑状浸潤は珍しくないが,肝腫大は明らかにまれである。リンパ節転移は通常みられない。

脾臓: 脾臓は,腫瘍細胞の赤脾髄びまん性浸潤と拡大により著明な腫大を示し,白脾髄の萎縮を伴う.*56腫瘍浸潤は,細胞質が明瞭な中型細胞の単調な集団で構成され,"目玉焼き "のような外観を呈する(Fig3).拡張した洞は赤血球で満たされ,"血の池"("仮性洞 "とも呼ばれる)を形成することがある。

肝臓 - 肝臓の病変はあっても軽微で,通常は類洞に限られる.*56

リンパ節 - 進行したHCL患者では,リンパ節への浸潤がみられることがある.*56腫瘍細胞は,濾胞間および傍皮質領域に様々に浸潤する。濾胞と類洞は通常温存される。

その他の部位-ごく稀に,乳房のような軟部組織に典型的なHCLが発現することがある.*57*58このようなまれな病態の根拠は不明である。

 

HCLの臨床的特徴

症状または徴候 - HCL患者のほとんどは,脾腫や細胞減少症(例えば,貧血,血小板減少症,好中球減少症,単球減少症)に関連した症状を呈し,脱力感や疲労感,様々な重症度の感染症,および/または歯肉出血,斑状出血,鼻出血,月経痛などの出血所見を含む。これらの症状の組み合わせは一般的である。HCLは,いくつかの臨床パターンで臨床医に認識されることになる:*59*60*60

Physical examination(身体所見)

触知可能な脾腫は,HCLの典型的な特徴であり,通常,身体所見の唯一の所見である.

症例シリーズでは,触知可能な脾腫が80-90%の症例で認められ,25%の症例では脾縁が左肋骨縁より8cm以上下にあることが報告されている.*68*59*60*60

脾腫の発生率および重症度は,患者が病気の経過の早い時期に診断されるにつれて減少している可能性がある.*68*69

肝腫大とリンパ節腫脹はHCLの主要な特徴ではなく,それぞれ患者の約20%と10%に認められる。

B型症状(発熱,寝汗,体重減少など)は通常,HCLとは関連せず,発熱がある場合は,重積した感染症を示す可能性が高い。

まれな所見として, 軟部組織浸潤,血管炎性皮疹,腹水,胸水がある。

検査所見

HCLにおける主な臨床検査値異常のおおよその頻度

貧血 - 85%

血小板減少 - 80%

好中球減少 - 80%

単球減少 - 80%

アゾ血症(血中尿素窒素[BUN]上昇) - 30%

肝機能検査異常 - 20%

高ガンマグロブリン血症 - 20%

白血球増加(総白血球数10,000/μL以上) - 10~20%

HCL variant

HCL variant-HCL変種(HCL-v)はまれな慢性B細胞リンパ性新生物で、以前はHCLの亜型と考えられていたが、現在では生物学的に異なる存在と考えられている.*52*56*70

国際コンセンサス分類(ICC)*71とWHO第5版*72の2つの最新の血液悪性腫瘍分類システムは、HCL-vが古典的なHCLとは異なることに同意しているが、HCL-vの扱いは異なっている.
ICCは、HCL-vを別個の暫定的な存在として維持しているのに対し、WHO第5版では、以前はHCL-vと考えられていた症例とBリンパ球性白血病を「顕著な核小体を伴う脾B細胞リンパ腫/白血病」という包括的なカテゴリーで一括りにしている*72

HCL-v細胞は、有毛細胞と前リンパ球の中間の形態学的特徴を示す。HCL細胞とは異なり*73

HCLとHCL-vは、免疫表現型に基づいて最もよく区別される*52.

HCL-vはBRAF V600E変異を欠く

HCL-vはBRAF V600E変異を欠くが、BRAF-MEK-ERKシグナルカスケードの下流構成要素であるMEK1をコードする遺伝子であるMAP2K1に活性化変異を持つサブセットがある *52*76

KMT2C、CCND3、U2AF1の変異もサブセットでみられる.HCL-vの診断におけるこれらの変異の検査の役割については、さらなる研究が必要である.*77


*1  Morton LM, Wang SS, Devesa SS, et al. Lymphoma incidence patterns by WHO subtype in the United States, 1992-2001. Blood 2006; 107:265.
*2  Ward FT, Baker J, Krishnan J, et al. Hairy cell leukemia in two siblings. A human leukocyte antigen-linked disease? Cancer 1990; 65:319.
*3  Colovic MD, Jankovic GM, Wiernik PH. Hairy cell leukemia in first cousins and review of the literature. Eur J Haematol 2001; 67:185.
*4  Tiacci E, Liso A, Piris M, Falini B. Evolving concepts in the pathogenesis of hairy-cell leukaemia. Nat Rev Cancer 2006; 6:437.
*5  Miranda RN, Cousar JB, Hammer RD, et al. Somatic mutation analysis of IgH variable regions reveals that tumor cells of most parafollicular (monocytoid) B-cell lymphoma, splenic marginal zone B-cell lymphoma, and some hairy cell leukemia are composed of memory B lymphocytes. Hum Pathol 1999; 30:306.
*6  Cleary ML, Wood GS, Warnke R, et al. Immunoglobulin gene rearrangements in hairy cell leukemia. Blood 1984; 64:99.
*7  Foroni L, Catovsky D, Luzzatto L. Immunoglobulin gene rearrangements in hairy cell leukemia and other chronic B cell lymphoproliferative disorders. Leukemia 1987; 1:389.
*8  Korsmeyer SJ, Greene WC, Cossman J, et al. Rearrangement and expression of immunoglobulin genes and expression of Tac antigen in hairy cell leukemia. Proc Natl Acad Sci U S A 1983; 80:4522.
*9  Arons E, Roth L, Sapolsky J, et al. Evidence of canonical somatic hypermutation in hairy cell leukemia. Blood 2011; 117:4844.
*10  Monnereau A, Slager SL, Hughes AM, et al. Medical history, lifestyle, and occupational risk factors for hairy cell leukemia: the InterLymph Non-Hodgkin Lymphoma Subtypes Project. J Natl Cancer Inst Monogr 2014; 2014:115.
*11  Orsi L, Delabre L, Monnereau A, et al. Occupational exposure to pesticides and lymphoid neoplasms among men: results of a French case-control study. Occup Environ Med 2009; 66:291.
*12  Stewart DJ, Keating MJ. Radiation exposure as a possible etiologic factor in hairy cell leukemia (leukemic reticuloendotheliosis). Cancer 1980; 46:1577.
*13  Tiacci E, Trifonov V, Schiavoni G, et al. BRAF mutations in hairy-cell leukemia. N Engl J Med 2011; 364:2305.
*14  Boyd EM, Bench AJ, van 't Veer MB, et al. High resolution melting analysis for detection of BRAF exon 15 mutations in hairy cell leukaemia and other lymphoid malignancies. Br J Haematol 2011; 155:609.
*15  Arcaini L, Zibellini S, Boveri E, et al. The BRAF V600E mutation in hairy cell leukemia and other mature B-cell neoplasms. Blood 2012; 119:188.
*16  Schnittger S, Bacher U, Haferlach T, et al. Development and validation of a real-time quantification assay to detect and monitor BRAFV600E mutations in hairy cell leukemia. Blood 2012; 119:3151.
*17  Xi L, Arons E, Navarro W, et al. Both variant and IGHV4-34-expressing hairy cell leukemia lack the BRAF V600E mutation. Blood 2012; 119:3330.
*18  Shao H, Calvo KR, Gronborg M, et al. Distinguishing hairy cell leukemia variant from hairy cell leukemia: development and validation of diagnostic criteria. Leuk Res 2013; 37:401.
*19  Tiacci E, Schiavoni G, Forconi F, et al. Simple genetic diagnosis of hairy cell leukemia by sensitive detection of the BRAF-V600E mutation. Blood 2012; 119:192.
*20  Pettirossi V, Santi A, Imperi E, et al. BRAF inhibitors reverse the unique molecular signature and phenotype of hairy cell leukemia and exert potent antileukemic activity. Blood 2015; 125:1207.
*21  Chilosi M, Chiarle R, Lestani M, et al. Low expression of p27 and low proliferation index do not correlate in hairy cell leukaemia. Br J Haematol 2000; 111:263.
*22  Tiacci E, Trifonov V, Schiavoni G, et al. BRAF mutations in hairy-cell leukemia. N Engl J Med 2011; 364:2305.
*23  Boyd EM, Bench AJ, van 't Veer MB, et al. High resolution melting analysis for detection of BRAF exon 15 mutations in hairy cell leukaemia and other lymphoid malignancies. Br J Haematol 2011; 155:609.
*24  Xi L, Arons E, Navarro W, et al. Both variant and IGHV4-34-expressing hairy cell leukemia lack the BRAF V600E mutation. Blood 2012; 119:3330.
*25  Tiacci E, Schiavoni G, Forconi F, et al. Simple genetic diagnosis of hairy cell leukemia by sensitive detection of the BRAF-V600E mutation. Blood 2012; 119:192.
*26  Haroche J, Charlotte F, Arnaud L, et al. High prevalence of BRAF V600E mutations in Erdheim-Chester disease but not in other non-Langerhans cell histiocytoses. Blood. 2012 Sep 27;120(13):2700-3. PMID: 22879539.
*27  Diamond EL, Durham BH, Haroche J, et al. Diverse and Targetable Kinase Alterations Drive Histiocytic Neoplasms. Cancer Discov. 2016 Feb;6(2):154-65.Epub 2015 Nov 13. PMID: 26566875
*28  Emile JF, Diamond EL, Hélias-Rodzewicz Z, et al.Recurrent RAS and PIK3CA mutations in Erdheim-Chester disease. Blood. 2014 Nov 6;124(19):3016-9.PMID: 25150293
*29  Raess PW, Mintzer D, Husson M, et al. BRAF V600E is also seen in unclassifiable splenic B-cell lymphoma/leukemia, a potential mimic of hairy cell leukemia. Blood 2013; 122:3084.
*30  Raess PW, Mintzer D, Husson M, et al. BRAF V600E is also seen in unclassifiable splenic B-cell lymphoma/leukemia, a potential mimic of hairy cell leukemia. Blood 2013; 122:3084.
*31  Burthem J, Cawley JC. The bone marrow fibrosis of hairy-cell leukemia is caused by the synthesis and assembly of a fibronectin matrix by the hairy cells. Blood 1994; 83:497.
*32  Gruber G, Schwarzmeier JD, Shehata M, et al. Basic fibroblast growth factor is expressed by CD19/CD11c-positive cells in hairy cell leukemia. Blood 1999; 94:1077.
*33  Shehata M, Schwarzmeier JD, Hilgarth M, et al. TGF-beta1 induces bone marrow reticulin fibrosis in hairy cell leukemia. J Clin Invest 2004; 113:676
*34  Lindemann A, Ludwig WD, Oster W, et al. High-level secretion of tumor necrosis factor-alpha contributes to hematopoietic failure in hairy cell leukemia. Blood 1989; 73:880.
*35  Barak V, Nisman B, Polliack A. The tumor necrosis factor family and and correlation with disease activity and response to treatment in hairy cell leukemia. Eur J Haematol 1999; 62:71.
*36  Eigler A, Waller-Fontaine K, Moeller J, et al. The hairy cell leukemia cell line Eskol spontaneously synthesizes tumor necrosis factor-alpha and nitric oxide. Leuk Res 1998; 22:501.
*37  Carulli G., Cannizzo E., Zucca A., et. al.: CD45 expression in low-grade B-cell non-Hodgkin’s lymphomas. Leuk Res 2008; 32: pp. 263-267.
*38  Foucar K.: Chronic lymphoid leukemias and lymphoproliferative disorders. Mod Pathol 1999; 12: pp. 141-150.
*39  De Propris M.S., Musiu P., Intoppa S., et. al.: Hairy cell leukaemia with low CD103 expression: a rare but important diagnostic pitfall. Br J Haematol 2022; 198: pp. e28-e31.
*40  Del Giudice I., Matutes E., Morilla R., et. al.: The diagnostic value of CD123 in B-cell disorders with hairy or villous lymphocytes. Haematologica 2004; 89: pp. 303-308.
*41  Baseggio L., Traverse-Glehen A., Callet-Bauchu E., et. al.: Relevance of a scoring system including CD11c expression in the identification of splenic diffuse red pulp small B-cell lymphoma (SRPL). Hematol Oncol 2011; 29: pp. 47-51.
*42  Traverse-Glehen A., Baseggio L., Salles G., et. al.: Splenic marginal zone B-cell lymphoma: a distinct clinicopathological and molecular entity. Recent advances in ontogeny and classification. Curr Opin Oncol 2011; 23: pp. 441-448.
*43  Shao H., Calvo K.R., Gronborg M., et. al.: Distinguishing hairy cell leukemia variant from hairy cell leukemia: development and validation of diagnostic criteria. Leuk Res 2013; 37: pp. 401-409.
*44  Venkataraman G., Aguhar C., Kreitman R.J., et. al.: Characteristic CD103 and CD123 expression pattern defines hairy cell leukemia: usefulness of CD123 and CD103 in the diagnosis of mature B-cell lymphoproliferative disorders. Am J Clin Pathol 2011; 136: pp. 625-630.
*45  Rahman K., Kumar P., Gupta R., Singh M.K., Nityanand S.: Role of CD200 in differential diagnosis of mature B-cell neoplasm. Int J Lab Hematol 2017; 39: pp. 384-391.
*46  van Bockstaele D.R., Berneman Z.N., Peetermans M.E.: Flow cytometric analysis of hairy cell leukemia using right-angle light scatter. Cytometry 1986; 7: pp. 217-220.
*47  バイオ先生https://easy-bio-blog.com/analytical-technique-flowcytometry/
*48  Summers TA, Jaffe ES. Hairy cell leukemia diagnostic criteria and differential diagnosis. Leuk Lymphoma 2011; 52 Suppl 2:6.
*49  Daniel MT, Flandrin G. Fine structure of abmormal cells in hairy cell (tricholeukocytic) leukemia, with special reference to their in vitro phagocytic capacity. Lab Invest 1974; 30:1.
*50  Mufti GJ, Flandrin G, Schaefer H-E, et al. An Atlas of Malignant Haematology, cytology, histology and cytogenetics, Martin Duniz Ltd, London, 1996
*51  Foucar K. Bone marrow pathology ASCP press,
*52  Shao H, Calvo KR, Gronborg M, et al. Distinguishing hairy cell leukemia variant from hairy cell leukemia: development and validation of diagnostic criteria. Leuk Res 2013; 37:401.
*53  VanderMolen LA, Urba WJ, Longo DL, et al. Diffuse osteosclerosis in hairy cell leukemia. Blood 1989; 74:2066.
*54  Verhoef GE, De Wolf-Peeters C, Zachee P, Boogaerts MA. Regression of diffuse osteosclerosis in hairy cell leukaemia after treatment with interferon. Br J Haematol 1990; 76:150.
*55  Leung R, Lopes D, Lam C, et al. Diffuse osteosclerosis complicating hairy cell leukemia. J Clin Oncol 2010; 28:e203.
*56  World health organization classification of tumours of haematopoietic and lymphoid tissues, revised 4th edition, Swerdlow SH, Campo E, Harris NL, et al. (Eds), IARC, Lyon 2017.
*57  Morgan EA, Katzman LE, Georgian-Smith D, et al. Hairy cell leukemia presenting as a palpable breast mass. J Hematop 2014; 7:181.
*58  Pilichowska M, Shariftabrizi A, Mukand-Cerro I, Miller K. Primary hairy cell leukemia/lymphoma of the breast: a case report and review of the literature. Case Rep Pathol 2014; 2014:497027.
*59  Catovsky D. Hairy-cell leukaemia and prolymphocytic leukaemia. Clin Haematol 1977; 6:245.
*60  Golomb HM, Catovsky D, Golde DW. Hairy cell leukemia: a clinical review based on 71 cases. Ann Intern Med 1978; 89:677.
*61  Grever MR. How I treat hairy cell leukemia. Blood 2010; 115:21.
*62  Hasler P, Kistler H, Gerber H. Vasculitides in hairy cell leukemia. Semin Arthritis Rheum 1995; 25:134.
*63  Rosen DS, Smith S, Gurbuxani S, Yamini B. Extranodal hairy cell leukemia presenting in the lumbar spine. J Neurosurg Spine 2008; 9:374.
*64  Lal A, Tallman MS, Soble MB, et al. Hairy cell leukemia presenting as localized skeletal involvement. Leuk Lymphoma 2002; 43:2207.
*65  Yonal-Hindilerden I, Hindilerden F, Bulut-Dereli S, et al. Hairy Cell Leukemia Presenting with Isolated Skeletal Involvement Successfully Treated by Radiation Therapy and Cladribine: A Case Report and Review of the Literature. Case Rep Hematol 2015; 2015:803921.
*66  Osman H, Roth T, Zhou J. Hairy cell lymphoma: a unique presentation of hairy cell leukaemia. Br J Haematol 2013; 162:294.
*67  Hammond WA, Swaika A, Menke D, Tun HW. Hairy Cell Lymphoma: A Potentially Under-Recognized Entity. Rare Tumors 2017; 9:6518.
*68  Frassoldati A, Lamparelli T, Federico M, et al. Hairy cell leukemia: a clinical review based on 725 cases of the Italian Cooperative Group (ICGHCL). Italian Cooperative Group for Hairy Cell Leukemia. Leuk Lymphoma 1994; 13:307.
*69  Grever MR, Abdel-Wahab O, Andritsos LA, et al. Consensus guidelines for the diagnosis and management of patients with classic hairy cell leukemia. Blood 2017; 129:553.
*70  World Health Organization Classification of Tumours of Haematopoietic and Lymphoid Tissues, Swerdlow SH, Campo E, Harris NL, et al. (Eds), IARC Press, Lyon 2008.
*71  Campo E, Jaffe ES, Cook JR, et al. The International Consensus Classification of Mature Lymphoid Neoplasms: a report from the Clinical Advisory Committee. Blood 2022; 140:1229.
*72  Alaggio R, Amador C, Anagnostopoulos I, et al. The 5th edition of the World Health Organization Classification of Haematolymphoid Tumours: Lymphoid Neoplasms. Leukemia 2022; 36:1720.
*73  Arons E, Suntum T, Stetler-Stevenson M, Kreitman RJ. VH4-34+ hairy cell leukemia, a new variant with poor prognosis despite standard therapy. Blood 2009; 114:4687.
*74  Basso K, Liso A, Tiacci E, et al. Gene expression profiling of hairy cell leukemia reveals a phenotype related to memory B cells with altered expression of chemokine and adhesion receptors. J Exp Med 2004; 199:59.
*75  Falini B, Tiacci E, Liso A, et al. Simple diagnostic assay for hairy cell leukaemia by immunocytochemical detection of annexin A1 (ANXA1). Lancet 2004; 363:1869.
*76  Waterfall JJ, Arons E, Walker RL, et al. High prevalence of MAP2K1 mutations in variant and IGHV4-34-expressing hairy-cell leukemias. Nat Genet 2014;46:8.
*77  Durham BH, Getta B, Dietrich S, et al. Genomic analysis of hairy cell leukemia identifies novel recurrent genetic alterations. Blood 2017; 130:1644.

トップ   新規 一覧 検索 最終更新   ヘルプ   最終更新のRSS