症例報告

ALK-positive lymphoma of the abdominal lymph nodes. variant of ALCL?

30歳代男性

CTparaaortaLN01.jpg

不明熱の精査目的に当院入院. 連日39-40℃の発熱が続く。
WBC10500/μl, CRP16mg/dl, LDH216IU/L(H), sIL-2 receptor 27700.
初診時CTでは肝門部にわずかなリンパ節腫大を認めたが, 不明熱発現12日後のCTでは、右肺底部浸潤影, 肝脾腫大にくわえて胃周囲, 肝鎌状靱帯, 傍大動脈領域リンパ節が多数腫大していた。診断確定のため開腹リンパ節生検を計画したが全身状態が急激に悪化, MOF状態に陥いる。生検をあきらめ臨床,画像診断より悪性リンパ腫と診断, CHOP like therapyを1コース施行した。治療は著効し解熱, MOF状態は改善した。全身状態改善後肝針生検を行うが異常細胞は認められなかった。CHOP-like療法/3週間を3コース終了。中枢神経再発の予防に髄液検査とMDA療法の髄注を追加した。sIL-2 27700→424と正常化, CTでCRの効果確認され退院。以後外来で追加化学療法を施行した。

病理学的所見

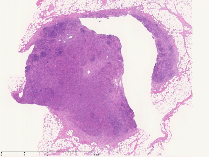
開腹リンパ節生検(腹膜脂肪組織内リンパ節, 割が入っている)

ALKabd01.jpg

Virtual Slide---> 腹膜リンパ節 now available

sing in as guestでログインできます。右クリックで新しいウィンドウで開くと便利。

 

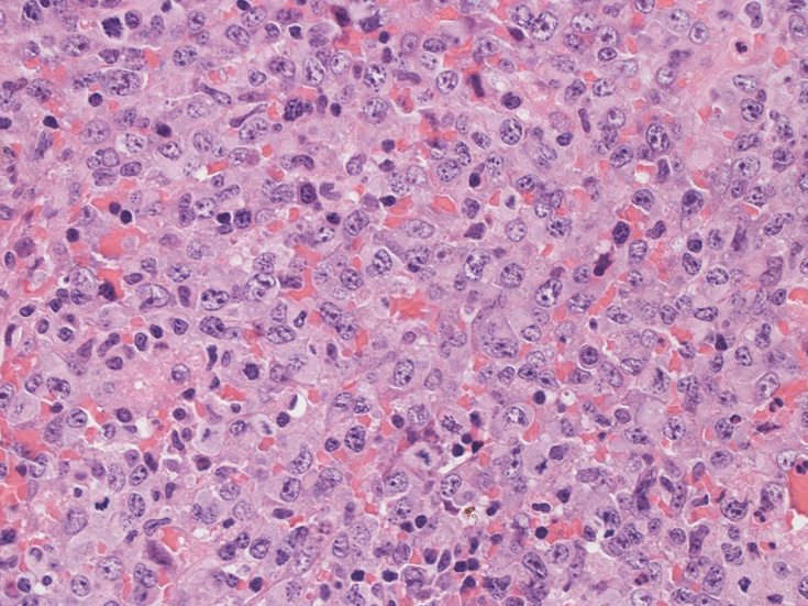
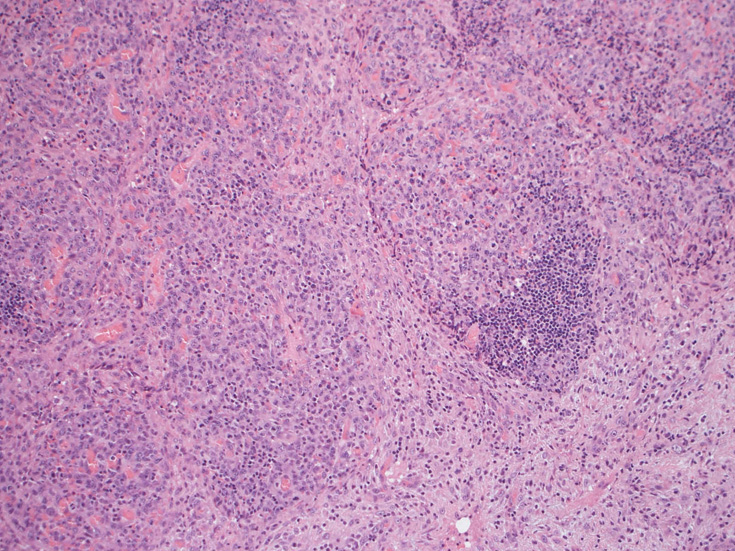
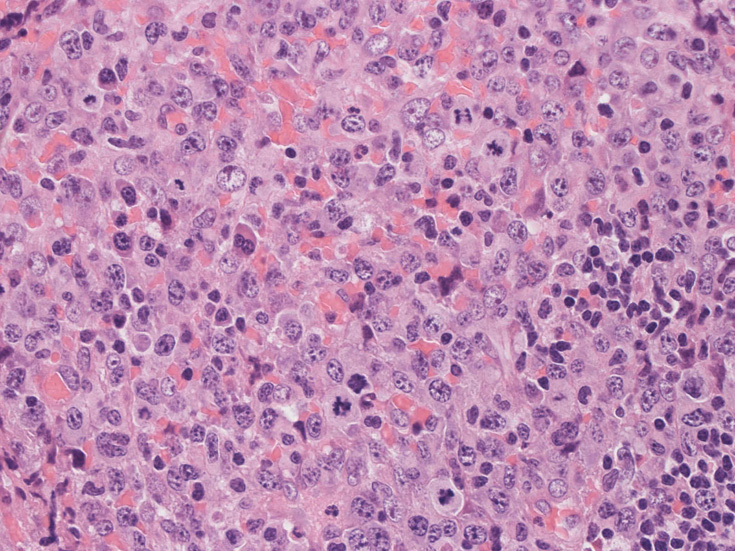
リンパ節, 増殖腫瘍細胞の病理所見

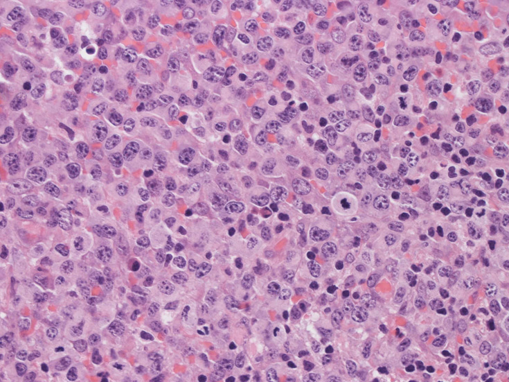
腹膜脂肪組織内から生検されたリンパ節は基本構造を失っている。低倍率のHE所見では異型細胞が不鮮明な結節構造を形成して増殖している。一次リンパ濾胞を腫瘍細胞が置換しているように見える所見がある。

高倍率x400では, 増殖細胞はcentroblastに似て複数の明瞭な核小体をもった淡明な大型類円ないし卵円形核を持っている。核分裂像が多い。この症例では多型はめだたない。典型的な腎臓型のくびれた核を持つ細胞などはない。ALKの形態的variant症例と考えられるが, 化学療法後の再発による影響も否定できない。

 

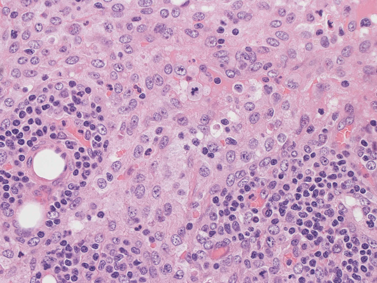
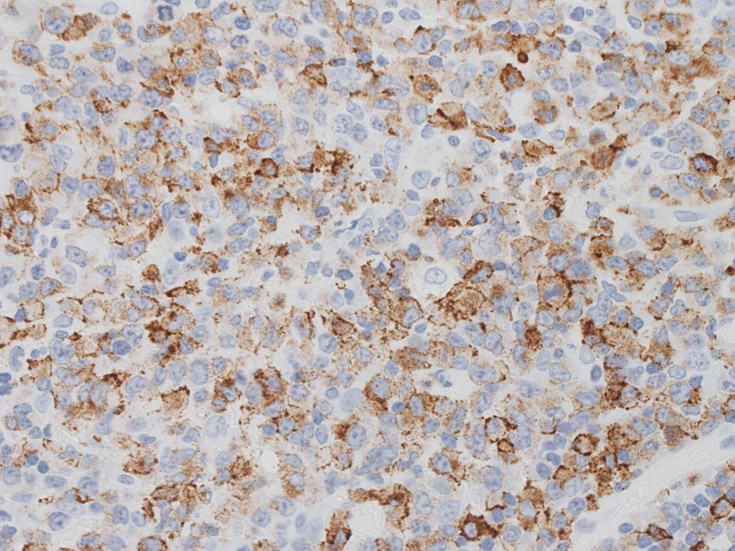
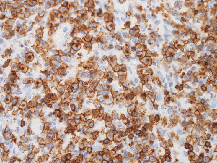
免疫染色の所見

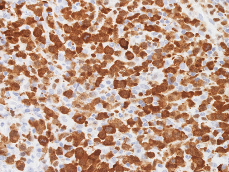
CD30はほぼ全ての腫瘍細胞に陽性となる。膜とゴルジ装置が染まり, 図のように細胞質内に斑点状の染まりが認められます。増殖細胞はCD3, CD20陰性.
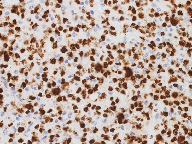
この症例では多くの腫瘍細胞がCD5陽性となり、CD30と同じ染色パターンを呈した。

ALCLの免疫染色. 陽性抗体と陰性抗体:ALCLのページ

ALCLの形態学的variant

Pathologyoutline, Anaplastic large cell lymphoma, ALK positiveから引用

リンパ組織球性(10%)*1*2

小細胞性(5~10%) *3

''ホジキン様 Hodgkin-like (1 - 3%) *6

Hypocellular type (低細胞性) *7

その他のパターン

複合パターン composite pattern (10 - 20%)


*1  Pileri S, et al. Lymphohistiocytic T-cell lymphoma (anaplastic large cell lymphoma CD30+/Ki-1 + with a high content of reactive histiocytes)Histopathology 1990 Apr;16(4):383-91.PMID: 2163351
*2  Klapper W, et al. Morphological variability of lymphohistiocytic variant of anaplastic large cell lymphoma (former lymphohistiocytic lymphoma according to the Kiel classification)Virchows Arch 2008 Jun;452(6):599-605.PMID: 18478258
*3  Summers TA,et al.The small cell variant of anaplastic large cell lymphoma. Arch Pathol Lab Med 2010 Nov;134(11):1706-10.PMID: 21043827
*4  Am J Surg Pathol 1999;23:49
*5  Kinney MC, et al.Anaplastic large cell lymphoma: twenty-five years of discovery. Arch Pathol Lab Med. 2011 Jan;135(1):19-43.
*6  Vassallo J, et al. ALK-positive anaplastic large cell lymphoma mimicking nodular sclerosis Hodgkin's lymphoma: report of 10 cases Am J Surg Pathol 2006 Feb;30(2):223-9.PMID: 16434897
*7  Cheuk W, et al. Hypocellular anaplastic large cell lymphoma mimicking inflammatory lesions of lymph nodesAm J Surg Pathol 2000 Nov;24(11):1537-43.PMID: 11075856

トップ   新規 一覧 検索 最終更新   ヘルプ   最終更新のRSS