Acute promyelocytic leukaemia-AML M3

Acute promyelocytic leukaemia - Case 02

67歳男性

かかりつけ医で汎血球減少を指摘され当院を受診。WBC700/μl, RBC 296x10^4/μl, Hb10.3g/dl, Plt.5.3x10^4/μl, differential; blast1.0%

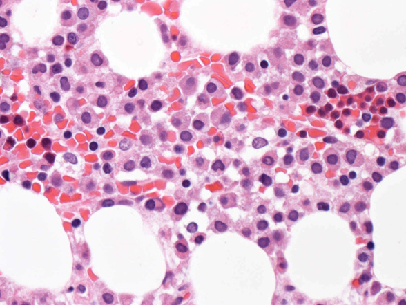
病理組織・細胞所見

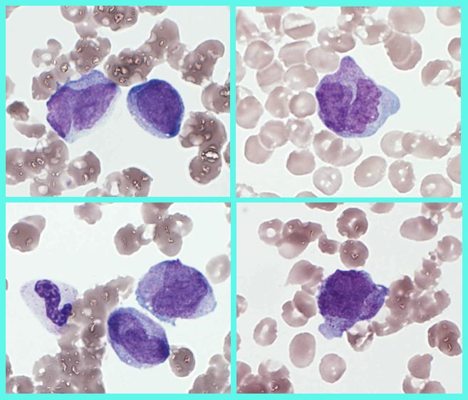
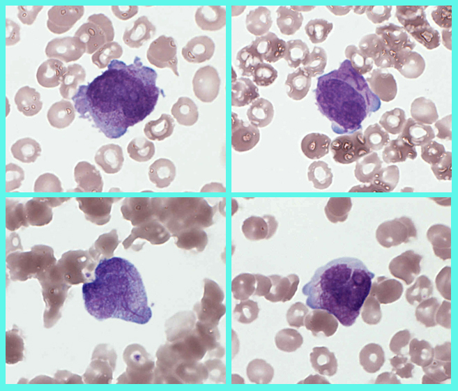
myelogram; NCC4.5x10^4/μl, Mgk 0, 好塩基性顆粒をもつ異型前骨髄球様細胞が増加。M3variantに似るねじれた核の前骨髄球、fagott cellが出現し, 有核細胞の70%を占める

Ygranule01.jpg
Ygranule02.jpg
Yfagott.jpg
好塩基性顆粒をもつ異型細胞ねじれた核をもつ異型前骨髄球様細胞fagott cell

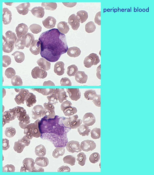
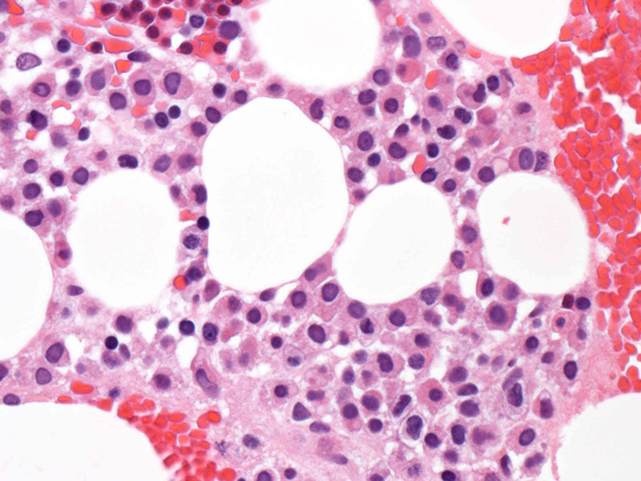
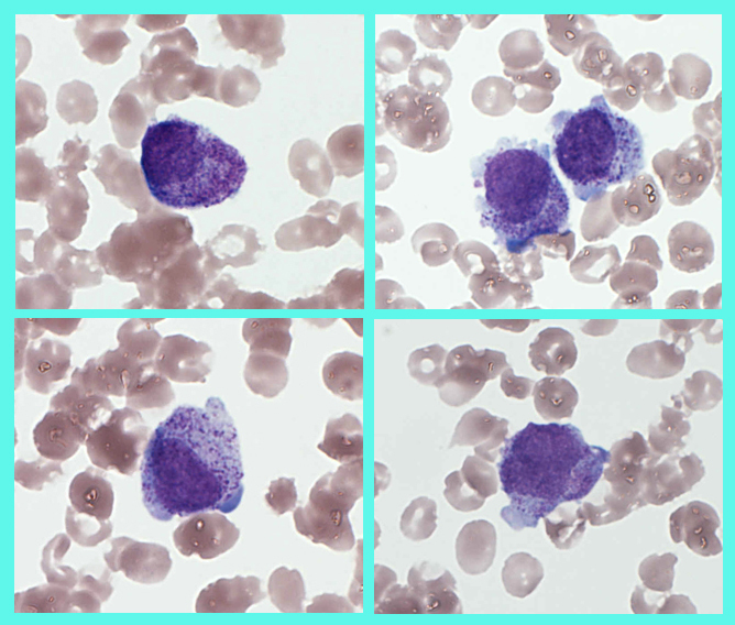
骨髄clot sectionは小型のparticleが一個のみ認められた。正常造血は抑制され異型核の幼若細胞が増殖。MPOびまん性陽性。末梢血では異型前骨髄球様細胞が出現。

M3HE02.jpg
M3HE03.jpg
Yperipheral.jpg
骨髄クロットHE標本骨髄クロットHE,同じparticle末梢血
 
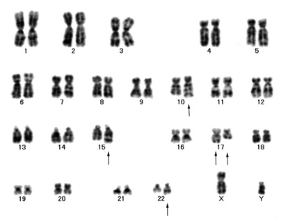
karyotype03.jpg

karyotypeではt(15;17)(q22;q11-12)以外に付加的染色体異常, add(10)(q24), add(17)(q11), add(22)(q11)を12/20 cellsに認めた。

 
FISH01.jpg

核間期FISHでPML-RARA融合遺伝子を107細胞中78%の細胞に認めた。

病理診断: Acute promyelocytic leukaemia, M3 非定型型

治療と経過

AML-M3, 形態的にも核型においても非定型型(M3 variantといわれるtypeとも異なる)と診断。
ATRA投与を開始する。検査結果においてDICの可能性があり, FOY, heparinの投与も行う。滑膜炎, RA様症状を発症しATRAを一時中止する。ステロイド投与により改善した。ステロイドを持続しながらATRAを再開した。以後, JALSG APL97にてconsolidation開始。顆粒球減少にはG-CSFを投与した。FISHでPML-RARA陰性化。CRで退院。 以後1回再発するがATRA, JALSG APL97にてCR. その後再発無く10年後の現在無病でfollow up中。


トップ   新規 一覧 検索 最終更新   ヘルプ   最終更新のRSS