Wikipathologica-KDP

Systemic amyloidosis

作成中

アミロイドーシスは一群の疾患であり, 各疾患に固有の前駆タンパク質が重合しアミロイド線維を形成, 全身諸臓器, 代表的には心臓, 肝臓,腎臓に沈着し各々, うっ血性心不全, 肝不全, ネフローゼ症候群をきたす.

全身性アミロイドーシスは36種類のアミロイド前駆タンパク質が同定され,それぞれに対応して, 疾患名が付与されている.*1

心アミロイドーシス Cardiac amyloidosis

心アミロイドーシスは全身性アミロイドーシスにおいて, 心筋細胞間にアミロイド線維が沈着し, 形態的, 機能的異常をきたした病態と定義される. 心肥大, 拡張障害を主体とする心不全,伝導障害, 心房細動, 致死的不整脈をきたす予後不良の疾患.*2

心アミロイドーシスは,主に次の2種

ATTRはトランスサイレチン遺伝子に変異のない, 野生型(ATTRwt)と変異が認められる遺伝性ATTR(ATTRv)がある.

アミロイドの免疫組織化学的染色(例えば、κおよびλ軽鎖、トランスサイレチン、血清アミロイドA成分)により、アミロイドーシスのタイプを決定することができる *3

κまたはλ陽性染色はALアミロイドーシスを、トランスサイレチン陽性染色は遺伝性または野生型トランスサイレチン(ATTRmtまたはATTRwt)アミロイドーシスを、血清アミロイドA成分陽性染色は二次性(AA)アミロイドーシスを示す。
しかし、免疫組織化学的染色は、経験の浅い手技では偽陰性や偽陽性がよくみられるため、抗体についてかなりの専門知識を有する施設でのみ行うべきである. *4

心アミロイドーシス 免疫グロブリン性アミロイドーシス(AL)

 

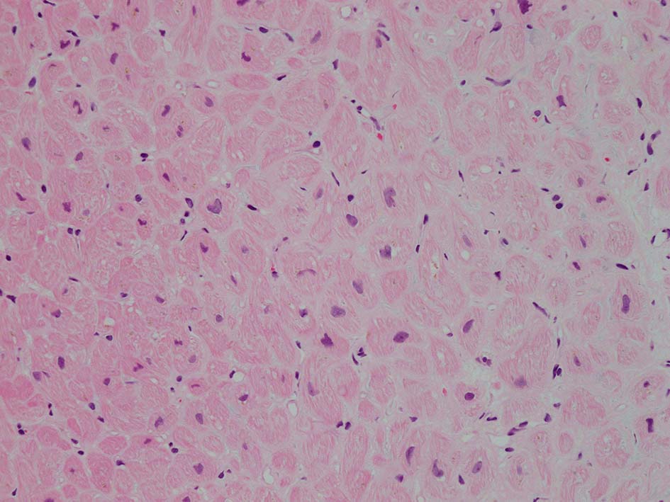
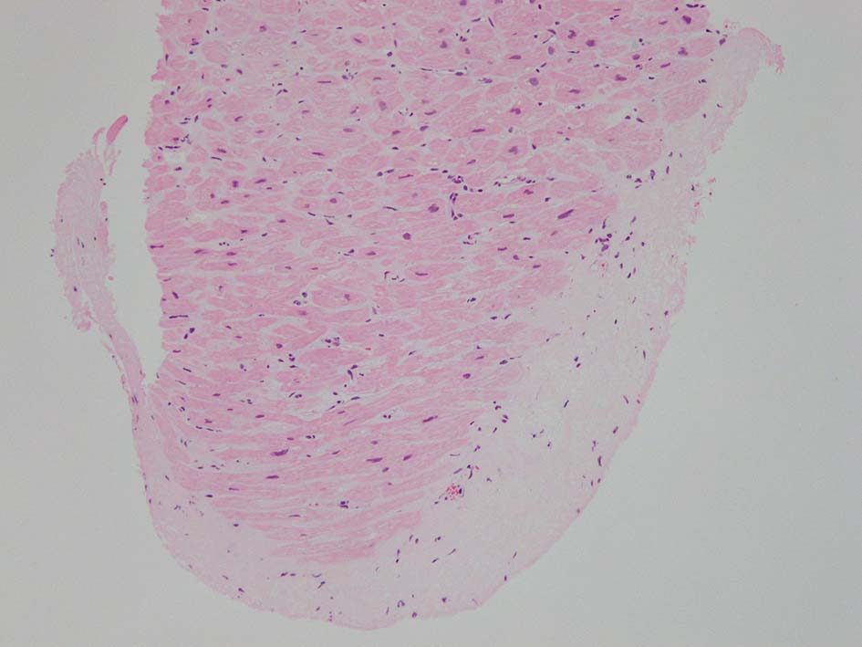
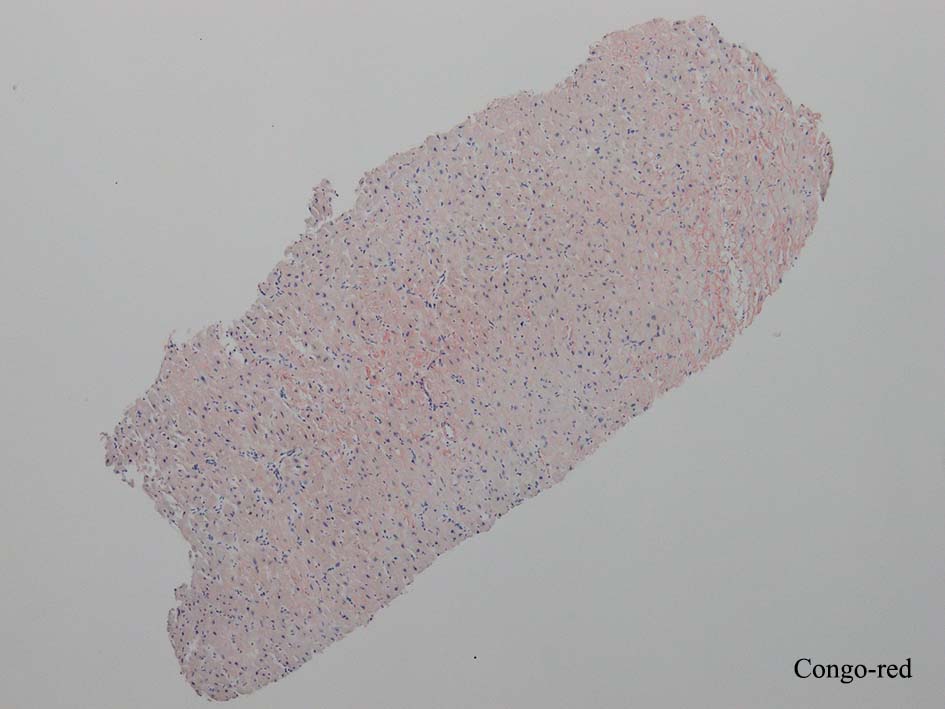
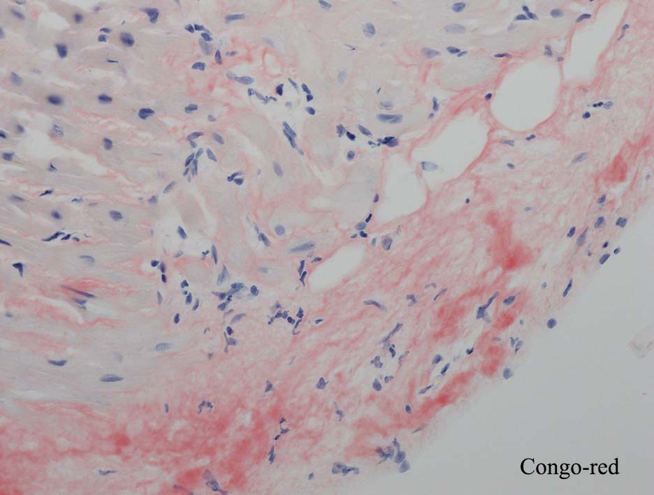
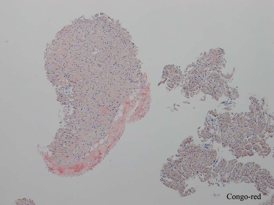
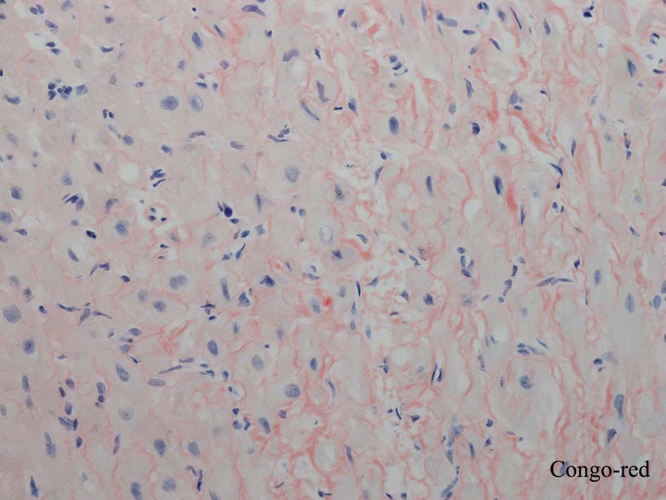
HE所見では, 明瞭な沈着物はわかりにくい. 血管壁が確認できる血管も少ない. congo-red染色で沈着が考えられる所見があり, 簡易偏光で(みずらいけれど)apple-greenの偏光があるように見える.(サムネイルのクリックで大きな画像が見られます)

 

免疫染色

免疫染色で lambda-LC が陽性に染色されている. kappa-LC, amyloid A, transthyretinは陰性. (免疫染色は浜松医科大学病院病理に依頼し染色していただきました.深謝いたします)


*1  recommendations by the International Society of Amyloidosis (ISA) nomenclature committee.Amyloid. 2018 Dec;25(4):215-219.PMID: 30614283
*3  Schönland SO, Hegenbart U, Bochtler T, et al. Immunohistochemistry in the classification of systemic forms of amyloidosis: a systematic investigation of 117 patients. Blood 2012; 119:488.
*4  up to date;Clinical presentation, laboratory manifestations, and diagnosis of immunoglobulin light chain (AL) amyloidosis

トップ   新規 一覧 検索 最終更新   ヘルプ   最終更新のRSS