Wikipathologica-KDP
72 year-old male
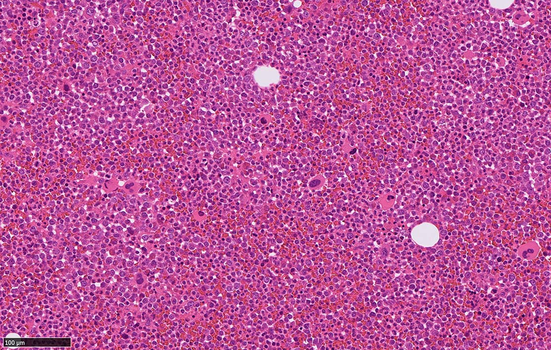
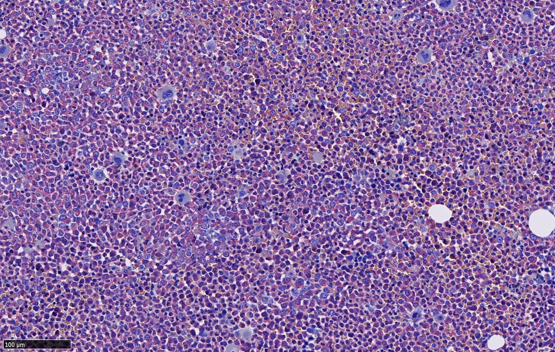
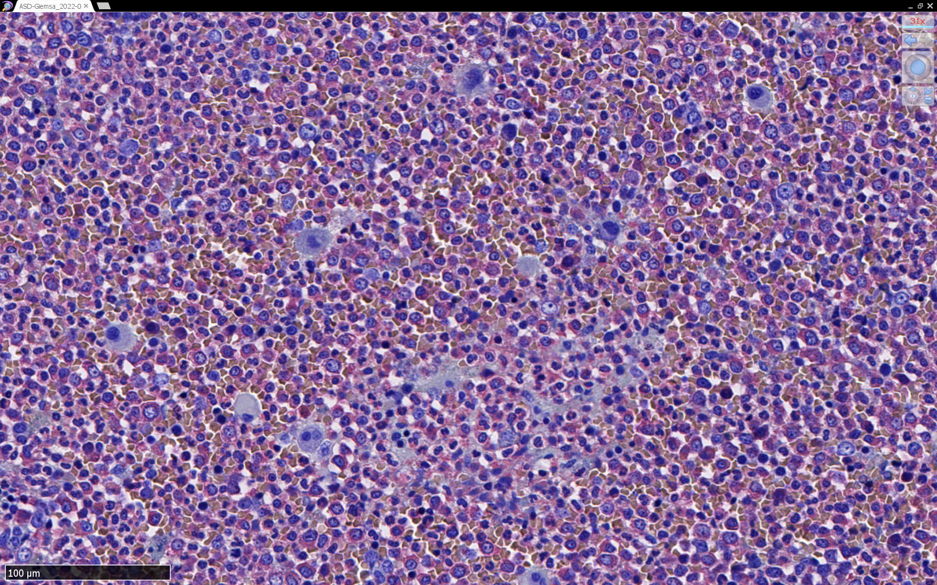
CML HE x5 CML HE x20 Naphtol-ASD-CAE x10 Naphtol-ASD-CAE x20 画像を追加する
dwarf Mgks 画像を追加する 典型的なCML(chronic phase)の骨髄組織では, 赤芽球血島形成は消失する. 一方 Mgkの数は保たれるが, 「dwarf Mgk」と呼ばれる小型の巨核球が増加する. bizzarreな核をもつMgkも出現する.
典型的なCML(chronic phase)の骨髄組織では, 赤芽球血島形成は消失する. 一方 Mgkの数は保たれるが, 「dwarf Mgk」と呼ばれる小型の巨核球が増加する. bizzarreな核をもつMgkも出現する.