Wikipathologica-KDP

intravascular large B-cell lymphoma

effusion lymphoma

貯留した滲出液内に大型異型リンパ球が増殖しリンパ節の腫大をきたさないリンパ腫.

作成中 φ(・_ ・)

Case: effusion lymphoma

68歳男性 
頭痛,喘鳴,咳を主訴に受診, 1週間ほど前より便通がわるく腹部膨満感あり. 近医を受診, 心不全の診断で治療をうけるが改善せず.腹部膨満感悪化. 胸部CTにより著明な心嚢水貯留をみとめ緊急入院となる. 全身のリンパ節腫大を認めず.

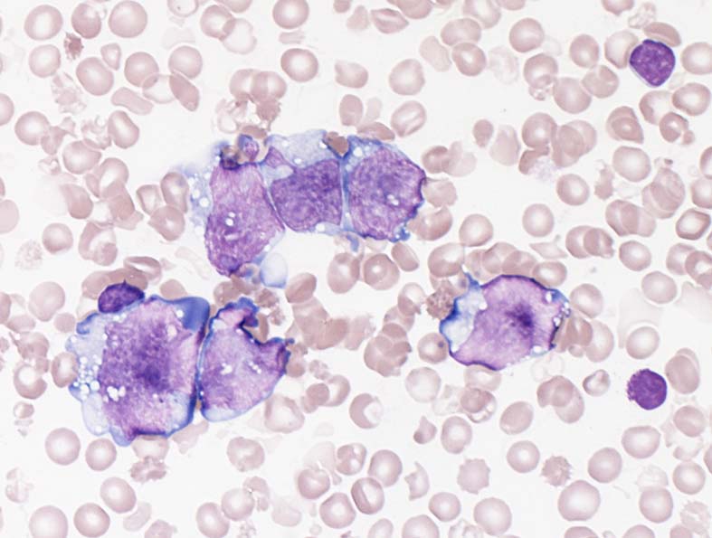
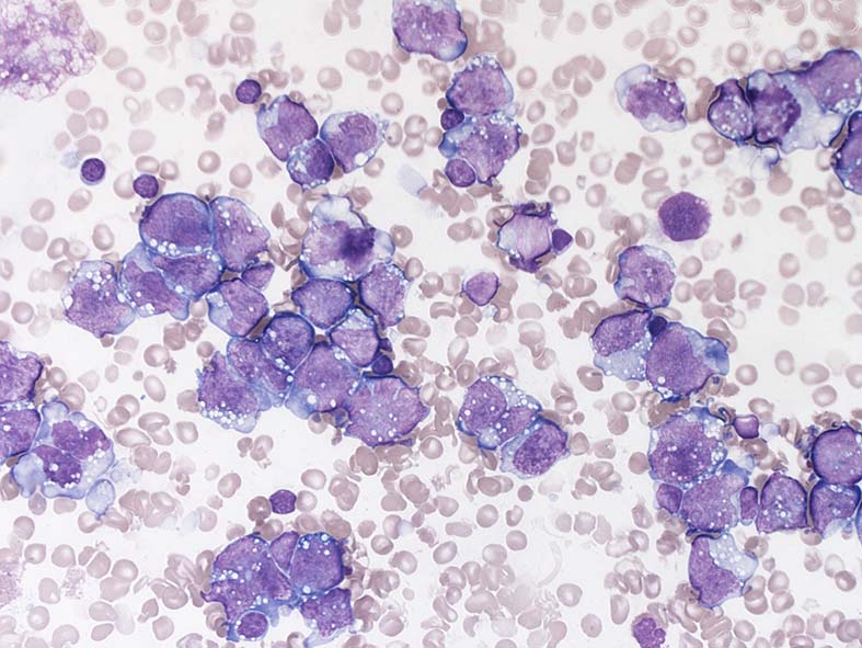
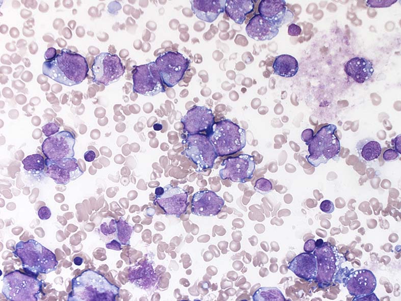
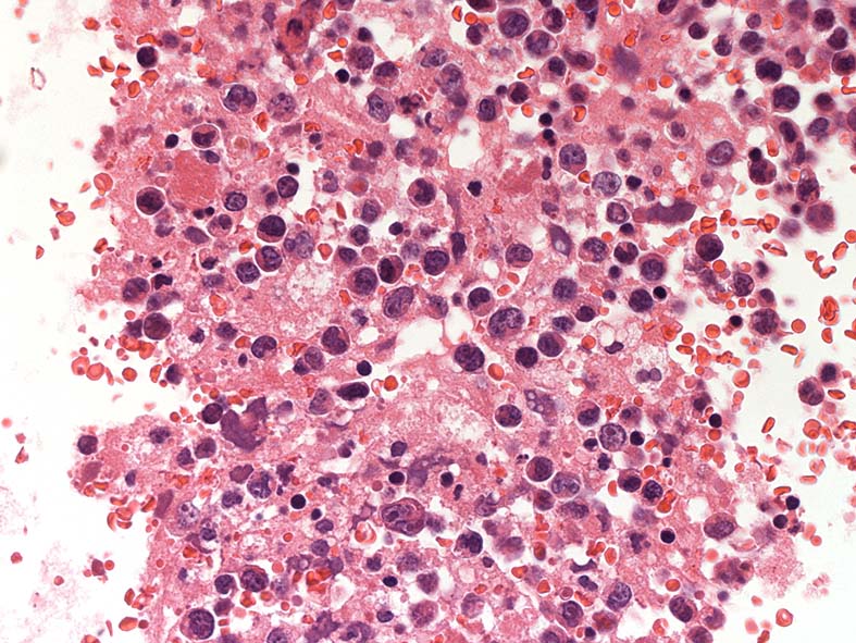
心タンポナーデの診断で心嚢液穿刺ドレナージ. 心嚢液内に多数の異型細胞増加が認められた.心嚢液smear標本. Giemsa染色

小型リンパ球の3-4倍, 空胞の多い青色調の細胞質をもった大型異型細胞が増殖. 核クロマチンは微細顆粒状, 繊細で核小体が1-数個認められる. 二核の異型細胞がある.
ALL-L3やBurkittリンパ腫細胞に類似した腫瘍細胞で, 疾患説明のplasmablastsやALKの細胞とは形態が異なって見える.

 

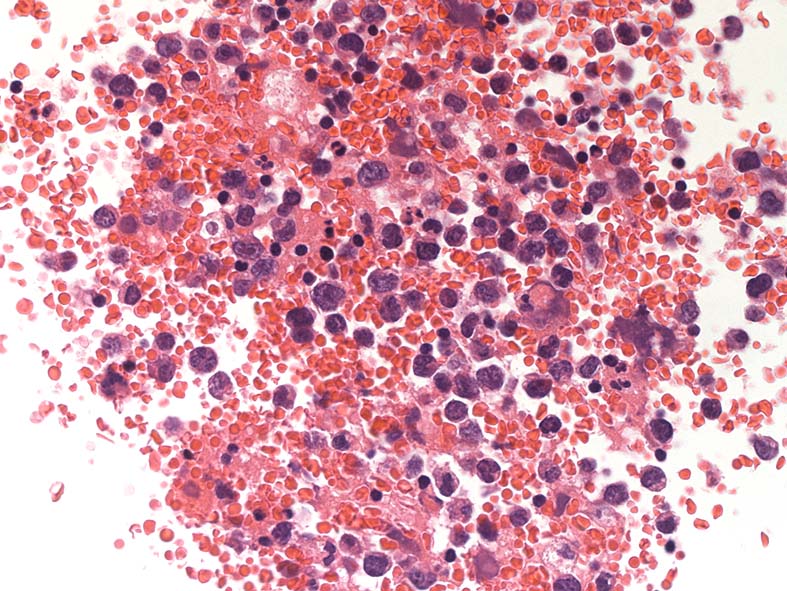
胸水セルブロック: effusion lymphomaの場合, IHCなどの精査はcell brockで行うことになる.

心嚢水セルブロックHE染色: 小リンパ球の3倍から5倍ほどの大型異型細胞が多数増加している. 核は類円形, くびれをもつ多型核が見られ, クロマチンは微細な傾向. 核小体を1-数個もつ.
N/C比は大. 好酸性の細胞質が認められる. セルブロックでは細胞質空胞はあまりめだたない. high-grade lymphoma疑い.

疾患定義 WHO 2016

Primary effusion lymphoma(PEL): 原発性滲出液リンパ腫は大型B細胞性リンパ腫であり, 通常,腫瘍性腫瘤形成を伴わない 漿液性滲出液(serous effusion)で発症する明確な臨床病理学的疾患単位.
患者さんの中には胸膜など,滲出液に接する組織に固形腫瘤を二次的にきたす例がある.

一般(universally)に Kaposi sarcoma-associated herpes virus(KSAH)/ human herpes virus8(HHV8)感染と関連し免疫抑制状態において最も多く発症している. HIV関連リンパ腫グループの分子学的精査によりKSHV(Kaposi sarcoma-related herpes virus: HHV-8)とPELの関連が指摘された. *1

まれにHHV8関連リンパ腫が固形腫瘍として発症し, PELとの鑑別困難なことがありextracavitary PELとよばれてきた.

PELではカポジ肉腫(組織中には,平均1コピーのKSHVゲノムが検出される)に比較してより大量のKSHVシークエンスコピー数が検出(PEL細胞株には40-80コピー存在)する.大部分のPEL患者はHIV陽性で,強度の免疫低下状態である.また,約80%のPEL細胞にEBVが重複して潜伏感染している.電顕でウイルス粒子はcentral coresをもつ100~115nm のcapsidsとして腫瘍細胞の核および細胞質に観察される.*2 *3*4

いくつか, まれな固形組織をベースとするPEL症例が報告されている. 全例HHV-8感染が証明され, 典型例はHHV-8流行地においてHIV/AIDSと関連しない症例である. EBVの重複感染(EBER-ISHで証明)がよく認められる.

microscopic findings: 細胞形態.

Extracavitary primary effusion lymphoma

健常な方に突然PELが発症した, 症例報告になったcaseをひとつ

CD5+ Diffuse Large B-cell Lymphoma With c-myc/IgH Rearrangement Presenting as Primary Effusion Lymphoma

Int J Hematol. 2005 May;81(4):315-8. doi: 10.1532/IJH97.04155. PMID:15914362
Fujisawa S1 , Fumihiko Tanioka, Toshihiko Matsuoka, Takachika Ozawa

Abstract

We report an instructive case of diffuse large B-cell lymphoma presenting as acute heart failure. A 69-year-old human immunodeficiency virus-negative man was admitted to our hospital for general fatigue. A computed tomographic scan of the chest and abdomen showed pericardial effusion, but there was no evidence of tumor masses, lymph node enlargement, or hepatosplenomegaly. During the chemotherapy, increased lactate dehydrogenase and pleural effusion appeared. The tumor cells in the effusion showed positivity for CD5, CD19, CD20, kappa chain, and Bcl-2 and negativity for CD10 and CD23. The chromosomes showed t(8;14)(q24;q32) with c-myc/immunoglobulin (Ig)H rearrangement, and the MIB-1 index was not high (60%). Neither human herpes virus 8 nor Epstein-Barr virus DNA was detected in the cells by polymerase chain reaction. The response to chemotherapy was very poor, and the patient died 4 months after the diagnosis. A spectrum of the symptoms of CD5+ lymphoma encompasses pericardial effusion and also can accompany c-myc/IgH rearrangement.

WHO 2016 BlueBookなど欧米の教科書では, effusion lymphomaといえば, HHV8陽性, EBV陽性, HIV感染患者さんなど, 免疫抑制状態の患者さんに発症すると記載されている。

AIDS患者さんではなく, HHV8非感染で発症するprimary effusion lymphomaは HHV8-unrelated effusion lymphoma-like lymphomaなどと呼ばれている. WHO2016分類の定義に 「大型B細胞性リンパ腫であり, 通常, 腫瘍性腫瘤形成を伴わない 漿液性滲出液(serous effusion)で発症する明確な臨床病理学的疾患単位」と記載があるので, 現在でも広義では「effusion lymphoma」としてもよさそうであるが, いかがでしょう? 明確な臨床病理学的疾患単位にHIV+, HHV8+, EBV+がそろわないといけないのかしらん.

一施設(500床規模の地方病院)としてはこの20年に6例のeffusion lymphomaを経験したが, 5例は既往歴のない健康成人に発症していた(1例の既往歴は大腸癌術後). 2例は治療により寛解にいたり, うち1例は, 5年間再発なく, 治癒と考えられた.

前掲の論文は, Dr Fujisawa SがIJHに報告された, 既往なく突然の心不全で発症した症例です.

体腔液中に増殖する高悪性度リンパ腫の報告 - IWT症例

2003271394(医中誌No.)
健康な成人に発症し,t(8;14)(q24;q32)が認められたprimary effusion lymphoma(PEL)の2症例(会議録/症例報告)
Author:谷岡 書彦(磐田市立総合病院 臨床検査科), 小沢 亨史, 椙村 春彦
Source: 日本病理学会会誌 (0300-9181)92巻1号 Page238(2003.04)
これは前掲論文の一例にもう一例同様の症例を加えてまとめています. (抄録のみ)

2016331514(医中誌No.)
高ガンマグロブリン血症の経過観察中にhigh-grade effusion lymphomaを発症した一例(会議録/症例報告)
Author:谷岡 書彦(磐田市立総合病院 病理診断科), 大西 一平, 嵩 眞佐子, 椙村 春彦, 鈴木 潮人
Source: 日本病理学会会誌 (0300-9181)105巻1号 Page413(2016.04)
これは既往にWaldenstroem macroglobulinemiaがあり, 心嚢液中のリンパ球もIgM陽性, MYD88L265P変異陽性で, 一連のlymphoplasmacytic lymphomaと考えています. 正確には, effusion lymphomaではありません.


*1  Cesarman E, Chang Y, et. al. Kaposi's sarcoma-associated herpesvirus-like DNA sequences in AIDS-related body-cavity-based lymphomas.N Engl J Med 1995; 332: pp. 1186-1191.
*2  Said J, Tasaka WT, et. al. Primary effusion lymphoma in women: report of two cases of Kaposi's sarcoma herpes virus-associated effusion-based lymphoma in human immunodeficiency virus-negative women.Blood 1996; 88: pp. 3124-3128.
*3  Said J, Chien WK, et. al.: Ultrastructural characterization of human herpesvirus 8 Kaposi's sarcoma-associated herpesvirus in Kaposi's sarcoma lesions: electron microscopy permits distinction from cytomegalovirus CMV.J Pathol 1997; 182: pp. 273-281.
*4  Said JW, Shintaku IP, et. al.: Herpesvirus 8 inclusions in primary effusion lymphoma: report of a unique case with T-cell phenotype.Arch Pathol Lab Med 1999; 123: pp. 257-260.
*5  Pittaluga S and Said JW. Virally Associated B-Cell Lymphoproliferative Disease Hematopathology, Chapter 29, 547-564.e4

トップ   新規 一覧 検索 最終更新   ヘルプ   最終更新のRSS