Essential thrombocythemia

Essential thromobocythemia 本態性血小板血症

 

Essential thrombocythemia --Case presentation

anotherET.jpg

WHO2016でのET updated diagnostic criteria

Major criteria:

Minor criteria:

4つのMajor criteriaすべてに合致するか, Major criteriaのうち上から3条件とminor criteriaでETの診断になる。

 

Case presentation

IWT case

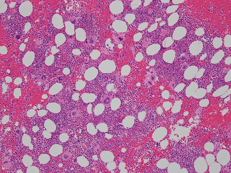
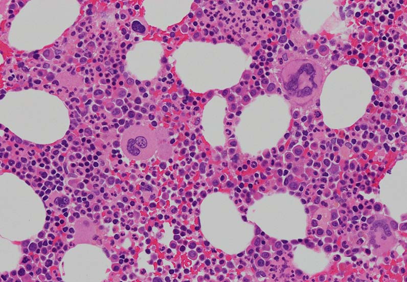
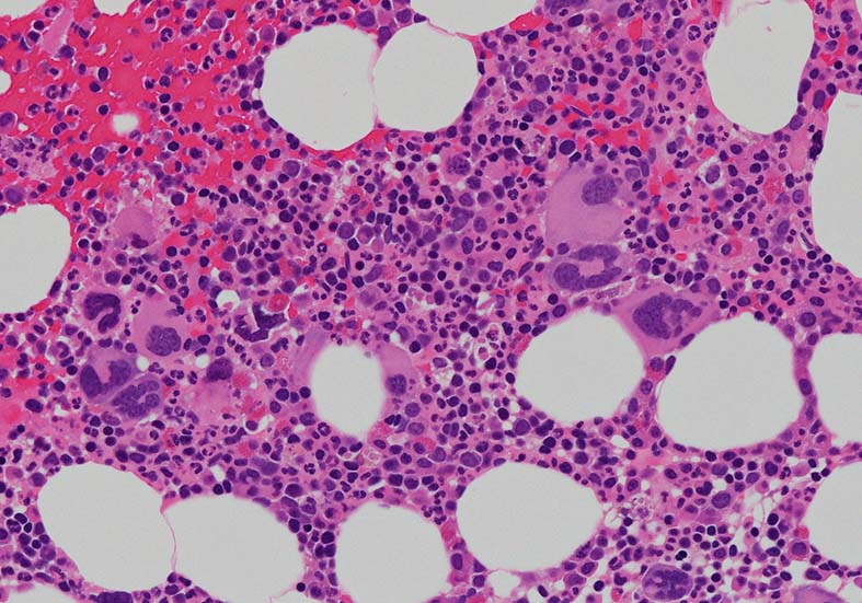
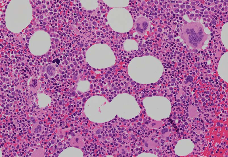
骨髄組織所見

cellularity60-70%ほどの過形成髄. ETは通常, 正形成髄から軽度の過形成髄, まれに低形成髄のこともある. 本例は軽度過形成傾向なcellularity. 巨核球数増加が目立つほか, stag-horn, cloud-likeといわれる核をもつ大型巨核球が認められる他, 小型で若い巨核球も増加している. ETでは, 連続する巨核球分化が認められる. 顆粒球系細胞増多が認められる.

Mgkの凝集所見があるが, 5-6個の緩やかな凝集で, loose clusterと呼ばれる. (Dens cluster:9個以上[数は厳密]の密なcohesiveな増殖は線維化がない場合, prefibrotic myelofibrosisの重要な所見になる)


トップ   新規 一覧 検索 最終更新   ヘルプ   最終更新のRSS