Plasma cell dyscrasia

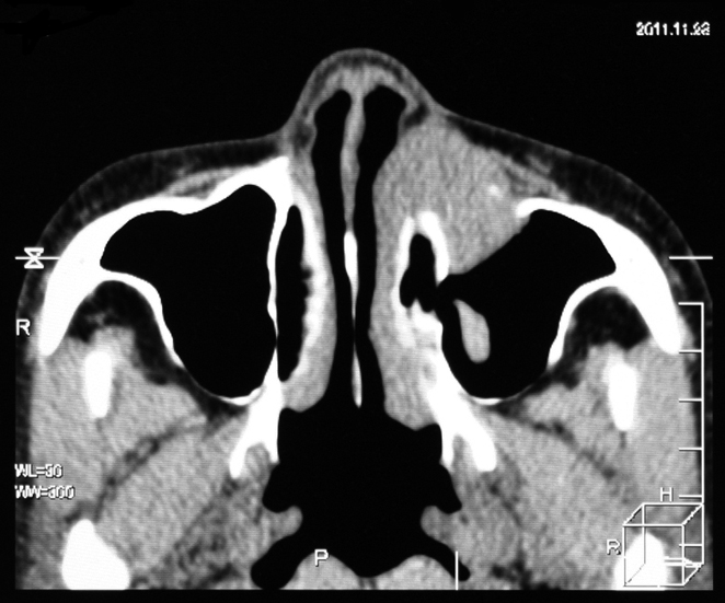
extramedullary plasmacytoma arising in the sinonasal tract

71year old, male

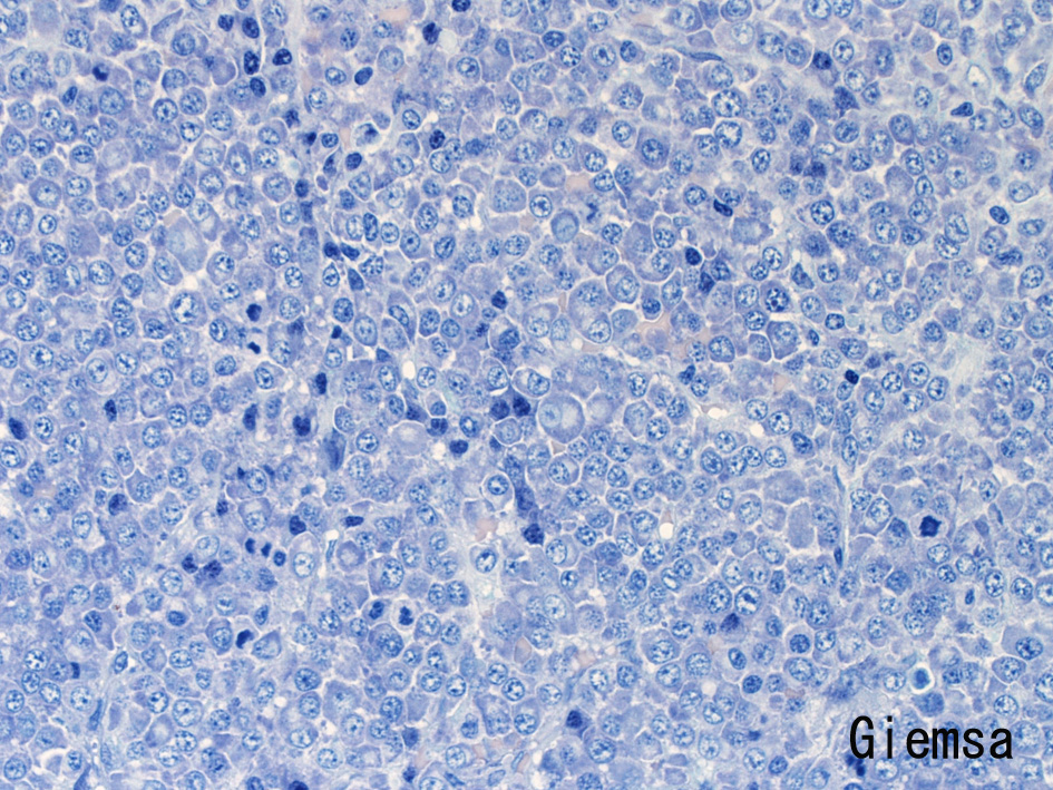
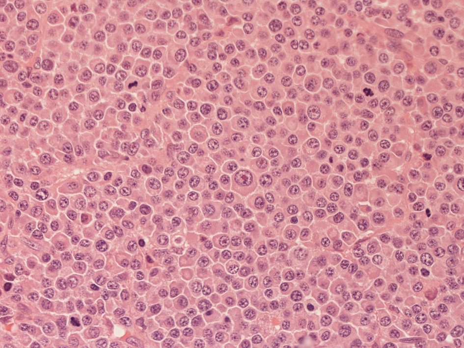
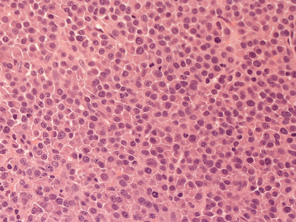
鼻腔内腫瘤生検組織 病理所見

サムネイルをクリックすると大きな画像が見られます。

 

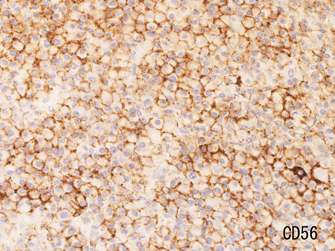
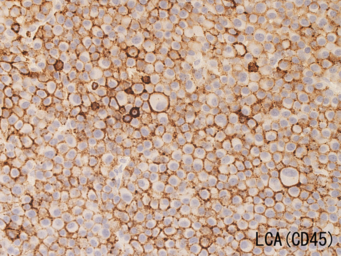
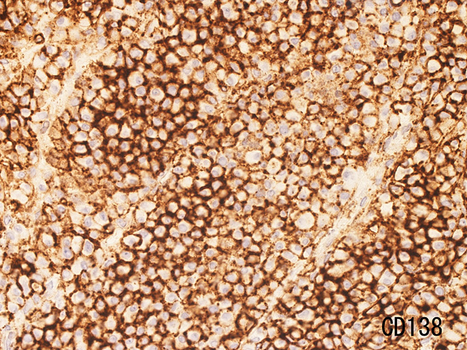
免疫染色

plasmacytoma

1. multiple myeloma

2. solitary plasmacytoma of the bone

3. extramedullary plasmacytoma of the soft tissue

  • plasma cell neoplasmの5%未満で、その80%はhead & neckに発生する.
     
  • 鼻腔腫瘍のおよそ4%をしめ, 頭頸部悪性腫瘍の0.4%にあたる。
     
  • 診断のクライテリア*1

}}


*1 Souter R, et al. Guidelines on the diagnosis and management of solitary plasmacytoma of bone and solitary extramedullary plasmacytoma. Br J Haematol 2004; 124: 717-726

トップ   新規 一覧 検索 最終更新   ヘルプ   最終更新のRSS