Wikipathologica-KDP

ヒトヘモグロビン

HbA.jpg

ヒトの正常ヘモグロビンは, 全部で5種類存在する. 胎児期から出生後にかけ時期の進行につれてα鎖様ポリペプチドを2種類, β鎖様ポリペプチドのものは4種類を次々に産生し, ポリペプチドのテトラマーとして構成されるためである.

ヘモグロビンスイッチ(hemoglobin switching)は脊椎動物全般によく保存された機構であり, 発達による酸素要求度の変化に対応してヘモグロビン構造を変化させていく.

血流で酸素を捕らえ運搬するための主要なタンパクである成人ヘモグロビン分子は2個のα-likeと2個のβ-likeサブユニットからなる四量体(tetramer)を構成している.(右図)

正常成人ヘモグロビンパターン

これらのタンパク質は, 2つのクラスターからなる globin遺伝子群によりコードされ, β-like globinはchromosome 11に, α-like globinはchromosome 16に局在している.

 

globin 遺伝子

globin-genes.jpg
 

ヘモグロビンタンパク質は, 2つのクラスターからなる globin遺伝子群によりコードされ, β-like globinはchromosome 11に, α-like globinはchromosome 16に局在している.

α鎖様構造遺伝子は, 5'(頭側)から3'(尾側)にかけ ζ, α2, α1の順で並び, β構造遺伝子は11番染色体上にε, Gγ, Aγ, δ,βの順にならんでいる.

β-like globin locusには5個のDNase I高感度サイトから構成されるlocus control region(LCR)が含まれ, 高レベルのβ-like globin 遺伝子発現のための強力なエンハンサーとして機能している.*1

hemoglobin switching

文献*2

HbE(ζ2ε2) Embryonic hemoglobin ⇒⇒⇒HbF(α2γ2) Fetal hemoglobin ⇒⇒⇒ HbA(α2β2) Adult hemoglobin

 
 
hemoglobin-curve.jpg

胎児期になると肝 → 脾がα様鎖としてα鎖を, β様鎖としてγ鎖とわずかなβ鎖を産生, もっぱらHbF=α2γ2を作る.

出生がちかずく妊娠30週ころにはγ鎖産生が衰え, かわってβ鎖生成が増加し出生を境にβ様鎖産生がγからβにスイッチする. 同様に,β鎖様の構造遺伝子δが作動開始し, わずかであるがδ鎖を生成し始める(HbA2). HbA2は出生後の時期に特有のヘモグロビン

以上からヒトは出生時の血液ヘモグロビンとして HbA=α2β2(97% 主成分), HbF=α2γ2(微量成分 0.3-1.0%), HbA2=α2δ2(微量成分 2-3%)の3種類を有している.

新生児は胎児期のHbFを続けて持ち続け, 出生直後はHbFは78-11%と高く, 1歳時に5-3%に下がり, 3-5歳になり成人の含量である<1%となる.

サラセミアではHbAをうまくつくれず胎児期ヘモグロビン産生を思い出し, β様鎖産生スイッチを部分的に過去にもどし, HbFを盛んに産生したり, HbA2産生を増やすことがある.

γ鎖はN末端にGlyを持つ点でβ様鎖のなかでもきわだった特徴をもつ. ほかのβ様鎖N末端はすべてValである.
γ鎖がα鎖と四量体を作りHbFになると酸およびアルカリに対し強い抵抗性をもつ; HbFはアルカリ抵抗試験により他のHbA, A2など変性しやすいものと分離することが可能である.

 
 

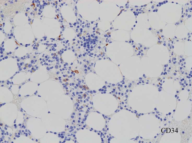
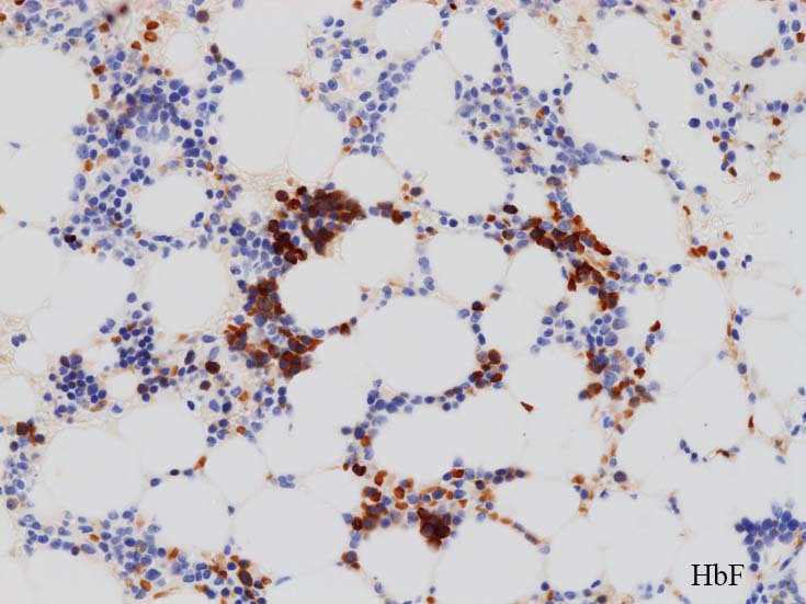
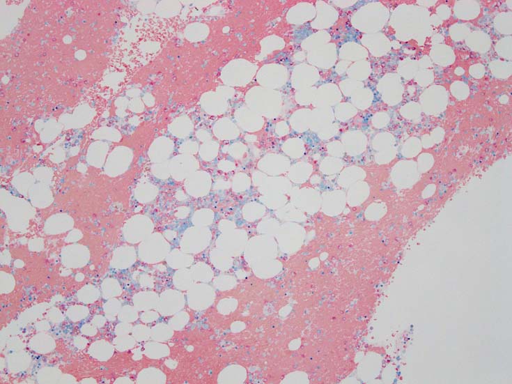
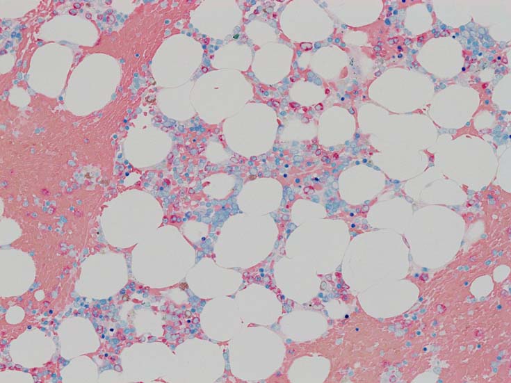
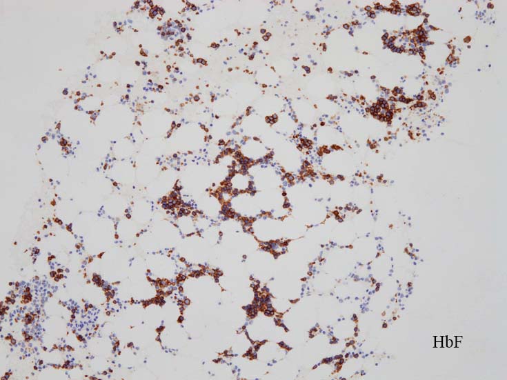
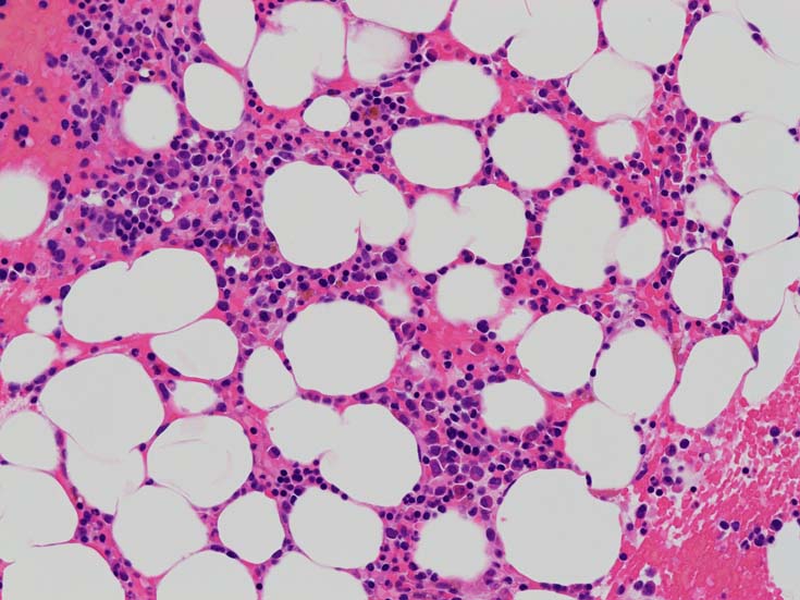
骨髄赤芽球のHbF発現

Choi JW, et al. Significance of fetal hemoglobin-containing erythroblasts (F blasts) and the F blast/F cell ratio in myelodysplastic syndromes.
Leukemia. 2002 Aug;16(8):1478-83.PMID:12145688

Iwasaki T, et al. Characterization of myelodysplastic syndrome and aplastic anemia by immunostaining of p53 and hemoglobin F and karyotype analysis: differential diagnosis between refractory anemia and aplastic anemia.Pathol Int. 2008 Jun;58(6):353-60.PMID:18477214

 

MDS症例のHbF発現.

 

サムネイル画像をクリックすると大きな画像が見られます.

MDSでの赤芽球HbF発現は, 陽性細胞はそれほど多くない印象ですが, この低形成性MDS症例では, 多くの陽性細胞がaggregatesを形成していました.

 
 

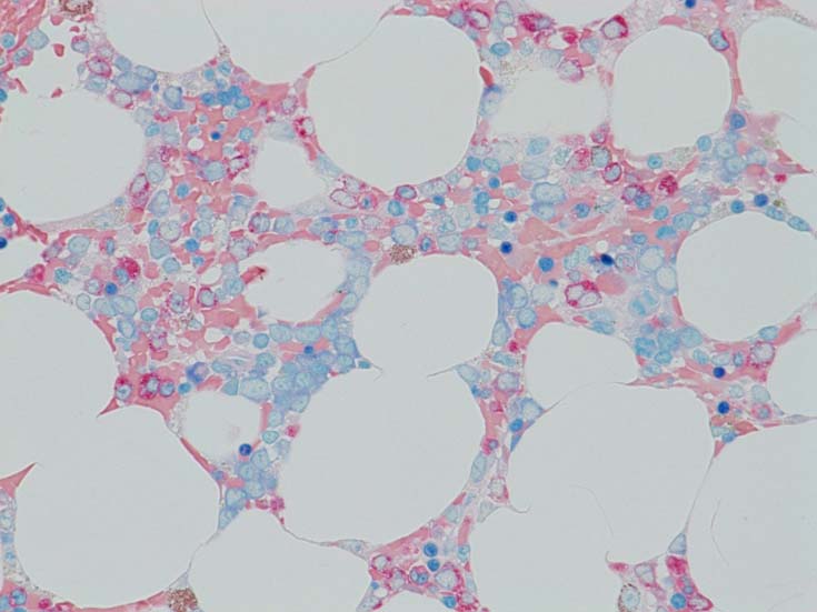
PNH症例でのHbF発現


*1  Ryan TM, et al. A single erythroid-specific DNase I super-hypersensitive site activates high levels of human beta-globin gene expression in transgenic mice. Genes Dev.1989 Mar;3(3):314-23. doi: 10.1101/gad.3.3.314.
*2  Diepstraten ST and Adam H. Hart AH Modelling human haemoglobin switching Blood Reviews, 2019; 33,11-23.
*3  Boyer S.H., et al. Fetal hemoglobin restriction to a few erythrocytes (F cells) in normal human adults. Science 1975; 188: pp. 361-363.
*4  Wood W.G., et al.F-cells in the adult: normal values and levels in individuals with hereditary and acquired elevations of Hb F. Blood 1975; 46: pp. 671-682.
*5  Thein S.L., Craig J.E.: Genetics of Hb F/F cell variance in adults and heterocellular hereditary persistence of fetal hemoglobin. Hemoglobin 1998; 22: pp. 401-414.

トップ   新規 一覧 検索 最終更新   ヘルプ   最終更新のRSS