Wikipathologica-KDP

imported mycosis; 輸入真菌症

海外の限られた地域に限局して発生している真菌症が何らかの理由で日本国内で見られた場合, これを輸入真菌症と総称する.

主な輸入真菌症:

1. コクジジオイデス症 coccidioid

2. ヒストプラズマ症

3. パラコクシジオイデス症

4. マルネッフェイ型ペニシリウム症

5. ブラストミセス症

 

これらの原因となる真菌は日本国内の環境で生息/定着できていないと考えられている. いずれも高度病原性真菌でありバイオセーフティレベルは3, 健常成人にも容易に感染し, 感染すると全身播種がおきやすい.
培養検査中の事故が起きやすいことなどが特徴である.

輸入真菌症の重要な特徴として,その多くが強い感染力を示すことがあげられ,日和見感染を主体とするわが国の真菌症と大きく異なっている--->&ref(): File not found: "importedmycosis.pdf" at page "Imported mycosis 輸入真菌症";

本邦輸入真菌症症例は1990年ころより急速に増加し, 現在まで190例以上が確認されている.(最新データは千葉大学真菌医学研究センター臨床感染症分野サイトで確認可能)
2015年までの統計では, ヒストプラズマ症が約90例, コクシジオイデス症が約80例でこの2疾患が際立って多く, 毎年数例が確認されている.

コクシジオイデス症は第4類感染症に指定されており全例報告義務がある. 分離された菌の移動は厳しく制限されている.

本症例の取り扱いについては千葉大学真菌医学研究センター臨床感染症分野亀井克彦先生からのご指導をえました.

コクシジオイデス症

あらゆる真菌の中でも最も病原性が高い Coccidioides immitis (/ C.posadasii)の胞子を吸入することにより発生する真菌症.

ヒストプラズマと同じく 二形性真菌. 感染体内では酵母様(球形状)となる.

流行地はアメリカ, カリフォルニア州, アリゾナ州を中心とする米国南西部地域と国境を接するメキシコ北部が最多発地帯.
その他, 中南米諸国でも散発性に発生がみられている.

流行地が狭く, 診断には渡航歴の聴取が大変重要となる. 1-2ヵ月以内にカリフォルニアやアリゾナから帰国した等の情報は聞き逃すことなく敏感に反応する必要がある.

最近の渡航歴以外でも再発例の可能性を考え, 渡航歴の他に既往歴もしっかり聞き取ることが大事である.

症例:

50歳代日本人女性. アメリカ南西部に居住. 日本に実家があり往来している.

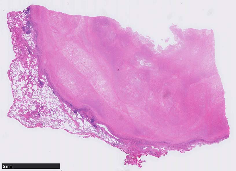
健診により左上葉S1+2に32mmの腫瘤を指摘される. 症状なし. 肺癌を疑われ, 気管支鏡検査を行われるが診断がつかず切除生検が施行された.

 

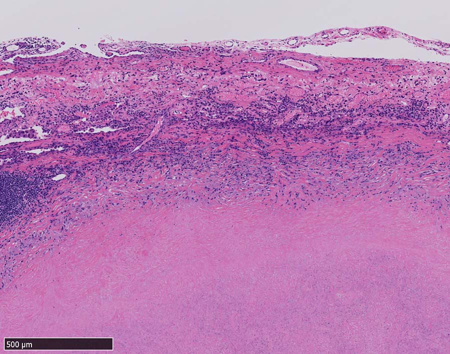
胸膜に近接する25x28mm, 境界明瞭, 黄白色の腫瘤. 滑面は乾酪様で年輪のような縞模様が観察された. 中央部付近に壊死による空洞を認める.
リンパ球が浸潤する肉芽組織を介して胸膜と接着している. 巨細胞は認められない. 炎症細胞浸潤も高度ではない.

 

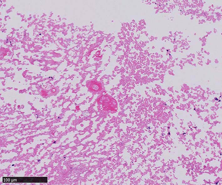
空洞辺縁の壊死部分に真菌菌体が認められた.

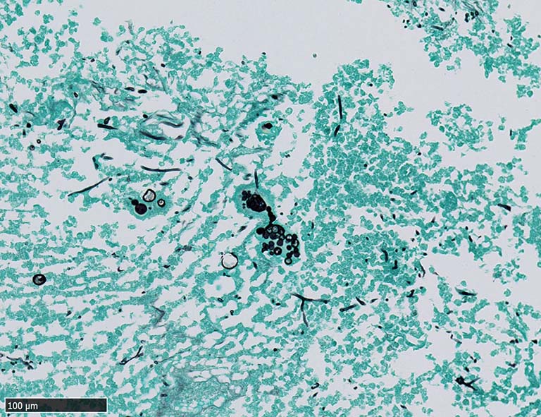
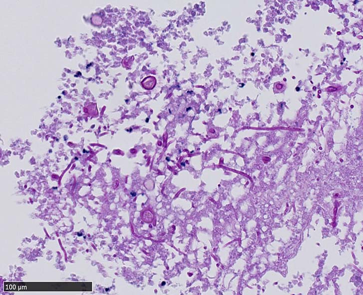
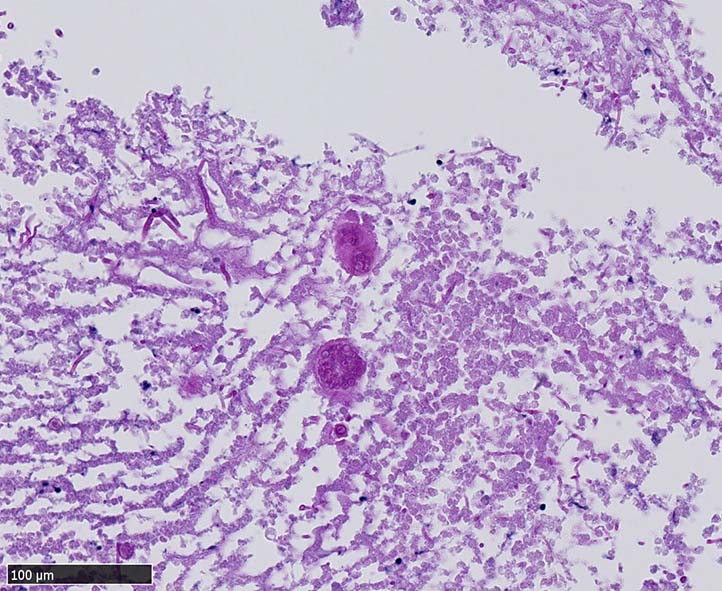
空洞辺縁には5~50μm径ほどの球状体(spherule)が形成され, 大型の球状体の一部は内部に2~10μm径ほどの内生胞子(endospore)を容れている. 内生胞子はPAS, Grocottで染色される.

 
 

本症例では空洞壁部分に球状体のほか多数の菌糸発育が観察された.

栄養型(菌糸および分節型分生子)と寄生型(内生胞子を多数容れた球状体)*1

真菌培養をおこなってしまい胞子を増殖させたため, 細菌検査室の運営を停止, 千葉大学真菌医学研究センター臨床感染症分野亀井克彦先生のご助言を得て部屋のホルマリン燻蒸殺菌をおこなった. その後, 運営を再開した.
暴露の可能性のあるスタッフは, X-pを撮影し, 抗体検査を千葉大学に依頼施行した. 全員陰性であった. 以後も感染の兆候はない.


*1  黒濱 大和ほか 肺コクシジオイデス症の1例 診断病理 2017; 34(3):179-183
*2  Stevens DA.Coccidioidomycosis.N Engl J Med.1995;332:1077-1082
*3  Travis WD,et al., Lung Infection. Coccidioides Immitis In:AFIP Atlas of Nontumor Pathology:2Non-Neoplastic Disorders of the Lower Respiratory Tract. Washington,DC:American Registry of Pathology;2002. p.605-611.
*4  小嶋 徹ほか.多発性肺浸潤影を呈した原発性肺コクシジオイデス症の1例.日呼吸会誌.2008;46:390-394.

トップ   新規 一覧 検索 最終更新   ヘルプ   最終更新のRSS