Wikipathologica-KDP
To Mid.

静岡病理医会

Langerhans cell sarcoma

CT03.jpg

「顎下リンパ節腫瘤の1例」木下 真奈1, 星 昭二2(1浜松医大病理部, 2静岡済生会総合病院)231SPS-case03 [2010]

60歳代女性

1ヶ月前より疼痛を伴う右側頸部腫脹が突然生じ近医を受診。顎下三角部を中心に側頸部全体が強く腫脹していた。抗生剤とステロイド投与によりやや軽快したが3個の腫瘤が残存した。うち一個は以前から存在していたが残り2個は2ヶ月ほど前に初めて自覚している。当院を紹介受診となり側頸部腫瘤生検の結果悪性リンパ腫が疑われ血液内科に入院治療となった。

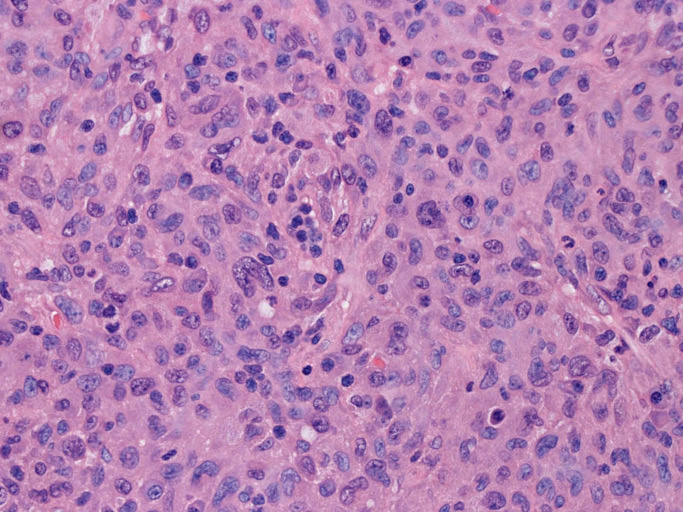
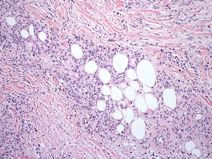
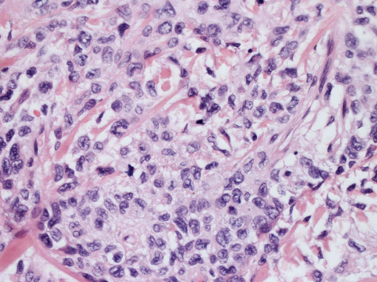
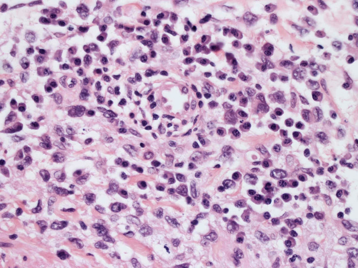
病理組織所見--頚部リンパ節

loupeLCHS.jpg

Virtual Slide--->頚部リンパ節 右クリックで新しいウィンドウで開くと便利です。

 
 
LCHS01.jpg
LCHS02.jpg
LCHS03.jpg
LCHS04.jpg
LCHS05.jpg
LCHS06.jpg

免疫染色

03CD4Ok.jpg
03CD68Ok.jpg
03langerinOk.jpg
03CD1aOk.jpg
03S100Ok.jpg
 

Langerhans cell sarcoma*2

LCSの臨床事項
現在まで20症例の英文報告例があり, 年齢は10-81歳で男女比は1:1 ほとんどの症例では, リンパ節と皮膚が侵される。肺, 肝, 脾, 骨病変も認められる。 4例のみがunifocalであり, 皮膚病変の症例である。 手術, 化学療法, 放射線療法によっても, 短期間の生存しかえられず予後は不良である。

鑑別診断
malignant melanoma 悪性黒色腫
anaplastic carcinoma
diffuse large B cell lymphoma
anaplastic large cell lymhoma
T cell lymphoma
dendritic cell tumors

LCSの病理組織所見
Langerhans cell histiocytosisの高悪性度 variantで明らかな悪性像を示すLangerhans cellの腫瘍性増殖と定義される(WHO, 2008)
大型細胞の増殖よりなる腫瘍。縦溝,しわ,切れ込みのある核をもった大型細胞も出現する。クロマチンは顆粒状で核小体も明瞭である。核分裂は >50/10hpfと多い。eosinophilsは少ない。壊死が多発することがある。未分化ないし低分化な細胞像, 組織所見のため鑑別診断は多岐にわたり、的確な免疫染色を行う必要がある。

電顕: Birbeck granuleの確認はLangerhans cellとfollicular dendritic cell, interdigitatingdendritic cellの鑑別に有用である。後二者では, 各々desmosome/ prominent junction, cytoplasmic interdigitationを認める。

白血病化したLCHの症例*4

 
 
 

Langerhans cell histiocytoma/ Langerhans cell sarcoma

LCSmacro.jpg

70歳代後半男性
「右膝上部皮下腫瘤の1例」目黒 史織 (浜松医科大学 病理部)-225SPS-case07

右膝上部皮下硬結。5ヶ月前より出現, この1-2ヶ月増大し中央部に潰瘍を形成するようになった。
右膝上部約5cm大の辺縁不整な皮下硬結。中央部には潰瘍、出血、痂皮を認める(左図)

 

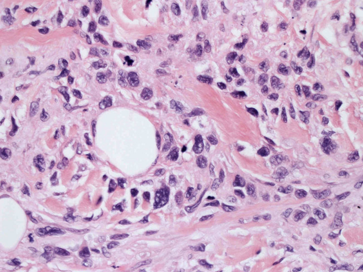
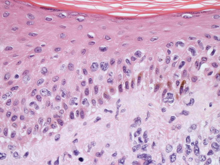
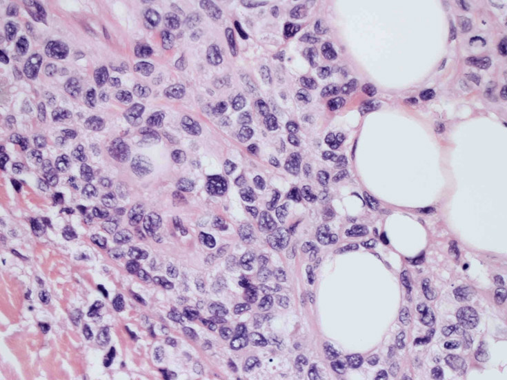
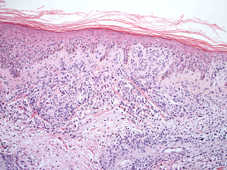
右膝上部皮膚生検病理組織所見

LCSmegloupe.jpg

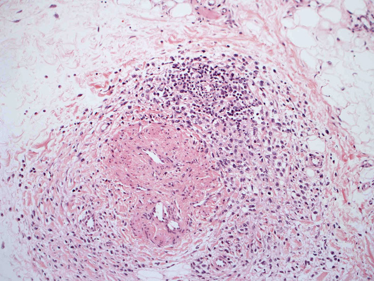
皮膚生検組織。細胞浸潤が表皮, 表皮真皮境界部, 真皮, 皮下組織にびまん性に認められる。血管中心性に結節様の分布があるように見える。

Virtual Slideを見る---> 右膝上部皮膚生検組織 ---右クリックで新しいウィンドウで開くと便利です。

 

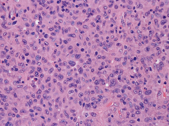
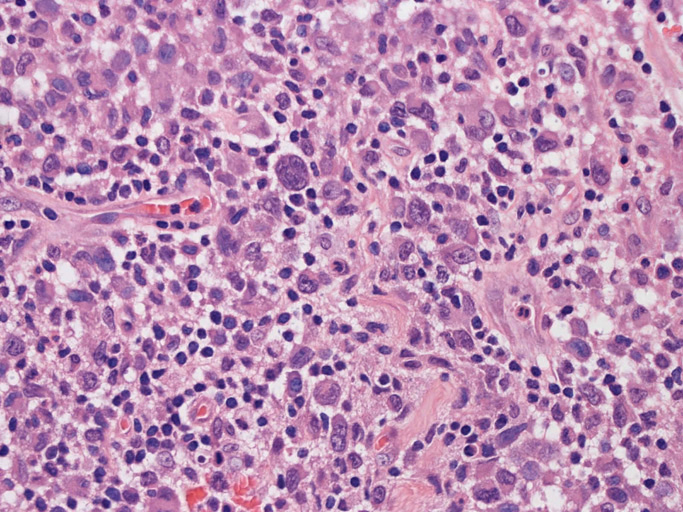
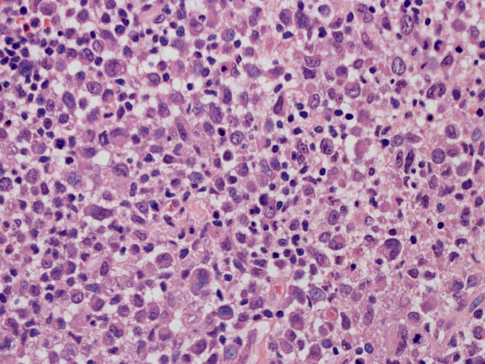
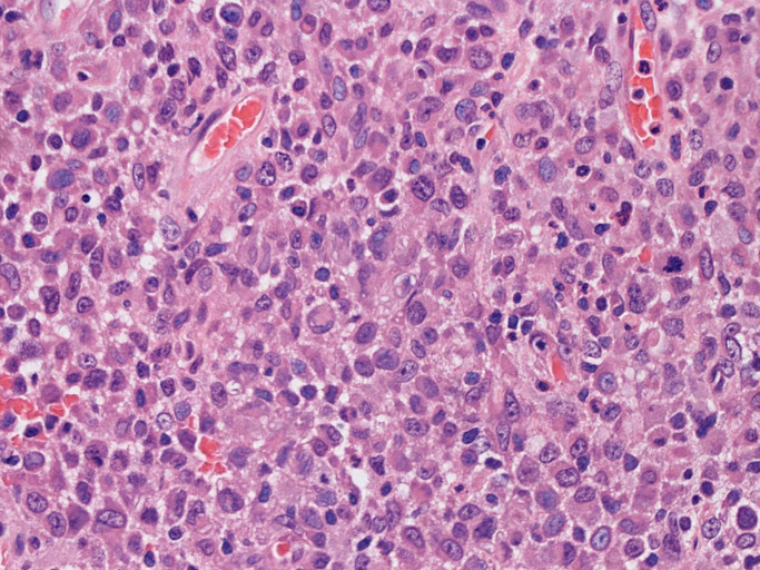
光顕所見(Fig.01~Fig.09)

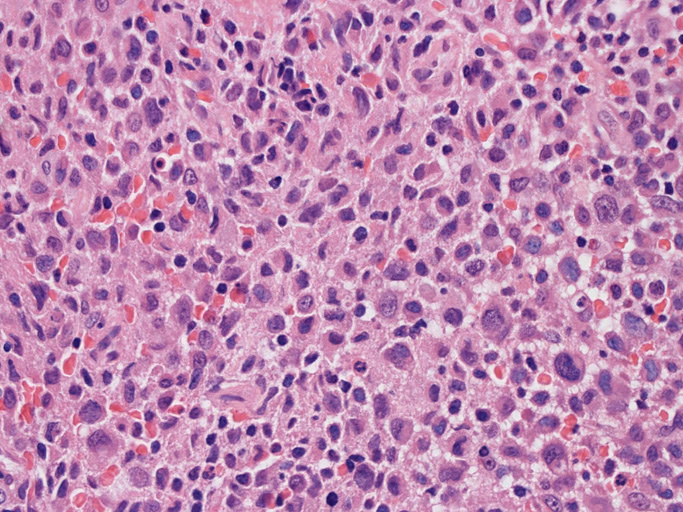
皮膚に異型細胞の浸潤がみられる。異型細胞は表皮内に浸潤するほか、表皮真皮境界部, 真皮, 皮下脂肪組織にもびまん, 結節様の浸潤所見を示す。血管周囲に浸潤、集蔟する所見も多く見られる。 増殖浸潤細胞の核には類円形や腎臓形, またはへこみ, 切れ込み, 溝などを有する多型な核が認められる。クロマチンは粗でvesicularな核が多い。核小体の明らかな核もある。好エオジン性の核内封入体様構造も少数に見られた。mitosisは容易に認められる。hyperchromaticな多型核, bizzarreな細胞が高頻度に認められ異型度は高いと考えられる。細胞質は境界不明瞭, 淡明または泡沫様の 好エオジン性胞体である。

 
LCSmicro06.jpg
LCSmicro01.jpg
LCSmicro07.jpg
Fig01Fig02Fig03
LCSmicro08.jpg
LCSmicro02.jpg
LCSmicro03.jpg
Fig04Fig05Fig06
LCSmicro04.jpg
LCSmicro05.jpg
LCSmicro09.jpg
Fig07Fig08Fig09

免疫染色 浸潤細胞はCD1a+, S100+, Langerin+, HLA-DR+, CD4+, CD45+, CD68+. MIB-1 index:24.4%

Speaker's Pathological Diagnosis: Langerhans cell sarcoma, skin, rt. knee, biopsy


*1  Bohn O.L. et al., Cutaneous Langerhans cell sarcoma: a case report and review of the literature. Int J Hematol 2007;85: 116-120
*2  Bohn O.L. et al., Cutaneous Langerhans cell sarcoma: a case report and review of the literature. Int J Hematol 2007;85: 116-120
*3  Kawase T et al CD56/NCAM-positive Langerhans cell sarcoma: a clinicopathologic study of 4 cases. Int J Hematol. 2005;81: 323-329
*4  Sumida K. et al., Leukemic transformation of Langerhans cell sarcoma Int J Hematol 2008; 87: 527-531

トップ   新規 一覧 検索 最終更新   ヘルプ   最終更新のRSS