MALT lymphoma of the stomach

Extra nodal marginal zone lymphoma of MALT type

節外性のmarginal zone lymphocyte memory B-cell 由来悪性リンパ腫



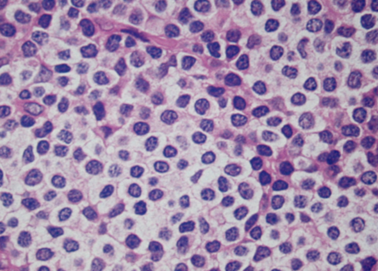
Monocytoid B Cells (参考資料)

  • Lennert(1959年)とStansfeld(1960年)が, トキソプラズマリンパ節炎と早期のホジキンリンパ腫において記載した細胞.
     
  • 豊かな蒼白(pale)の細胞質をもつ小型から中型細胞で核と細胞質が表面上末梢単球に類似している。
    核は中心性で丸い. わずかに不整がある. 中等度に凝集したクロマチンをもち核小体はめだたない.*1
     
  • ほとんどがparafollicularとparasinusoidal領域に存在する. また marginal sinus近傍の血管周囲腔, まれにはmedullary sinus近傍の血管周囲腔にも認められる.
     
  • monocytoid B cellsはトキソプラズマリンパ節炎において, 類上皮様組織球とは異なる, 最初「immature sinus histiocytosis 」と呼ばれたような noncohesive sheetsとして認められる
     
  • IgMかIgGを発現するB細胞で, CD5, CD23は陰性.
     
  • 自己免疫性疾患, EBV感染, hepatitis C, HIV感染, T細胞リンパ腫*2など他の疾患や腫瘍でも出現する.
     
  • この細胞の生物学的特異性はよくわかっていない
     
  • 反応性濾胞増生とMonocytoid B cellsの関連性はこの細胞が濾胞活性化によるB細胞分化過程中の細胞であると推察されている
     
  • marginal zoneのリンパ球とmonocytoid B cellはその存在部位, morphology, phenotypeが類似していることより関連があるとされている*3
 

extranodal lymphoma of marginal zone(MALT type)--WHO2008分類

種々の臓器に発生するが, すべてに共通して以下の特徴をもつ.

1) 先行する慢性炎症を伴い, 長期に発生病変部位に腫瘍がとどまる

2) 胃MALTリンパ腫でのH.pylori除菌療法で証明されているように炎症の治療により60-80%の腫瘍が消退する.*4

  • この腫瘍は粘膜関連リンパ組織(MALT)において炎症性反応あるいは免疫反応により生じるサイトカインなどの増殖因子に依存して増殖している。
  • 増殖の場、増殖因子の生じる場であるMALTを作る原因となる炎症を抑えること(胃ではH.pylori除菌)が最初の治療法になる.

Extra nodal marginal zone lymphoma of MALT type の形態診断の悩み

非典型例, 特に腫瘍細胞のほとんどがsmall lymphocyteから構成される節外リンパ腫の場合, 小さな生検組織のみで節外lymphoid hyperplasiaとの鑑別診断は非常に困難である。実際に形態的診断のみでは不可能なことがある

★良性増殖を悪性小リンパ球浸潤と形態的に鑑別するcriteriaは

Scoring System(Wotherspoon*5)によると

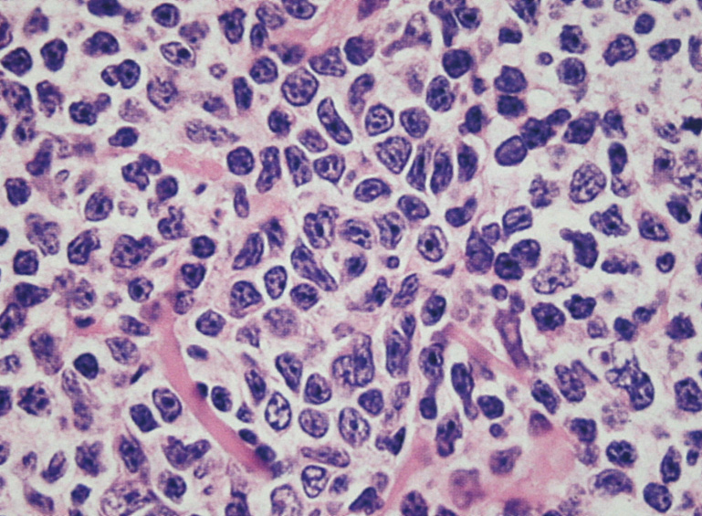
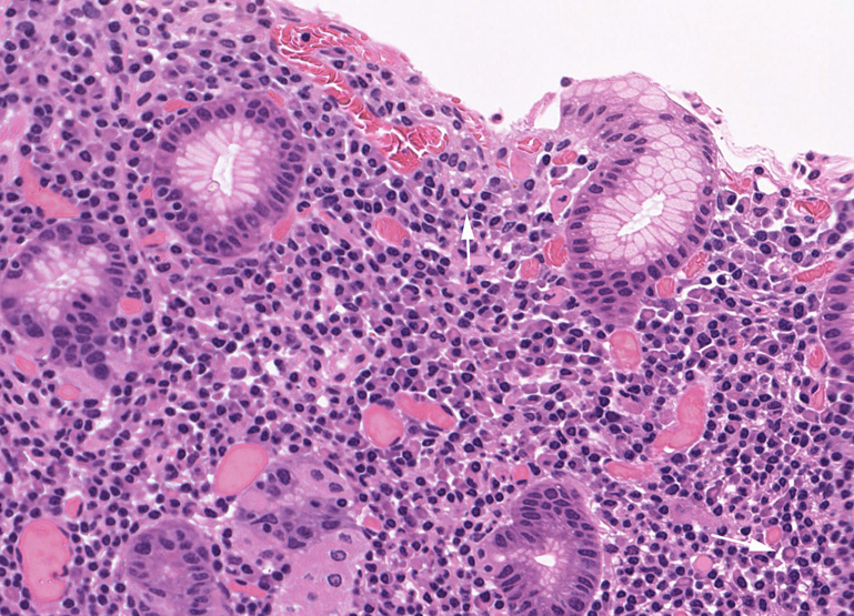
LELmalt.jpg

Lymphoepithelial lesion(LEL)
胃MALT lymphomaに認められたlymphoepithelial lesion
腫瘍リンパ球の浸潤で腺窩がボロボロに破壊されている

<----クリックで大きな画像がみられます。

★密なリンパ球浸潤, わずかな細胞異型, LEL様病変は胃をふくむ節外性lymphoid hyperplasiaによく見られる所見である

★胚中心は, ほとんどのMALT lymphomaとmantle cell lymphomaに認められるため胚中心の出現による形態診断はあてにならない

★胃のmantle cell lymphoma, 小腸のmultiple lymphomatous polyposisでは濾胞は萎縮して単調な腫瘍性リンパ球に密に取り囲まれることがしばしばある

Immunophenotype *9, *10

分子学的特徴

t(11;18)(q21;q21)--MALTリンパ腫に特徴的な遺伝子異常

MALTリンパ腫に特徴的な遺伝子異常はt(11;18)(q21;q21)*13であり,11q21のアポトーシス抑制遺伝子API2と18q21上のMALT遺伝子がfusion gene(API2-MALT1)を形成する

臓器別MALTリンパ腫のt(11;18)(q21;q21)出現頻度*14

MALTリンパ腫の部位t(11;18)(q21;q21)出現頻度
38%
24%
結膜19%
眼窩14%
唾液腺1%
甲状腺,皮膚,肝0%

胃MALTリンパ腫の3つの群

胃MALTリンパ腫は除菌治療への反応とAPI2-MALT1出現の有無で以下の三群にわかれる

 

その他のMALTリンパ腫に特徴的な染色体転座

胃MALTリンパ腫の多くはH.pylori感染により慢性胃炎をおこし続いてリンパ濾胞を伴うリンパ組織(MALT)が形成され,これにH.pylori特異的T細胞の刺激が加わりB細胞が腫瘍化する

 
 
MALTgeneTop20.jpg

Cosmic(catlogue of somatic mutations in cancer)に記載されているMALT lymphomaでmutationの認められたgenes.

TNFAIP3(tumor necrosis factor, alpha-induced protein 3)/ A20: @ 6q23.3 TNFAIP3/ A20の詳細-->NFkappaBのページ

消化管のMALT lymphoma

肺のMALT lymphoma (BALToma)


*1  Plank L, et alThe cytological spectrum of the monocytoid B-cell reaction: recognition of its large cell type.Histopathology. 1993 Nov;23(5):425-31.
*2  Plank L, et al Monocytoid B-cell reaction associated with peripheral T-cell lymphomas. Pathol Res Pract. 1995 Nov;191(11):1152-8.
*3  Piris MA, et al Monocytoid B-cell lymphoma, a tumour related to the marginal zone. Histopathology. 1988 Apr;12(4):383-92.
*4  Nakamura T, et al Clinical features and prognosis of gastric MALT lymphoma with special reference to responsiveness to H. pylori eradication and API2-MALT1 status. Am J Gastroenterol. 2008 Jan;103(1):62-70.
*5  Lancet 1993; 342:575-577
*6  吉野正 第4回日本血液病理研究会テキスト2001;37-39
*7  Am J Clin Pathol1993;100:373-385
*8  Am J Surg Pathol1992;16: 455-466
*9  Am J Clin Pathol1993;100:373-385
*10  Am J Surg Pathol1992;16: 455-466
*11  Blood 1995; 86:3528-34
*12  Blood 1995; 86 suppl 182a
*13  Akagi T, et al A novel gene, MALT1 at 18q21, is involved in t(11;18) (q21;q21) found in low-grade B-cell lymphoma of mucosa-associated lymphoid tissue. Oncogene. 1999 Oct 14;18(42):5785-94.
*14  Ye H,et al.Blood 2003:102;1012-18
*15  Sakuma H, et al Immunoglobulin VH gene analysis in gastric MALT lymphomas. Mod Pathol 2007; 20: 460-466
*16  Fukuhara N et al Chromosomal imbalances are associated with outcome of Helicobacter pylori eradication in t(11;18)(q21;q21) negative gastric mucosa-associated lymphoid tissue lymphomas. Genes Chromosomes Cancer. 2007 Aug;46(8):784-90.
*17  Zinzani PL The many faces of marginal zone lymphoma. Hematology Am Soc Hematol Educ Program. 2012;2012:426-32.
*18  中村他 日本内科学会誌2004;93:191-197

トップ   新規 一覧 検索 最終更新   ヘルプ   最終更新のRSS