Wikipathologica-KDP

WikiPathologica

 

Pancreas cancer

膵癌全ゲノム解析で総合的にわかってきたこと*1

膵臓癌は遺伝学的にきわめて難敵な癌といえる。発見時には, すでに主要な癌関連遺伝子の異常が完成し、さらに主要な癌関連パスウェイのほとんどに異常を認める
今日の画像診断で膵臓癌を発見した時点では単一の遺伝子や単一の癌関連パスウェイを目標にした治療法では根治を期待できない。

しかし, 他の癌腫と比較すると, 膵臓癌はビッグ4(K-RAS, CDKN2A[p16/p14], TP53, SMAD4)を中心とした比較的均一な遺伝学的背景をもつ癌であり, 新しい診断法や治療法が開発されると膵臓癌の多くの患者さんに適応が期待できる。

 
panc_pathway.jpg
panc_gene_mutation02.jpg

膵癌のBig4

KRAS---> KRAのページへ

TP53---> TP53のページへ

CDKN2A[ p16(INK4)/ p14(ARF)]

SMAD4

 

上右の表は, 膵癌で変異の報告されている遺伝子一覧です。Big4の他にも多くの遺伝子異常が報告されています。 また主な遺伝子に変異がなくとも、その遺伝子の関与するシグナルパスウェイの他の遺伝子に異常があることが多いようです*2. 左図に膵癌で異常の認められる主要なシグナリングパスウェイを示しています。(クリックで大きな図がみられます)

CDKN2A; Cyclin-dependent kinase inhibitor 2A ( p16(INK4)/ p14)

Gene ID: 1029 Also known as ARF; MLM; P14; P16; P19; CMM2; INK4; MTS1; TP16; CDK4I; CDKN2; INK4A; MTS-1; P14ARF; P19ARF; P16INK4; P16INK4A; P16-INK4A

9p21に局在する, 6.6Kbの遺伝子で3つのexonをもつ. 異なる2つのexon1 (exon1β, exon1α)からの転写・翻訳によりframe shiftをおこして全く異なる2つのタンパク質, p16(INK4a)とp14/ARFを産生する。p16とp14はいずれもがん抑制機能をもつタンパク質である。( 注:p19/ARFはマウスのタンパク質)

 
CDKN2A_gene.jpg
 

p16/INK4aサイクリン依存性キナーゼCDK4/6を阻害し, CDK4/6-CyclinD-RB(retinoblastoma protein)経路により細胞周期を制御している。--->詳しいp16/INK4a(CDKN2)のページを作成しました.

RB_p16INK4a.jpg

p14/ARF(alternative reading frame)MDM2がん遺伝子産物を抑制しp53の活性化に関与する。--->p53, MDM2のページ

同じ遺伝子部位に「複数の細胞周期制御因子が存在している。」,「複数の癌抑制遺伝子が存在している。」, 「脊椎動物ではきわめてまれな同じエクソンを複数の遺伝子が共有する」など発見時, 常識はずれの特色をもつことで生理的存在意義について疑問がもたれていた。*3

p14/ARF (alternative reading frame) 一般名詞が遺伝子名になっている。

Smad4/ DPC4

pancCa_Smad4cosmic.jpg

膵癌の90%には, 18qのallelic lossが認められる。homozygousな18q21.1の欠失は3分の1の症例に検出され, 遺伝子内変異は20%の膵癌に認められる。

Smad4の発現は膵癌の分子学的予後マーカーになると考えられ, その発現消失は予後不良とされる

Smad4は癌抑制遺伝子であり, TGF-βシグナリングを制御することで機能している。変異したSmad4タンパク質は遺伝子転写の制御能力が低下している。

ヒトがんにおける, Smad4遺伝子の変異のほとんどはミスセンス, ナンセンス変異あるいはフレームシフト変異が遺伝子の mad homology 2 region (MH2)におこっている。

MH2 regionの異常はSmad4タンパク質のhomo-oligomer形成およびSmad4とSmad2タンパク質のhetero-oligomer形成を阻害し, 結果, TGF-βシグナルパスウェイの途絶を来すと推察される。*9

 

Pancreatic ductal adenocarcinomaの網羅的遺伝子解析

1.2008: 膵癌24症例を, 既知のタンパク質をコードする遺伝子の99.6%にあたる20661遺伝子についてSanger法によるexome解析をおこなった。*10:

膵癌において従来より知られている, KRAS, CDKN2A(p16), TP53, SMAD4の癌遺伝子, 癌抑制遺伝子が高頻度に変異している他, 1症例あたり, 平均63個の遺伝子変異(ほとんどが点突然変異)が検出された。pathwayの解析から変異は, ほとんどの癌で12のコアシグナルパスウェイの67から100%におよんでいた。

2. 2012: NGS(次世代シークエンサー)による99膵癌サンプルのエクソーム解析*11:

1つの癌あたり26個の遺伝子変異を検出. 2つ以上の癌に出現するアミノ酸変化をともなうnon-scilentな変異を示す遺伝子は16個同定された ( Big4, MLL3, TGFBR2, ARID1A, SF3B1などのすでに変異が指摘されている遺伝子の他に, クロマチンリモデリング因子のARID2, EPC1やATM(以後の研究で家族性膵癌の原因であるDNA損傷修復に関与する遺伝子), またZIM2, MAP2K4, NALCN, SLC16A4, MAGEA6などの新規遺伝子変異が含まれている。)

パスウェイ解析ではaxon guidance pathwayに含まれるSLIT/ROBOシグナル(20%), セマフォリンシグナル(21%)に高率に変異を起こしていることが明らかにされた*12

3. 2012: 15例の膵癌エクソーム解析から, 4例にDNAミスマッチ修復遺伝子MLH1のヘテロ欠失, 1例にホモ欠失を認めた。*13:

腫瘍のマイクロサテライト不安定性にMLH1のホモ欠失が関与していることが知られているが, ヘテロ欠失でも, TP53などのindel変異(挿入/欠失)が増え, 腫瘍発生に関与していることが示唆された。

4. 2012: exome解析からSWI/SNFクロマチンリモデリング因子に注目した70例の膵癌変異解析*14

SWI/SNFクロマチンリモデリング複合体全体では34%に変異がありcore subunitのBRG1(9.6%), BRM(2.6%), DNA binding タンパクのARID1A(8.3%), ARID1B(3.9%), BPRM1(9.6%)に変異があった。膵癌ではSWI/SNF複合体の変異が重要な働きをしていることが示唆された。

5. 2014: 膵癌 pancreatic ductal adenocarcinomas (PDAC)167例と正常膵29例のhigh-density arraysによるメチル化解析*15

膵癌では3,522遺伝子の11,634個の CpG 部位に正常とは顕著に異なったメチル化が認められ, 細胞接着, インテグリンシグナル, TGF-βシグナル, Wnt/Notchシグナル, axon guidanceシグナル, 膵stellate cell activationの6つのパスウェイでメチル化状態に変化が認められることを明らかにした。

SLIT/ROBOシグナルでは複数の遺伝子に高メチル化が起こっており, このシグナルの不活性化にはエピジェネティックな変化が重要な働きをしていることを示した。

 
 

膵癌前癌病変の遺伝子変化

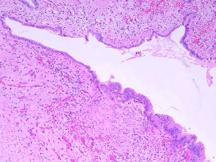
膵上皮内腫瘍性病変 pancreatic intraductal neoplasm(PanIN)*16

Low-grade PanINとhigh-grade PanINの分類

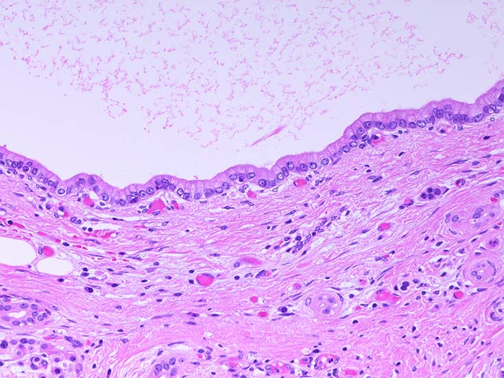
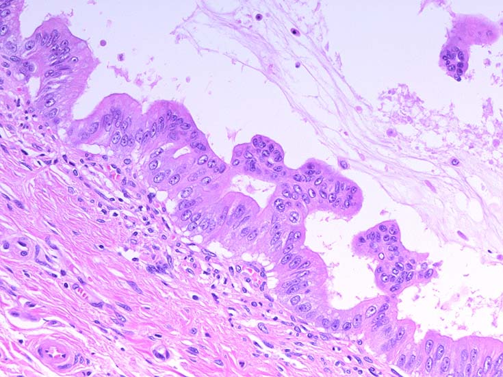
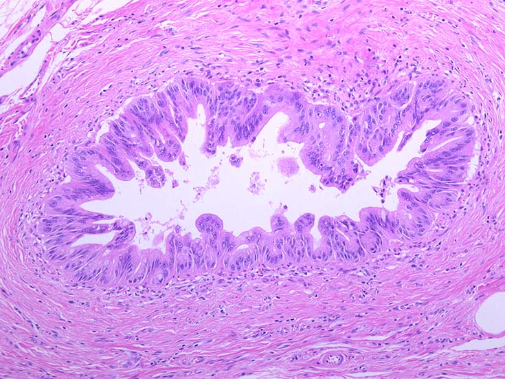
low-grade PanIN

 

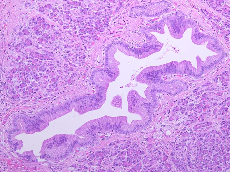
high-grade PanIN

PanINの図譜はJohns Hopkins The Sol Goldman Pancreatic Cancer Research CenterのHome page*19から引用.

 

PanIN, 前癌段階および浸潤癌への進展過程での分子遺伝異常

1. PanIN-1; PanIN発生の初期段階. 組織学的に, 核異型を伴わない, 核の極性が保たれている.

  • telomereの短縮
     
  • KRAS変異
     
  • p16/CDKN2A変異
     
  • Mucin(MUC)発現
     

2. PanIN-2, PanIN-3;

  • TP53の不活化--PanINでのIHCでは機能喪失が,PanIN3のみで観察される. 膵癌発がん過程の遅い段階に出現する事象.
    浸潤性膵癌では, 50-75%で不活化.
     
  • SMAD4の不活化--PanIN3の30%で発現陰性化. PanIN-1,2では, SMAD4免疫染色は陽性. 発現の陰性化は後期PanINで発現する重要な異常*20.
    浸潤性膵管癌では, 55%で不活化.
     
  • BRCA2(DNA修復に重要な遺伝子)の不活化--PanINではPanIN3に特異的なイベント. germ line変異は浸潤性膵管癌の7~10%に認められる.
     
  • cyclinD1過剰発現--PanIN1ではまれ, PanIN-2では29%, PanIN-3では57%と膵癌発がん過程に伴って頻度が上昇する遺伝子変化.
     
  • COX-2の過剰発現--悪性腫瘍では, 細胞増殖, 生存, 浸潤および, 血管新生に関与. 正常膵管,PanIN-1では発現が低く, PanIN2から過剰発現頻度が高くなる.

膵上皮性腫瘤 Epithelial tumors

嚢胞性 Cystic

漿液性腫瘍 Serous neoplasms

粘液性嚢胞性腫瘍 Mucinous cystic neoplasm (MCN)

管内乳頭状粘液性腫瘍 Intraductal papillary mucinous neoplasms (IPMN)

Intraductal oncocytic papillary neoplasms (IOPN)

Intraductal tubular neoplasms

Cystic acinar neoplasms

充実性 Solid tumor

Invasive pancreatic ductal adenocarcinoma (and its variants) = conventional infiltrating ductal adenocarcinoma

Acinar cell carcinoma

Neuroendocrine neoplasms

Mixed tumors (combined acinar, ductal and/or endocrine differentiation) Solid-pseudopapillary neoplasms (SPN)

Pancreatoblastoma


*1  谷内田真一 膵癌の全ゲノム解析 肝胆膵 2013; 66(2):235-241 膵癌全ゲノム解析で総合的にわかってきたこと
*2  Jones S.et al., Core signaling pathways in human pancreatic cancers revealed by global genoic analyses. Science 2008; 321(5897): 1801-1806
*3  上條岳彦 ARFによるp53活性の制御 実験医学2001; 19(9):61-65
*4  Quelle DE, et al. Cell 1995; 83: 993-1000
*5  Kamijo T, et al. Cell 1997; 91: 649-659
*6  Stott FJ et al. EMBO J 1998; 17: 5001-5014
*7  Weber J et al. Nature Cell Biol 1999; 1: 20-26
*8  温川 恭至, 清野 透 ヒトパピローマウイルスによる発癌の分子機構. ウイルス 2008; 58(2):141-154
*9  http://atlasgeneticsoncology.org//Genes/SMAD4ID371.html
*10  Jones S, et al., Core signaling pathways in human pancreatic cancers revealed by global genomic analyses. Science. 2008 Sep 26;321(5897):1801-6. doi: 10.1126/science.1164368. Epub 2008 Sep 4. PMID:18772397
*11  Biankin AV, et al.,(ICGC) Pancreatic cancer genomes reveal aberrations in axon guidance pathway genes.Nature. 2012 Nov 15;491(7424):399-405. doi: 10.1038/nature11547. Epub 2012 Oct 24.PMID:23103869
*12  Biankin AV, et al., Pancreatic cancer genomes reveal aberrations in axon guidance pathway genes. Nature. 2012 Nov 15;491(7424):399-405. doi: 10.1038/nature11547. Epub 2012 Oct 24.PMID:23103869
*13  Wang L, et al., Whole-exome sequencing of human pancreatic cancers and characterization of genomic instability caused by MLH1 haploinsufficiency and complete deficiency. Genome Res. 2012 Feb;22(2):208-19. doi: 10.1101/gr.123109.111. Epub 2011 Dec 7.PMID:22156295
*14  Shain AH, et al., Convergent structural alterations define SWItch/Sucrose NonFermentable (SWI/SNF) chromatin remodeler as a central tumor suppressive complex in pancreatic cancer. Proc Natl Acad Sci U S A. 2012 Jan 31;109(5):E252-9. doi: 10.1073/pnas.1114817109. Epub 2012 Jan 10.PMID:22233809
*15  Nones K, et al., Genome-wide DNA methylation patterns in pancreatic ductal adenocarcinoma reveal epigenetic deregulation of SLIT-ROBO, ITGA2 and MET signaling. Int J Cancer. 2014 Sep 1;135(5):1110-8. doi: 10.1002/ijc.28765. Epub 2014 May 9. PMID:24500968
*16  Hruban RH, et al., An illustratedconsensus on the classification of pancreaticintraepithelial neoplasia and intraductalpapillary mucinous neoplasms. Am J Surg Pathol28; 977―987: 2004
*17  古川徹 膵上皮内腫瘍性病変(PanIN)と膵管内乳頭粘液性腫瘍(IPMN)の病理-膵発癌との関連- 日消誌2007;104:1329-1337
*18  Hruban RH, et al. Pancreatic intraepithelial neoplasia : a new nomenclature and classification system for pancreatic duct lesions. Am J Surg Pathol 25; 579-586: 2001
*19  https://pathology.jhu.edu/pancreas/medical-professionals/duct-lesions
*20  Hosoda W, et al. Genetic analyses of isolated high-grade pancreatic intraepithelial neoplasia (HG-PanIN) reveal paucity of alterations in TP53 and SMAD4. J Pathol. 2017 May;242(1):16-23.

トップ   新規 一覧 検索 最終更新   ヘルプ   最終更新のRSS