Signet-ring cell lymphoma
の履歴(No.2)
[
トップ
] [
新規
|
一覧
|
検索
|
最終更新
|
ヘルプ
]
履歴一覧
差分
を表示
現在との差分
を表示
ソース
を表示
Signet-ring cell lymphoma
へ行く。
1 (2023-04-25 (火) 20:42:24)
2 (2023-04-28 (金) 17:27:59)
3 (2023-04-30 (日) 08:11:03)
4 (2023-05-01 (月) 08:02:18)
Wikipathologica-KDP
作成中
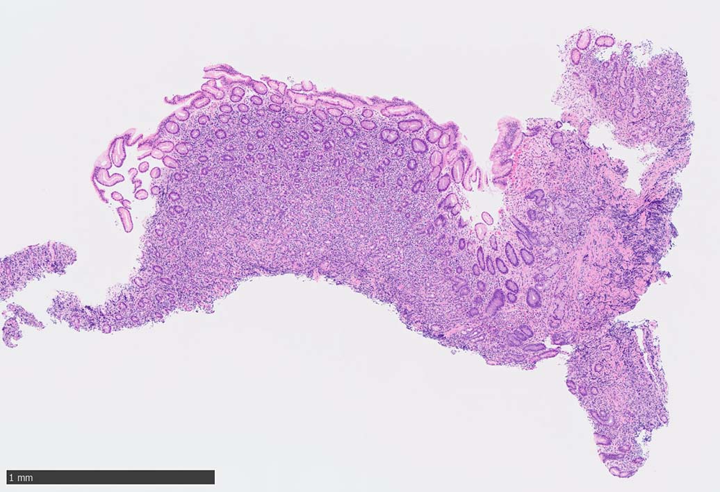
Signet-ring cell lymphoma of the stomach
†
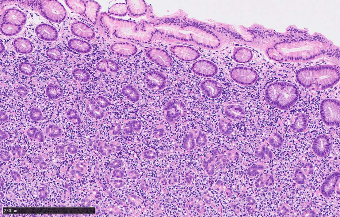
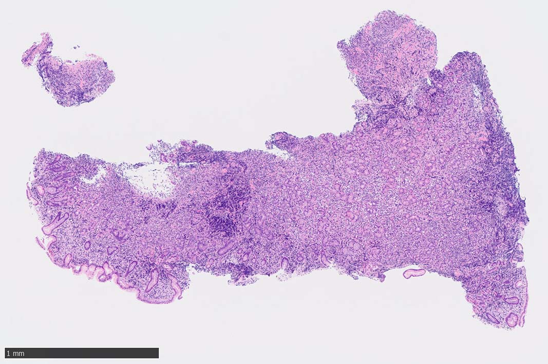
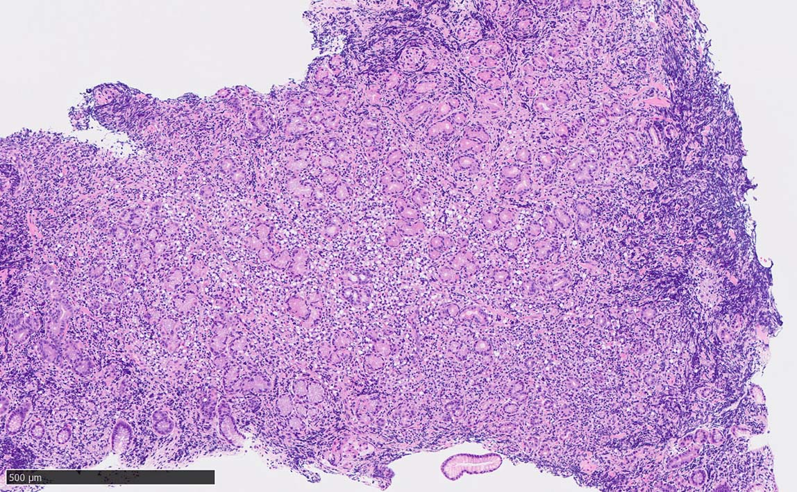
60 year-old male. 胃生検組織
stomach biopsy, HE
stomach biopsy, HE
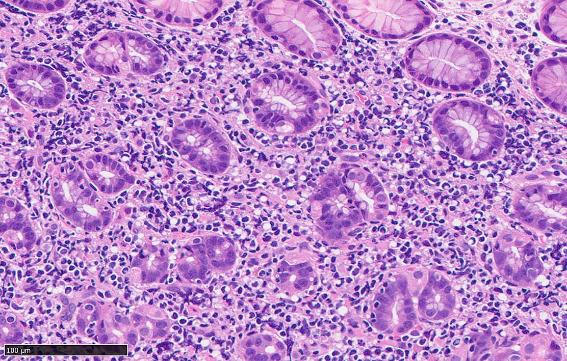
stomach biopsy, HE
x200
画像を追加する
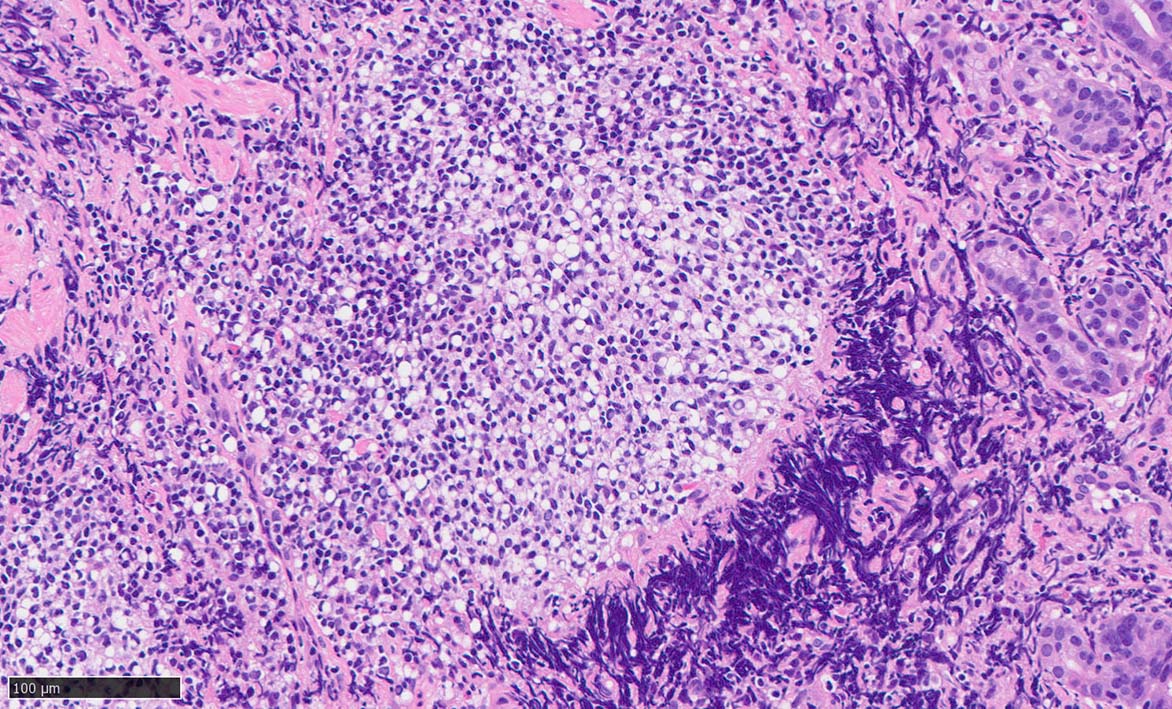
x200
非結節部位
固有腺のLEL様所見
画像を追加する
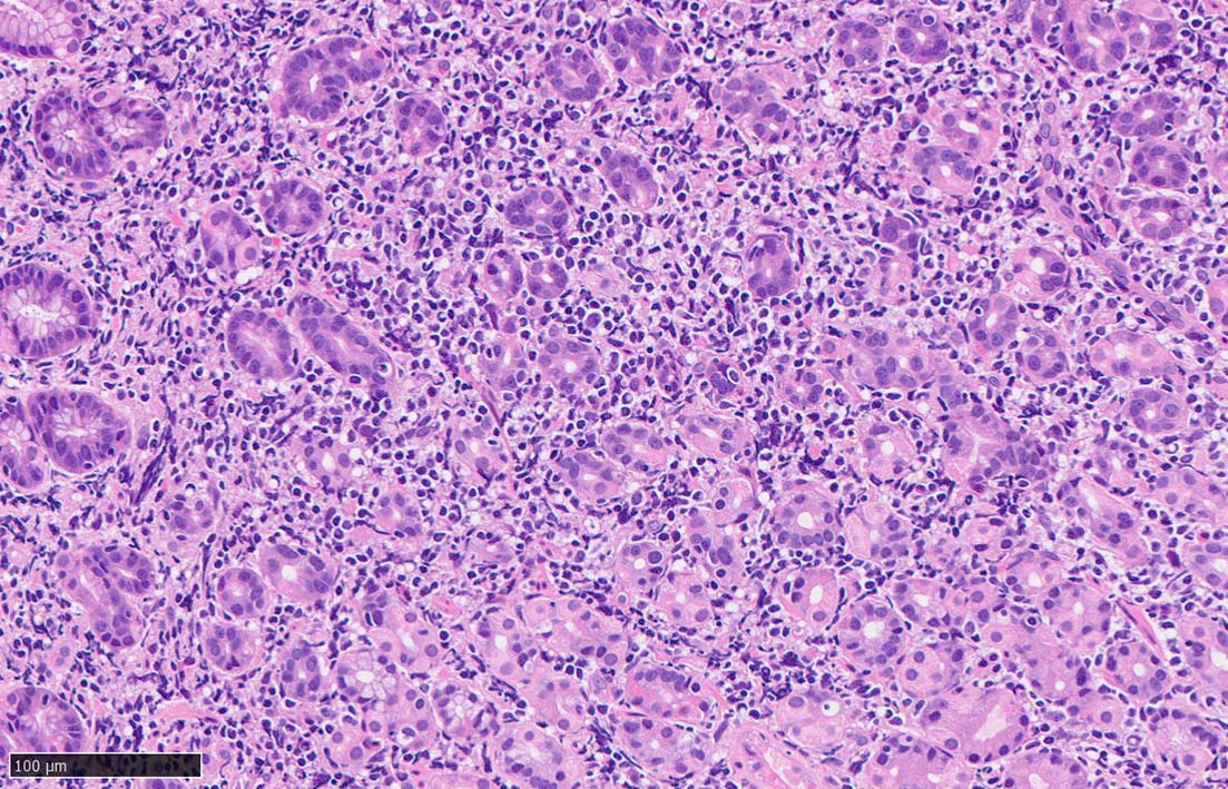
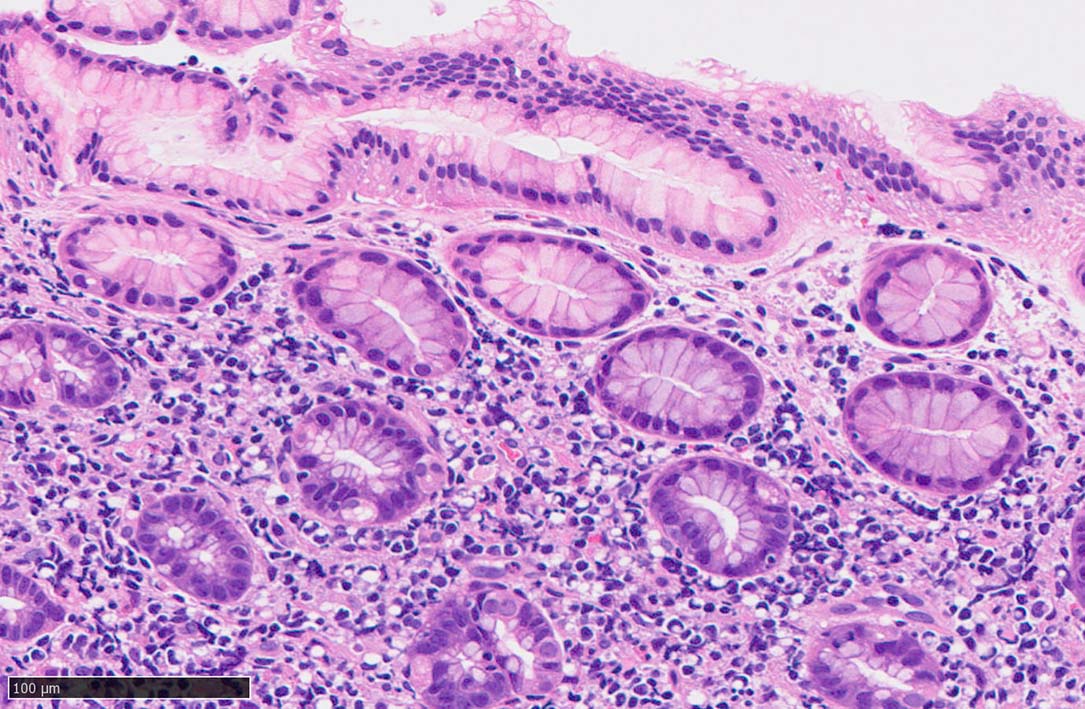
腺窩上皮
腺窩上皮
x200 HE
画像を追加する
免疫染色