Thymus

組織画像掲載についてはご家族のご了承をいただいています.

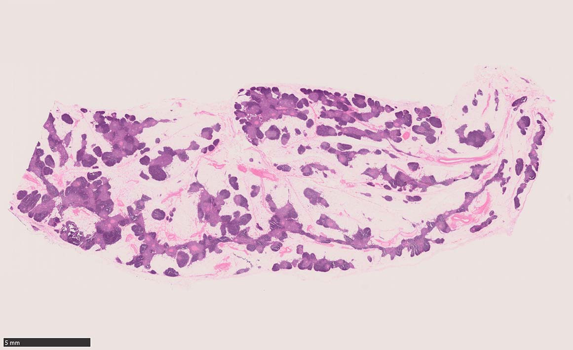
Thymus: 1 year-old boy

 

1歳男児. 剖検例

 
 
 

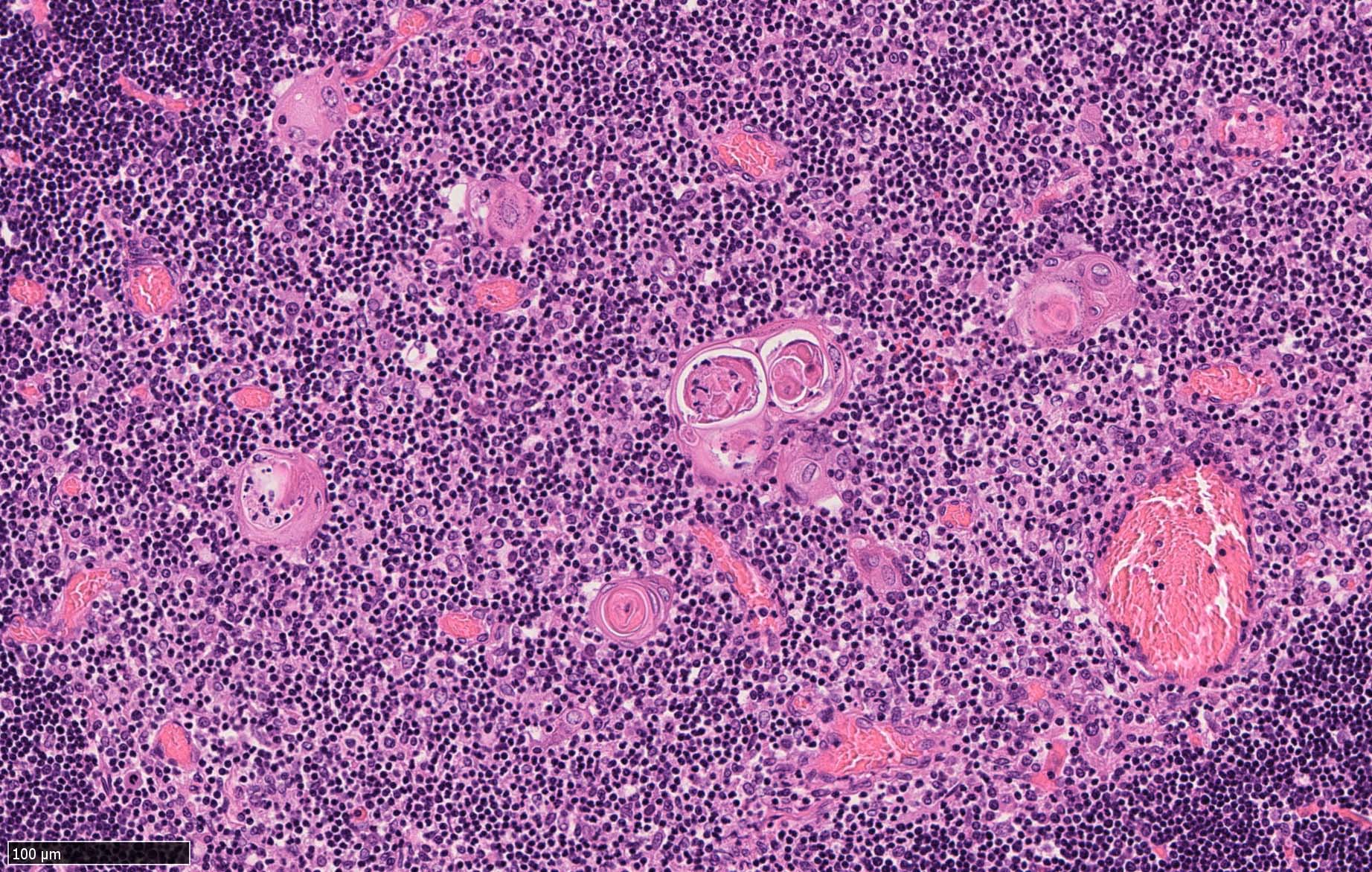
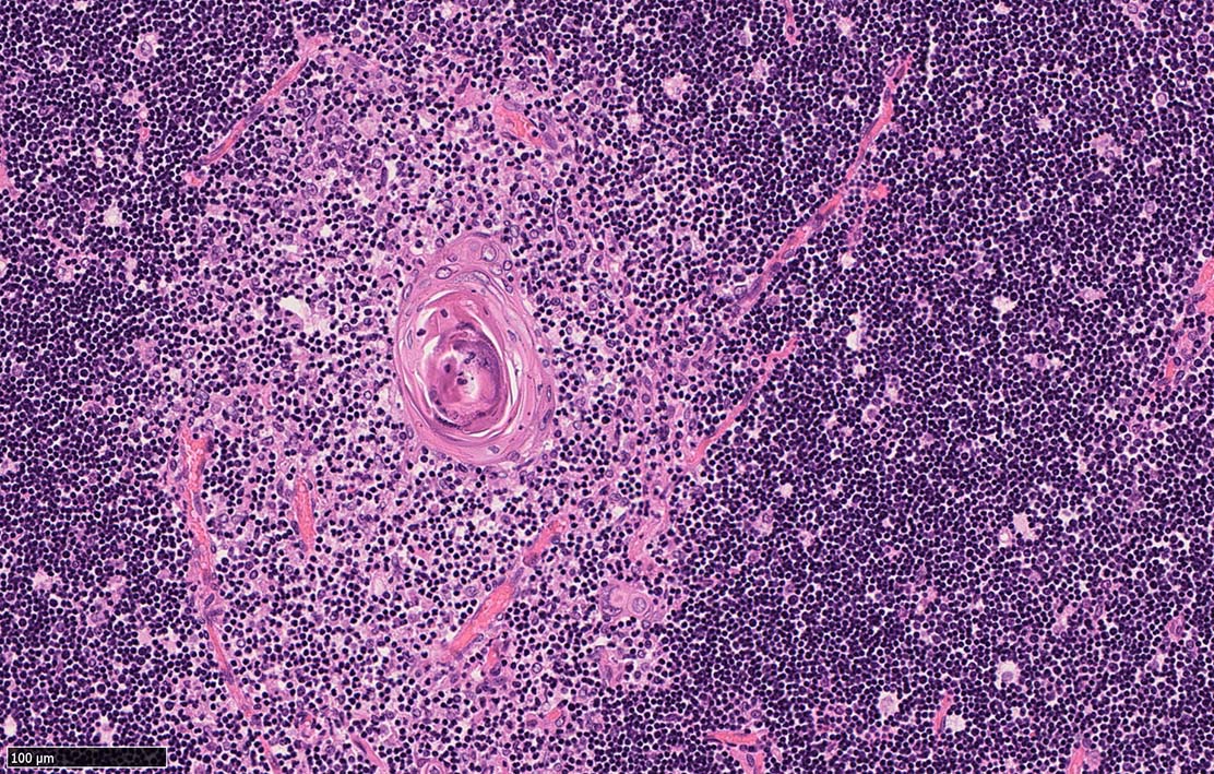
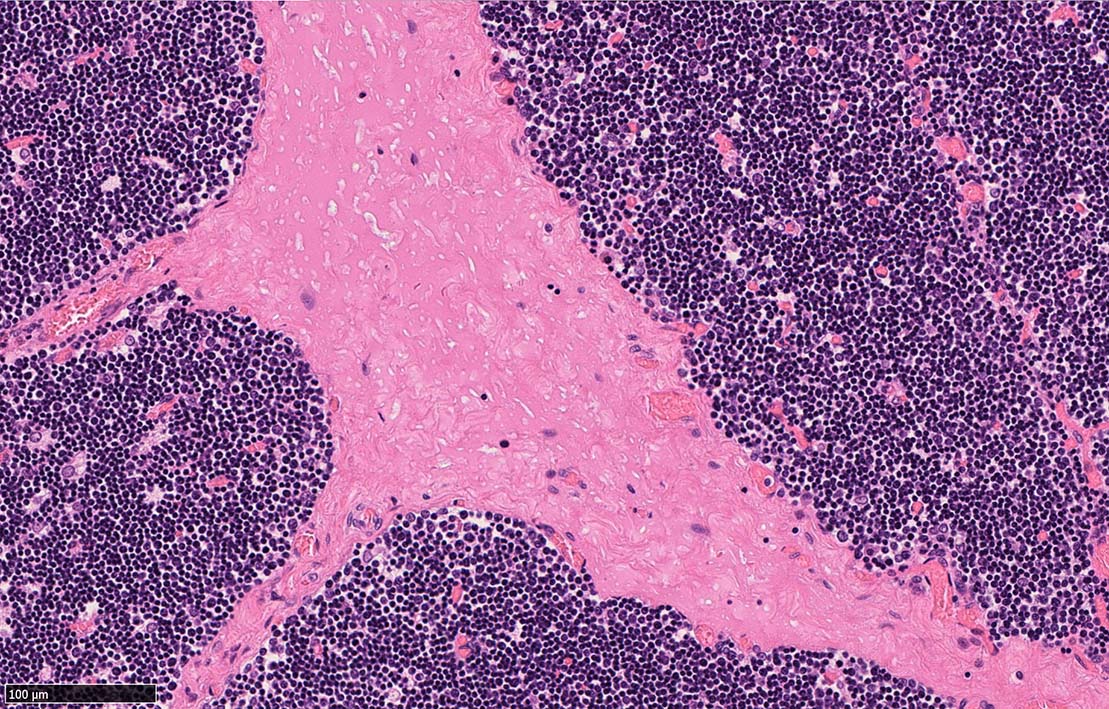
Thymus 34 year-old female

34歳女性 剖検例

 

トップ   新規 一覧 検索 最終更新   ヘルプ   最終更新のRSS