Wikipathologica-KDP

tick bite マダニ咬傷

IWT-case01 66yo male. 3週間前(!)南アルプスに登山. 腹部皮膚のイボ様腫瘤に気づき来院。

マダニと思われる虫体を皮膚ごと切除した。

サムネイルのクリックで大きな画像が見られます。

 

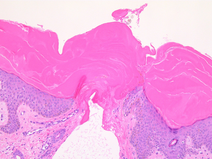
IWT-case02 1歳9ヶ月男児 項部の血豆様腫瘤に気づき来院.

 

マダニの生物学*1 *2

マダニ類の成虫は3-4mm,ダニ類のなかでは比較的大型である.吸血後のマダニ雌は最大で1.5cm程度にまで腫大することがある。体前部の顎体部と胴体部よりなる。顎体部は口器に相当し, 鋏角と触肢の2対の付属肢を持ち,体中央腹面には口下片(逆刃のついたストロー)を備える。

宿主に寄生したマダニ科のマダニは,吸血に先立ちまず唾液中に含まれる酵素で皮膚を溶かしながら鋏角で皮膚表面を切り開き,口下片をゆっくりと差し込んで皮下に形成された血液プールから血液を摂取する.

マダニ科マダニ(4属)では触肢と口器は短くなっており,そのために, 吸血後24時間程度経過すると,唾液腺で産生されるセメント様物質を分泌して口下片全体を包みこみ,体を宿主にしっかりと固定する.
(case02の皮膚表面にみられる硝子様の層がそれに相当するようです。)

このような吸血方式のため, マダニの吸血時間は極めて長く、雌成虫の場合は6~10日に達する。この間に約1mlに及ぶ大量の血液を吸血することができる。寿命の3-5年のうち吸血するのはトータルで30日間ほどのみで絶食耐性に優れた生物。

セメント様物質を注入した後には抗凝固物質(抗トロンボキナーゼ活性因子,アピラーゼによる抗血小板活性など)を分泌して,血液の凝固を防ぐ。加えて,エステラーゼ,アミノペプチダーゼ,プロスタグランジンE2などの物質を含む唾液を分泌して局所の炎症,充血,浮腫,出血などを引き起こし,吸血をより容易にしている。さらに飽血が近ずくとセメントを溶解する成分を含んだ唾液を分泌して,虫体は宿主から離脱することができるようになる。

マダニの唾液中には以上のようにさまざまな生理活性物質が含まれており,これが吸血時に家畜やヒトにしばしば致命的な影響を及ぼす,いわゆるダニ麻痺症を引き起こす原因となる。

マダニは蚊とちがって咬まれる瞬間や吸血中にほとんど痛みもかゆみも感じない。草むらや山林に入ったあとはしっかり目視で体表にダニがついていないかを確認することが大切。

 

ダニに皮膚を咬まれた場合

無理に自分でマダニをとろうとせず, 皮膚科, 外科などを受診して適切な除去処置を受けるようにしたほうがよい. *4*5
特に体部をつぶすとマダニ体内の病原体が血液とともに人間体内に逆流し感染リスクを高めるおそれがある. 虫体を無理に除去して口下片が遺残すると掻痒性結節が数ヶ月続くこともある.また膿瘍, 肉芽腫, アレルギー反応の原因になることがある。

 

結局のところ,誰にでもできる方法は,皮膚科の先生を受診して, 皮膚を5 mm程切開して,丁寧に頭部からとり除いてもらうことです。*5

マダニ刺症の注意点は,まず以下の6点が大切です。*5

1.頭からとり除くこと
2.つぶさずに取り除くこと
3.切開した場合は生理的食塩水で創部を良く洗うこと
4.皮膚に紅斑が出現しないかなどのフォローを怠らないこと-->ライム病の慢性遊走性紅斑
5.遊走性皮膚紅斑およびリンパ節炎の出現の評価
6.血小板減少・SIRS-associated coagulopathyに注意すること-->SFTSの徴候

※ 1~3ができなかった場合や,かまれてから1日以上が経過した場合には,6を懸念して3日目に血液検査を行うことを推奨します。
また,咬まれて数分で蕁麻疹, 喉頭浮腫などのI型アレルギー症状*6やアナフィラキシーショック様となる場合もありますので,その場合も救急科対応となります。

 

ダニ媒介感染症 tick-borne diseases

ダニ媒介感染症

tick-borne-disease.jpg
 

回帰熱は日本国内報告症例あり(2013年, 国立感染症研究所)*7

ライム病(Lymeは疾患が最初に発見された地名)--> ライム病-国立感染研記事

エーリキア症--新興感染症-->エーリキア症 *8

Q熱 ---> 国立感染症研究所--感染症の話-Q熱

マダニ媒介性脳炎 ---> 国立感染症研究所--感染症の話-ダニ媒介性脳炎-本邦第2例発生死亡例のニュース(2016.8月)&ref(): File not found: "tick-borne encepharitis.txt" at page "Tick bite";

重症熱性血小板減少症候群 severe fever with thrombocytopenia syndrome: SFTS)

2011年に中国からブニヤウイルス科フレボウイルス属のSFTSウイルス(SFTSV)によるウイルス出血熱が報告された。*9

感染流行地では, Haemaphysalis longicornis(フタトゲチマダニ)やRhipicephalus microplus(オウシマダニ)からSFTSV遺伝子が検出もしくはSFTSVが分離され, SFTSの原因ウイルス(SFTSV)の伝播経路のひとつはSFTSV保有マダニの刺咬でありマダニ媒介性感染症と考えられている。また, 血液や気道分泌物を介したヒトからヒトへの感染例も複数報告されている*10*11 *12*13*14。しかしマダニの刺咬、ヒト-ヒト感染のいずれも確認されない事例もある。

中国における重症熱性血小板減少症候群(SFTS)の発生は2006年秋の安徽省の事例(患者数14名)が最も早いものと考えられる。この事例はヒト顆粒球性アナプラズマ症の症状(発熱、白血球減少、血小板減少等)に類似していたことから、当初 同感染症との診断がなされていたが*15、SFTSが新興感染症として認識された後に再調査の結果、SFTSであると明らかになった。*16

これまで中部を中心とする12省(安徽省、湖北省、河南省、山東省、遼寧省、陝西省、四川省、雲南省、広西省、江西省、浙江省、江蘇省)でSFTSの発生が報告されている.
潜伏期は6~13日で、発熱・血小板減少・白血球減少・血中肝酵素上昇等は1~7日間程度みられ、血中ウイルス量は105~106 copies/mLに達する*17

回復者ではこれらの数値は改善し、発症後2週間程度で正常値に戻るが、死亡例では経過中数値は悪化を続け、発症後9日(中央値)で多臓器不全や播種性血管内凝固症候群により死亡する*17

血中ウイルス量・肝酵素値・サイトカイン量(IL-6、IL-10、IFN-γ)・ケモカイン量(IL-8、MCP1、MIP1β)は重篤度と相関する*18*19。ウイルスは咽頭スワブ・尿・便からも検出されるが、これは出血した血液由来のウイルス量を反映したものと考えられる*19。回復者は抗体陽性となり、長期にわたり持続する*9

日本国内の第1例は, 2012年秋, 発熱や血小板減少を呈して死亡したが、ウイルス学的に初めてSFTSVに罹患していたことが後方視的に確認された。これ以後、過去の死亡症例を含めて約80以上の感染例が明らかになっている。*20
SFTSは高齢患者さんでは死亡率が30%に達するきわめて予後不良の感染症である。

SFTS症例の病理解剖では腫大リンパ節における壊死性リンパ節炎所見および骨髄・脾臓・リンパ節において組織球の血球貪食像を見ることが多い. 臨床的には他臓器不全を来すが諸臓器実質細胞の病理学的変化は比較的乏しい。*21*20*22

腫大リンパ節に多い芽球様リンパ球はSFTSV感染細胞である。芽球様リンパ球は肝, 脾, 骨髄などにも浸潤しているが, ウイルス増殖の主座はリンパ節であることが推察される。急性期末梢血には異型リンパ球(一部は形質細胞様)が出現する症例がある。*20

#ref(): File not found: "sfts-japan.gif" at page "Tick bite"

 
 

日本におけるマダニ類のSFTSV遺伝子検出*23

  • 九州から北海道の26自治体において、植生マダニ(植物に付着し、動物やヒトを待ち構えているマダニ)とシカに付着しているマダニ(18種4,000匹以上)を調査したところ、複数のマダニ種(タカサゴキララマダニ、フタトゲチマダニ、キチマダニ、オオトゲチマダニ、ヒゲナガチマダニ等)から、SFTSV遺伝子が検出されたが、保有率は5~15%程度とマダニの種類により違いがあった。
     
  • これらのSFTSV保有マダニは、既に患者が確認されている地域(宮崎、鹿児島、徳島、愛媛、高知、岡山、島根、山口、兵庫県)だけではなく、患者が報告されていない地域(三重、滋賀、京都、和歌山、福井、山梨、長野、岐阜、静岡、栃木、群馬、岩手、宮城県、北海道)においても確認された。
     
  • 調査できたマダニ数が数匹と少なかったため、現時点では判断できなかった3自治体(福岡、熊本、福島県)を除くと、調査した全ての自治体でSFTSV遺伝子を持つマダニがみつかったことから、SFTSV保有マダニは調査していない自治体を含めて国内に広く分布していると考えられる。
     
  • 診断は血液体液を材料にしたRT-PCR法による遺伝子診断が最も有用で, 2013年以降は全都道府県の地方衛生研究所において検査が可能になっている。*24

*1  佐伯英治 「マダニの生物学」 (PDF)、『動薬研究』 (バイエル薬品株式会社) 第57巻第5号13-21頁、1988年。http://www.bayer-pet.jp/vet/research_pdf/nomi_madani_57c.pdf
*2  五箇公一 ダニ学から見たマダニ媒介性感染症 新薬と臨床 J. New Rem. & Clin 62(7); 120-123:2013
*3  熊田信夫 寄生虫症(3) 節足動物の病原性, 特に新しいマダニ媒介性疾患について 現代医学 34(1);149-154: 1986-文献が古いためSFTSは記載なし
*4  ダニ切除の方法 上富良野町立病院 外科 兼古 稔先生 http://www.wound-treatment.jp/next/wound326.htm
*5  名古屋大学名古屋大学大学院医学系研究科 救急・集中治療医学分野 教授 松田直之先生のブログhttp://blog.goo.ne.jp/matsubomb/e/245c1997d6c0e3fb7ec4c92b561df7fe
*6  Van Wye JE, et al Anaphylaxis from a tick bite. N Engl J Med. 1991 Mar 14;324(11):777-8.
*7  国内感染が確認された回帰熱の2例(掲載日 2013/9/3) 国立感染症研究所 http://www.nih.go.jp/niid/ja/relapsing-fever-m/relapsing-fever-iasrs/3877-pr4046.html
*8  Inokuma H. 話題の感染症 エーリキア症 モダンメディア 2008;54(5):135-143
*9  Yu XJ et al Fever with thromobcytopenia associated with a novel bunyavirus in China. New England Journal of Medicine 364; 1523-1532: 2011
*10  Liu Y et al Person-to-person transmission of severe fever with thrombocytopenia syndrome virus. Vector Borne Zoonotic Dis. 2012 Feb;12(2):156-60.
*11  Gai Z et al, Person-to-person transmission of severe fever with thrombocytopenia syndrome bunyavirus through blood contact. Clin Infect Dis. 2012 Jan 15;54(2):249-52.
*12  Bao CJ et al, A family cluster of infections by a newly recognized bunyavirus in eastern China, 2007: further evidence of person-to-person transmission. Clin Infect Dis. 2011 Dec;53(12):1208-14.
*13  Chen H et al, A cluster of cases of human-to-human transmission caused by severe fever with thrombocytopenia syndrome bunyavirus. Int J Infect Dis. 2013 Mar;17(3):e206-8.
*14  Tang X et al Human-to-human transmission of severe fever with thrombocytopenia syndrome bunyavirus through contact with infectious blood. J Infect Dis. 2013 Mar 1;207(5):736-9. doi: 10.1093/infdis/jis748. Epub 2012 Dec 6.
*15  Zhang L et al Nosocomial transmission of human granulocytic anaplasmosis in China. JAMA. 2008 Nov 19;300(19):2263-70.
*16  Liu Y et al Person-to-person transmission of severe fever with thrombocytopenia syndrome virus. Vector Borne Zoonotic Dis. 2012 Feb;12(2):156-60.
*17  Li D. A highly pathogenic new bunyavirus emerged in China. Emerg Microbes Infect. 2013 Jan;2(1):e1.
*18  Zhang YZ et al, Hemorrhagic fever caused by a novel Bunyavirus in China: pathogenesis and correlates of fatal outcome. Clin Infect Dis. 2012 Feb 15;54(4):527-33.
*19  Sun Y et al, Host cytokine storm is associated with disease severity of severe fever with thrombocytopenia syndrome.J Infect Dis. 2012 Oct 1;206(7):1085-94.
*20  Takahashi T et al, The first identification and retrospective study of Severe Fever with Thrombocytopenia Syndrome in Japan. J Infect Dis. 2014 Mar;209(6):816-27.
*21  Hiraki T et al, Two autopsy cases of severe fever with thrombocytopenia syndrome (SFTS) in Japan: a pathognomonic histological feature and unique complication of SFTS. Pathol Int. 2014 Nov;64(11):569-75.
*22  Uehara N, et al, Fatal Severe Fever with Thrombocytopenia Syndrome: An Autopsy Case Report. Intern Med. 2016;55(7):831-8.
*23  速報 重症熱性血小板減少症候群(SFTS)ウイルスの国内分布調査結果(第二報):http://www.nih.go.jp/niid/ja/id/2242-disease-based/sa/sfts/idsc/iasr-news/4428-pr4094.html
*24  高橋徹 重症熱性血小板減少症候群(SFTS) 山口医学 2016; 65(1):31-38

トップ   新規 一覧 検索 最終更新   ヘルプ   最終更新のRSS