lymphoplasmacytic lymphoma(LPL)

Lymphoplasmacytic lymphoma cases

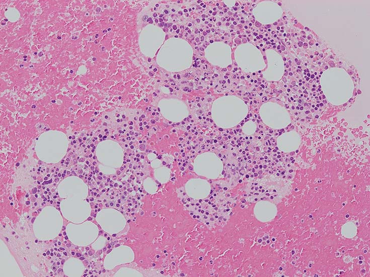
Case

56歳 女性

検診異常の再検査で受診, 慢性炎症, 小球性貧血, 血清IgM高値あり. 造血器疾患を疑われ血液内科で精査となった.
IgG 1365mg/dl, IgA 225mg/dl, IgM 1800(35-220)mg/dl. 血清免疫電気泳動で IgM-λtype M proteinを検出. 尿中 Bence Jones タンパク-λ型(+).

 

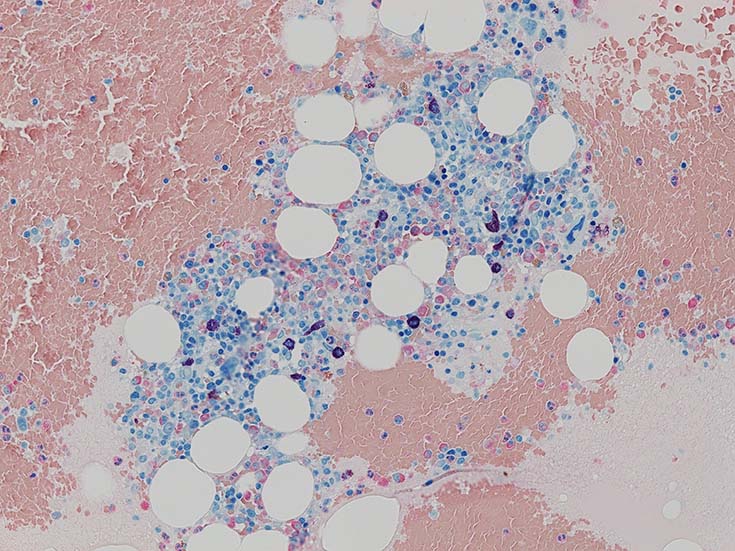
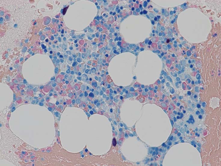
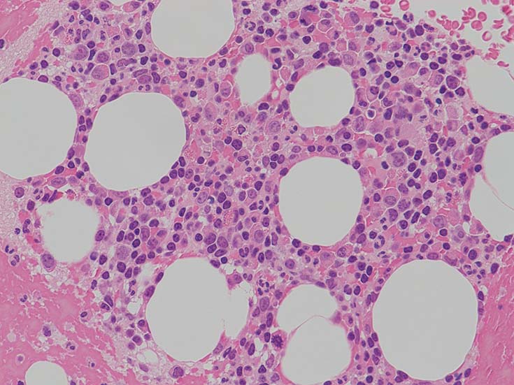
この症例では骨髄組織での造血巣内にリンパ球や形質細胞の軽度増加があるようだが, 腫瘍細胞増殖が明瞭ではない. 結節形成はみられない. mast cellsの増加がNaphtol-ASD-CAE染色で確認される.


トップ   新規 一覧 検索 最終更新   ヘルプ   最終更新のRSS