Wikipathologica-KDP

Atypical CML, BCR::ABL1 negativeという診断名はWHO 5th分類では推奨されず, MDS/MPNの中の, 「Myelodysplastic/myeloproliferative neoplasm with neutrophilia」になった. 一方ICC分類では MDS/MPNの中に, atypical CML(Atypical chronic myeloid leukemia )の診断名が残されている.*1

どないせーちゅうんじゃ!!

Myelodysplastic/myeloproliferative neoplasm with neutrophilia, WHO 5th classification

 
 

MDS/MPN, atypical chronic myeloid leukaemia(aCML)

 

WHO diagnostic criteria for aCML(2017 4thEd, revised)

1. 末梢血白血球増多, WBC≧13000/μl. 好中球増多, 顕著な異形成をもつ幼若顆粒球増多.

2. 白血球の10%以上は, 幼若好中球(前骨髄球, 骨髄球, 後骨髄球)が占める.

3. BCR-ABL1 fusionは認められない. PV, ET, PMFのクライテリアには一致しないこと.

4. PDGFRA, PDGFRB, FGFR1再構成なし. PCM1-JAK2は認められない.

5. 好塩基球増加はみられない. 通常, 白血球の2%未満にとどまる. CMLとは違うんよ.

6. 単球増多は認められない. 通常, 単球は, 白血球の10%未満. CMMLとは異なるんよ.

7. 骨髄組織は顆粒球系細胞増多. 顆粒球系細胞の異形成がある. dyserythropoiesis, dysmegakaryopoiesisがみられることもある.(with or without)

8. 芽球は, 末梢血, 骨髄有核細胞の 20%未満である.

Natural historyと予後予測因子

clot_ASD-04.jpg ASD-Giemsa染色

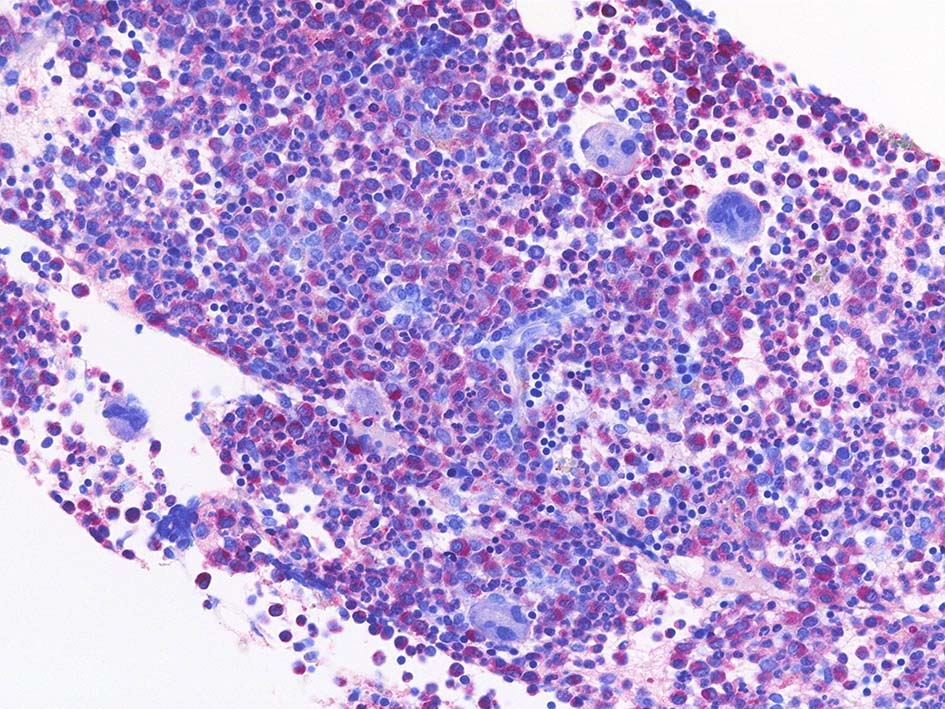
末梢血塗抹標本所見

骨髄組織

免疫染色

Case -- atypical CML と考えられる症例

78year old male. IWT case

1ヵ月前より食思不振, 倦怠感が強くなり徐々に動けなくなる. 体重減少 10kg/月.
末梢血; Hb 7.6, RBC 310x10^4, Ht 25.1, MCV81.0, MCHC 24.5, WBC 41100/μl, diff.; blast0.0, promyelo 0.0, myelo 5.0, meta 5.0, band 3.0, seg 83.0, Eo 0.0, Ba 0.0, Mo 1.0, Ly 2.0), Plt 27.7x10^4/μl

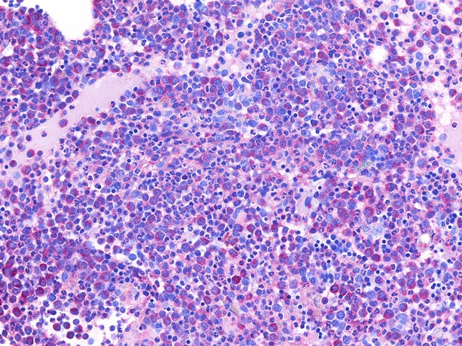
骨髄組織所見 (thumbnailのクリックで大きな画像がみられます)

Fig.01: hypercellular marrow. ASDで赤染する細胞の増加=granulopoietic hyperplasiaがある.

Fig.02: 幼若な顆粒球が増加している. 赤芽球は散在しており血島は不明瞭である. 過形成髄なのにFig.02に成熟大型巨核球はみられない.

Fig.03: granulopoietic hyperplasia. 成熟顆粒球の増加もある.

 
 
 

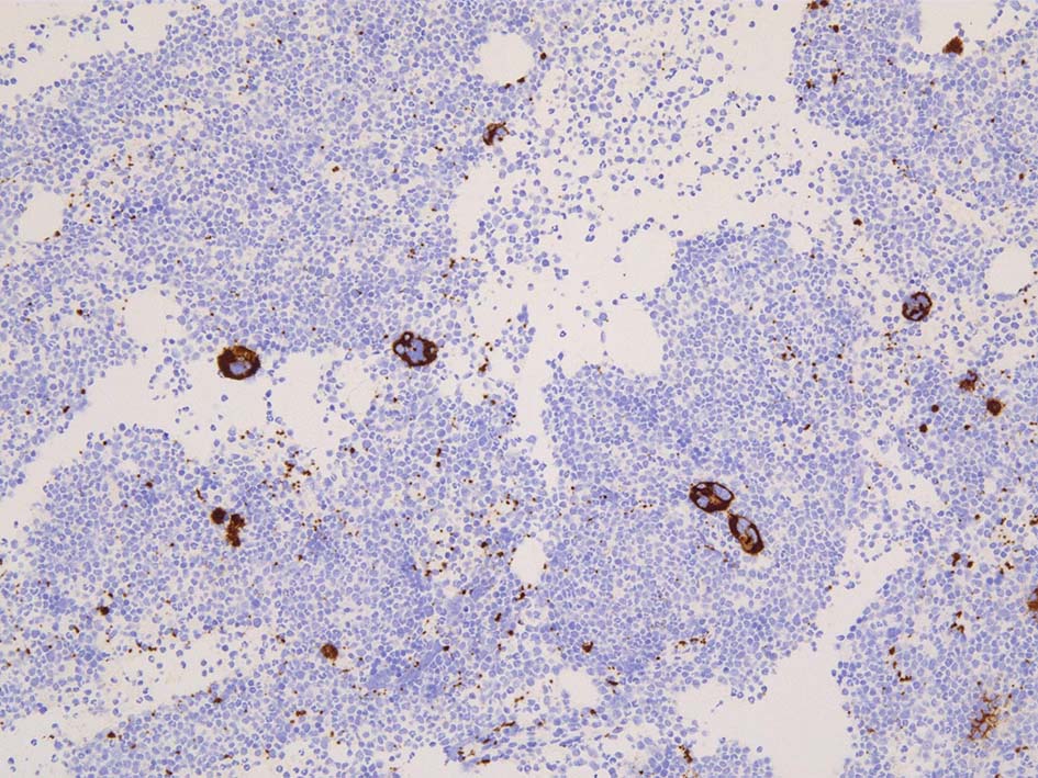
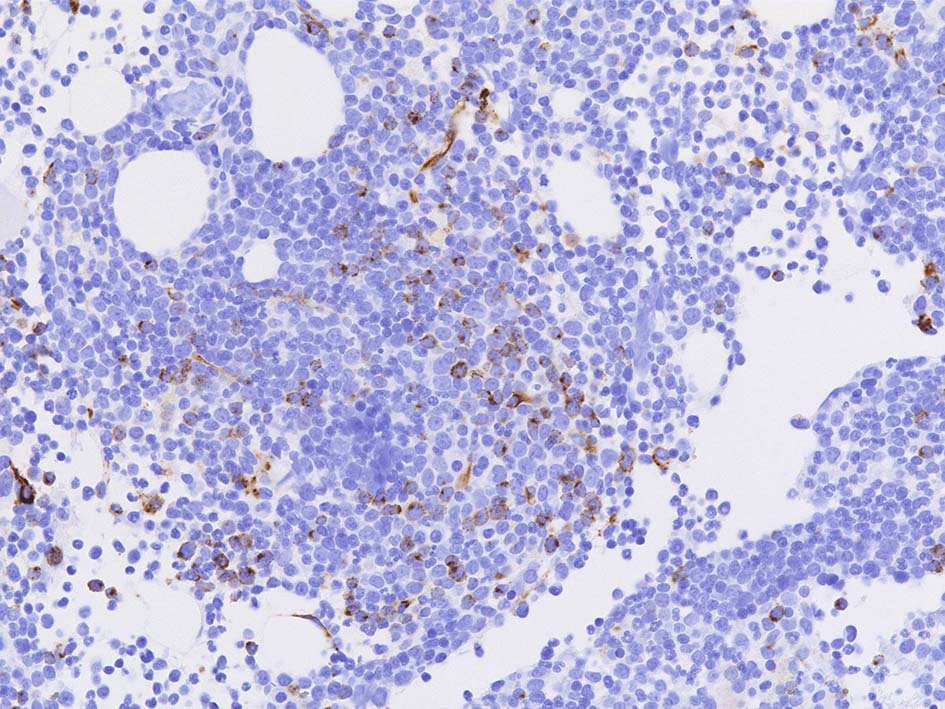
免疫染色; CD34, c-KIT, p53染色

本症例ではCD34, C-KIT陽性幼若細胞が増加している. 芽球はcountで4.3%. CD34, C-KITではfocalに 5-10%.

p53は核陽性細胞がごく少数認められた. 核淡染細胞は増加している. p53の変異を調べる必要がある. (有意な増加といえるか?)


*1  Daniel A. Arber DA, et al. International Consensus Classification of Myeloid Neoplasms and Acute Leukemias: integrating morphologic, clinical, and genomic data Blood (2022) 140 (11): 1200-1228.
*2  Breccia M, et al. Identification of risk factors in atypical chronic myeloid leukemia. Haematologica. 2006 Nov;91(11):1566-8. PMID:17043019
*3  Wang SA,et al. Atypical chronic myeloid leukemia is clinically distinct from unclassifiable myelodysplastic/myeloproliferative neoplasms. Blood. 2014 Apr 24;123(17):2645-51.PMID:24627528

トップ   新規 一覧 検索 最終更新   ヘルプ   最終更新のRSS