Wikipathologica-KDP
PathologyAtlas
WHO2016 revised classificationで Intestinal T-cell lymphomaへ再編成。
Intestinal T-cell lymphomaのページ 作成中.
腸症型T細胞リンパ腫 Enteropathy-associated T-cell lymphoma (ETL)†
Immune system of mucosa 粘膜リンパ系についての勉強
ETLは形態的あるいはImmunophenotypeにより複数のタイプを含む†
- 80-90%はnon-monomorphicまたはtype1-ETL
- 腫瘍細胞はpleomorphic, anaplastic, immunoblasticな細胞より構成される
- CD3+, CD4-, CD8-, CD7+, CD5-, CD56-
- CD103(上皮内T細胞に反応するHML1)も多くの症例で陽性.
- immunophenotypeは正常腸管上皮内T細胞(receptor α/β+ T細胞)と同様である
- 約1/3の症例では先行するceliac diseaseの病歴がある
- 85%の症例では腫瘍組織の近傍にenteropathy様の所見が認められる.--->どんな所見?
- 10-20%はmonomorphicまたはtype2-ETL
- monomorphicな小型-中型細胞の増殖から構成される
- 活性化CD8+, CD56+上皮内T細胞から発生したと考えられる
- 活性化CD8+, CD56+上皮内T細胞は正常腸管上皮内T細胞(receptorα/β+ T細胞)の15%を占める
CD103†
CD103は接着分子インテグリンαEサブユニットでインテグリンβ7とヘテロ二量体を形成する.αEβ7インテグリンは接着分子として, Eカドヘリンをカウンターレセプターとするリンパ球の柔組織内への組織特異的区画化を決定する。上皮細胞と上皮内T細胞との異種間接着性相互作用を媒介する。αEのEはE-cadherinのEです。
- CD103抗原はαEβ7抗原として腸管上皮内リンパ球のほとんどに発現している
- 腸の基底膜に存在するTリンパ球の半分弱もこの抗原を持っている
- 休止期の末梢血リンパ球にはほとんど検出されないが末梢血リンパ球はPHA刺激により活性化されるとこの抗原を発現する
- リンパ腫細胞,有毛細胞白血病脾細胞, HL-60細胞などにも検出されている
インテグリンβ7はCD103の他, α4とα4β7を形成してmucosal vascular addression cell adhesion molecule(MadCAM)またはCD106(= VCAM-1)と相互作用をもつ
ETLのkaryotype異常†
- 1q, 5q, 7q, 9qのgain
- 8p, 9p, 13qのlossと9q33-q34のgain (58%の症例に検出される)
- monomorphic ETLの一部は低レベルのmicrosatelite instabilityに関連--3q27など
- Type1-ETLは通常1q, 5qのgainがあるがMYC oncogene locus変化はまれ
- Type2-ETLはMYConcogene locus gain(8q gain)あり,1q, 5qのgainはまれ
- 9q gain/ 16q lossは両者に共通して出現
- HLA-DQB1 genotypeの検索からCeliac diseaseはType2-ETLの原因にならないと考えられる
Gastrointestinal lymphoma: where morphology meets molecular biology.
Isaacson PG, Du MQ. J. Pathol. 2005 Jan;205(2):255-74.
Most CD56+ intestinal lymphomas are CD8+CD5-T-cell lymphomas of monomorphic small
to medium size histology.Chott A, Haedicke W, Mosberger I, Fodinger M, Winkler K, Mannhalter C, Muller-Hermelink HK. Am J Pathol. 1998 Nov;153(5):1483-90.
Whole-Genome analysis and HLA genotyping of Enteropathy-type T-cell lymphoma reveals 2 distinct lymphoma subtypes
Deleeuw RJ et al. Gastroenterology 2007;132:1902-1911
症例01†
病理組織所見
40歳代後半, 女性
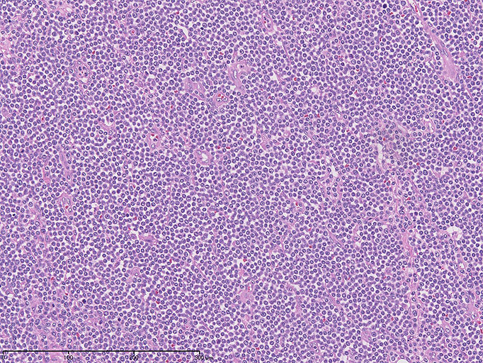
小腸穿孔による汎発性腹膜炎で緊急開腹, 小腸部分切除を行う。数ヶ月前より下痢が持続していた。切除小腸壁は髄様の割面を呈し高度に肥厚,全周性びらん, 潰瘍性病変が多発している。
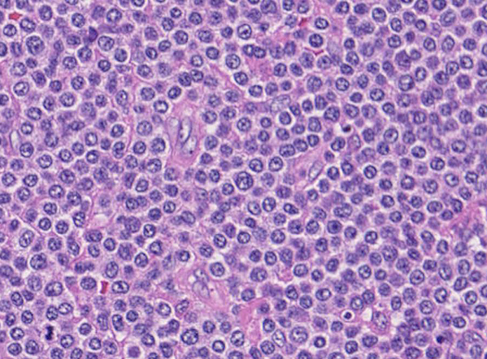
腫瘍細胞は腸管全層に密に浸潤している。粘膜表面は上皮が消失しびらんを形成。(Fig.1), 高倍率では中型, medium sized(組織球の核とほぼ同じサイズ)の類円形核をもつ比較的淡明な細胞質の異型リンパ球様細胞が密にmonotonousな増殖を示している。(Fig.2,3)
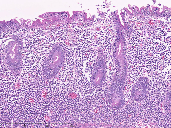
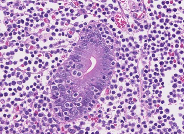
粘膜固有層には腫瘍細胞が充満し腺窩基底膜側より陰窩内に進入してIntraepithelial lymphocyte(IEL)の上皮浸潤を模倣する特徴的な蚕食像を示している。(Fig.4)
Pathological Diagnosis: Enteropathy-associated T cell lymphoma, monomorphic type
CD3ε+, CD8+, CD56-, TIA-1+, CD4-, CD5-, CD10-, CD20-, CD30-, UCHL-1-
症例02†
65回中部交見会No.1142
ETL細胞のphenotypeとgenotype†
- EATL腫瘍リンパ球のphenotypeで最も一般的なものは, CD3+, CD4-, CD8-, CD7+, CD103+。
- また腫瘍細胞はcytotoxic granuleを含みTIA-1, perforin, granzymeBなどで染色される。
- CD4-, CD8-であるが, 細胞はγδT細胞ではない。
- large anaplastic cell EATLでは多型細胞はCD30+, EMA+となる。ALKは陰性。
- monotonous small round cell subtypeでは, CD8+, CD56+
- TCRβのmonoclonal 遺伝子再構成を示す症例がほとんどだが, まれにTCRγ再構成を示す症例が報告されている。
臨床事項†
- 性差はなく, 60-70歳代に好発するがより若年のsporadic caseの報告がある。
- 下痢, 腹痛, 体重減少, 低アルブミン血症などの臨床所見あり, 腸管穿孔, 腸閉塞などの急性腹症で発症することも多い。
- 発症は空腸が最も多いが他のGI tractを侵すこともある。びらん潰瘍を伴う多発結節, または大きな腫瘤を形成する。潰瘍形成が見られる。腸間膜、腸間膜リンパ節も一般的に侵されている。
- 腫瘍が限局し治癒切除できる症例以外は極めて予後不良。多くは診断時腸管に多発し, 腹膜リンパ節, 肝, 脾, 骨髄, 肺, 皮膚に播種をきたしている。これらの部位が,まれに腸より先行することがある。
- ETLを発症する患者さんのグループ
- グルテン除去食に反応する成人・小児celiac diseaseの既往がある患者さんに腹痛をともなった吸収不良症候群として発症することが最も多い。
- 急性腹症または突然発症の重症グルテン除去食不応性吸収不良症候群で発症する症例もある。
- non-responsive celiac disease(長期, 間欠性の重症グルテン除去食不応性吸収不良症)のグループ
- 変形をきたすことのある腸管潰瘍(ulceritive jejunitis)が先行するグループ
食道転移病変生検により診断されたEnteropathy-associated T-cell lymphoma†
嚥下障害を契機に食道生検によって診断に至った腸症型T細胞リンパ腫の1例 Enterophathy associated T-cell lymphoma with the initial diagnosis made by esophageal biopsy:a case report 野口寛子ほか, 診断病理 Vol.029; No.01:76-79, 2012
WHO2008からWHO2016分類におけるETLの疾患概念変更†
3. WHO 2016 classification;
- WHO2008年分類の I, Ⅱ型EATLは臨床的, 形態的特徴だけでなく, phenotype, genotypeが異なることが示され以下のように改訂された.
- EATL typeIをEATL( entheropathy-associated T-cell lymphoma)とする
- EATL typeⅡをMEITL (monomorphic epitheliotropic intestinal T-cell lymphoma)
- さらに消化管に発生するT細胞性リンパ腫のうち, EATL, MEITLに該当しないものを, intestinal T-cell lymphoma, NOS
- 進行が緩徐で消化管粘膜病変を形成するが, 上皮への破壊性浸潤を欠くclonalなT細胞性リンパ増殖性疾患を indolent T-cell lymphoproliferative disorder of Gastrointestinal tract(ITCLD-GI)とした.
WHO2016新分類によるIntestinal T-cell lymphomaのページを見る. (作成中).