Wikipathologica-KDP

 

結節性リンパ球優位型ホジキンリンパ腫 (Nodular lymphocyte predominant HL: NLPHL)

Hodgkinlymphomaの2つの亜型のうちの1つ。(もう1つの亜型は古典的Hodgkin lymphoma. NLPHLが5%, 残り95%はclassical HL).

2001年WHO分類から古典的ホジキンリンパ腫のlymphocyte-rich variant(cHL)から免疫学的特徴により独立分類された。

 

病理組織、immunophenotype, genotype

NLPHL-CD21.jpg

NLPHLではB細胞主体の非腫瘍性小型リンパ球により満たされたfollicular dendritic cells(FDS: CD21陽性)から作られた大型球状の網目構造(meshworks)内に少数の大型腫瘍細胞が孤在性, 散在性に増殖している。(このパターンがキモですな

光顕では, 既存のリンパ節構造は腫瘍に置き換わり, ぼんやりした結節病変が形成される。(vague nodular lesionといわれる)

WHO2016にはNLPHLの免疫組織学的構築としてAからFまでの6つのパターンが提示されている. 上記キモのパターンは, Aパターンのclassical B-cell-rich nodularに相当し, このほか以下のパターンが揚げられAパターンだけとは限らない.*3

  • A: "classical" B-cell-rich nodular パターン(このページ上記のキモパターン:B細胞豊富な結節性病変 )上記日本の25症例の報告のうち, 10例(40%)はこのパターンであった.*2 最近の文献*4では75%がこのパターンと記載されている.
     
  • B: Serpiginous/ interconected pattern; 融合し蛇行する結節.
     
  • C: Prominent extra-Nodular L&H cells pattern; LP cells/ L&H cellsが結節外に多い.
     
  • D: T-cell rich nodular pattern; T細胞豊富な結節性病変 -->@B-cell lymphoma 検鏡in関東2018症例にある.
     
  • E: Diffuse (T/HRBCL or DLBCL-like) pattern; T/HRBCLに類似したパターン.
     
  • F: Diffuse moth-eaten , B-cell rich pattern; B細胞豊富なびまん性病変.
     

Architectural features of NLPHL: Fan Z, et al Am J Surg Pathol. 2003 Oct;27(10):1346-56.

NLPHL-patternA.jpg NLPHL-patternB.jpg NLPHL-patternC.jpg

X; L&H cell, pop-corn cell. 灰色; B-cell. 白/無色; T-cell. serpiginous;蛇行した

 

NLPHL結節の病理所見*5 *6

European Task Force on Lymphoma *7によると, diffuse typeの診断基準を満たすものはNLPHLの3%(7/219cases)に過ぎなかった. NLPHLはほぼnodular typeを示すものと考えてよい. *8

びまん性の病変であっても, 診断には少なくとも1個の結節性病変が認められることが必要(WHO blue book)*6で、純粋なびまん型の存在は現在では疑わしいとされている

小リンパ球はと反応性組織球. 背景にはCD3+小型 T-cellが認められる.

結節を形成する, 腫瘍細胞背景は, 丸い核縁の小リンパ球--B-cell(CD21の結節と同様にCD20が染まる)と反応性組織球の混合より形成されている。

組織球は単独あるいは類上皮肉芽腫やサルコイド肉芽腫を思わせるclusterとして出現する.

結節は, しばしば小リンパ球増多がほとんどで, 組織球はほんのわずかなことがある. びまん性領域では, 組織球が多く, 小リンパ球に乏しい.

結節構造は必ず認められる. 通常, 結節性病変には胚中心はない。ときに腫瘍性結節内に小さな胚中心が遺残することがあるが, 見つかる場合は被膜直下に存在している.

被膜は通常異常を認めることはなく肥厚をしめすことはない. しかし20%の症例で結節内の線維化巣が報告されている.

好酸球, 形質細胞の出現はなく, 壊死はみられない.

結節のサイズはいろいろで, しばしば境界不明瞭である. この場合は弾性線維染色かCD21の免疫染色で拡大したfollicular dendritic cellsのmeshworkが確認される.

 

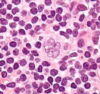
LP variants of Reed Sternberg cells (以前はL&H細胞と呼ばれた)--NHPLの最も病理的特徴

大型腫瘍細胞はlymphocyte predominant cell(LP cell)または「popcorn cell」と呼ばれる。分葉状核に好塩基性の明瞭な核小体を有する。Hodgkin/RS細胞にくらべ小型であるが、大きく区別できない場合もある。

腫瘍細胞(LP cells)は結節の中にも, 外にも存在している. LP cellは結節中心部分では数を増すが, 密に集簇することはない= not cohesive. *9

 

popcorn01.jpg popcorn03.jpg ポップコーン(右中央)に似た核をもつ細胞(popcorn cell, 左図)

分葉し,深い切れ込みをもつ淡明なクロマチンの核をもつ大型細胞が周囲を小リンパ球に囲繞されている. ポップコーンに似る. 最も頻度の高い"classical" B-cell-rich nodular パターン病変では, popcorn cellは小型のことも多い. *4

LP細胞の周りにはCD3+ T-cellのロゼットが認められ, 背景にCD57+細胞も多い。

Classical HLでは背景のT-Cellに follicular helper T cellが多いことはまずない. それゆえ 背景T-cellに CD57とかPD-1が出てきたときにはcHLではなく, 必然的に NLPHLを考える.(田丸淳一先生. @B-cell lymphoma 検鏡in関東2018)

NLPHL腫瘍細胞において最も特徴的なことは, mononuclear variantを含めたReed Sternberg cellsの出現はまれか, 見つけるのは困難なこと. NLPHLに典型的なReed-Sternberg cellsが現れるのは, ごく少数か, あるいは存在しないのかもしれない.

classicalなRS cellsがすんなりと, 簡単に見つかる場合は, NLPHLの診断は間違いで, Lymphocyte Rich type HLかMixed cellularity type HLとするべきである. ~classical RS cellsの存在有無は歴史的にNLPHLをHLから鑑別に重要であったが, 現在は特徴的な形態とimmunophenotypeからの診断が可能となっている.

 
 

NLPHLのimmunophenotype

NLPHLの免疫染色*10*11 詳細な抗原発現の記載(Hematopathology 2nd Ed.)*12

LP cellはgerminal center cell由来で, LCA陽性, CD20(100%), CD79a, PAX5陽性. Bob.1, Oct2陽性. BCL6が陽性(83.3%). (なぜCD10は陽性ではないのか?)

cHLと異なり大型腫瘍細胞(LP cell)はCD30, CD15は陰性。 NLPHL症例で, まれにCD30陽性の大型細胞があるとされているが, これらのほとんどがLP cellとは無関係の濾胞外の免疫芽球immunoblast.*13*14(要注意事項--> 下記, NLPHLとCD30免疫染色を参照.)

NLPHLとCD30免疫染色.(近年ではNLPHとCD30についての知見は変化してきている)

2000年頃の文献では陰性だけれど, 最近アメリカの文献ではNLPHLにEBVが陽性になる症例やCD30陽性の症例がポツポツと報告されてきている. 日本でNLPHLにCD30が薄く陽性になることはいくらでもある. 最近気になるのは, 免疫染色の技法が進歩(リンカー法など)しておりその技術で染めると陽性頻度が全く異なってきていることです. NLPHLでCD30陽性になる症例は, まず引っかかってきている. (田丸淳一先生. @B-cell lymphoma 検鏡in関東2018)

Hematopathology 2nd Ed*12ではLP cellのCD30抗原発現はgenellary negativeと記載されている.

NLPHLmarkers01.jpg
  • 半数例以上にepithelial membrane antigen(EMA)が陽性
     
  • 免疫グロブリン転写因子のOCT-2, BOB.1はいずれも陽性(cHLではIg遺伝子のtranscription factorの欠如がいわれており, BOB.1, OCT-2の両方またはどちらか一方の欠如が免疫染色で証明でき、鑑別診断に使うことができる) 注:OCT2, Bob.1はcontrolも淡染したり, まったく染まらなかったり染色態度が安定しないことがあり判定に困ることがある.(自験)
     
  • 免疫グロブリンは通常陽性, J鎖陽性例やsIgD陽性例も知られている。
     
  • LP細胞にはEB virusは通常証明されない。(LMP-1、EBER-ISHは陰性) ただし, 背景リンパ球には陽性のことがある
     
  • 大型細胞にEBV陽性の場合, 中高年齢者では, EBV-associated lymphoproliferative disease of the elderly, pleomorphic variantが鑑別になる。
     
    NLPHLのLP cellsには結構EBVが陽性になるという論文*15が出ました。EBV陽性だからといってNLPHLを否定するのは早計かもしれません
     
  • 典型的patternAに認められる結節性病変を形成する非腫瘍性小リンパ球はB細胞優位で, CD20+, CD79a+. CD21陽性のFDC meshworkもみられる.
     
  • CD57陽性やPD-1陽性のT濾胞ヘルパー細胞(T follicular helper T-cell)の介在も多く, 大型腫瘍細胞の周囲にみられるPD-1陽性TFH細胞rosettは診断に有用である.
     
  • その他, 胚中心T細胞のphenotypeを示す, CD4, BCL6, MUM1などを発現するT細胞の介在もある.
     
  • びまん性病変部にはT細胞が多い.
     
  • LP細胞のsingle cell解析でon going mutaionを伴ったimmunoglobulin geneの再構成がNLPHLには認められ, その正常対応細胞は, 濾胞胚中心B細胞と考えられている.
     
  • single cellレベル遺伝子発現解析では, LP細胞はTHRLBCLの腫瘍細胞やclassical HLのHRS細胞との類似性が示されている.
     
  • NLPHL症例や細胞株においてIGHとBCL6との転座が認められており, BCL6の免疫グロブリン, IKAROS/IKZF1, ARBに関連した再構成が高頻度(48%)に見いだされている.
     
  • 濾胞過形成や胚中心進展性異形成(PTGC)が共存または異時性に出現することがありNLPHLの前駆病変かどうかの論争がある。
     
     

臨床事項

classical HLに比べ, 予後良好な亜型. stageI, Ⅱの症例は特に予後良好で経過観察のみで治療を選択しない場合もある.*16 *17

DLBCLへの移行症例も認められる. 特に診断時に脾臓病変が認められた症例に移行の頻度が高いとされている.

異時性に発症したDLBCL症例の腫瘍細胞クローン解析で同一性を証明した報告がある.

鑑別診断: T-cell/ Histiocyte-rich B-cell lymphoma(T/HRBL)

NLPHL vs T-cell/ Histiocyte-rich B-cell lymphoma(T/HRBL)

両者の腫瘍細胞は免疫形質においてほぼ同じであるが背景成分に違いが認められる*18

NLPHLの典型例(pattern A)ではB細胞から構成される結節性病変を形成するので鑑別は比較的容易である.
結節性病変が不明瞭で, びまん性病変がめだつ症例では診断に苦慮する.

T/H rich は明瞭なnodularな病変を作ることはない.(田丸淳一先生. @B-cell lymphoma 検鏡in関東2018)

T/HRBCLはaggressiveリンパ腫であり, その予後や治療成績はNLPHLよりもDLBCLに近似している. rituximabを加えたCHOP療法(R-CHOP)がDLBCLにおけると同様有効である.*26*27

 
 

鑑別診断 classical HL, lymphocyte rich type

結節性病変形成, LP細胞の出現から鑑別診断にあげられる.

CHL LRでは結節性病変に偏在する萎縮性胚中心が認められる.

腫瘍細胞はcHLのHRS細胞のphenotypeを示す. CD20陰性. PAX5淡染, CD30+, CD15+, Fascin+, Oct2/Bob.1のいずれかが陰性.

 
 

鑑別診断 NLPHLの背景T細胞に異型を伴いPTCL NOSとの鑑別が必要な症例がある.

文献 *28


*1  Anagnostopoulos I, et al. European Task Force on Lymphoma project on lymphocyte predominance Hodgkin disease: histologic and immunohistologic analysis of submitted cases reveals 2 types of Hodgkin disease with a nodular growth pattern and abundant lymphocytes. Blood. 2000 Sep 1;96(5):1889-99. PMID:10961891 free
*2  Eladl AE, et al. Nodular Lymphocyte Predominant Hodgkin Lymphoma: Clincopathological Study of 25 Cases From Japan With a Reappraisal of Tissue Associated Macrophages. Pathol Int, 65 (12), 652-60 PMID: 26538151
*3  Fan Z, et al Characterization of variant patterns of nodular lymphocyte predominant hodgkin lymphoma with immunohistologic and clinical correlation. Am J Surg Pathol. 2003 Oct;27(10):1346-56. PMID:14508396
*4  Hartmann S, Eichenauer DA.Nodular lymphocyte predominant Hodgkin lymphoma: pathology, clinical course and relation to T-cell/histiocyte rich large B-cell lymphoma. Pathology. 2020; 52(1): 142-153. PMID: 31785822
*5  Burke J. Hodgkin Lymphoma: Histopathology and Differential Diagnosis. In : Foucar K, Knowles DM, Weiss LM (eds). Knowles' Neoplastic Hematopathology 3rd ed, Wolters Kluwer| Lippincott Williams & Wilkins. 2014; pp.354-384.
*6  Poppema S, et al.:Nodular lymphocyte predominant Hodgkin lymphoma. In: Swerdlow SH, Campo E, et al.,eds. WHO Classification of Tumours of Haematopoietic and Lymphoid Tissues, 4th ed. Lyon, IARC, pp321-334, 2008
*7  histologic and immunohistologic analysis of submitted cases reveals 2 types of Hodgkin disease with a nodular growth pattern and abundant lymphocytes. Blood. 2000 Sep 1;96(5):1889-99. PMID: 10961891
*8  classification and differential diagnosis. Mod Pathol 1999; 12: 159-176
*9  1063-1081
*10  Sakai J., et al Lymphocyte-Rich Classical Hodgkin Lymphoma. A Case with Difficulty in Distinguishing from Nodular Lymphocyte-Predominant Hodgkin Lymphoma. J Clin Exp Hematop. 2015;55(1):23-8.
*11  Smith LB Nodular lymphocyte predominant Hodgkin lymphoma: diagnostic pearls and pitfalls. Arch Pathol Lab Med.2010 Oct;134(10):1434-9.PMID20923296
*12  Feldman AL, Poppema S. Nodular lymphocyte-Predominant Hodgkin's Lymphoma. In : Jaffe ES, Arber DA, Campo E, Harris NL, Quintanilla-Martinez L (eds). Hematopathology. 2nd ed, Philadelphia, Elsevier. 2017; pp. 507-524.
*13  Anagnostopoulos I, et al.European Task Force on Lymphoma project on lymphocyte predominance Hodgkin disease: histologic and immunohistologic analysis of submitted cases reveals 2 types of Hodgkin disease with a nodular growth pattern and abundant lymphocytes.Blood. 2000 Sep 1;96(5):1889-99.
*14  Lee AI, LaCasce AS. Nodular lymphocyte predominant Hodgkin lymphoma.Oncologist. 2009 Jul;14(7):739-51. PMID:19605845
*15  Huppmann AR. et al., EBV May Be Expressed in the LP Cells of Nodular Lymphocyte-predominant Hodgkin Lymphoma(NLPHL) in Both Children and Adults. Am J Surg Pathol 2014; 38(3): 316-324
*16  Eichenauer DA, et al How I treat nodular lymphocyte-predominant Hodgkin lymphoma. Blood. 2020 Dec 24;136(26):2987-2993. PMID: 32877522
*17  Advani RH, Hoppe RT. How I treat nodular lymphocyte predominant Hodgkin lymphoma.Blood. 2013 Dec 19;122(26):4182-8.PMID: 24215035
*18  Boudova L et al.Nodular lymphocyte-predominant Hodgkin lymhoma with nodules resembling T-cell/histiocyte-rich B-cell lymphoma: differential diagnosis between nodular lymphocyte-predominant Hodgkin lymphoma and T-cell/histiocyte-rich B-cell lymphoma, Blood 2003; 102(15); 3753-3758
*19  Rüdiger T, et al. Workshop report on Hodgkin's disease and related diseases ('grey zone' lymphoma).Ann Oncol 1998; 9 Suppl 5: S31-S38. PMID 9926235
*20  Boudová L, et al. Nodular lymphocyte-predominant Hodgkin lymphoma with nodules resembling T-cell/histiocyte-rich B-cell lymphoma: differential diagnosis between nodular lymphocyte-predominant Hodgkin lymphoma and T-cell/histiocyte-rich B-cell lymphoma. Blood. 2003 Nov 15;102(10):3753-8.PMID 12881319
*21  Zhao FX. Nodular Lymphocyte-Predominant Hodgkin Lymphoma or T-cell/Histiocyte Rich Large B-cell Lymphoma: The Problem in "Grey Zone" Lymphomas. Int J Clin Exp Pathol 2008; 1(3): 300-305.PMID 18784812
*22  De Wolf-Peeters C,et al, T cell/histiocyte-rich large B-cell lymphoma. Swerdlow SH, et al.(eds.) World Health Organization Classification of Tumours, Pathology and Genetics of Tumours of Haematopoietic and Lymphoid Tissues, Lyon: IARC Press, 2008: 238-239.
*23  Swerdlow SH, et al. The 2016 revision of the World Health Organization (WHO) classification of lymphoid neoplasms. Blood 2016; 127(20): 2375-2390.PMID 26980727
*24  Achten R, et al. Histiocyte-rich, T-cell-rich B-cell lymphoma: a distinct diffuse large B-cell lymphoma subtype showing characteristic morphologic and immunophenotypic features. Histopathology 2002; 40(1): 31-45.PMID 11903596
*25  Lim MS, et al.T-cell/histiocyte-rich large B-cell lymphoma: a heterogeneous entity with derivation from germinal center B cells. Am J Surg Pathol 2002; 26(11): 1458-1466. PMID 12409722
*26  Younes A, et al.(eds). Hodgkin's lymphoma. Hellman, and Rosenberg's Cancer: Principles & Practice of Oncology: Wolters Kluwer Health/Lippincott Williams & Wilkins; 2014.
*27  Kim YS, et al. Matched-pair analysis comparing the outcomes of T cell/histiocyte-rich large B cell lymphoma and diffuse large B cell lymphoma in patients treated with rituximab-CHOP. Acta Haematol 2014; 131(3): 156-161.PMID 24192382
*28  Sohani AR, et al. Nodular lymphocyte-predominant Hodgkin lymphoma with atypical T cells: A morphologic variant mimicking peripheral T-cell lymphoma Am J Surg Pathol 2011; 35(11):1666-1678

トップ   新規 一覧 検索 最終更新   ヘルプ   最終更新のRSS