Wikipathologica-KDP

To bottom

MDS(myelodysplastic syndromes)診断におけるring sideroblasts

第104回日本病理学会総会ワークショップ1「MDS診断の標準化を目指して」の口演から

文献*1

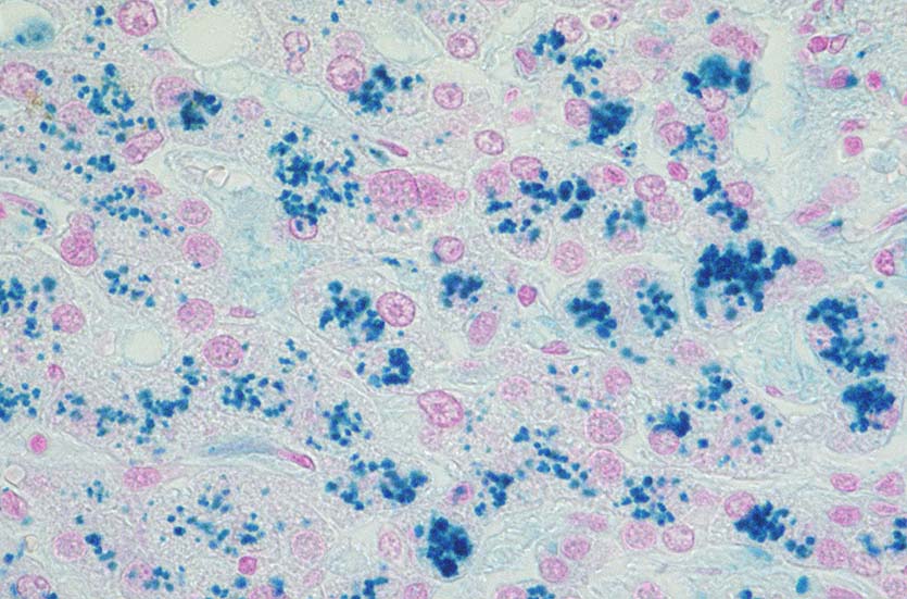
ring sideroblasts (環状または輪状鉄芽球, WHO第4版よりring sideroblastに名称変更)

ringed_sideroblasts01.jpg

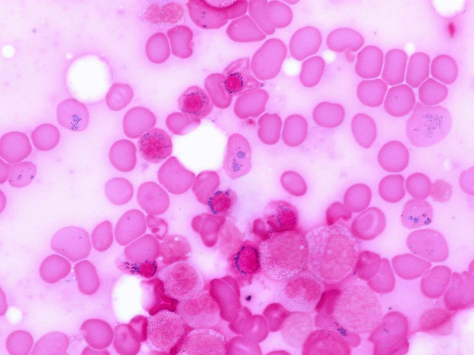
RARS(refractory anemia with ring sideroblasts:2016WHO分類ではMDS-RS)症例に見られたring sideroblastsです。(ベルリン青染色, x600)

Perlenkette (真珠の首飾り, ドイツ語)と呼ばれる青く染まった鉄顆粒が赤芽球の核周囲を取り巻くように認められます。
この青い顆粒はミトコンドリア内に貯留したフェリチン鉄ferritin ironです。

ポルフィリン環の生成障害によりヘム hemeに組み込まれるはずの鉄が著しく余るようになります。ヘムの合成は細胞質内のミトコンドリアでおこなわれるため、余剰になった鉄はしかたなくフェリチン鉄としてミトコンドリア内に貯留します。
フェリチン鉄に満たされたミトコンドリアは丸い形が特徴です。seideroblastの青い顆粒も丸いことが特徴です。

赤芽球では正あるいは多染性赤芽球の時期にヘム合成が最盛期のため、鉄の沈着はこの時期の赤芽球において最も顕著であり, より幼若でヘム合成が不十分な前赤芽球、好塩基性赤芽球の段階には認めにくい。*2

定義では, 5個以上の鉄顆粒が, 赤芽球の核周囲1/3以上を囲むものとされている。

ring sideroblastの著増はミトコンドリアにおける鉄利用障害の存在を示し,種々の血液疾患に出現する。

 

赤芽球におけるring sideroblastsの出現はMDSに特異的な4種類のカテゴリーAの異形成所見の1つとされている。*3
定量化には骨髄スメア鉄染色標本で赤芽球100個以上を検鏡しringed sideroblastsの%を数え 骨髄クロット標本での鉄染色でもring sideroblastsの検出は可能。へモジデリン貪食マクロファージとの鑑別もそれほど困難ではない。

骨髄スメアで鉄染色が行われていない場合, 未固定のスメア標本は2週間ほどで鉄が染まらなくなる。その場合はクロットが有用。スメアはホルマリンやメタノール固定して保存しておくと長期間鉄染色可能である。

Refractory anemia with ring sideroblasts

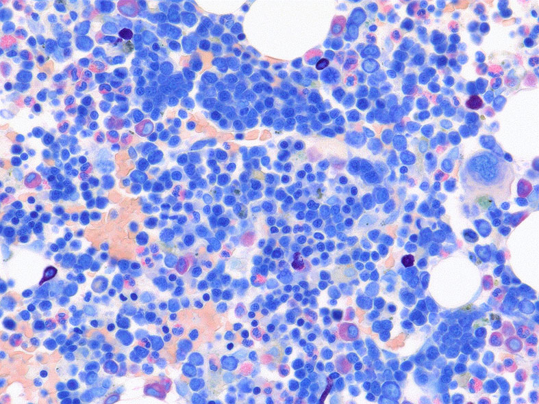
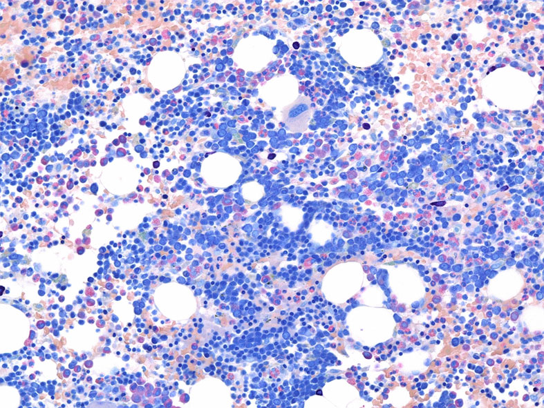
IWT症例 70歳代男性 3年前より胸部不快感, 体重減少。大球性正色素性貧血を指摘される。

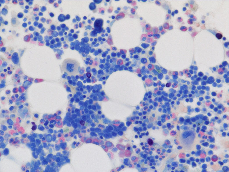
骨髄クロット標本

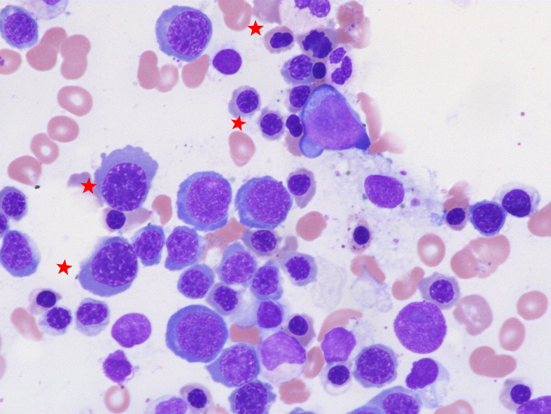
70歳代男性の骨髄。hypercellular marrow. M/E=1-2, erythropoietic hyperplasiaを認める(1, 2). megaloblastosisが出現。(3).
Mgkは成熟大型のものが多い(4). 単核, 小型球状核のMgkも認められる(5)

CD42b染色によるMgkでは大型がほとんどでmicromegakaryocytesは増加していない。

 

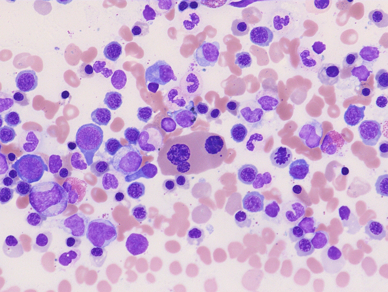
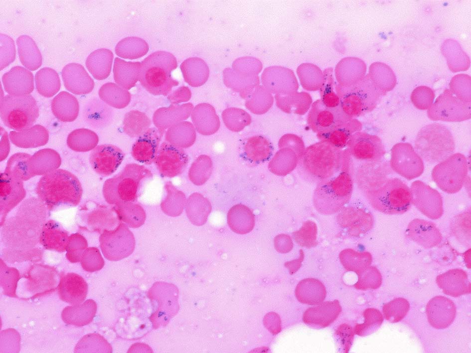
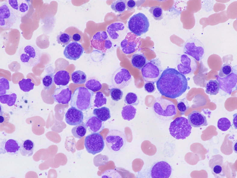
骨髄スメア標本

骨髄スメア標本では赤芽球に形態異常が認められる()

 

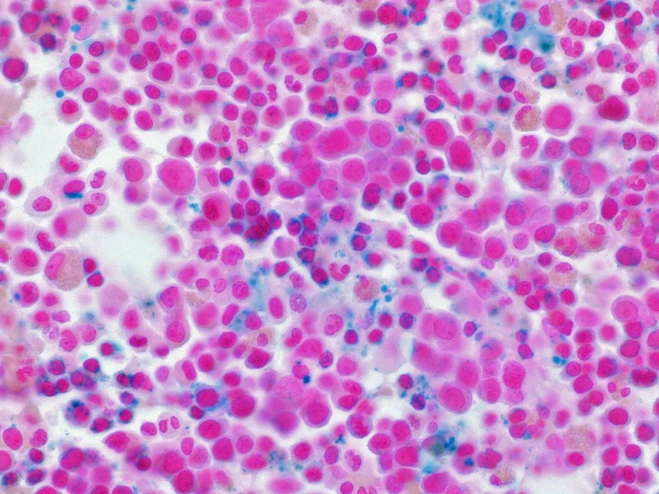
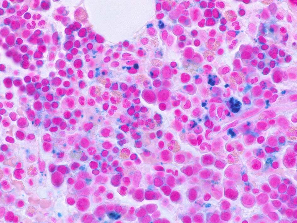
骨髄ブロック, スメアの鉄染色

骨髄塗抹標本と組織(clot section)の鉄染色(クリックで大きな画像がみられます) ring sideroblastは鉄顆粒が核周囲にまとわりつくように見える赤芽球として認められる。Hb合成の乏しい幼若な大型赤芽球では認められる鉄顆粒は少ない。

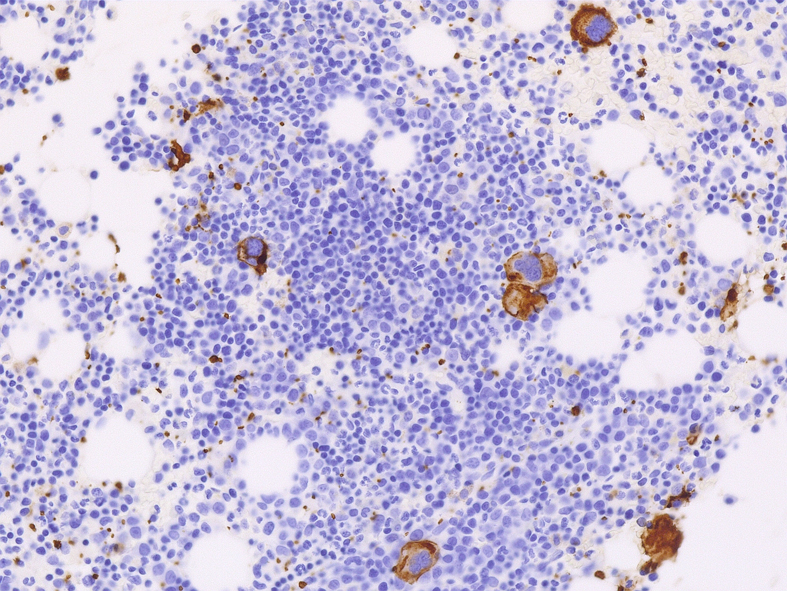
骨髄ブロック免疫染色 RARSとRCMD-RS, high-grade MDSとの鑑別に, CD34, p53, CD42b免疫染色が役に立つことがある

 

MDS-RSの2016WHO分類

MDS-RSWHO2016.jpg

ミトコンドリアでのヘム合成

Hem-OK.jpg
 
 

ヘムは骨髄赤芽球および肝臓で, そのほとんどが産生される. (肝臓で15%, 残りのほとんどは骨髄赤芽球)

骨髄赤芽球で産生されたヘムはヘモグロビン合成に, 肝臓の65%以上のヘムはミクロソームのシトクロムP450の産生に利用される.

細胞のミトコンドリアにおいてグリシンとサクシニルCoAから6つの中間生成物を経てプロトポルフィリンIXが生成され2価の鉄(Fe2+)とともに錯体であるヘムが産生されている.

グロビンは細胞質において合成されヘムと四量体を形成しヘモグロビンが産生されます.ヘムとグロビンは正確に等量が産生されることが必要で遊離ヘム, 遊離グロビンには毒性が知られている. この量の調節制御はヘムによって行われる。

ヘム合成系の詳細--->Erythroid cellsのページをみる。

ヘム生合成に障害が起こると組織への酸素輸送, ミトコンドリアでの酸化的リン酸化, 薬物代謝(シトクロムP450が関与)などの機能に重大な障害がおこる.
臨床的にはポルフィリア(ポルフィリン症)とよばれる一群の疾患を発症し光線過敏や神経症状などが認められる.*4

骨髄での赤芽球ヘム合成障害は環状鉄芽球(ringed sideroblasts)の出現を特徴とする鉄芽球性貧血も生じる*5

遊離鉄の安定化

Fe-bunpu01.jpg

ferritinは分子量44万の細胞内タンパク質で1分子で約4500のFe3+;を貯蔵することができる。

細胞内ferritinの一部は血液中に現れ, 血清ferritinとして測定される。

Tfは分子量約8万のβ分画グロブリン分画に属するタンパクで1分子で2つのFe3+;と結合する。

生理的条件下ではTfは十分量存在するため, ほとんどの鉄イオンはTfに結合し, 安全な状態で血中に存在する.

鉄過剰状態ではTfの結合を逃れた自由鉄が出現する。

一般に総鉄結合能(Tfが無毒化できる総鉄量; TIBC)に対する血清鉄値の割合が70~75%を超えるとトランスフェリン非結合鉄(NTBI)が出現されるとされる。このNTBIが細胞に入り込むことで, 毒性をしめすと考えられている。*6

NTBIは血清中のクエン酸やアルブミンなどと非常に緩く結合している. NTBIにはTf結合鉄のような調節機構が存在せず非選択的に全身臓器に入り込み臓器障害をきたすと考えられる.

従来NTBIの検出は煩雑で困難であったが, 近年高い特異性をもって測定可能な自動測定装置が開発されている.*7

鉄過剰症

肝障害はトランスアミナーゼ上昇に始まり, 進行すると肝線維症, 肝硬変を来たし, 症例によっては肝癌を発症する。

心筋障害は初期には拡張障害として出現し, その後, 収縮能低下が顕在化して心エコー上左室駆出率(left ventricular ejection fraction; LVEF)が低下する。

膵ではβ細胞の破壊に伴って耐糖能低下が進行する。

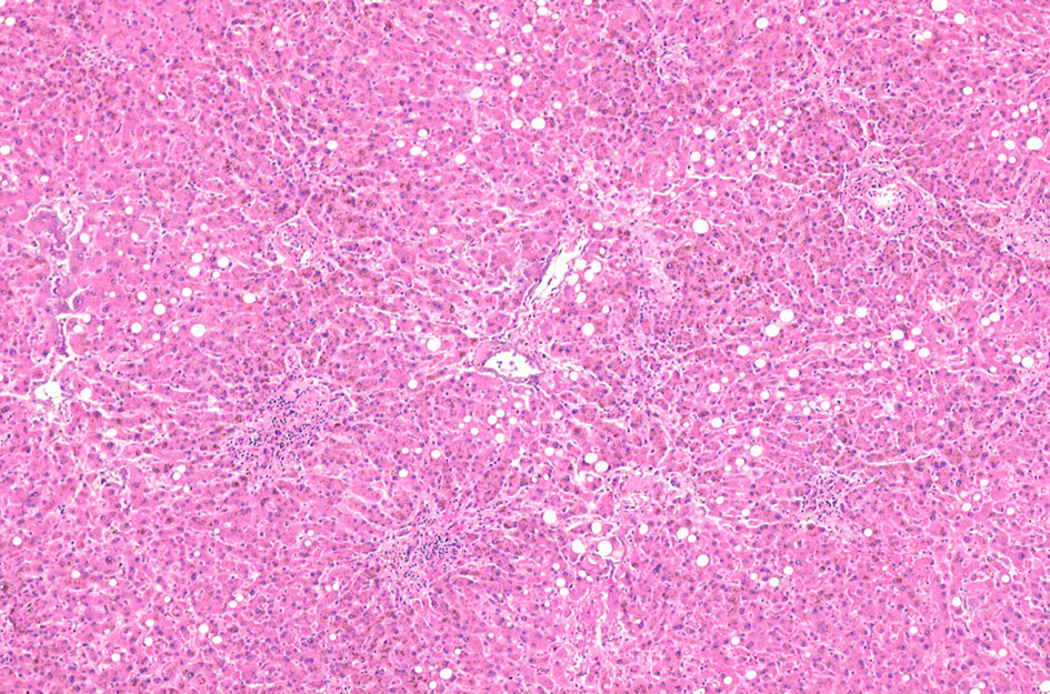
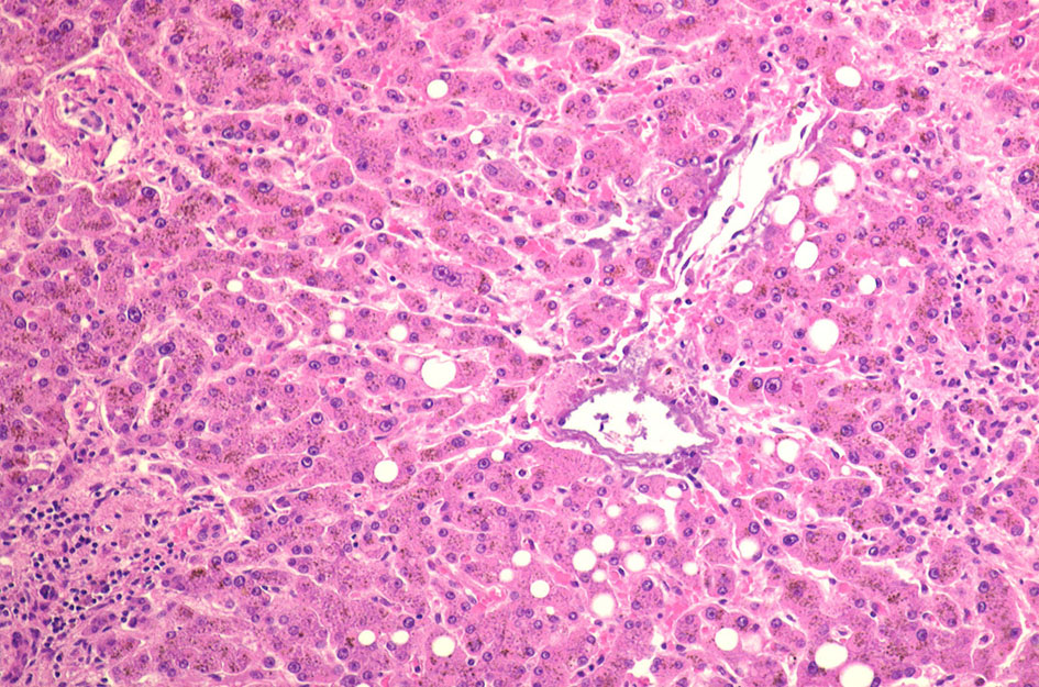
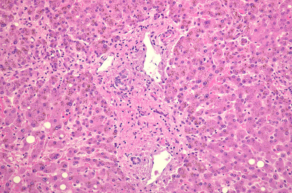
肝ヘモジデローシス 70歳代男性 胃癌術後B-II胃全摘術後

 
 

*1  谷岡書彦 特集 骨髄異形成症候群・骨髄増殖性腫瘍の病理診断 1. 環状鉄芽球を伴う骨髄異形成症候群の病理診断 血液フロンティア 2016; 26(1):25-32
*2  三輪血液病学 第3版 浅野茂隆他監修;2006:pp146,文光堂 東京
*3  朝長万左男,松田 晃:不応性貧血(骨髄異形成症候群)の形態学的異形成に基づく診断確度区分と形態診断アトラス http://www.jslh.com/MDS.pdf
*4  佐々茂 赤血球の疾患 ポルフィリン代謝異常. 三輪血液病学(文英堂)第3版: 1252-1267; 2006
*5  Harigae, et al. Hereditary sideroblastic anemia: pathophysiology and gene mutations. Int J Hematol 2010; 425-431:2010
*6  Hershko C, et al. Non-specific serum iron in thalassaemia: an abnormal serum iron fraction of potential toxicity. Br J Haematol 1978; 40: 255-63
*7  Ito S, et al. Non-transferrin-bound iron assay system utilizing a conventional automated analyzer. Clin Chim Acta 2014; 4: 913-18

トップ   新規 一覧 検索 最終更新   ヘルプ   最終更新のRSS