Tick bite
症例の報告, 骨髄病理所見--IWT case
作成中 サムネイルをクリックすると大きな画像が見られます.
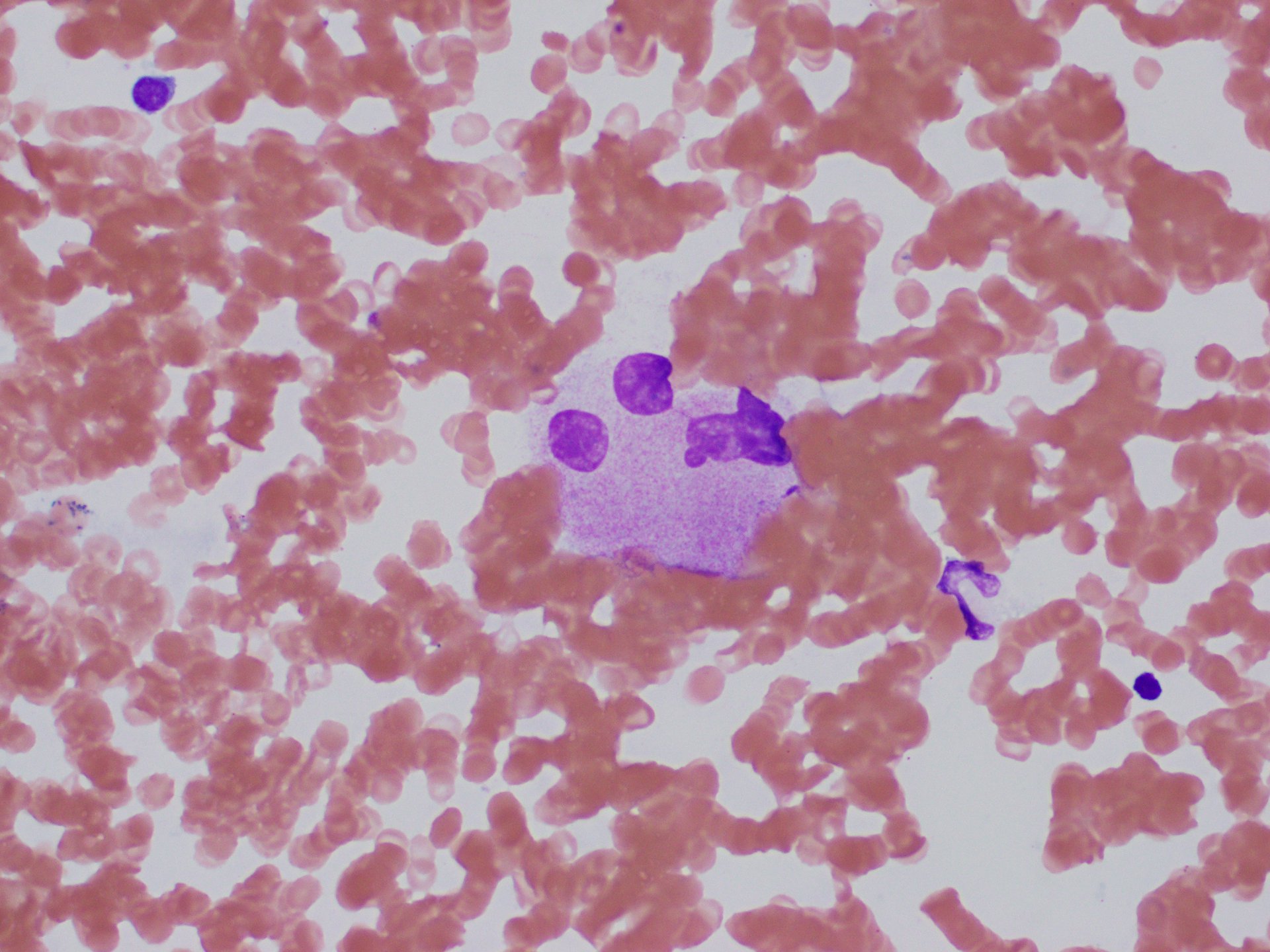
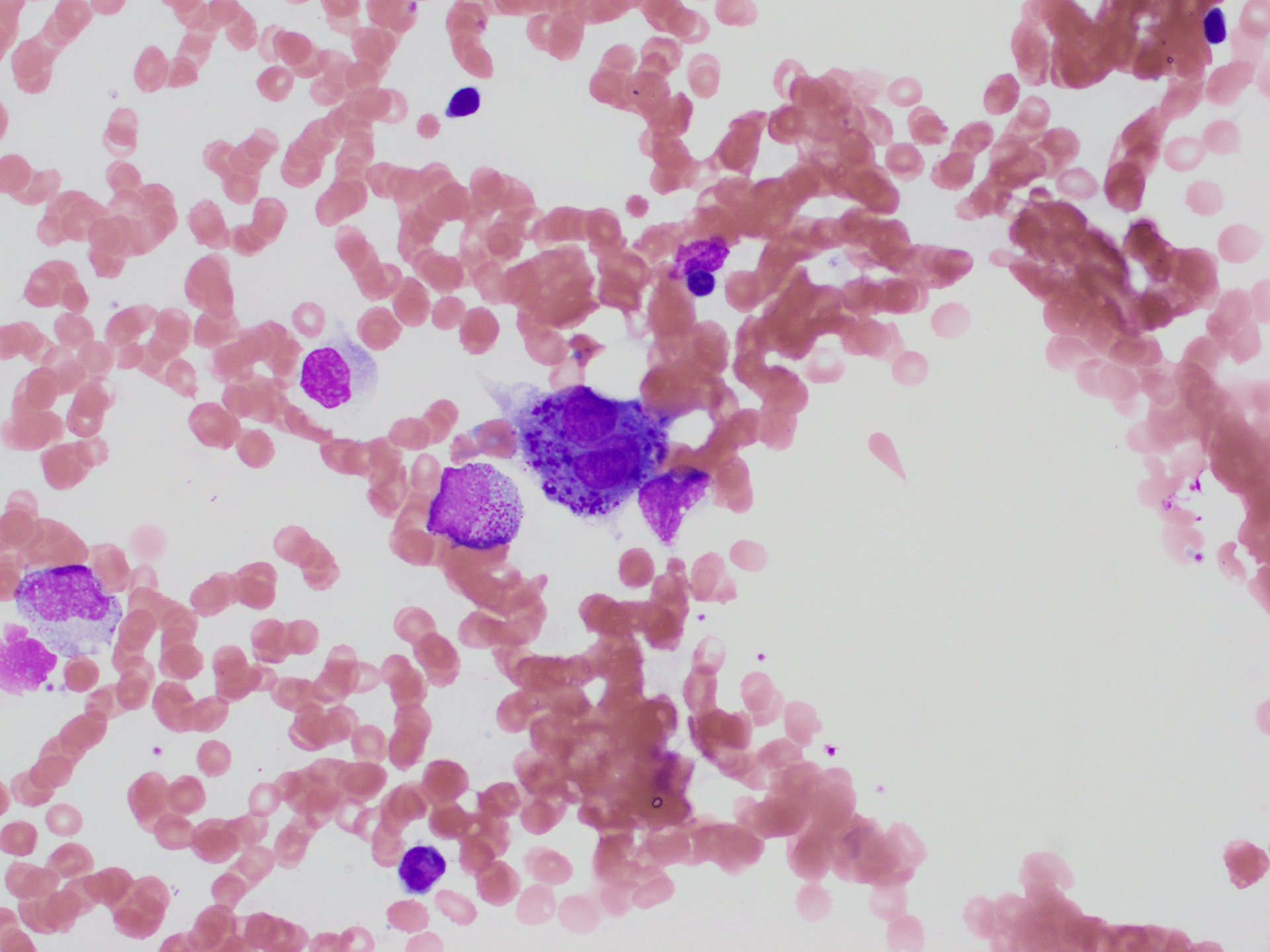
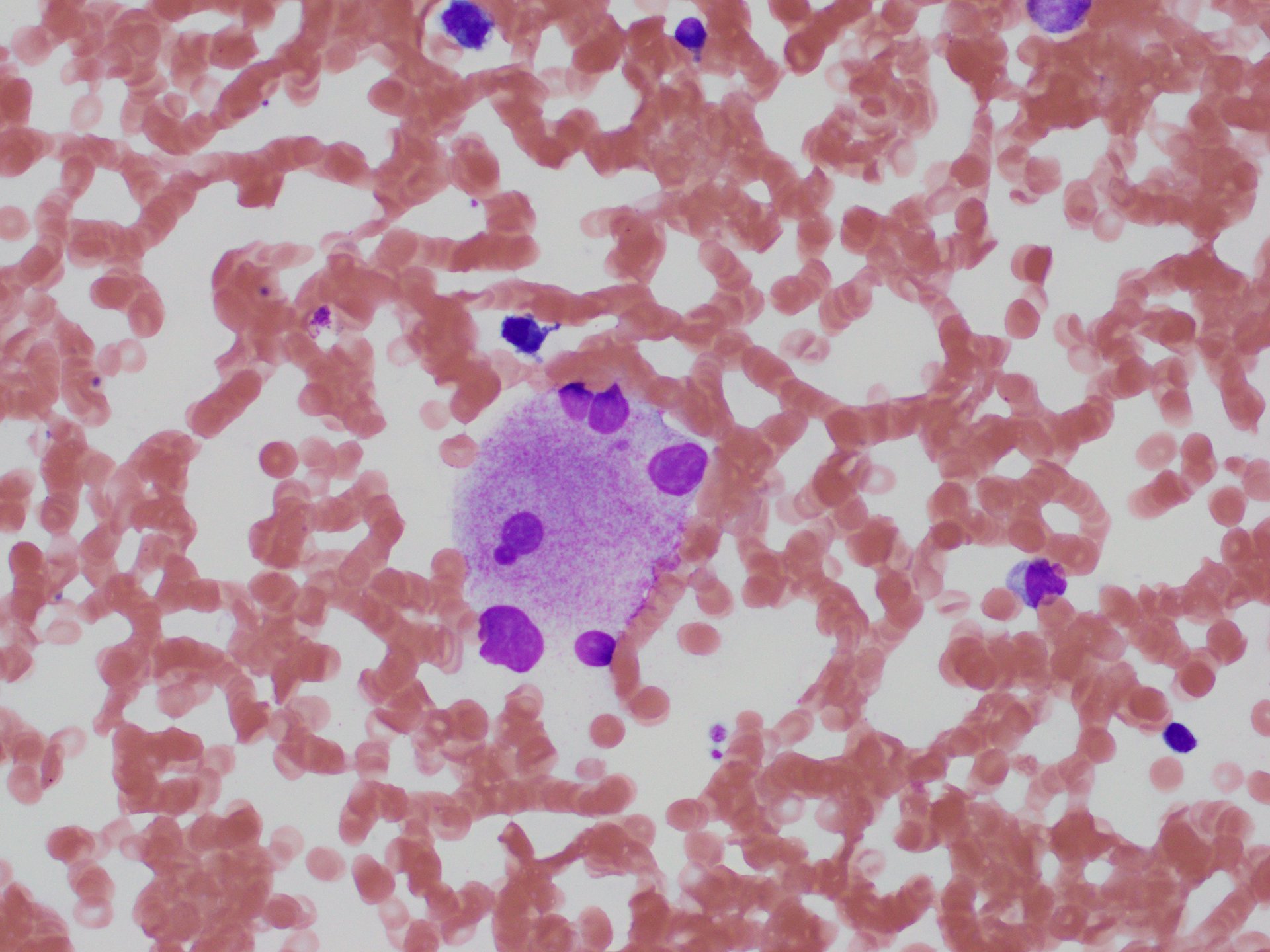
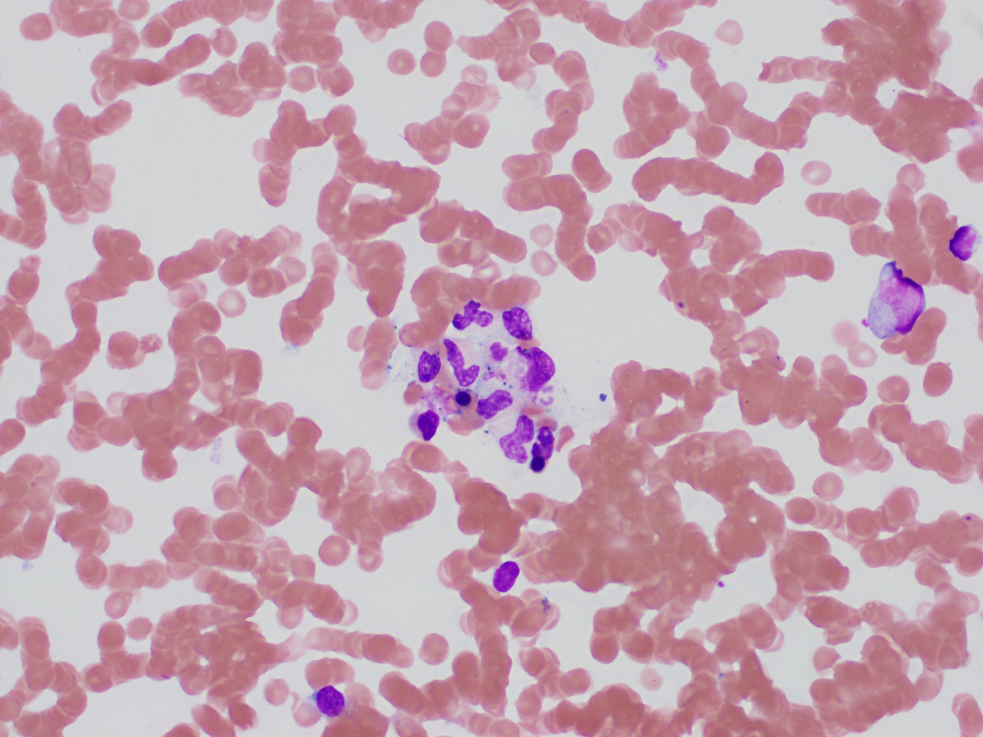
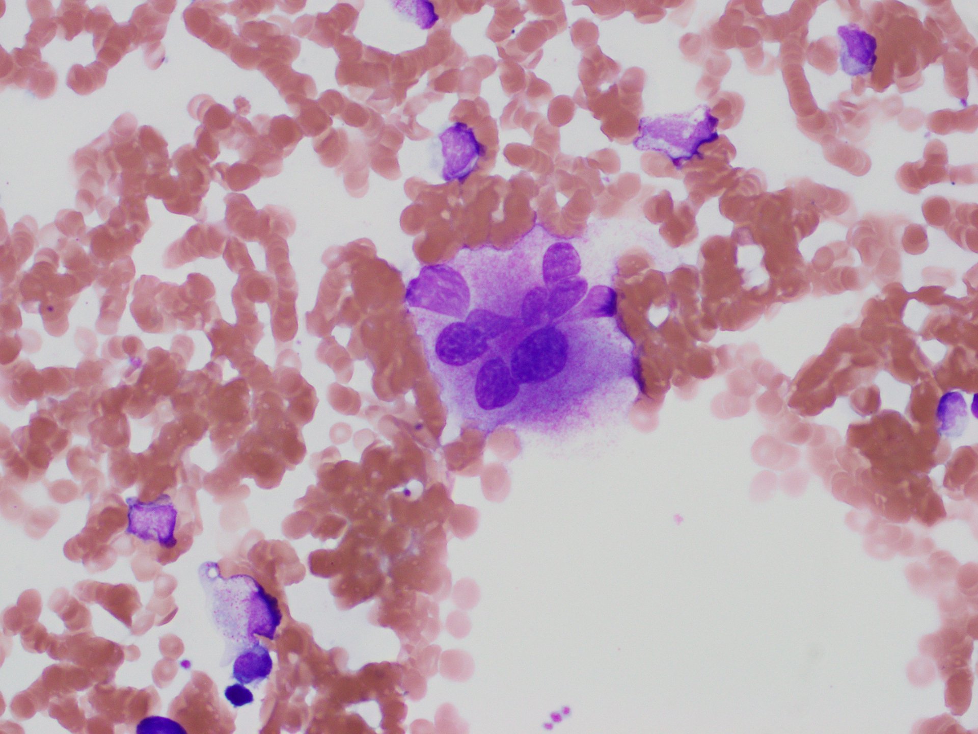
異常な巨核球が出現する. smear May-Giemsa smear May-Giemsa smear May-Giemsa smear May-Giemsa s smear May-Giemsa smear May-Giemsa smear May-Giemsa smear May-Giemsa smear May-Giemsa 画像を追加する
異常な巨核球が出現する.
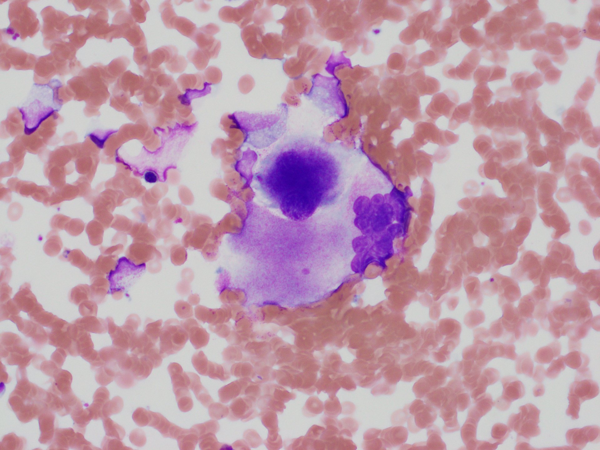
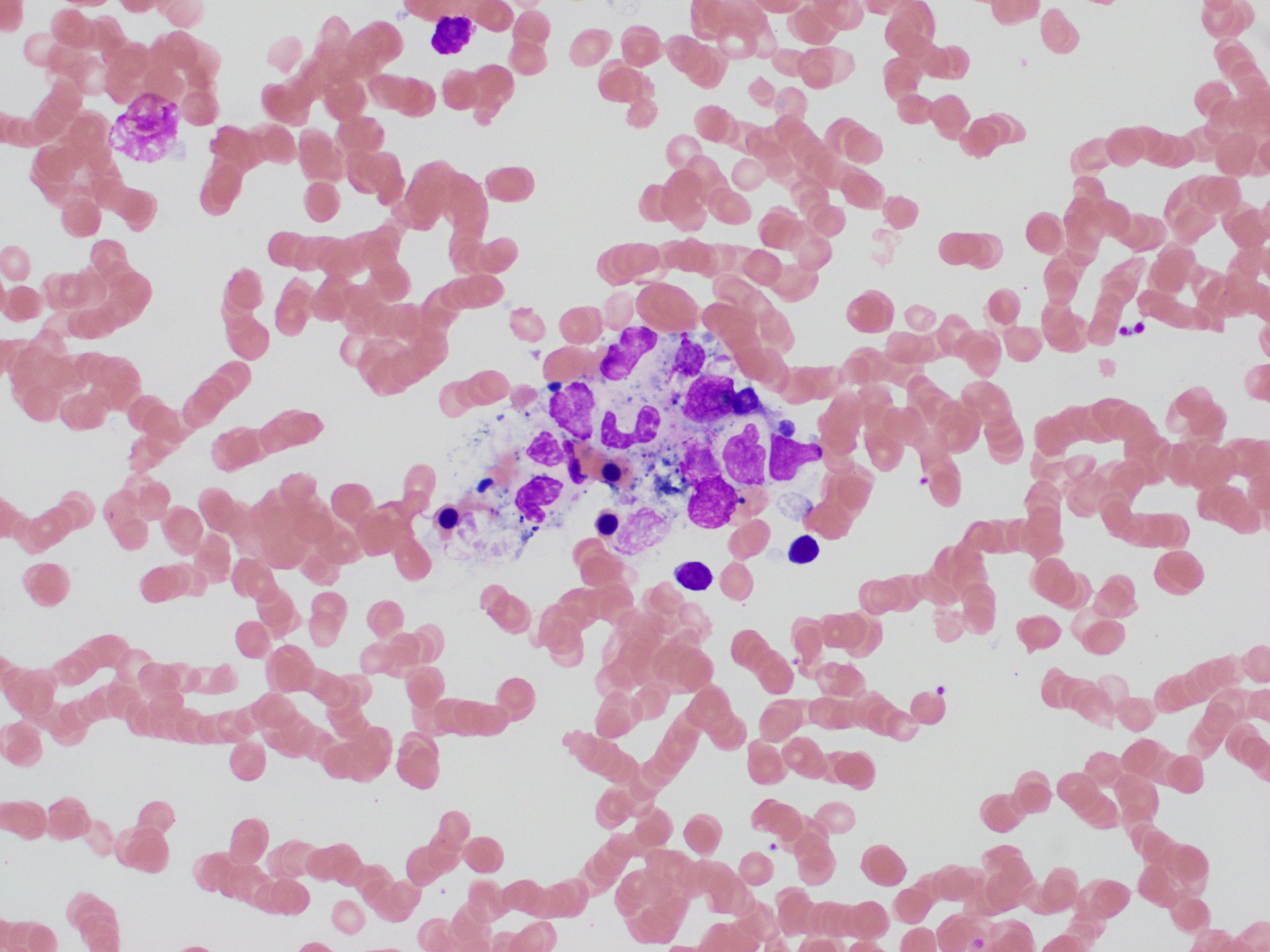
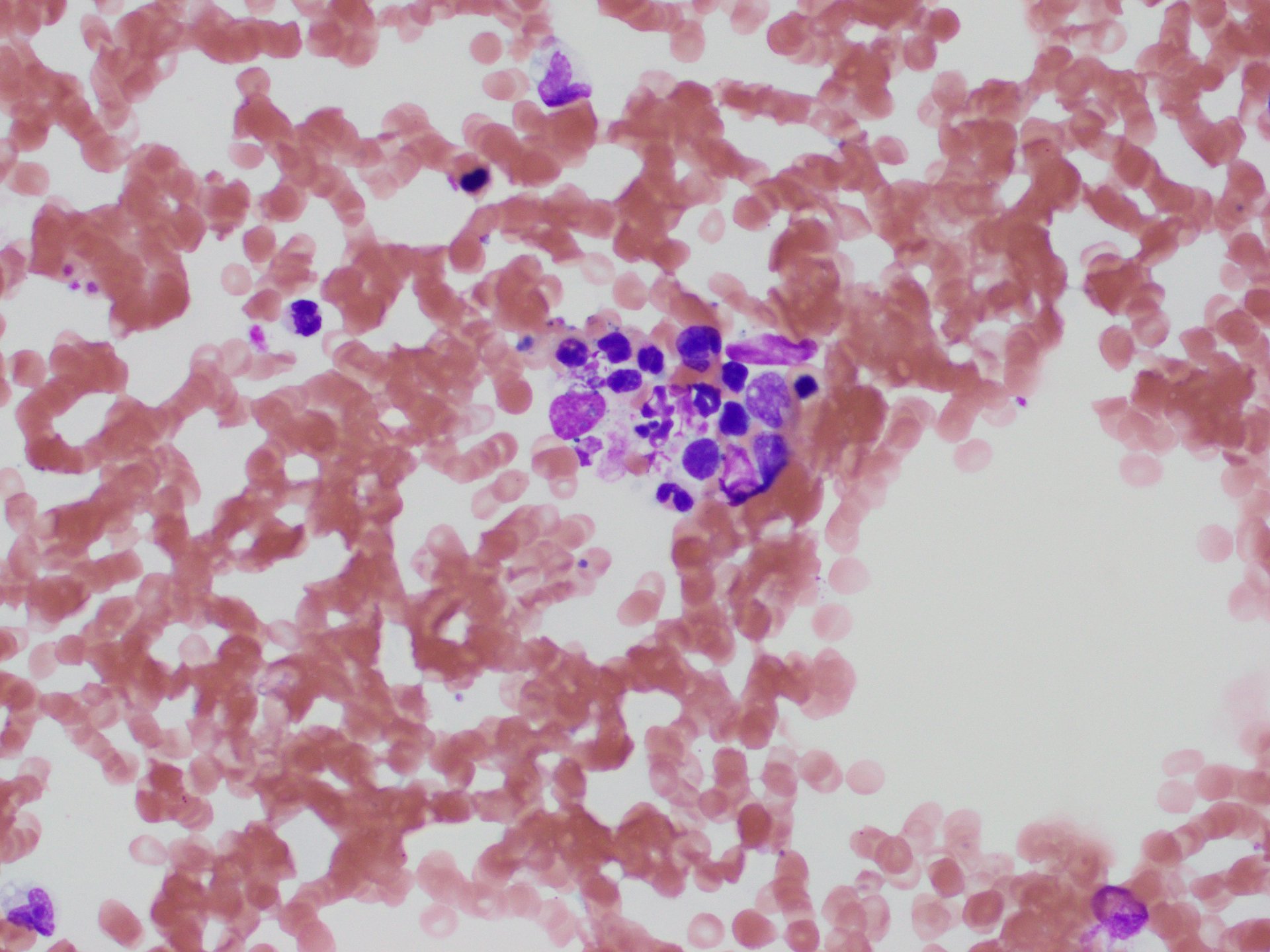
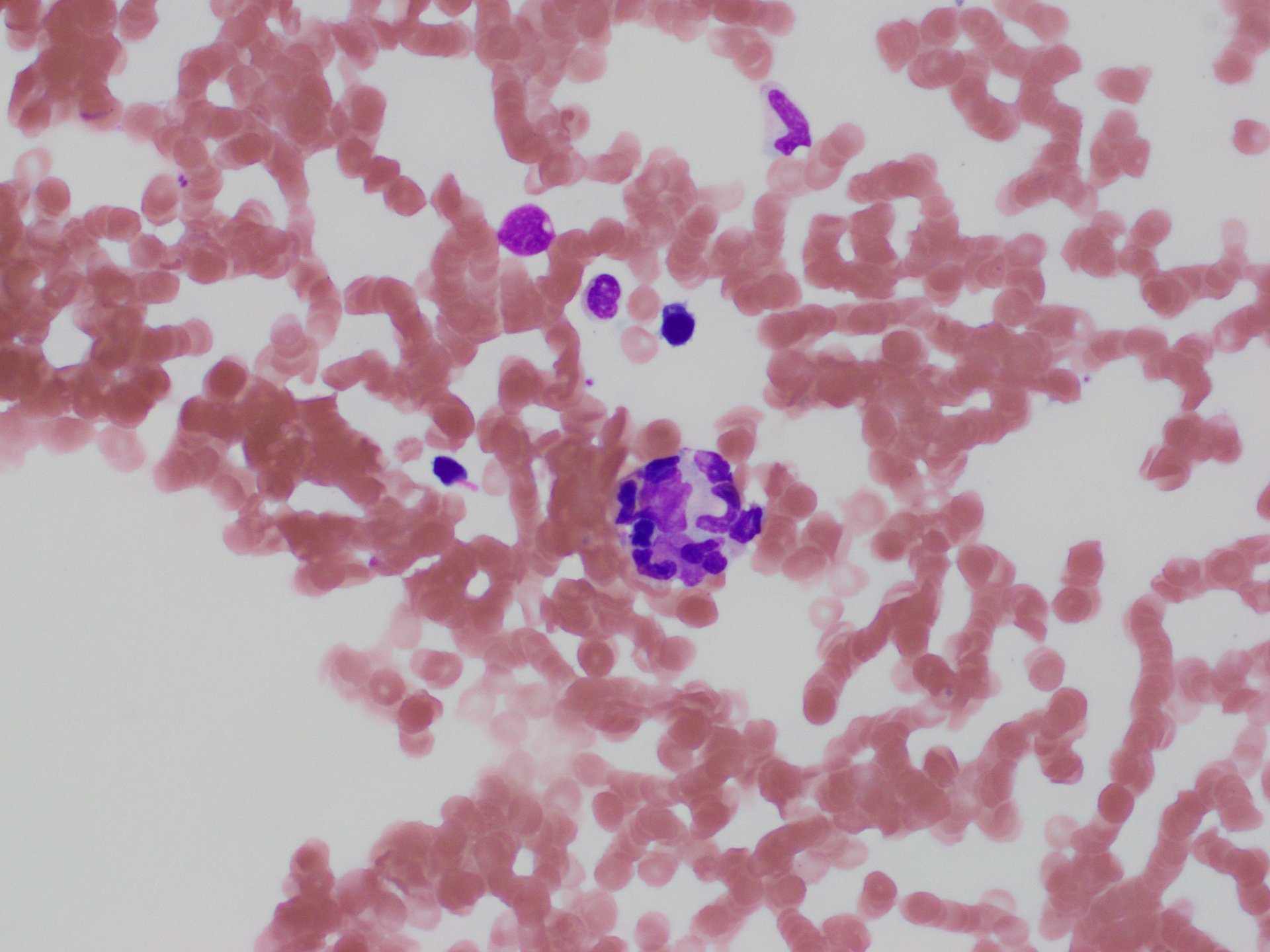
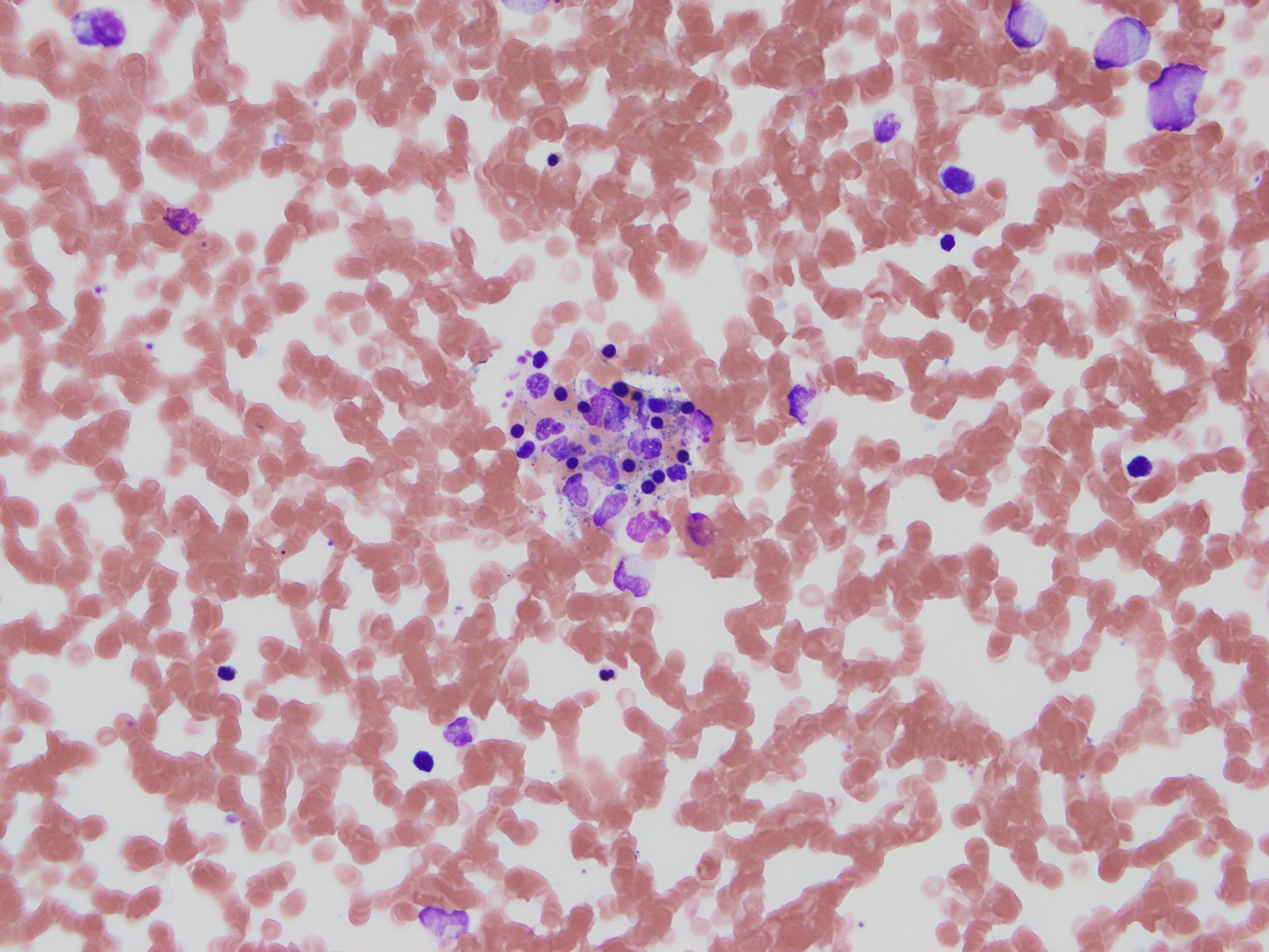
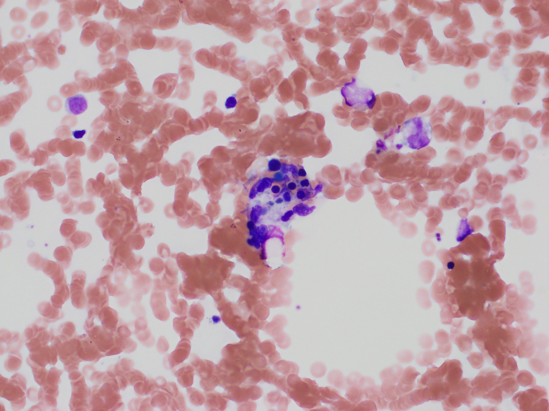
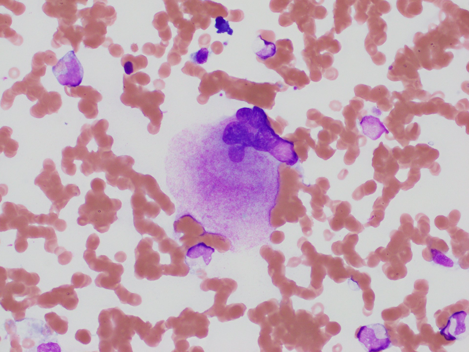
hemophagocytosis 血球貪食像 smear May-Giemsa smear May-Giemsa smear May-Giemsa smear May-Giemsa smear May-Giemsa smear May-Giemsa smear May-Giemsa smear May-Giemsa smear May-Giemsa 画像を追加する
hemophagocytosis 血球貪食像
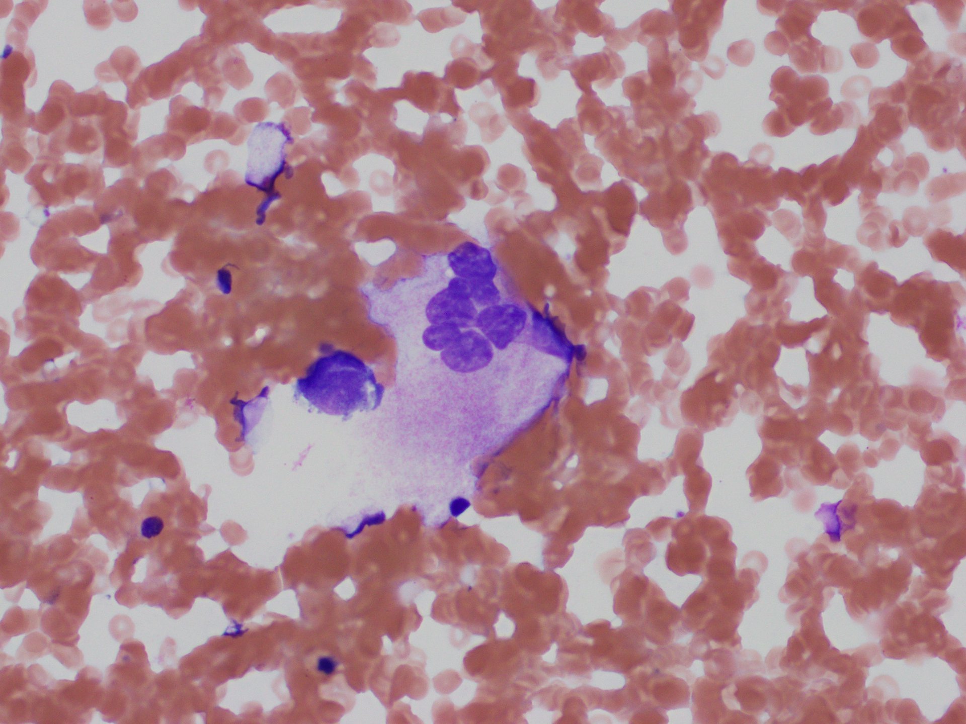
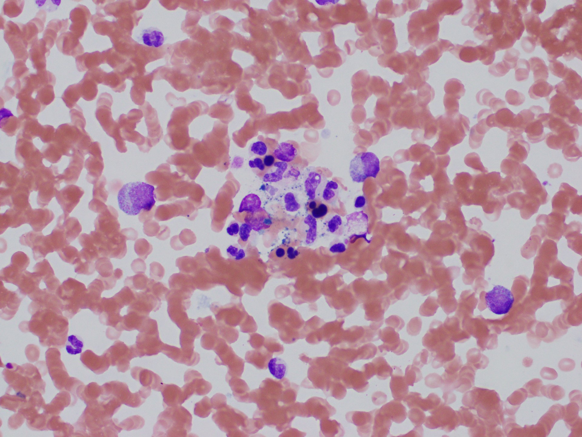
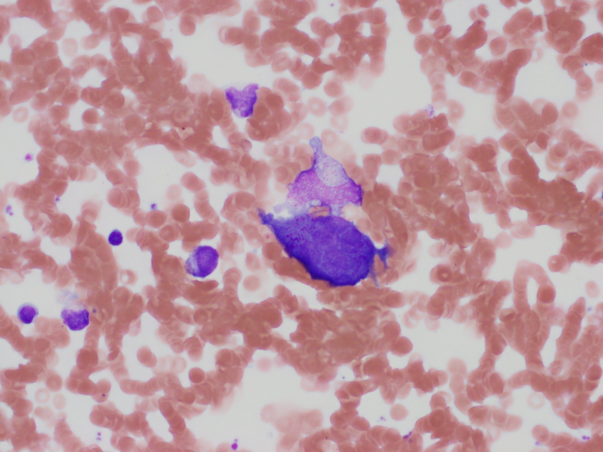
巨大血小板 smear May-Giemsa 画像を追加する
巨大血小板