Spleen

脾臓組織の発生

脾臓はほぼすべてが中胚葉mesodermから発生する. 脾臓の最終的な形成は, 造血細胞と間質細胞間のクロストークおよび, 脾特有の脈管形成確立に依存している*1*2*3*4

脾原基は背側膵芽付近の背側腸(胃)間膜漿膜下に間葉系細胞の増殖巣として開始され, 転写因子BAPX1,HOX11,TCF21およびWT1の活性に依存している
その後,独立した小葉が形成され,最終的には融合して未熟な血管構造を含む多葉性の塊となって, やがて近位置にある門脈と連絡する.
融合に至らなかった迷入小葉は副脾組織の発生源であり,集団の10-30%に存在する*5脾臓の近傍,特に脾門部に位置することが多いが,骨盤を含む遠隔部位も報告されている.

副脾は疾患によって脾臓本体と同様の影響を受けることがある.*5*6

脾生殖腺融合

まれに,臓器が互いに近接しているこの胎生期に脾臓性腺融合が起こることがある。生殖腺は脾臓と融合する場合(連続型)と,副脾組織または異所性脾臓組織と融合する場合(不連続型)がある。

血管発生と脾臓内造血

網状細胞と線維が発達中の細動脈の周囲に徐々に,鞘を形成し,第9週までに内皮に覆われた明確な管腔を持つ血管になる。造血は血管系と密接に関連して起こり,胎児肝臓に加えて胎児脾臓も初期造血の部位であるようである*7*8*9.このことは動物モデルで最もよく研究されており,ヒトについては議論の余地があるが,ヒトの発生中の脾臓では妊娠中期に造血前駆細胞が確認され,その数は骨髄造血が確立する妊娠5ヵ月以降減少する*1*8

脾臓内のリンパ球出現

ヒトでは,最初のリンパ球と単球/マクロファージは,早ければ妊娠12-13週目に出現し,主に動脈周囲リンパ鞘(PALS)に局在する.マクロファージは胎生期には脾索内にも見られるが,これは他の常在組織マクロファージと同様に卵黄嚢前駆体由来と思われる*10。これとは対照的に,特殊化した辺縁帯マクロファージ集団は,循環している単球に由来する可能性がある。

初期の脾リンパ球は相対的にB細胞優位で、最初の抗体産生は妊娠第3期から始まる。濾胞樹状細胞のmeshworkは産褥期まで現れず,胚中心は出生後約2-4週ですぐに出現する. 濾胞樹状細胞によって産生されるケモカインであるCXCL13は,B細胞のchemotaxis(化学走性)に必要である。B細胞はCXCL13の受容体であるCXCR5を発現し,CXCR5が濾胞への遊走を誘導している*11

辺縁帯B細胞による脂質およびケモカイン受容体の発現は,CXCL13の誘引に打ち勝って濾胞からの脱出を可能にすると考えられる*12。特に,sphingosine1-phosphate(スフィンゴシン1リン酸)に対するレセプターが必要であり,このレセプターは胸腺やリンパ節からのT細胞の脱出も制御している。このシャトリングにより,血液循環から毛包への抗原の送達が促進される可能性がある*13

 
 

脾臓の構造

脾臓はリンパ系器官としてリンパ節、リンパ管, 扁桃と同様、二次(末梢)リンパ系器官に属し免疫機能を担う臓器である。
リンパ管やリンパ循環と連絡を持つ他のリンパ装置やリンパ節と違っているのは門脈系血液循環中に介在し,古くなったり異常であったりする赤血球や異物を捕食、処理する血液のフィルタ-の役割も担なう。

脾臓の構造は細網組織を骨格とする枠組みの中に白脾髄, 辺縁帯, 赤脾髄が形成され,その構造と機能が特異な微小循環系と密接に関わっている.

脾臓の位置と形

spleenpos.jpg
spleenbothside.png

脾臓は1人一個で大人では左胸郭下第9-第11肋骨の高さにあり,胃の左後側で左腎と横隔膜の間に存在している。正常の脾臓はおとなでは触診できない。

脾臓の肉眼像(右図): 暗いあずき色の柔らかな臓器で, 大人の脾臓の重さは90から120g. 200gをこえる脾臓は病的といえる。20歳から40歳までがもっとも大きく,年をとるとともに萎縮してゆく。大きくなって触れる脾臓を脾腫と呼ぶ. (→脾腫をきたす疾患

脾臓の肉眼像(横隔膜面(左)臓側面(右)両側から見たところ)。成人の平均サイズは10cm×7cmで厚さは3cmほど。

脾臓の構造, 組織所見

脾臓の割面を肉眼で見ると暗赤色の赤脾髄中に白色点状の白脾髄が散在している
赤脾髄は脾洞と脾索から構成され赤血球を多く含む。白脾髄はリンパ小節でリンパ球の集蔟巣である。

赤色髄の構造はウィーンの外科医ビルロートTheodor Billroth(1826-94)によって明らかにされた. リンパ球の集合からなるリンパ組織である白色髄はM.マルピーギによって発見され,それにちなんでマルピーギ小体ともよばれる。

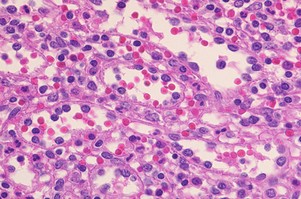
赤脾髄の構造

 
spleen-red pulp-EMok.jpg
spleenZu03.jpg

赤脾髄red pulpは脾索(Billrothの索)と静脈洞から構成される.

脾索; 静脈洞と静脈洞の間の領域で,相互に連結した細胞質突起を持つマクロファージの網目状構造を示す。マクロファージは,活発な貪食細胞の機能的および免疫学的特徴を示す。これらの細胞は,筋線維芽細胞やアドレナリン作動性神経線維を伴う網状線維を含む網状細胞の骨組み(細網組織)に支えられている。 細網組織は脾臓の最末梢血管流床であり, 筆網動脈末端から開放性に血球が流入する.

脾索細網組織には筆網動脈からの赤血球, 白血球, 血小板が充満し, マクロファージも多数混在している.

門脈性血管の始まりである静脈洞は特有な構造を有している. 静脈洞内皮細胞は形態より杆状細胞(リトラル細胞)とよばれ静脈洞の長軸方向に平行に配列している. ところどころ横突起を出し, 隣接する杆状内皮細胞と結合している.

静脈洞はちょうど「桶」のような構造をしており, 桶の板にあたる内皮細胞の外側を輪状線維(リングと呼ばれる)が桶の箍(たが)のように束ねている. (静脈洞透過電顕参照).

洞の外側には基底膜があるが横突起と横突起の間にはslitあるいはstomataとよばれる細長い間隙があって脾索と静脈洞を連絡している. 脾索内の赤血球はや白血球はこの間隙を抜けて静脈洞内に移動する.

洞の内皮は弱い貪食能を持つ。特発性門脈圧亢進症では内皮の貪食能が異常に高くなる。脾洞と脾洞の間にある比較的幅のせまい脾索には細網細胞がネットワークをつくっており、その中にリンパ球、形質細胞、マクロファージが存在している。脾臓構造のイラスト参照(下)

動脈から脾臓に入ってくる血液は筆毛動脈→莢毛細血管→脾索毛細血管を通り、脾索やリンパ小節の細網細胞ネットワークに開放されいったん血管を出る(開放性血管)。その後脾洞の隙間から洞内に入り脾静脈に帰る。 脾臓の血液が閉鎖的循環か開放性の循環かは長い間論争されていたが, 現在は構造上、開放性であることがわかっている。

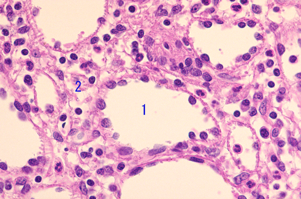
赤脾髄HE像-- 脾洞、脾索の拡大像

splenicsinus04.png
spleenRp03b.png

左図:赤脾髄の拡大像 1. 脾洞 2.脾索 が見られる。灌流固定で赤血球を除いている。
右図:赤血球の残った部分。脾洞に入り込む赤血球が見える。

クリックすると大きな画像が見られます。

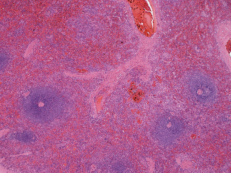
白脾髄の構造

spleenA011.jpg
 

白脾髄, 辺縁帯/周辺帯は脾臓のリンパ装置として機能する. 開放性末梢血管流床を介して伝達される免疫情報はこれらのリンパ装置で処理され効率よく免疫反応がおこる.

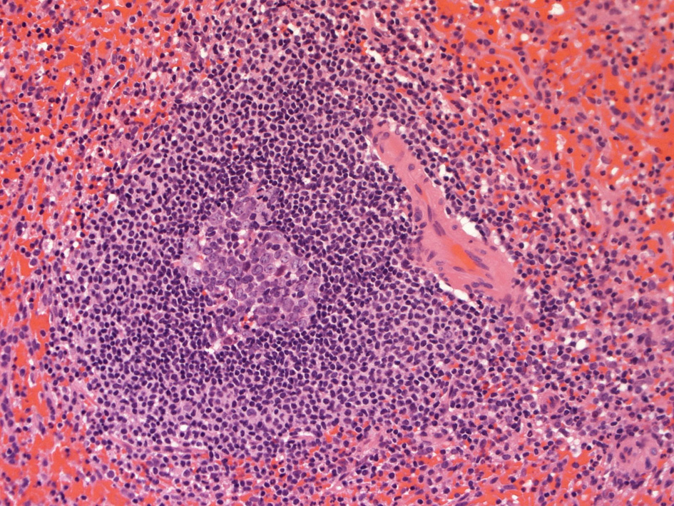
白脾髄 white pulpは中心動脈周囲に形成されているリンパ組織で, 動脈周囲リンパ鞘 periarteriolar lymphoid sheath(PALS)とリンパ濾胞(lymph follicles)の異なる2つの領域が識別される.

脾動脈脾柱という結合組織を通って実質内に入るところから毛細血管に至るところまで、その周囲にリンパ鞘(リンパ鞘=PALS/ peri-arterial lymphatic sheathの略)が形成され、所々にリンパ濾胞が発達している. 濾胞内には胚中心が見られることが多い。胚中心の周りには暗調にそまる小型のリンパ球がマントル層を作って取り囲む。リンパ鞘もリンパ節の構造と同じく粗で不規則な細網線維からできたネットワークが骨格となっている。
リンパ鞘はT細胞領域リンパ濾胞はB細胞由来です。PALSのT-cellsはCD4+ cell > CD8+ T-cells

PALS, 動脈周囲リンパ鞘 periarteriolar lymphoid sheath

リンパ濾胞

辺縁帯/周辺帯 Marginal zone

胚中心が多数出現しているときはなんらかの抗原刺激を受けたと考えられる.

慢性感染症がある人の脾臓や特発性血小板減少性紫斑病の人の脾臓では胚中心が特に発達している. 一方で自己免疫性溶血性貧血では胚中心は少なく、先天性球状赤血球症ではほとんど見られない.


*1  Chadburn A. The spleen: anatomy and anatomical function. Semin Hematol. 2000;37:13-21.
*2  Mebius RE, Kraal G. Structure and function of the spleen. Nat Rev Immunol. 2005;5:606-616.
*3  Reijmers RM, Vondenhoff MF, Roozendaal R, et al. Impaired lymphoid organ development in mice lacking the heparan sulfate modifying enzyme glucuronyl C5-epimerase. J Immunol. 2010;184:3656-3664.
*4  Brendolan A, Rosado MM, Carsetti R, Selleri L, Dear TN. Development and function of the mammalian spleen. Bioessays. 2007;29:166-177.
*5  Rudowski WJ. Accessory spleens: clinical significance with particular reference tothe recurrence of idiopathic thrombocytopenic purpura. World J Surg. 1985;9:422-430.
*6  O’Malley DP, George TI, Orazi A, Abbondanzo SL. Benign and Reactive Conditions ofLymph Node and Spleen. 2009. ARP Press.
*7  Crane GM, Jeffery E, Morrison SJ. Adult haematopoietic stem cell niches. Nat Rev Immunol. 2017;17:573-590.
*8  Crosby WH. Hematopoiesis in the human spleen. Arch Intern Med. 1983;143:1321-1322.
*9  Tavassoli M. Embryonic and fetal hemopoiesis: an overview. Blood Cells. 1991;17:269-281. discussion 282-266.
*10  Gomez Perdiguero E, Klapproth K, Schulz C, et al. Tissue-resident macrophages originate from yolk-sac-derived erythro-myeloid progenitors. Nature. 2015;518:547-551.
*11  Bronte V, Pittet MJ. The spleen in local and systemic regulation of immunity.Immunity. 2013;39:806-818.
*12  Cinamon G, Matloubian M, Lesneski MJ, et al. Sphingosine 1-phosphate receptor 1 promotes B cell localization in the splenic marginal zone. Nat Immunol. 2004;5:713-720.
*13  Arnon TI, et al. Visualization of splenic marginal zone B-cell shuttling and follicular B-cell egress. Nature. 2013;493:684-688.

トップ   新規 一覧 検索 最終更新   ヘルプ   最終更新のRSS