AML with defining genetic abnormalities

Acute myeloid leukaemia with MECOM rearrangement

chromosome3-MECOM loci.jpg

MECOM – MDS1 and EVI1 complex locus = MECOM NCBIのページ Also known as: AML1-EVI-1, EVI1, KMT8E, MDS1, MDS1-EVI1, PRDM3, RUSAT2

昔からのヒトにはAML1-EVI-1がおなじみですねえ. なんか警備会社みたいな名前になっちゃったなあ.

3q26の異常

Case presentation

80歳代男性. 徐脈で治療中, 末梢血で血球異形成を指摘される. Hb8.8g/dl, RBC 402x104/μl, MCV 76, WBC 2500/μl, Plt. 3.9x104

 
 

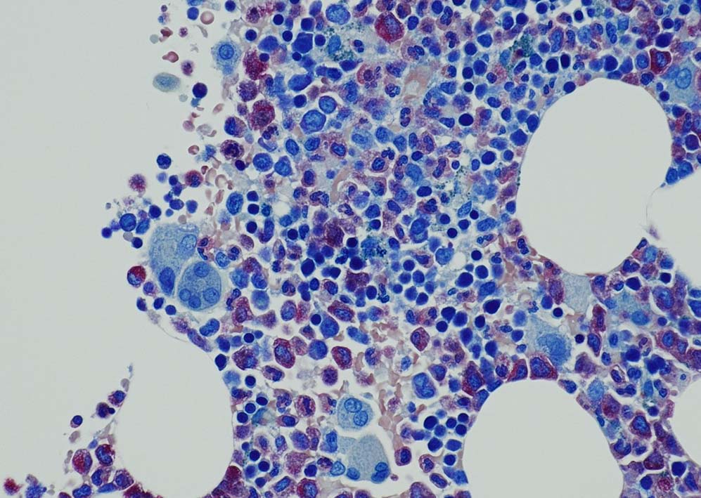
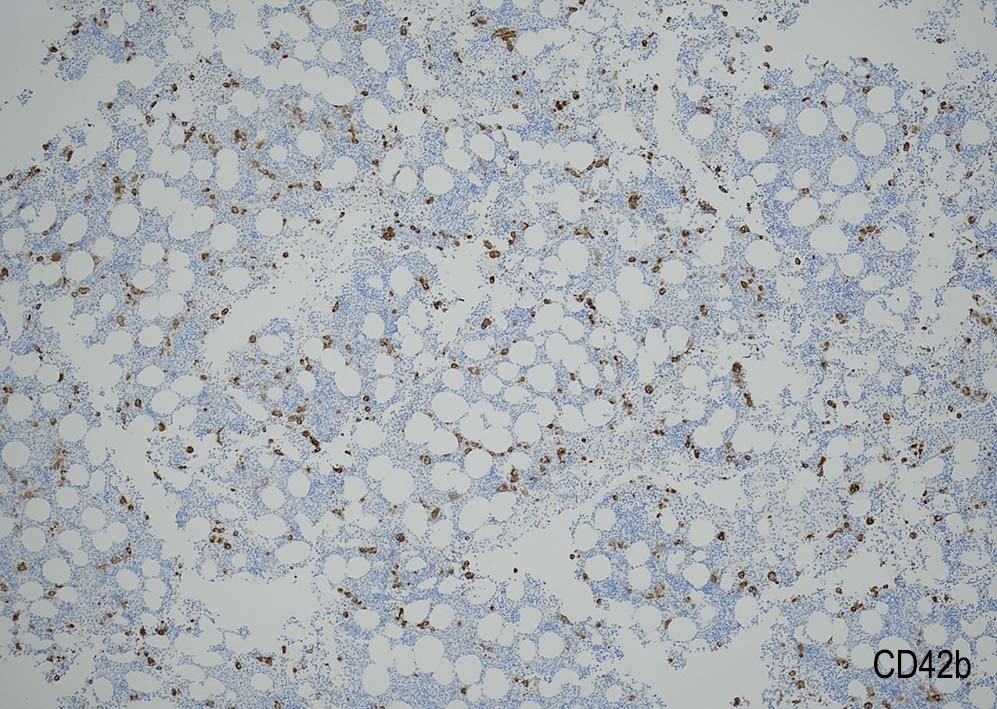
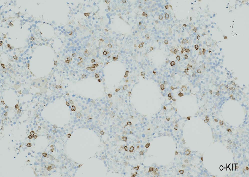
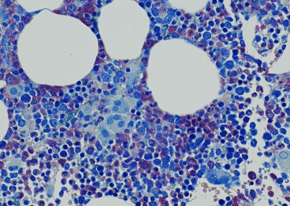
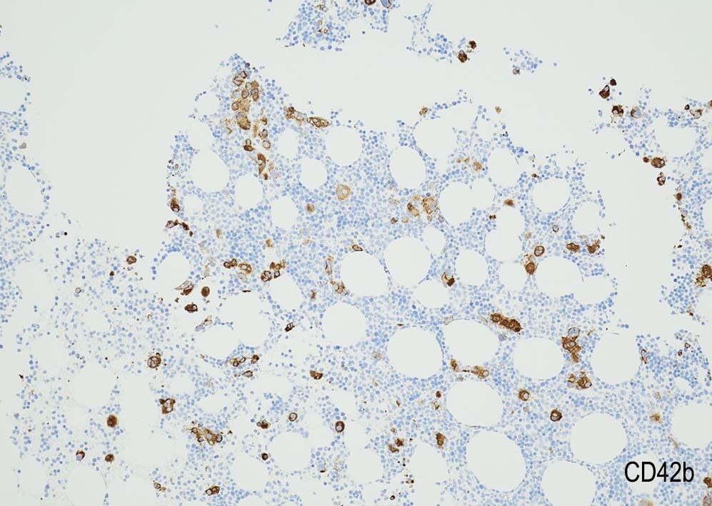
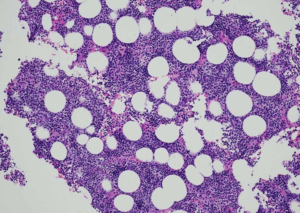
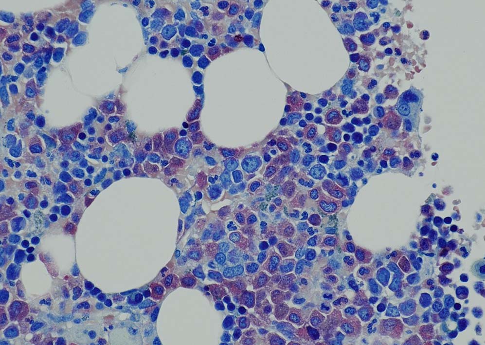
Megakaryopoiesis; Mgkは増加している. 多数の分離円形核巨核球が出現している. microMgkが増加している.

Myelogram: M/E = 1.77,Blast-M 5.2%, promyelo 7.0%, Myelo 11.4%, Meta 10.0%, Stab 5.4%, Seg 18.8%, Eo mature 0.6%, Ba mature 0.6% Mo 3.0%, Lympho 4.4%, Plasma 0.2 骨髄WT1 R 1.1x104


*1  K Kataoka, T Sato, A Yoshimi, et al.Evi1 is essential for hematopoietic stem cell self-renewal, and its expression marks hematopoietic cells with long-term multilineage repopulating activity. J Exp Med, 208 (12) (2011), pp. 2403-2416
*2  Y Zhang, S Stehling-sun, K Lezon-geyda, et al. PR-domain - containing Mds1-Evi1 is critical for long-term hematopoietic stem cell function Blood, 118 (14) (2011), pp. 3853-3861
*3  DA Arber, A Orazi, R Hasserjian, et al. The 2016 revision to the World Health Organization classification of myeloid neoplasms and acute leukemia Blood, 127 (20) (2016), pp. 2391-2405
*4   H Yamazaki, M Suzuki, A Otsuki, et al. A remote GATA2 hematopoietic enhancer drives leukemogenesis in inv(3)(q21;q26) by activating EVI1 expression. Cancer Cell, 25 (4) (2014), pp. 415-427
*5   S Groschel, MA Sanders, R Hoogenboezem, et al. A single oncogenic enhancer rearrangement causes concomitant EVI1 and GATA2 deregulation in Leukemia. Cell, 157 (2) (2014), pp. 369-381
*6  S Ottema, R Mulet-Lazaro, C Erpelinck-Verschueren, et al. The leukemic oncogene EVI1 hijacks a MYC super-enhancer by CTCF-facilitated loops. Nat Commun, 12 (5679) (2021), pp. 1-13
*7  M Russell, A List, P Greenberg, et al. Expression of EVI1 in myelodysplastic syndromes and other hematologic malignancies without 3q26 translocations. Blood, 84 (4) (1994), pp. 1243-1248
*8  S Groschel, RF Schlenk, J Engelmann, et al. Deregulated expression of EVI1 defines a poor prognostic subset of MLL-rearranged acute myeloid leukemias: a study of the German-Austrian Acute Myeloid Leukemia Study Group and the Dutch-Belgian-Swiss HOVON/SAKK Cooperative Group. J Clin Oncol, 31 (1) (2013), pp. 95-103
*9  V Stavropoulou, S Kaspar, L Brault, et al. MLL-AF9 expression in hematopoietic stem cells drives a highly invasive AML expressing EMT-related genes linked to poor outcome. Cancer Cell, 30 (1) (2016), pp. 43-58
*10  K Izutsu, M Kurokawa, Y Imai, et al.The corepressor CtBP interacts with Evi-1 to repress transforming growth factor β signaling Blood, 97 (9) (2001), pp. 2815-2822
*11  J Turner, M Crossley Cloning and characterization of mCtBP2, a co-repressor that associates with basic Kruppel-like factor and other mammalian transcriptional regulators EMBO J, 17 (17) (1998), pp. 5129-5140

トップ   新規 一覧 検索 最終更新   ヘルプ   最終更新のRSS