Wikipathologica-KDP

関連ページ--->Epstein-Barr virus

 

chronic active EB virus infection(CAEBV; 慢性活動性EBウイルス感染症)

慢性活動性EBウイルス感染症の本態はEBウイルス感染したT/NK細胞の増殖症である。悪性リンパ腫, 血球貪食症候群, 臓器不全(肝,心), 頭蓋内または消化管出血, 日和見感染などにより数年から十数年の経過でほぼ全例が死に至るきわめて予後不良な疾患。EBウイルス感染T/NK増殖細胞を根絶しない限り治癒は期待できない。*1

1986年Rickinsonら*2が伝染性単核球症(IM)様症状を持続、反復し, 異常なEBウイルス抗体価パターンを示し免疫異常を伴う基礎疾患がなく, かつ他の感染症では症状の説明が困難な疾患をchronic symptomatic EB virus infectionと名付けた。現在では世界的に慢性活動性EBウイルス感染症CAEBVと呼ばれている

さらにhypersensitivity to mosquito bites(蚊アレルギー), hydroa vacciniforme-like eruption(種痘様水疱症)の2疾患と一緒にEBV-positive T or NK-cell lymphoproliferative disordersの疾患名が提唱されている。(textクリックでページへ移動します)

CAEBVの診断と治療

CAEBV診断指針*3

1. 持続的あるいは再発する伝染性単核球症様症状
一般に発熱, リンパ節腫脹, 肝脾腫などを指す。IMに従来主に報告される血液, 消化器, 神経, 呼吸器, 眼, 皮膚あるいは心血管合併症状・病変(動脈瘤, 弁疾患)などを示す場合も含む。

2. VCA, EA抗体価高値を伴う異常なEBウイルス抗体反応または病変組織(末梢血液含む)のEBウイルスゲノム量増加が認められる。

3. 慢性に経過し既知の疾患とは異なる;経過中しばしばEBウイルス関連血球貪食リンパ組織球症, 主にT/NK細胞リンパ増殖疾患/リンパ腫などの発症をみる。一部は蚊アレルギーなどの皮膚症状を伴う。

診断に用いられるEB virus関連抗体価

CAEBVの疫学, ウイルス学, 臨床的特徴

成人発症のCAEBV--adult-onset CAEBV, chronic active EBV infection up to date 2019)

文献*4

慢性活動性EBウイルス感染症, chronic active EBV infection(CAEBV)はEB virusの再活性化(ウイルスを産生する溶解感染への移行)によりEBV慢性持続性感染をきたし, 再発性の発熱, リンパ節腫脹, 肝脾腫, 皮疹などの伝染性単核球症様症状を呈する疾患.

CAEBVはEBV感染T細胞あるいはNK細胞がclonal expansionをおこし, 血球貪食症候群や間質性肺炎, 肝機能障害, 心筋炎, あるいは, 悪性リンパ腫など腫瘍性の致命的合併症をきたす予後不良の疾患である.

この疾患entitiyはほとんどが小児発症であるため, WHO2016では, EBV-positive T-cell and NK-cell lymphoproliferative disease of childhoodのうちのchronic active EBV infection of T- and NK-cell type, systemic formとして分類されている.

同様の病態は成人にも発症することが散見されており, 成人の致命的不明熱の原因にあげられている.&note; しかし成人発症CAEBVの特徴はあまり認知されておらず早期診断と予後の改善をさまたげる要因になっていると推察される.

 
 

EBVは成人初期までにほとんどのヒトに感染する.小児期での感染はほとんど無症状だが, 一部のヒトに伝染性単核球症(infectious mononucleosis, so-called kissing disease)を発症する.その多くがEBV特異免疫の出現後に自然寛解する.*5

EBVは一部の人において, B細胞, T細胞, NK細胞に感染後, 反応性から腫瘍性に形質転換したり, 異常増殖の機序に関係したりすることが報告されている.*6*5

成人発症のCAEBVの特徴

症例01 肝障害で発症した若年成人

20 year-old female.

倦怠感と2週間持続する37℃-38℃の発熱があり受診。理学所見著変なし. 血液検査で肝胆道系酵素上昇(AST[GOT]69, ALT[GPT]92, LDH314, Al-p369, γGTP37, T-Bil0.8)を認め受診.
4ヶ月前にEBV初感染、伝染性単核球症と肝障害により他院で治療をうけ治癒した既往がある. A, B, C型肝炎ウイルス陰性. 外来通院で治療を行うも微熱が持続, 肝障害悪化がみられたため入院となる。腹部エコーでは肝、脾腫が認められる。

 

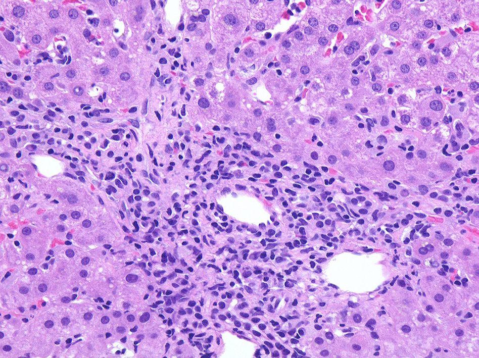
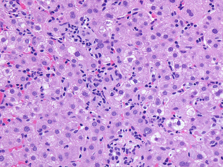
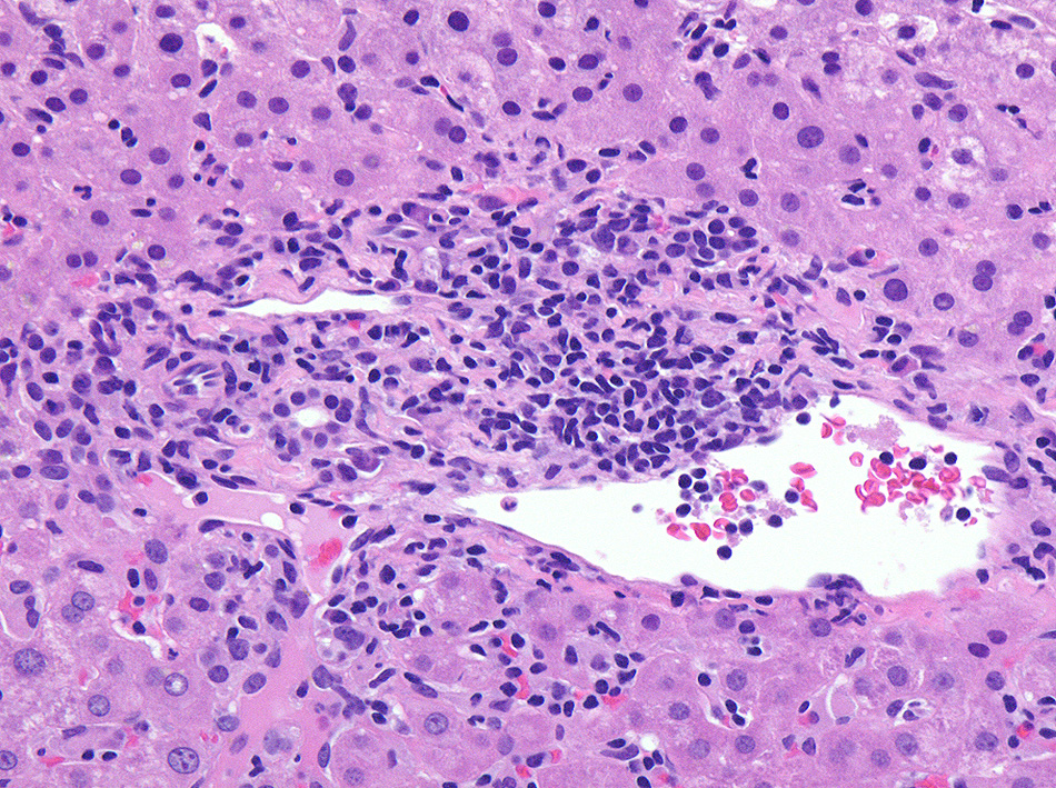
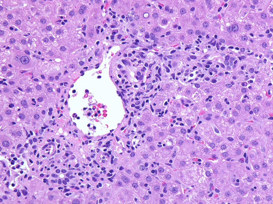
肝臓針生検組織 Virtual Slide--->肝針生検 右クリックで新しいウィンドウ/タブで開くとべんりです。

グリソン鞘, 小葉にリンパ球の浸潤がめだつ。

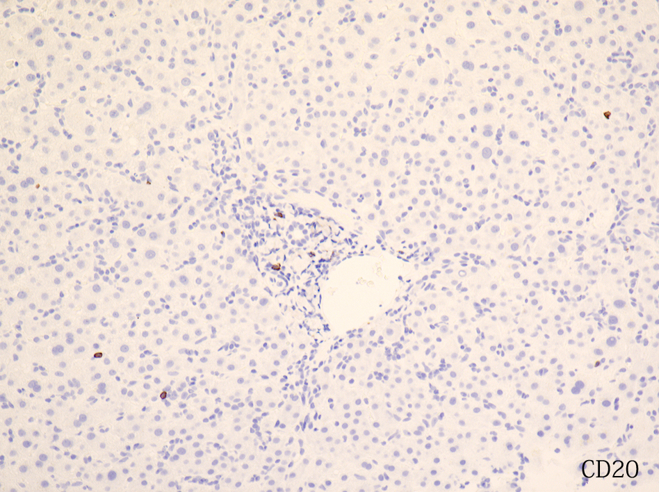
免疫染色

浸潤リンパ球はCD3+, EBER-ISH+. CD20+細胞はごく少数. CD56, granzymeB陽性リンパ球はほとんど認められない。

 
 

末梢血flowcytometryデータとEBV感染細胞の確認

末梢血のflow cytometry。正常末梢血ではNK細胞はリンパ球の10~15%ほど。CD2-CD3=10%ほどでCD16陽性細胞数に一致する。CD56は16%ほど。明らかなNK細胞増加はないと推定される. またγδT cellは5.3%(正常<5%).
末梢血内にEBER陽性細胞がin situ hybridizationにより確認できる。右はCD8陽性細胞。

 

EBV抗体価の推移、末梢血EBV-DNA量

ABtitiers.jpg

Pathological diagnosis; chronic active hepatitis related with CAEBV

IM様症状, EBV陽性Tリンパ球浸潤による肝炎, 持続するEBV抗体価異常, 末梢血EBV-DNA量増加などより慢性活動性EBV感染症と診断する。肝機能異常値はアラセナA投与と肝庇護療法により再燃時から5カ月後に正常化した。全身状態は良好。末梢血では感染リンパ球のクローナル増殖は確認できなかった。患者さんの都合により他院での治療, 経過follow upとなる。

 

反応性要素に富み, EBV陽性大型もしくはH/RS-like cellsが散在性に増殖するLPDsにはどんなものがあるか?

B細胞性LPD/lymphoma  

1.加齢性EBV関連B細胞リンパ増殖異常症(AR-EBVLPD) 多態性亜形(polymorphous subtype)

2.EBV陽性皮膚粘膜潰瘍(EBV+mucocutaneous ulcer)

3.若年者EBV関連大細胞型B細胞リンパ腫

4.慢性炎症関連びまん性大細胞型B細胞リンパ腫

5.リンパ腫様肉芽腫 lymphomatoid granulomatosis

6.古典型Hodgkinリンパ腫 混合細胞型(Mixed cellular)

Hodgkinoid B-LPDを伴うT細胞リンパ腫(竹内賢吾先生の講演から)

1. TFH lymphoma (EBV-) with B-LPD (EBV+/-)

2. Cytotoxic PTCL(EBV+) with B-LPD (EBV+)

3. ATLL(EBV-) with EBV+B-LPD(EBV+) (Hodgkin-like ATLL)

国立成育医療研究高度感染症診断部Web page


*1  河敬世 いわゆる慢性活動性EBウイルス感染症の診断と治療 日本醫亊新報No4279 p61-66, 2006
*2  Rickinson AB Chronic, symptomatic Epstein-Barr virus infection.Immunol Today 7;13-14,1986
*3  岡野素彦 血液フロンティア 15; 31, 2005
*4  河本啓介ほか 成人発症の慢性活動性EBウイルス感染症の臨床的特徴 臨床血液 2019;60(8): 944-952
*5  Williams H, et al.Epstein-Barr virus: the impact of scientific advances on clinical practice. Blood. 2006 Feb 1;107(3):862-9.PMID:16234359
*6  Cohen JI.Epstein-Barr virus infection. N Engl J Med. 2000 Aug 17;343(7):481-92.PMID: 10944566

トップ   新規 一覧 検索 最終更新   ヘルプ   最終更新のRSS