ALL

作成中

T-lymphoblastic leukaemia/ lymphoma

Tリンパ芽球性白血病/リンパ腫、NOS( WHO5th classification*1)

定義: ALLかLBLか,それはあまり問題ではない. --ALL or LBL, it does not really matter.

慣例では、末梢血および骨髄が主要病変部位である場合は白血病(T-ALL), リンパ節、胸腺またはその他の結節外部位が主要病変部位である場合はリンパ腫(T-LBL)という用語を使用する。
骨髄と骨髄以外の部位の両方に腫瘍が浸潤している場合、この区別は恣意的になる.[->自分の好みや思い付きにまかせて勝手に行動するさま. 否定的な評価として使われる](原文 The distinction becomes arbitrary)が,多くの治療プロトコールでは白血病の定義に25%以上の骨髄芽球を使用している。 *1

Tリンパ芽球性白血病とTリンパ芽球性リンパ腫の区別は、臨床像および骨髄浸潤の程度に基づいて行われる。白血病は、末梢血および/または骨髄に著明な浸潤を認める疾患(通常、骨髄芽球25%以上とみなされる)を指すのに対し、リンパ腫は、胸腺、リンパ節または節外部位への浸潤を含む、組織ベースの腫瘤性病変を指し、末梢血または骨髄への浸潤はないか、あってもごくわずかである*2
末梢血/骨髄の浸潤と腫瘤性病変の両方がある場合は、有意な区別はない。一般に、両者には生物学的および臨床的に大きな重複があり、WHOの分類スキーム(WHO4th rev Ed 2017)によれば、臨床像の異なる同一疾患とみなされる。

 

病変の部位/局在

臨床的特徴

T-ALL/LBL 縦隔腫瘍, 胸水貯留症例

70歳男性 KNS

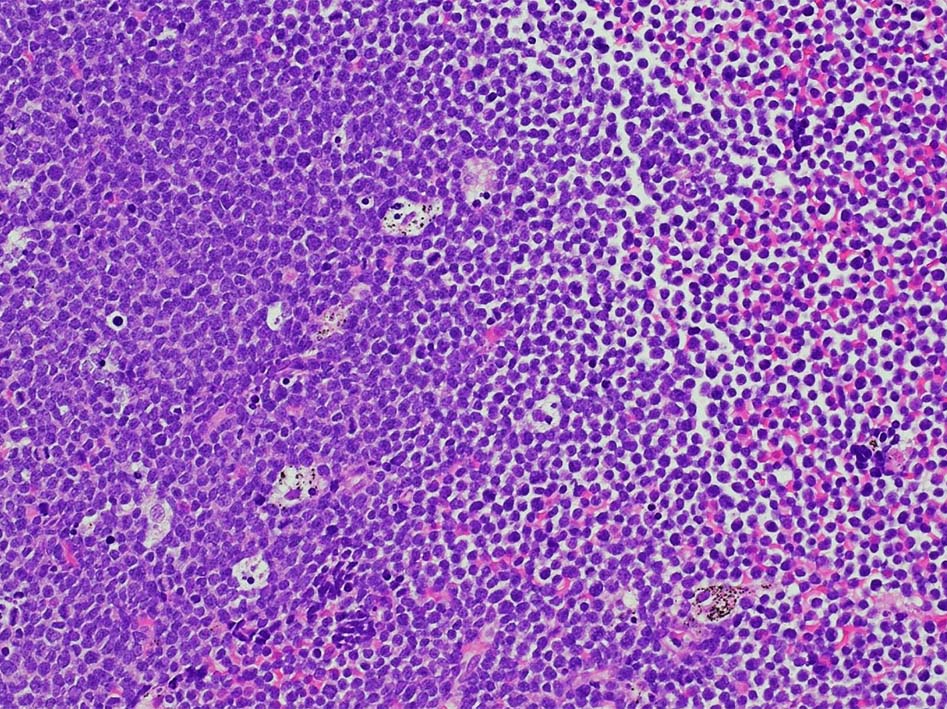
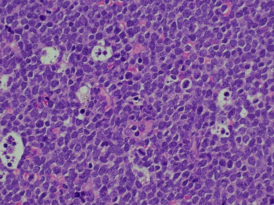
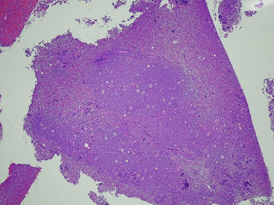
右肺上葉から前縦隔に90mm大の腫瘤あり. 右胸水貯留を伴う. 右主気管支より縦隔腫瘍のEBUS-TBNAをおこなう.

断片状組織片が採取され, 小型から中型の円形細胞がシート状密に増殖する. tindible body macrophagesが散在しstarry-sky様組織像を呈する組織片がある. CD3+, CD5+, CD20-, Ki-67 LI veru high(>95%),CD10-, BCL2(淡染だがほぼ100%膜陽性), BCL6陽性, MYC+(69%). T-cell neoplasmであるが, double expressorである. EBER-ISH陰性. CD4, CD8 double positive cellの増殖. CD25-, TIA1, granzymeBはいずれも陰性.

免疫染色のオーダがされていなかった, TdT, CD2, CD7, PD-1, CXCL13, CD79a, PAX5染色を追加した.


*1  Czader M, Molina TJ, Choi JK, et al. T-lymphoblastic leukaemia/ lymphoma. In: WHO Classification of Tumours Editorial Board. Haematolymphoid tumours [Internet; beta version ahead of print]. Lyon (France): International Agency for Research on Cancer; 2022 [cited 2024 1 25](WHO classification of tumours series, 5th ed.; vol. 11). Available from: https://tumourclassification.iarc.who.int/chapters/63/204.
*2  Wang X, Wang W, Vega F, et al. Aggressive Mediastinal Lymphomas. Seminars in Diagnositic Pathology. articles in press
*3  Litzow MR, Adolfo A Ferrando AA, How I treat T-cell acute lymphoblastic leukemia in adults. Blood 2015 Aug 13;126(7):833-41. doi: 10.1182/blood-2014-10-551895. Epub 2015 May 12.PMID: 25966987
*4  J Li, W Zhang, W Wang, et al. Forty-nine cases of acute lymphoblastic leukaemia/lymphoma in pleural and pericardial effusions: A cytological-histological correlation. Cytopathology 2018 Apr;29(2):172-178. PMID: 29575419

トップ   新規 一覧 検索 最終更新   ヘルプ   最終更新のRSS