Bone Marrow Histopathology

bone marrow necrosis 骨髄壊死

骨髄壊死(BMN)は,造血性骨髄(BM)の髄質間質と骨髄組織の広範囲な壊死を特徴とするユニークな臨床病理学的病態であり、無定形の好酸球性背景、由来不明瞭な壊死細胞、皮質骨の温存が認められる.*1

骨髄壊死はまれな病態である.--8年間に1,083例の骨髄生検から23例のBMNが検出され、有病率は2.2%.(MD Anderson Cancer Center)*2

症例:

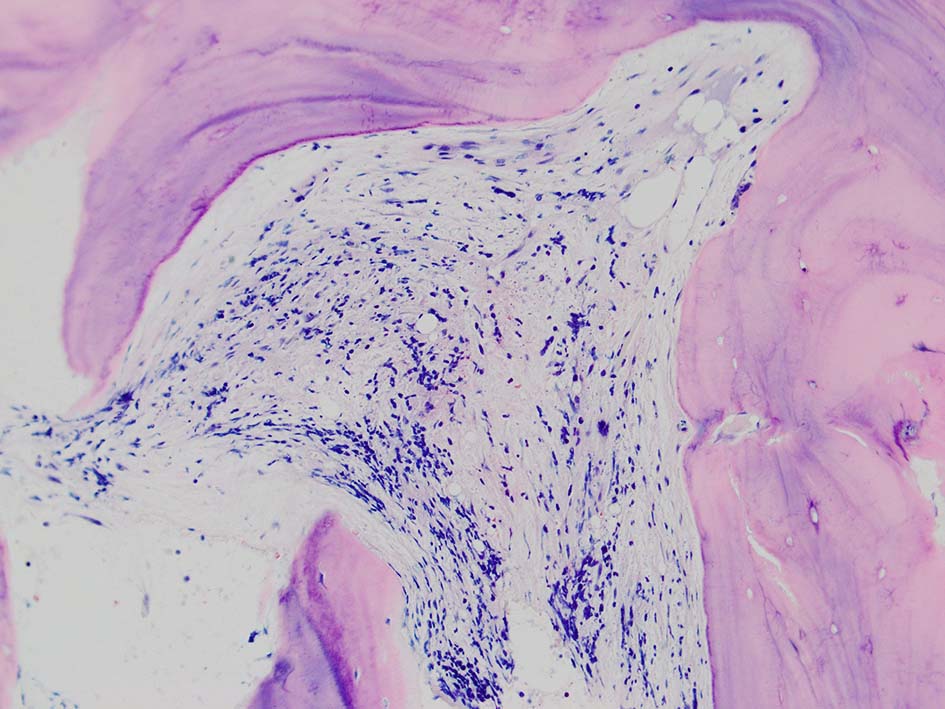
骨髄生検組織では骨梁間に壊死に陥った細胞の凝固壊死像が確認できる. 本例では脂肪細胞は消失せず形態が残っている.壊死のあとには, 髄腔に線維化をきたす. 上図には線維化を示し, 右端の図では壊死巣と線維化の境界が観察される.

 
 

本例ではviableな腫瘍細胞がハーバース管と考えられる管内に認められた.(髄腔とハーバース管腔は解剖学的に同じ場所といえるのか?)

ハーバース管は緻密骨内の骨構造であり, 管内には動静脈, 脈管周囲リンパ管, 神経線維が入る. 解剖学的に海綿骨骨髄腔とは異なる空間構造と考えられる.--viableな腫瘍細胞の存在はリンパ管、血管内への腫瘍浸潤と考えられる.


*1  Maisel D, Lim JY, Pollock WJ, Liu PI. Bone marrow necrosis: An entity often overlooked. Ann Clin Laboratory Sci 1998;18:109-115.
*2  Paydas S, Ergin M, Baslamisli F, et al. Bone marrow necrosis: clinicopathologic analysis of 20 cases and review of the literature. Am J Hematol. 2002; 70(4):300-305. [PubMed: 12210811]

トップ   新規 一覧 検索 最終更新   ヘルプ   最終更新のRSS