65歳男性
いびきがひどく, 他院耳鼻咽喉科を受診する。睡眠時無呼吸症候群と診断されて治療をうけていたところ扁桃腫大が認められ当院を紹介され受診する。扁桃および咽頭腫大, 頸部リンパ節腫脹あり。扁桃,上咽頭の生検では腫瘍病変なし。末梢血でWBC11300/μl, lymphocyte 71.3%, LDH180, sIL-2R 1550, 悪性リンパ腫が否定できず頸部リンパ節生検を行った。
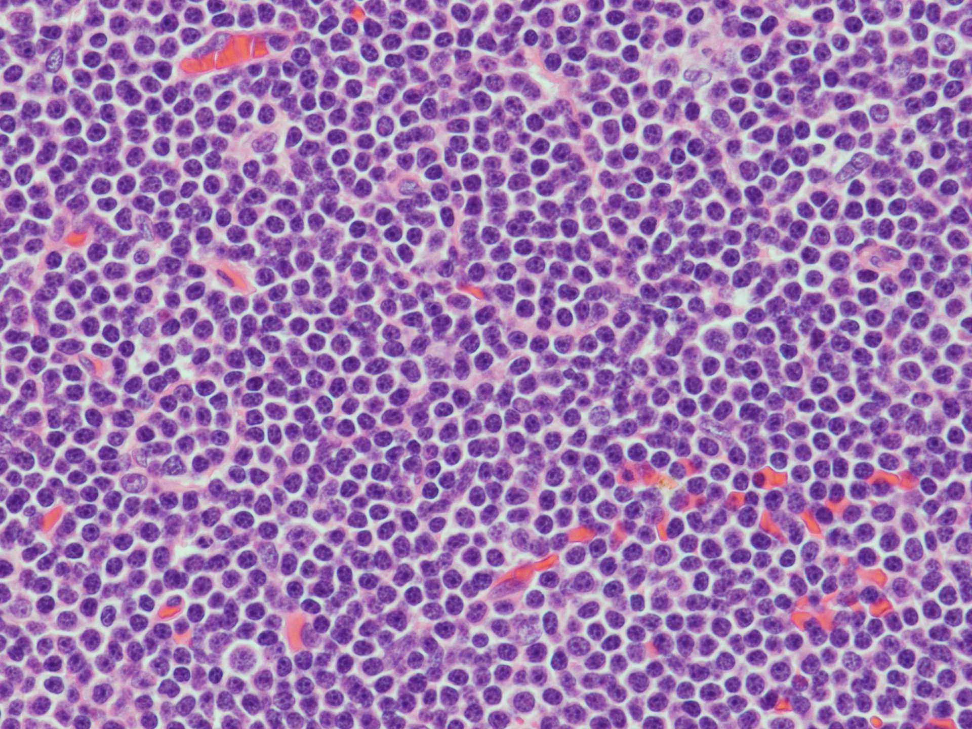
頸部リンパ節では, 正常構造は消失し, びまん性小型リンパ球の密な増殖ありproliferation center様構造が散在してvague nodular lesionを呈する。
Virtual Slideを見る--->頚部リンパ節
頸部リンパ節HE所見 クリックすると大きな画像が見られます。
リンパ節全体の病変で, 境界不明瞭なvague nodularな病変を認める. 密なsmall lymphocytes部分は青色調にみえ, immunoblastsやprolymphocytesの混在する部位は明るい結節様に見える.
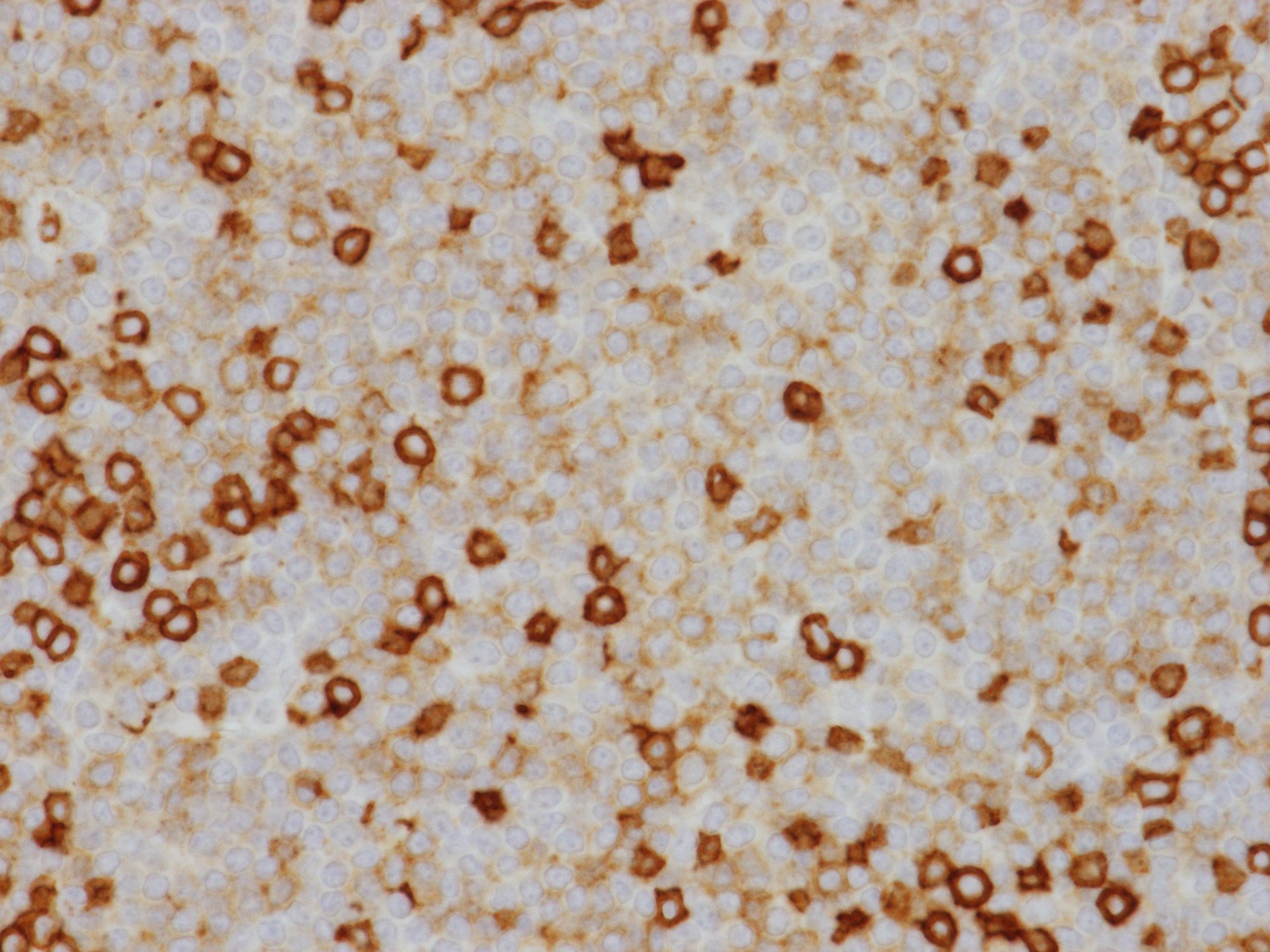
免疫染色
CD20が広く陽性. CD3陽性T-cellsも多く混在する. CD5は腫瘤状に増殖するB-cellにはT-cellよりもかなり弱く染色されていることに注意.
FCMで, CD20,CD19,CD5,CD23,CD25陽性。cyclinD1陰性。lambda light chain 陽性細胞98%, 核間期細胞FISHで13q14.3単一シグナルが38%の細胞に検出(monosomy 13)された.
50歳代女性
かかりつけ医で白血球増多を(20000/μl)を指摘される。全身症状, 貧血なし。精査でchronic lymphocytic leukaemiaと診断される。経過観察を受けていたが白血球数が次第に増加し、頸部に腫瘤が出現するため生検をおこなった。
Virtual Silideを見る--->頸部リンパ節
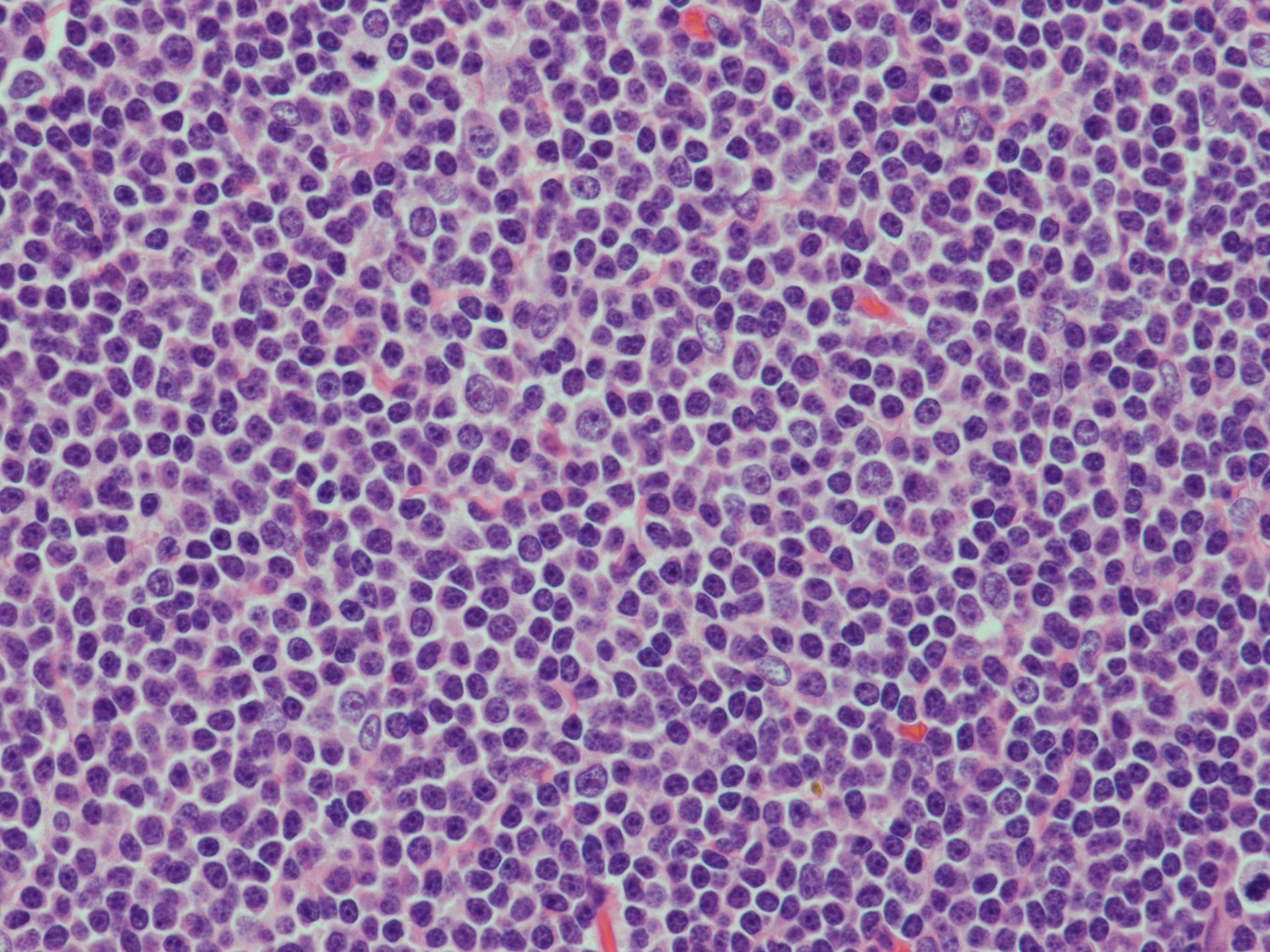
成熟小型Bリンパ球のびまん性増殖を背景とする腫瘍。
欧米では全白血病の20-30%を占める高頻度のリンパ球系腫瘍であるが, 日本では1.3%-6%と少なく, 人種により発生頻度に差が見られる。年齢中央値65歳, 60-80歳に多い。30歳以下には発症しない。男女比は2:1, 臨床病期I/IIの症例は, 6%とごくわずかで73%に骨髄浸潤が認められた。5年生存率は51%.
Diffuse large cell lymphomaなどのhigh-grade lymphomaへの移行することがあり, DLBCLへの移行はRichter's syndromeとして知られている。
WHO 5th Ed. 2022*1
慢性リンパ性白血病/小リンパ球性リンパ腫(CLL/SLL)は、CD5とCD23をしばしば共発現するmonomorphicな小型成熟B細胞からなるB細胞性リンパ腫である。
CLLの末梢血診断には、B細胞数が5000/μL(5x109/L)を超え、特徴的な形態と免疫表現型を伴うことが必要である。
SLLの組織ベースの診断には、臓器腫大(例えば、15mmを超えるリンパ節腫脹)と上記の腫瘍性B細胞による浸潤が必要である。
CLLとSLLは同じ疾患であるが、循環B細胞が5000/μL(5x109/L)未満で、結節、脾臓、またはその他の髄外病変を有する症例にはSLLという名称が用いられる。
pseudofollicleまたはproliferation center
診断時に, しばしば骨髄病変が認められる。SLLの骨髄浸潤のパターンはほとんど常にNodular pattern. 一方CLLはnodular, interstitial, diffuseまたはmixedと多彩である。
鑑別診断

Richter症候群
New York University Medical centerの病理学教授 Maurice N. Richter先生が, lymphatic leukemiaに関連するreticular cell sarcoma(現在のDLBCLに相当)を発症した45歳男性症例を1928年, Am J Patholに報告。
彼自身はCLLからの進展に言及していないが, Lortholaryら*6がCLL14例のDLBCLへのtransformationをまとめRichiter症候群と命名している。*7
Virtual Slideを見る--->鼠径部リンパ節, 部分 (右クリックで新しいタブで開くと便利です)
Richter's syndromeの他, CLLは下記疾患などへのtransformationをきたすことがある。
右組織図はRichter syndrome (クリックで大きな画像が見られます)
Chronic lymphocytic leukaemia/ Small cell lymphoma (WHO 5th Ed. 2022) --->
CLL-SLL.txt