Wikipathologica-KDP

原発性骨髄線維症 Primary myelofibrosis

 

原発性骨髄線維症は、骨髄における異常な巨核球および顆粒球の増殖を特徴とするクローン性骨髄増殖性新生物(MPN)であり、線維化の段階では、二次的な骨髄線維化(レチクリン線維化および/またはコラーゲン線維化)、骨硬化、髄外造血を促進する線維芽細胞の多クローン性増加を伴う。(WHO 5th 2022)

骨髄中に主として異常な巨核球, 顆粒球系細胞が増加する, クロナールな骨髄増殖腫瘍 clonal myeloproliferative neoplasm. 進行すると, 反応性膠原線維増生や髄外造血が認められる. (WHO revised 4th ed.)

過形成髄と線維化のない, あるいは軽度弾性線維増生のみられる最初のprefibrotic/ early stageから段階的に進行する. 最終的に 高度の弾性線維, 膠原線維増生をきたし, しばしば骨硬化を伴う.

診断クライテリア

[prefibrotic/ early stage PMFのクライテリア (WHO 4th revised)]

3つのmajor criteria全てと少なくとも1つのminor criteriを満たす.

1. 巨核球の増殖と異型があり, grade1より強い弾性線維増生を認めない. 年齢にあわない過形成髄. 顆粒球過形成としばしば赤芽球低形成が認められる.

2. WHOクライテリアの bcr-abl fusion陽性CML, PV, ET, MDS, その他のMPNに一致しない.

3. JAK2, CALR, MPL遺伝子変異あるいは, その他のクロナールマーカが陽性である. minor reticulin fibrosis(MF-1)は認められない.

その他のクロナールマーカには, ASXL1, EZH2, TET2, IDH1, IDH2, SRSF2, SF3B1変異などが含まれる.

PMFのfibrotic stageでは, 臨床像として, 1,2が認められる.

1. 末梢血のLeukoerythroblastosis. 類涙型の赤血球がしばしば出現する.

2. 肝脾腫.

 

Primary myelofibrosis 原発性骨髄線維症--->[[fileprimary MF-WHO5th.txt]]

 

Case01 Primary myelofibrosis

IWT case 75歳女性 47,XX,+8を認める症例

2020年X月より倦怠感, 腹部膨満感による食思不振がある. 100mほど歩くと息切れを自覚. かかりつけ医での腹部超音波検査で次第に脾腫が進行. A病院を紹介される.
造影CTで脾腫, 脾梗塞あり. 血管に明らかな異常なし. 自己抗体なし. LDH上昇, sIL-2Rの軽度増加があり血液疾患を疑われ紹介となる.
CBC; WBC 10800/μl, Hb 10.3g/dl, RBC 301x10^4/μl, Ht 30.9%, MCV 102.7fl, MCHC 33.3g/dl, plt 7.3x10^4/μl. diff., Myelo 2.0%, Met4.0%, St6.0%, Seg 74.0%, Eo 2.0%, Ba0.0%, Mo 1.0%, Ly 9.0%, 芽球様細胞 2.0%, LDH 434U/l(LDH2 上昇), sIL-2R . JAK2V617F変異なし. JAK2 exon12, MPL, CALRの変異は調べていない.

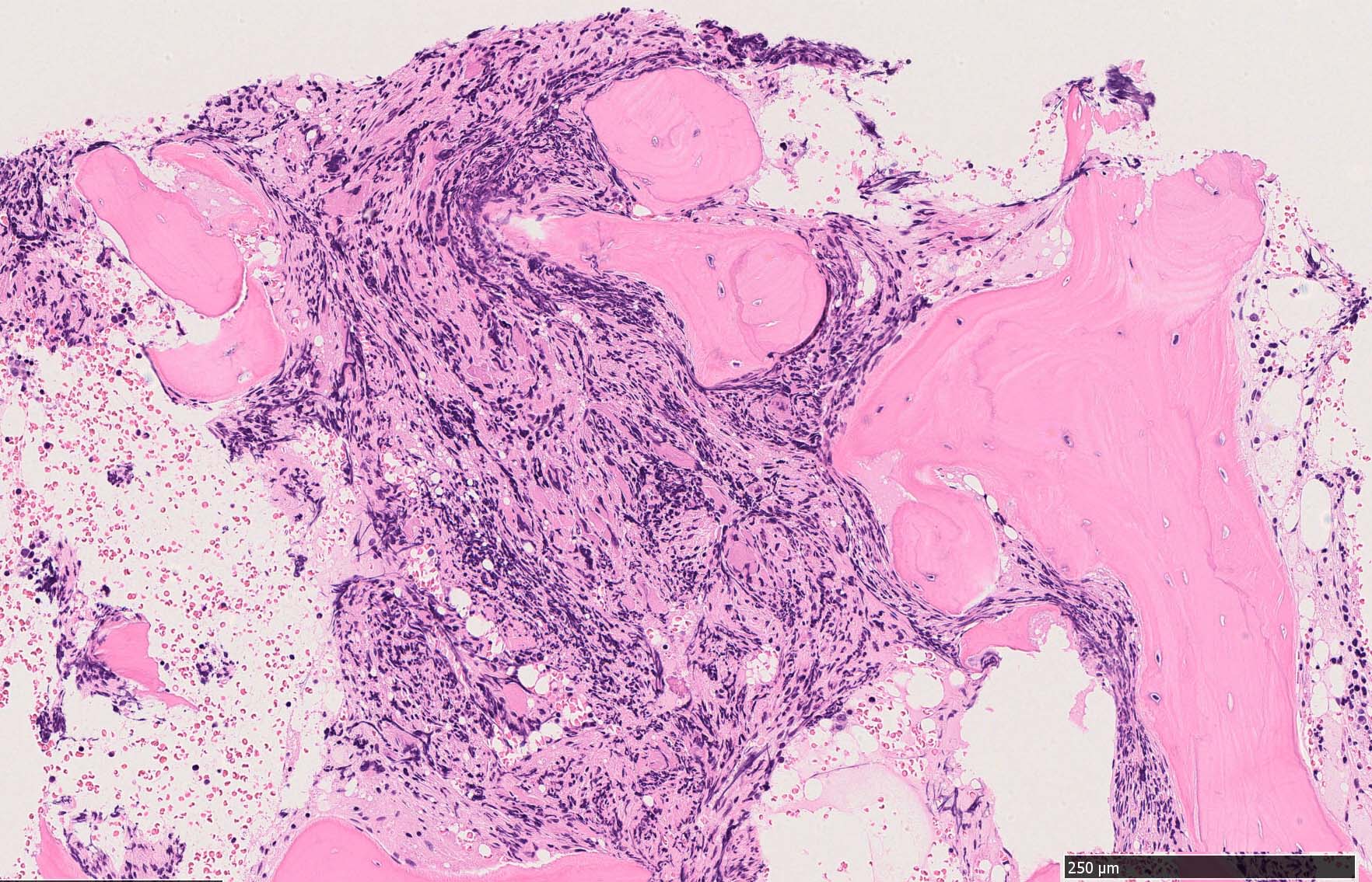
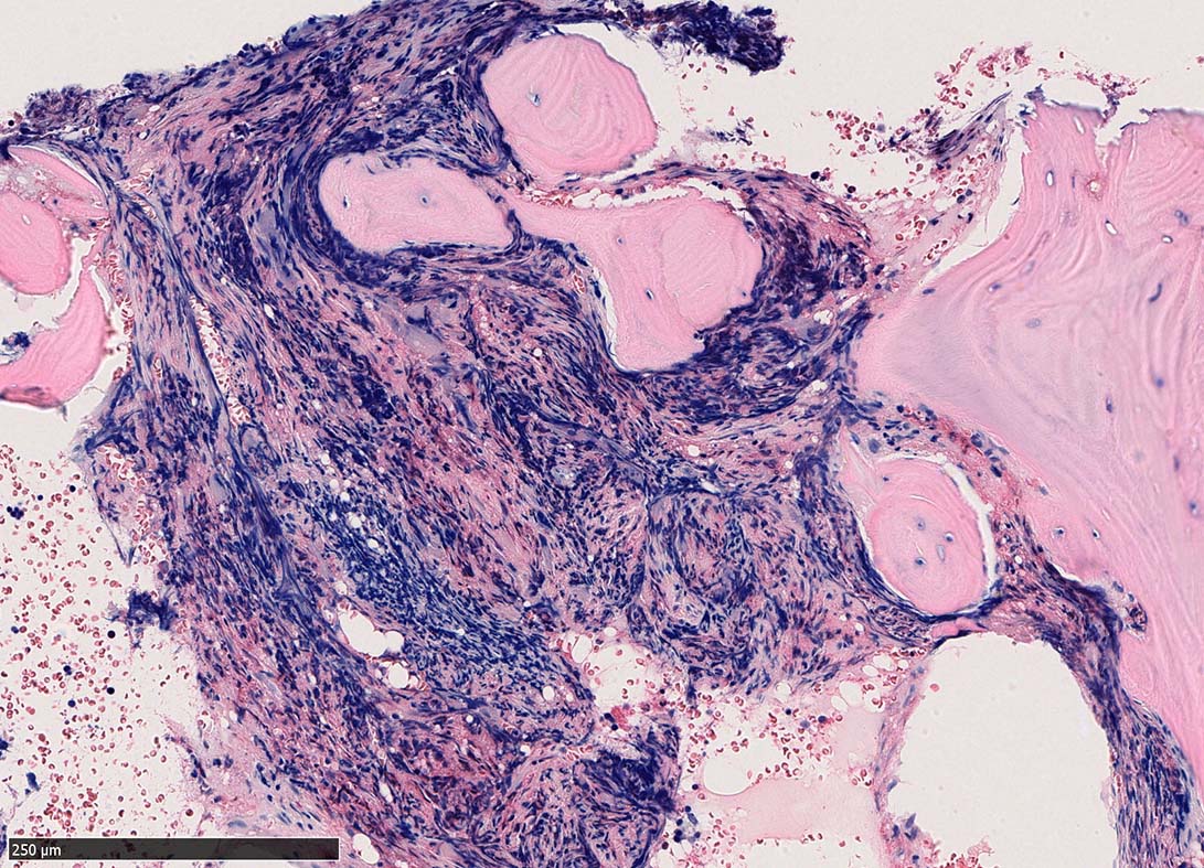
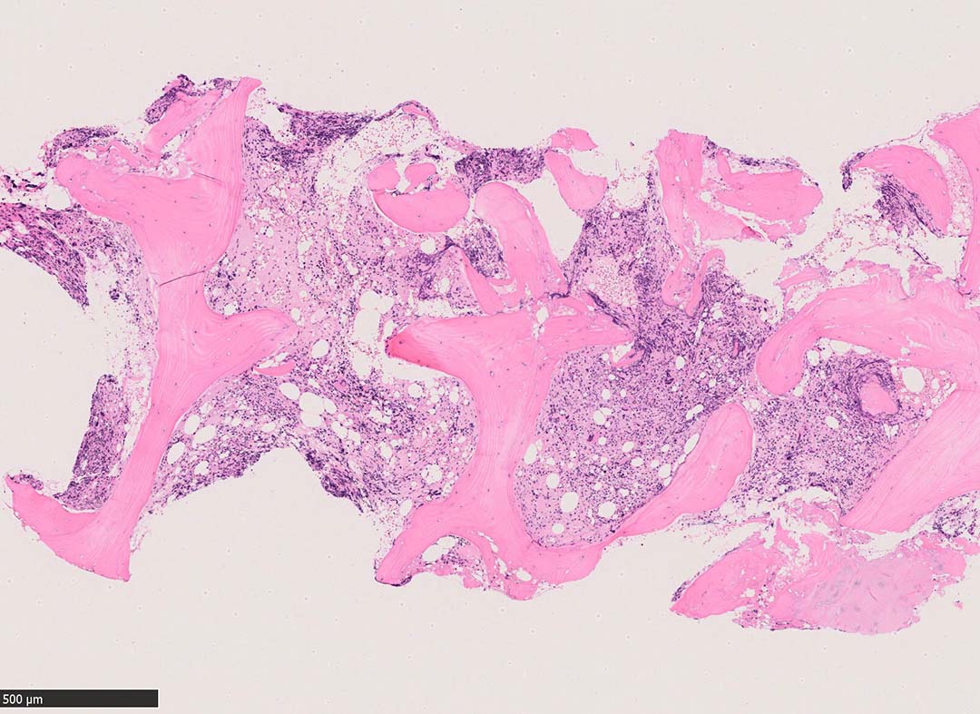
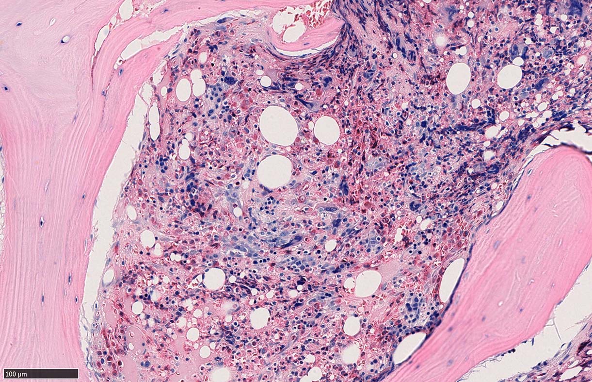
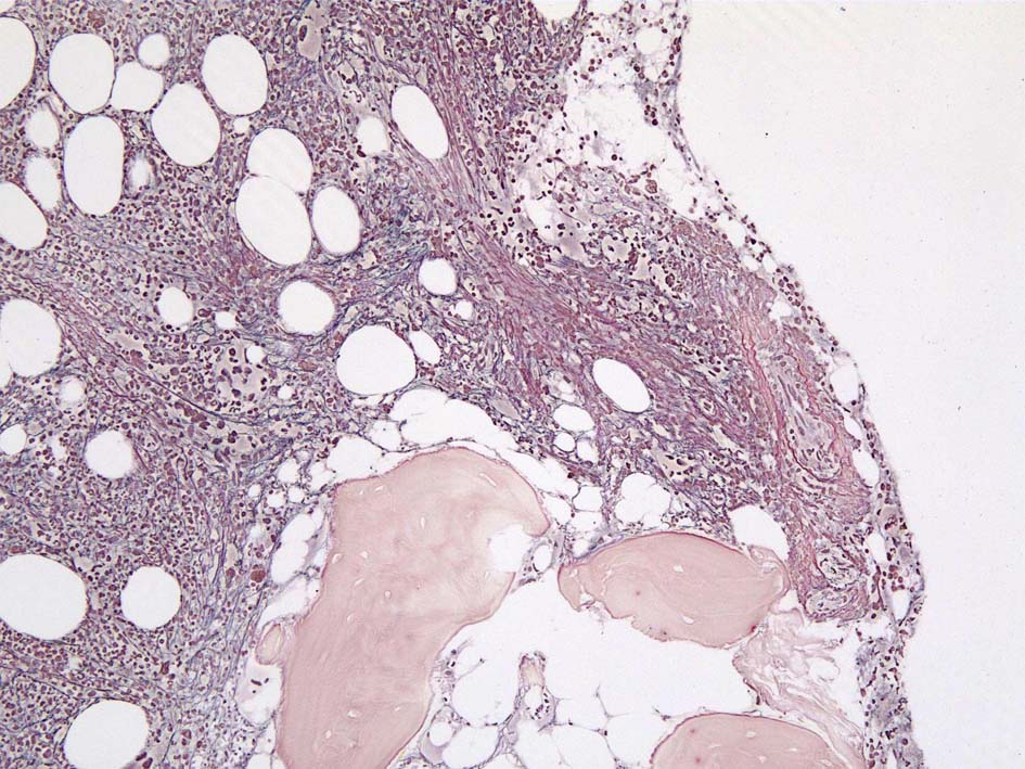
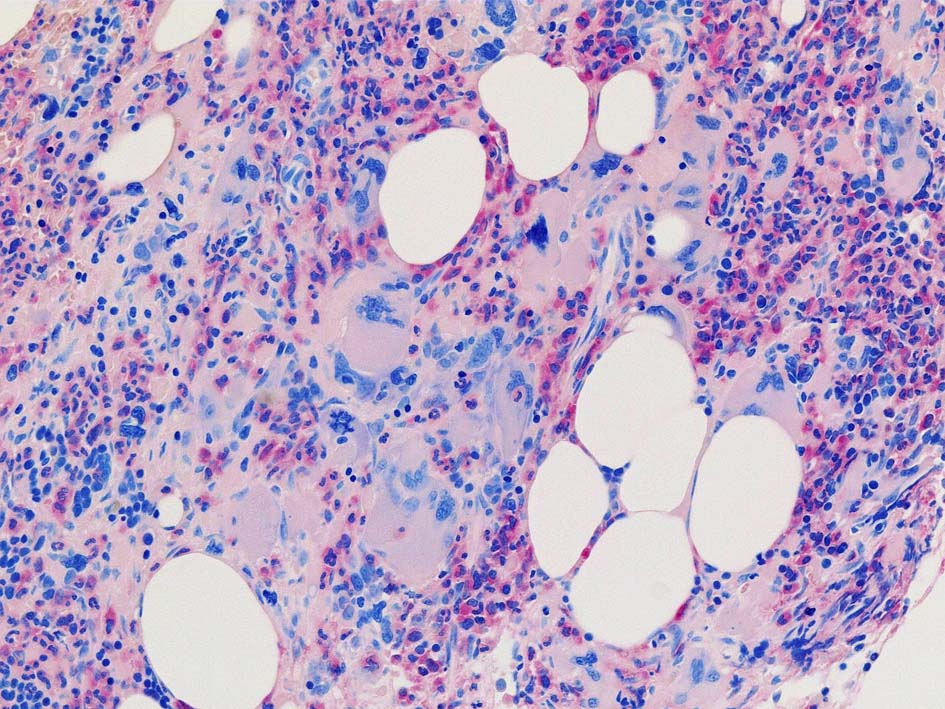
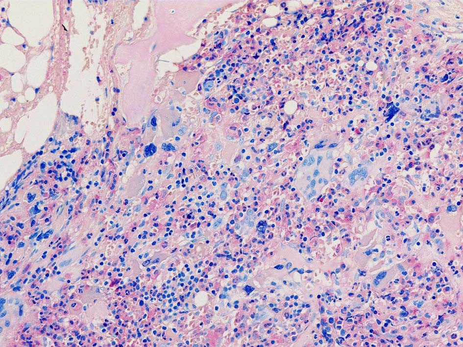
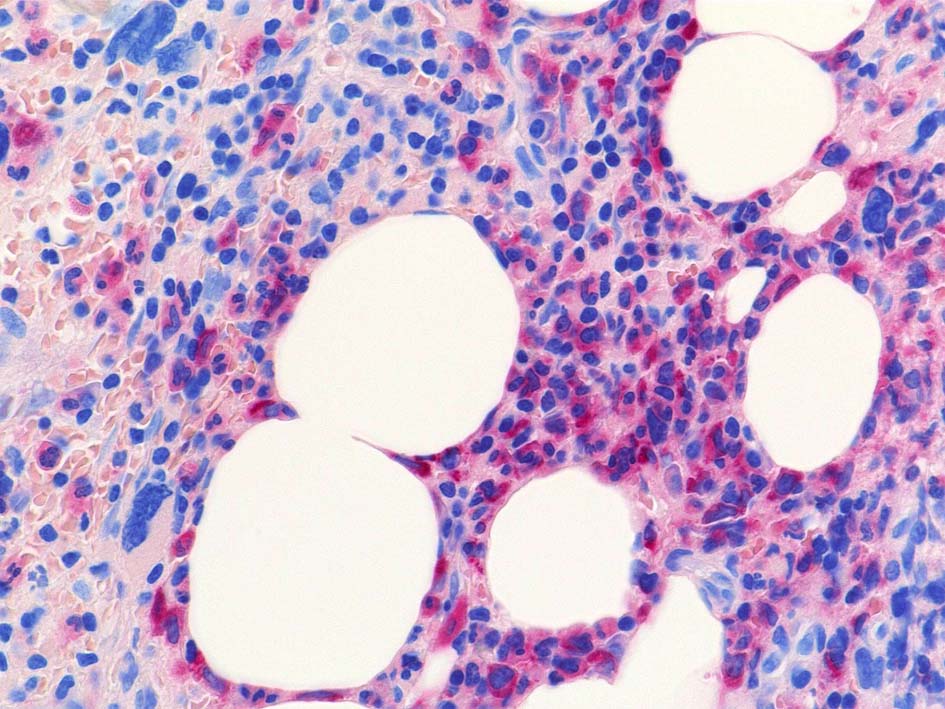
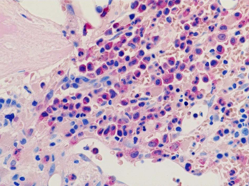
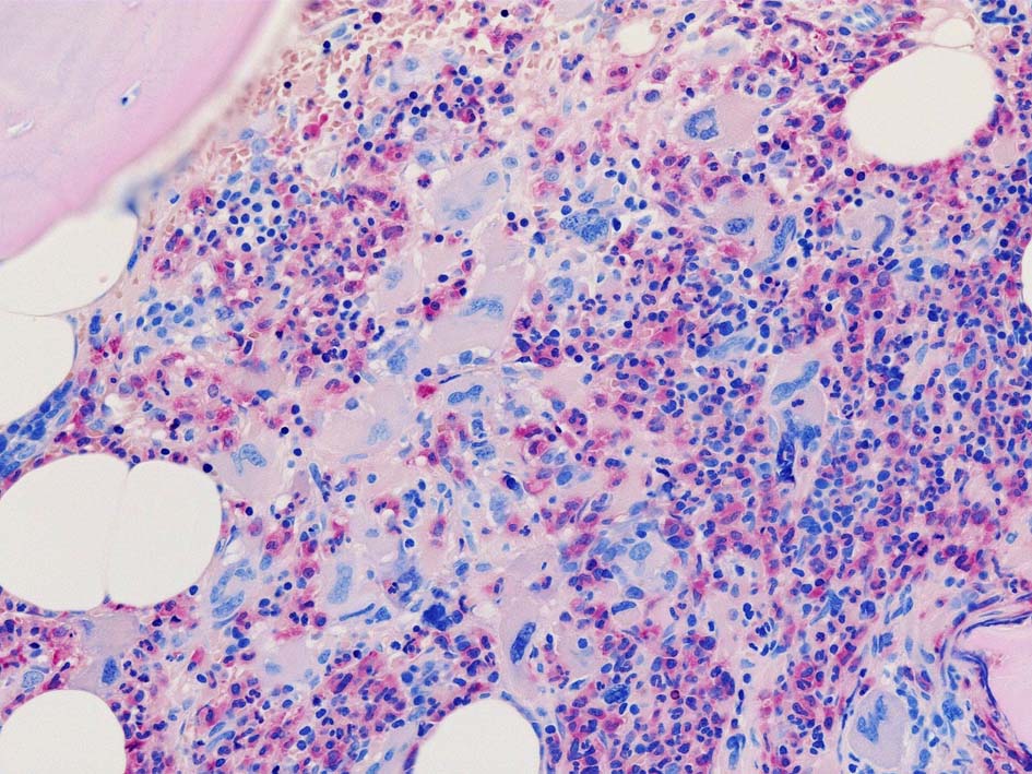
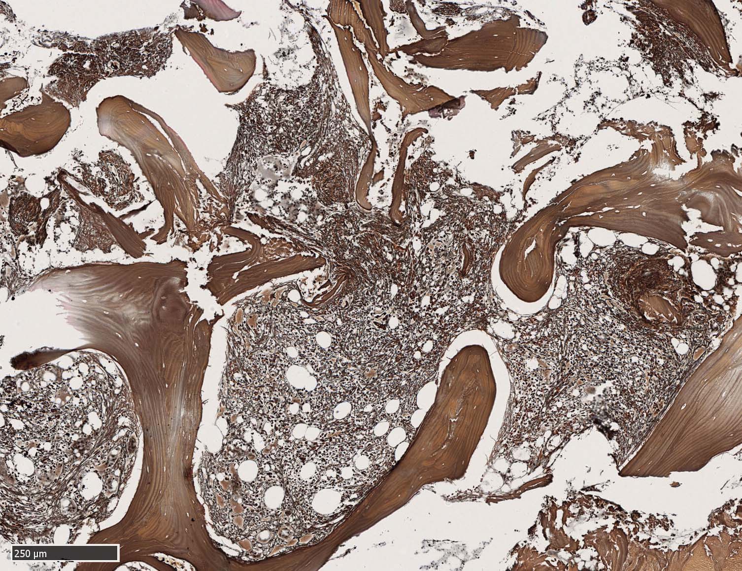
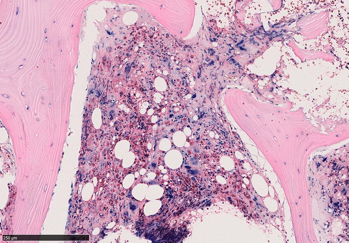
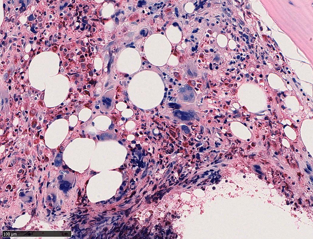
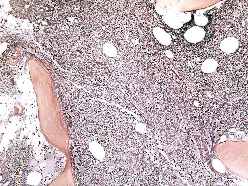
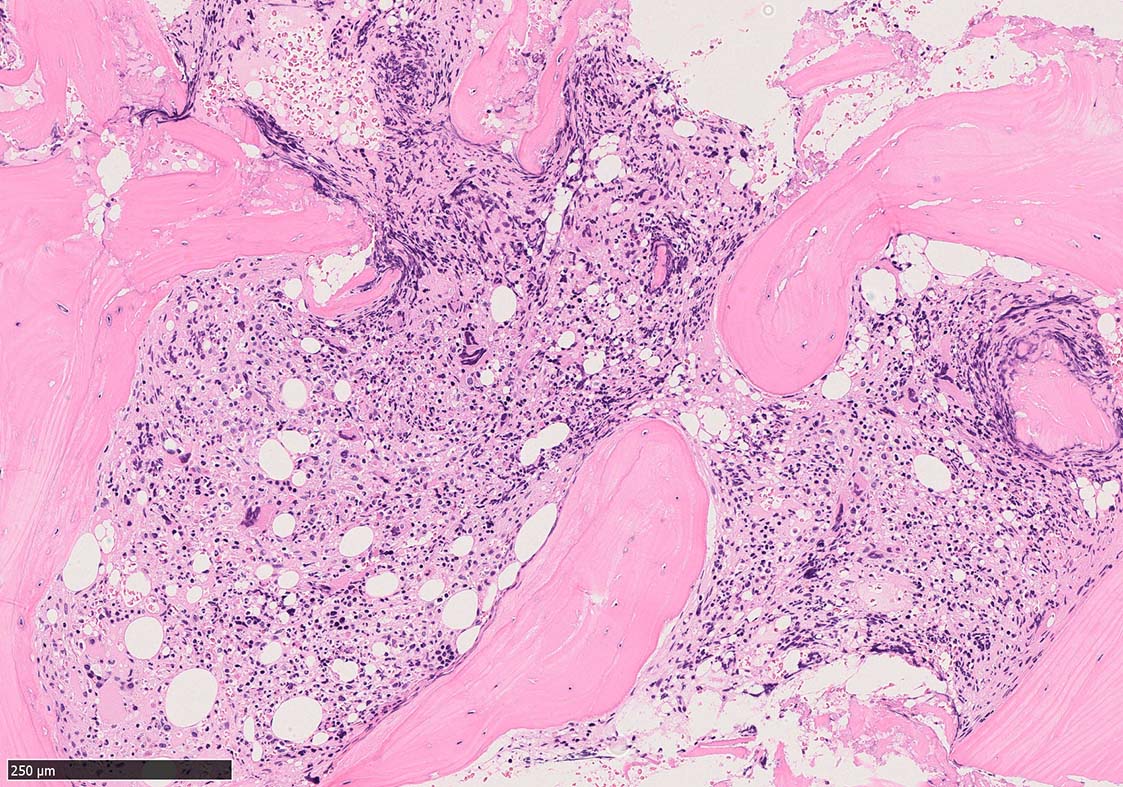
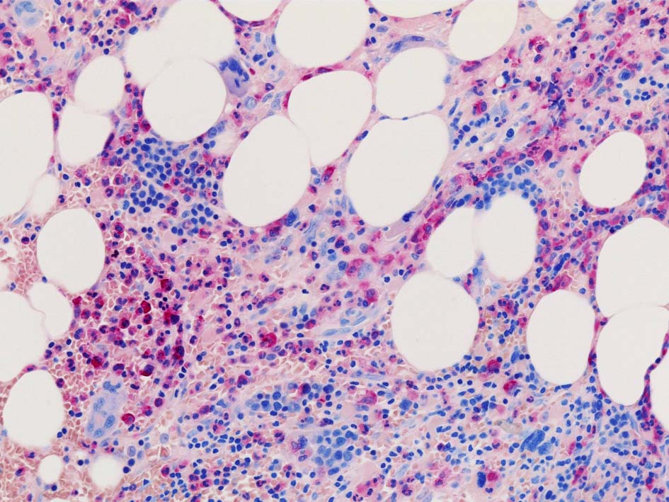
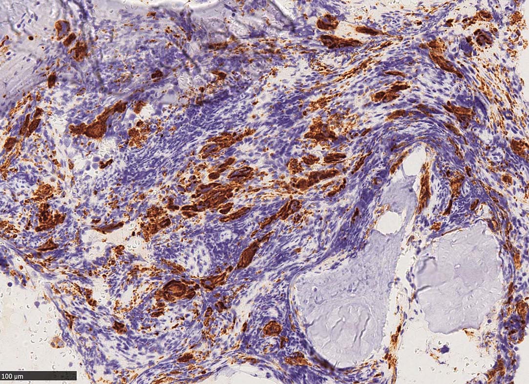
骨髄組織所見 bone marrow biopsy total 6mm in length

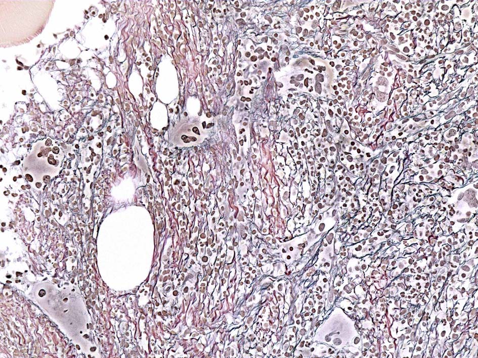
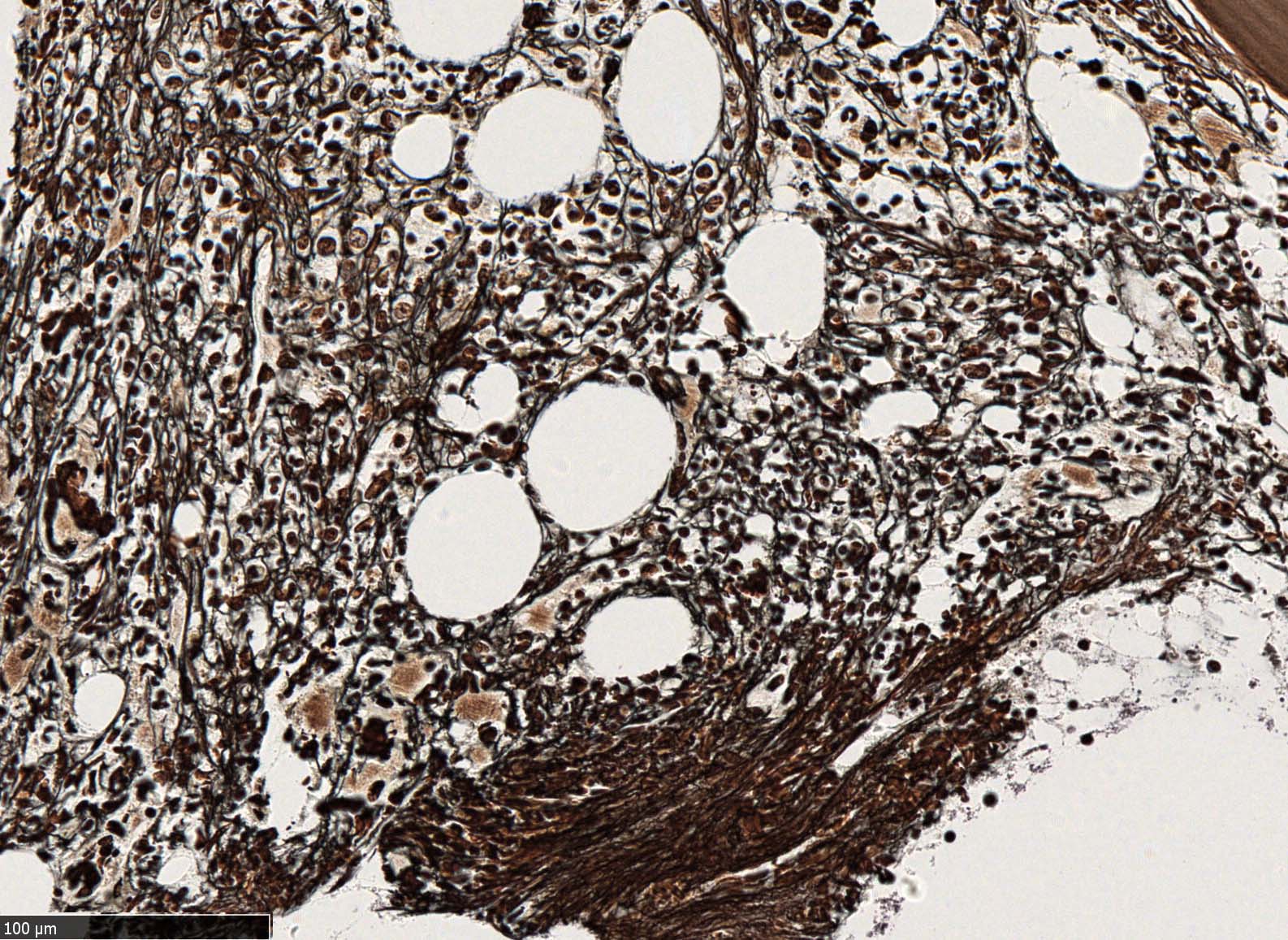
塗銀染色

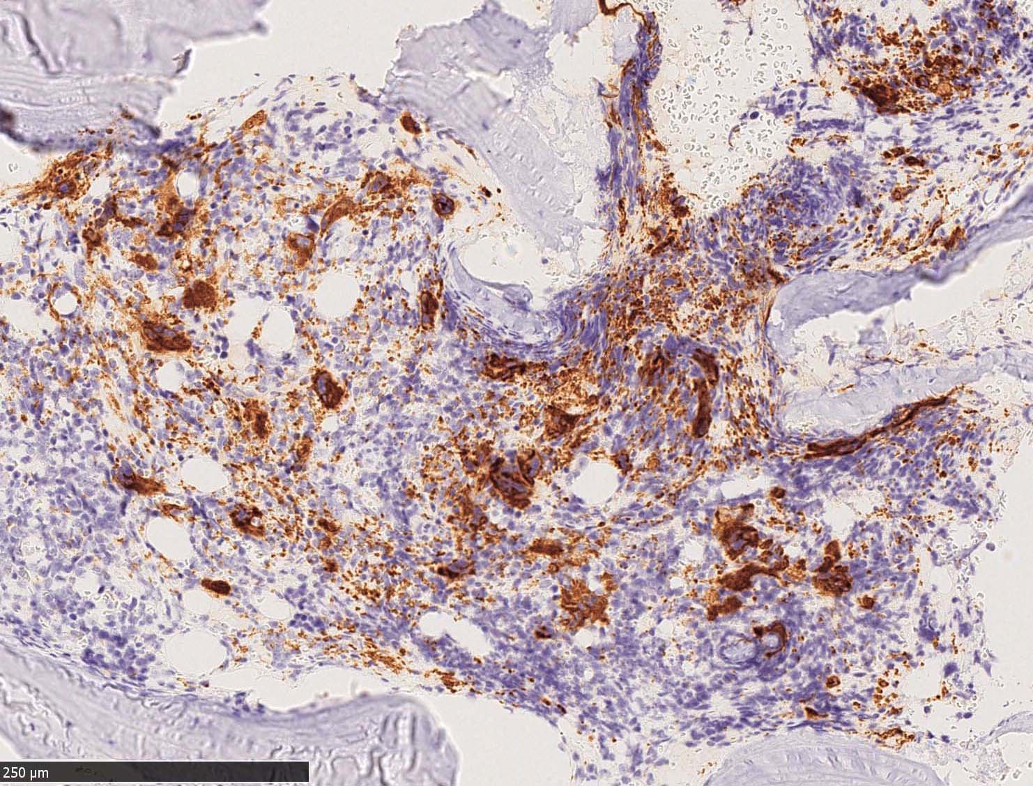
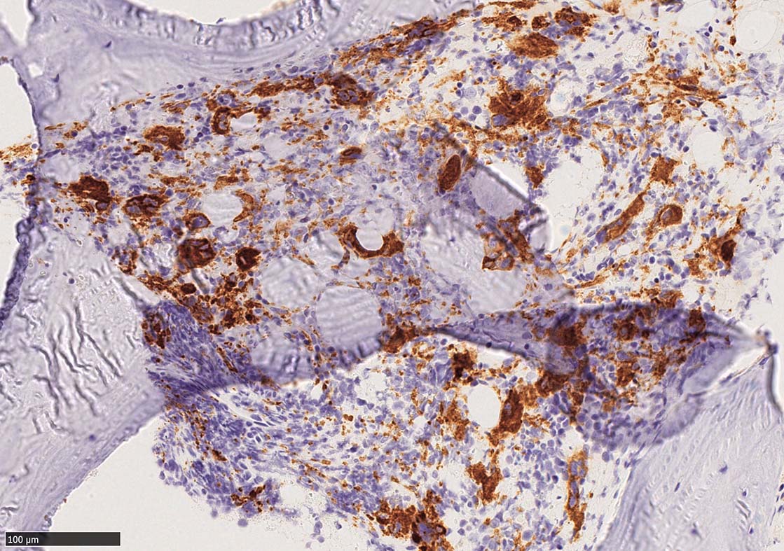
CD42b染色

 

核型:

trisomy8ok.jpg

karyotype; 47,XX,+8[20] 異常細胞のclonalな増殖が認められる.

 
 

Case02; Meylofibrosis, overt fibrosis

77year-old female. 40歳時polycythemia veraと診断されていた.

[注] この症例は詳細は不明であるが, 過去にPVと診断されているため, PVに伴う二次性のmyelofibrosisの診断になる.

 
 
 

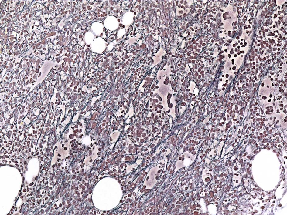
黒染する弾性線維の増生のほか, 赤く染まる膠原線維の増生が確認される. MF-2 fibrosis. 鍍銀染色の核染色をすると膠原線維の赤染がわからなくなるので行わない.

 
 
 

WHO 5th 2022, Primary myelofibrosis - fileWHO5th-primary myelofibrosis01.txt


トップ   新規 一覧 検索 最終更新   ヘルプ   最終更新のRSS