Wikipathologica-KDP

Sweet disease

Sweet病:1964年 RD Sweetが下記4つの特徴をもつ8例の女性患者をacute febrile neutrophilic dermatosisと名付け, 独立した疾患として報告した. *1

1)発熱

2)顔面, 頸部, 四肢に好発す有痛性隆起性紅斑

3)末梢血白血球増多

4)皮膚真皮に好中球浸潤がみられる病理所見

4兆候がそろわないSweet病も認められる.

女性, 中年の女性に多い. 不定の上気道感染が先行することがある.

本症は, 古典的(本態性/特発性)の他, 種々の疾患に合併して発症することが知られ, 本邦ではBehçet病に, 国外ではSjögren症候群, 慢性関節リュウマチなど膠原病類似疾患に合併して認められることが多い.
潰瘍性大腸炎,

また, 癌, 種々の白血病, 骨髄線維症などの骨髄増殖疾患(MPN), 骨髄異形成症候群(MDS)など悪性疾患に合併する報告が多くみられる:Sweet病の10-20%.

悪性血液疾患に合併する本疾患を Neutrophilic dermatosisと呼ぶことがある.--> ''up to date 「Neutrophilic dermatosis」 fileneutrophilic dermatoses.txt

血液疾患で多いのは, 骨髄性増殖疾患, MDSである. AMLが最多であるがMDS合併例も増加している.

 

皮膚病変の性状と好発部位, 臨床症状

典型疹. 爪甲大から母指頭大, 多発散在する. 鮮紅色から暗赤色で経過とともに紫赤色となる. 色素沈着を残す.

境界鮮明, 周囲皮膚より隆起した浮腫性の紅斑(ときに中央が陥凹し辺縁隆起性になる).~ 水疱, 膿疱形成をみることがあり破れて潰瘍を形成することもある.

多くの場合, 圧痛がある(「痛痒い」と表現された患者さんあり). 自発痛もある.

好発部位; 顔面, 頸部, 上背, 上肢などの上半身に多い. 四肢関節面にも発生する.

病変の中心は顔面であり, 体幹のみに典型疹が限局することはない. DDxになる.

眼周囲と頸部に多く発症する. 眼周囲に皮疹が出ると眼瞼浮腫や眼瞼結膜充血を伴う. 結膜炎, 強膜炎が眼疾患として多い.

下肢に発生する皮疹は境界が不明瞭なことがある.

典型的皮疹の他, 皮膚には毛嚢炎や結節性紅斑が出現することもある. この他, 発熱, 関節痛, 全身倦怠など全身症状を伴う.

口内炎, 浅い陰部潰瘍, 針反応などBehçet病と共通する好中球機能亢進症状・所見もしばしば認められる.

血液疾患に合併するSweet病(10-20%)では高熱を欠くことが多く末梢血白血球数は高値となる. また壊疽性膿皮症を合併することがある.

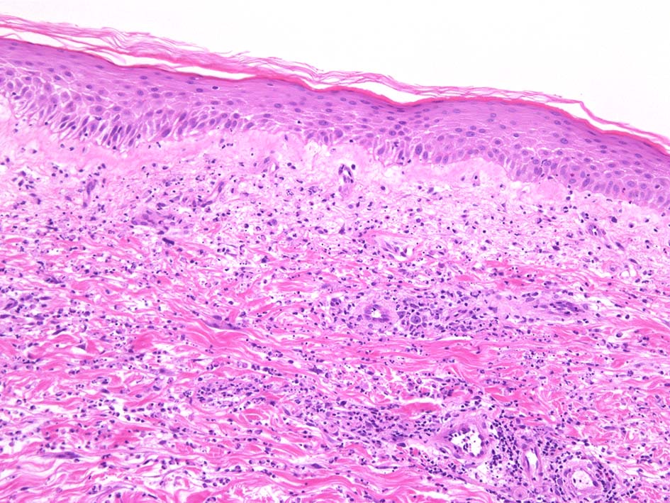
病理所見

文献 *2

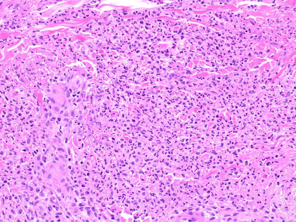
典型疹は真皮の好中球浸潤より始まる. 病初期では, 好中球浸潤は表皮に及ばない. 病期が進むにつれ, 2次的好中球浸潤が認められるようになる.

真皮上中層で広範囲に好中球が密に浸潤する所見がSweet病の最大の特徴. 好中球活性が亢進し, apoptosisを起こして核塵(核破砕物)がみられることが多い. 浸潤が顕著になると真皮上中層が浮腫をきたして, 皮疹が隆起する.

真皮上層浮腫がつよくなり表皮下水疱を形成することがある. 水疱内にはフィブリンや炎症細胞が多数認められる.

真皮の好中球浸潤部には毛細血管, 細動静脈が巻き込まれるが, 血管のフィブリノイド壊死は認められない.(鑑別が難しいことのあるBehçet病では2012年より, 壊死性血管炎があるとされており鑑別のための病理所見となっている)

表皮基底層の液状変性, また液状変性ほど強くなくともvesicleの形成が見られることがある.

 

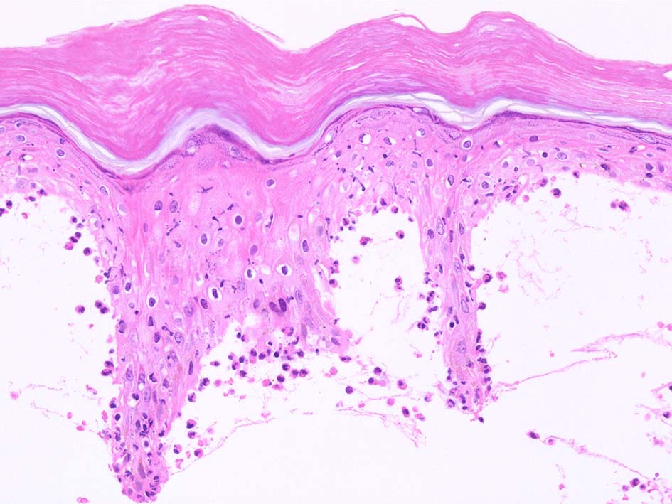
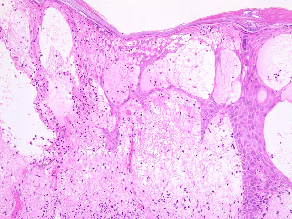
Case01 前腕皮膚腫瘤

46 year old female
咳痰などの上気道炎症状発症後4日で口内炎が出現. 37.3℃の微熱, 関節痛あり. 5日めに手, 膝に水疱を伴う発赤が出現. 倦怠感持続. 10日後左眼が腫れ受診する.

lt

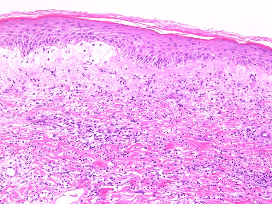
HE x40. Sweet病最盛期皮膚病変の所見があります.

表皮下水疱, 真皮上層の細血管周囲に密な好中球浸潤あり.(thumb nail clickで大きなphotoが見られます)

 
 
 
 
 

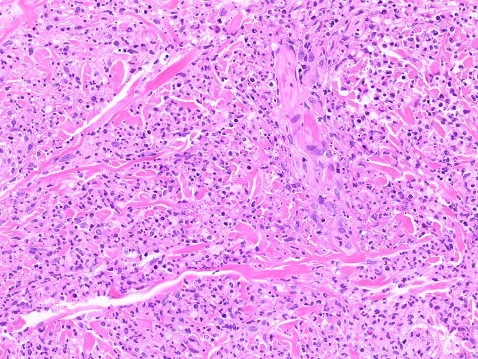
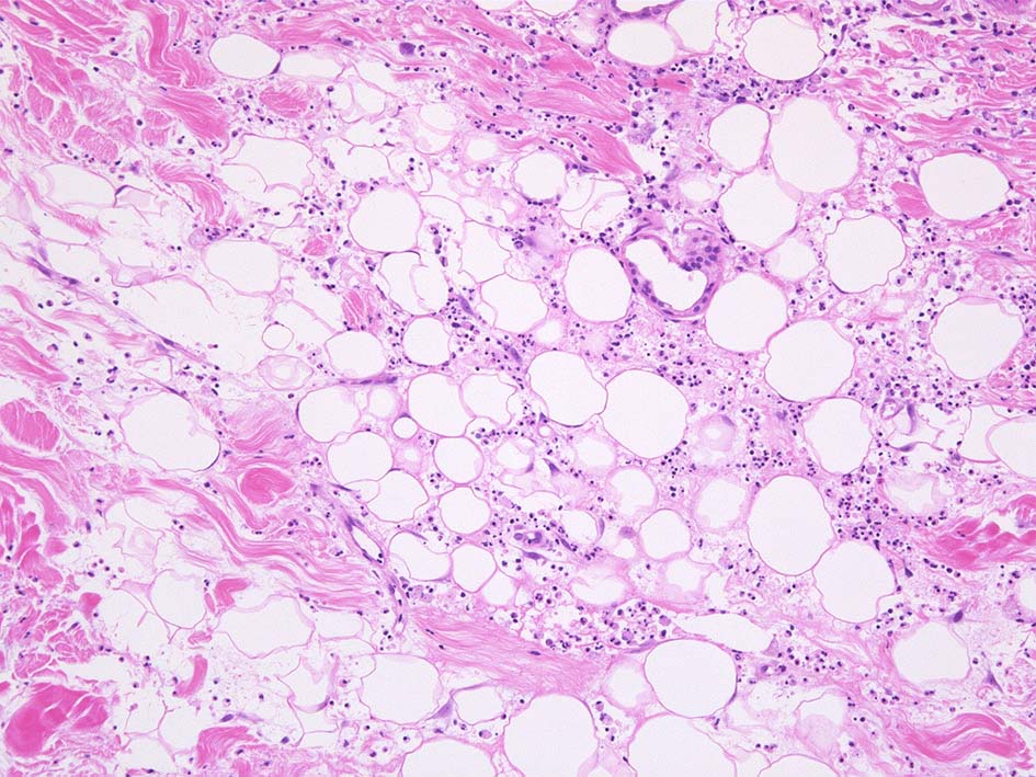
Case02 前胸部皮膚

73 year old male

lt

骨髄異形成症候群で入院中. 発熱, 関節痛に加えて四肢, 胸部など上半身に潰瘍形成をともなう浮腫性紅斑が出現してきた. 皮下硬結あり. Sweet症候群と診断.

中央に黒色痂皮を示す紅斑. 硬結の強い部位から生検される.

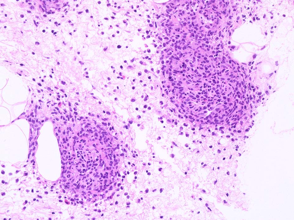
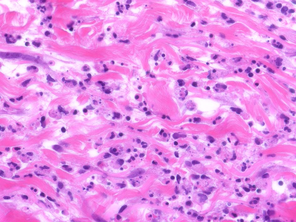
HE x40. 表皮下水疱あり. 真皮上層は浮腫状. 真皮から皮下組織にかけて, 多数の好中球が浸潤している. リンパ球, 好酸球が混在, 核破砕物を貪食するマクロファージが増加. 膠原線維にはところどころ変性が見られる.

 

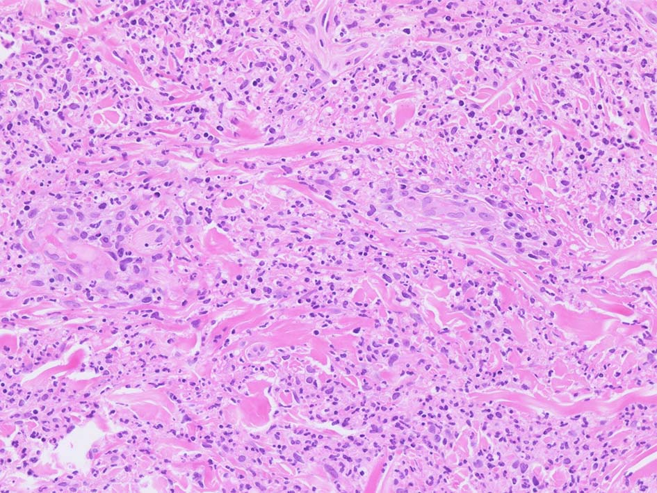
真皮上層には核破砕物が多く, 好中球浸潤が認められる. 慢性炎症性細胞も浸潤している.
フィブリノイド壊死を呈する血管炎は認められない.

 
 

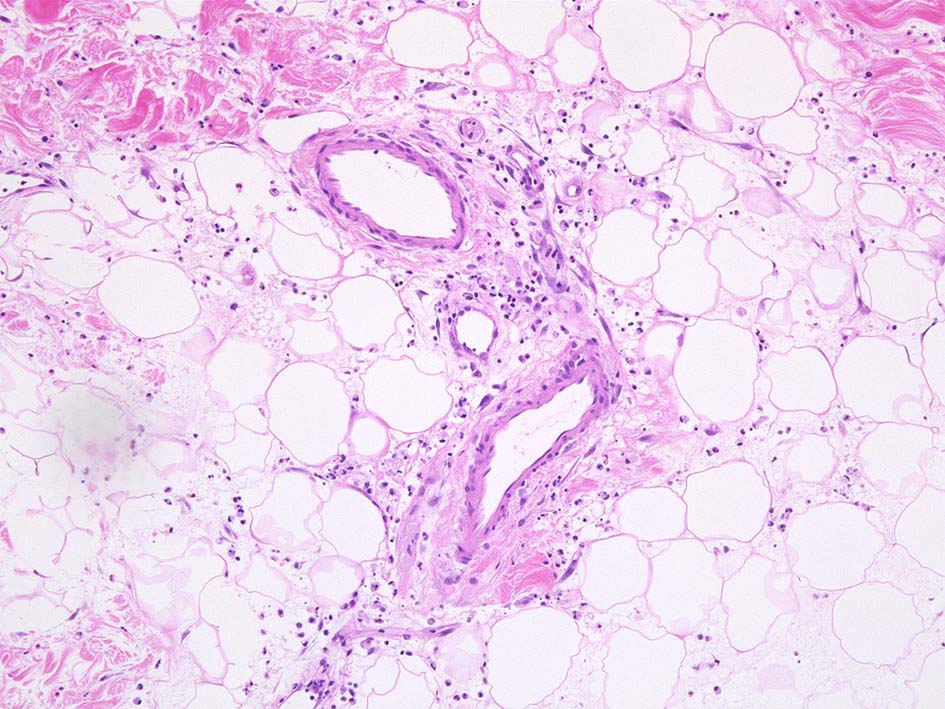
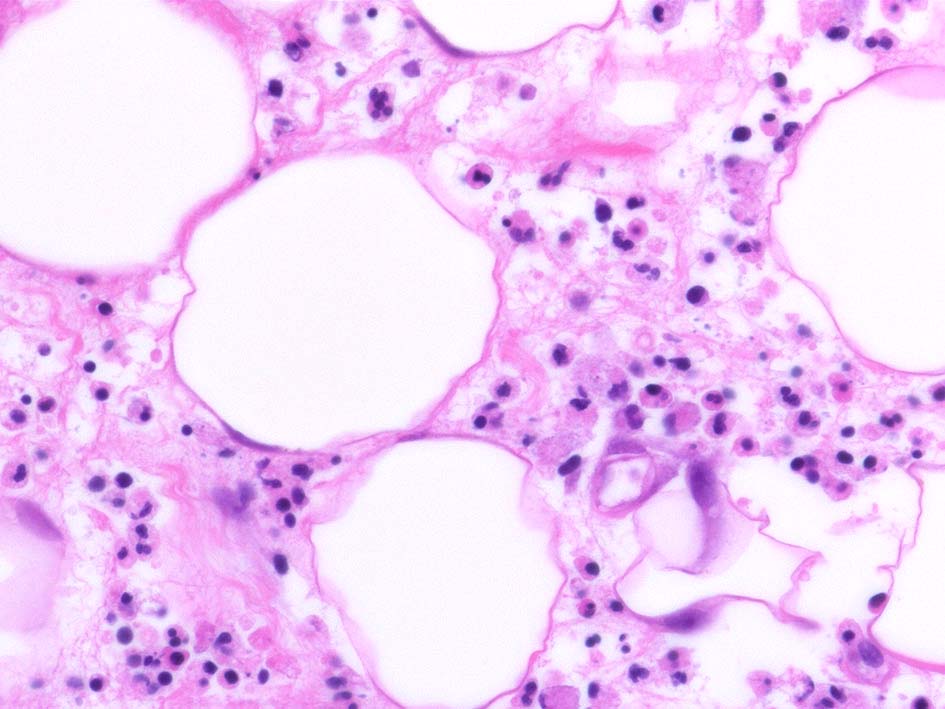
皮下脂肪織炎病変には局所的なhemophagocytosisが認められる. 血管にはfibrinoid necrosisは見られない。


*1  Sweet RD. An acute fibrile neutrophilic dermatosis. Br J Dermatol 1964; 76: 350-356.
*2  川上民裕 スウィート病の皮膚 神経学のための皮膚アトラス BRAIN and NERVE 2019; 71(4): 334-338

トップ   新規 一覧 検索 最終更新   ヘルプ   最終更新のRSS