Wikipathologica-KDP

To End

Juvenile xanthogranuloma 若年性黄色肉芽腫

1歳 男児. 右鼻孔部腫瘤

macro-01.jpg

2ヵ月前, 腫瘤のある部位に発赤があったことがスナップ写真で確認できる. 鼻孔皮膚に傷ができて触っているうちに痂皮を形成した.
かさぶたをとっているうちに次第に隆起してきた.皮膚科や小児科で抗生剤の投与や軟膏塗布をうけたが不変, 当院紹介となった.病変の生検検査をおこなう.

赤色調の隆起で頂部は陥凹し, びらん状, 痂皮形成があるように見える. 細血管増生が透見できる. 周囲皮膚との境界は明瞭. 部分生検が施行された.

 

腫瘤組織病理所見

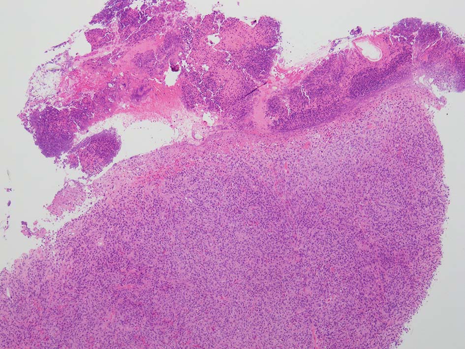
部分生検がおこなわれた.

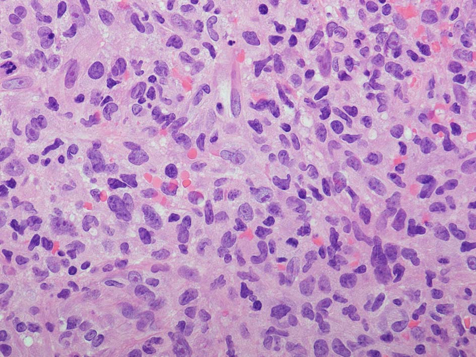
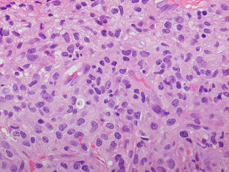
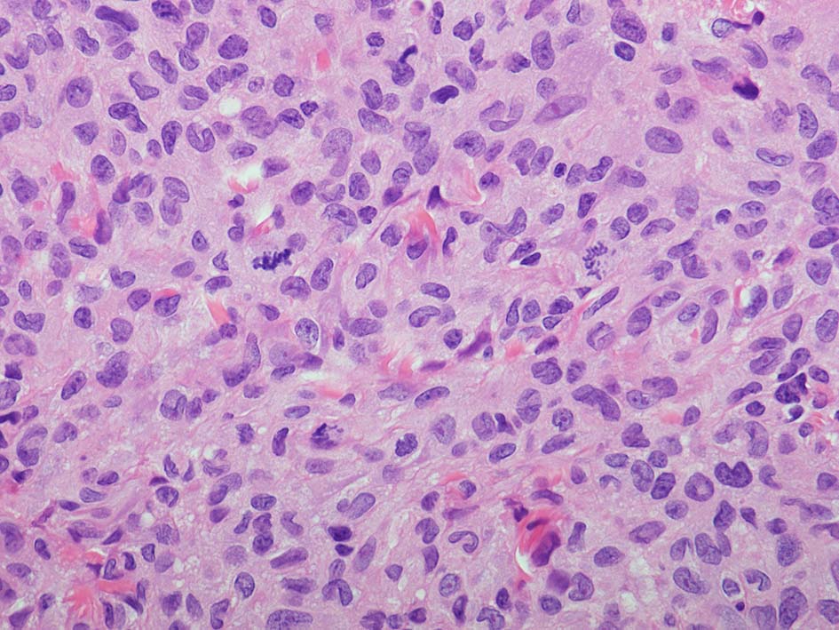
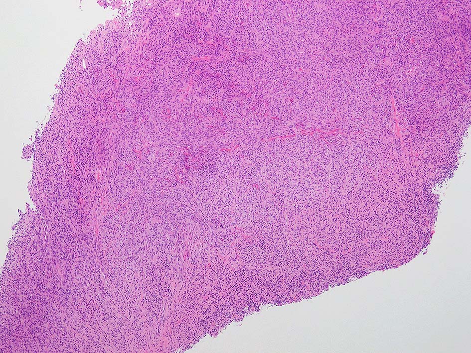
loupe像:表面に痂皮形成. 均等な組織像で,壊死や出血はみられない. 低倍ではspindle cellの密な増殖があるように見える. 拡大所見では, 類円形, 卵円形, ねじれた桿状の核, くびれ,勾玉様の核など不整形な核をもつ細胞が増殖している. クロマチンは繊細な傾向で, 核小体を1個もつ核が認められる. 高倍率10視野で 1-2個の核分裂像が数えられた.

樹状細胞性腫瘍, 組織球性腫瘍, histiocytic sarcoma(あまり異型がめだたない)などを考えて鑑別, 免疫染色をおこなった.

 

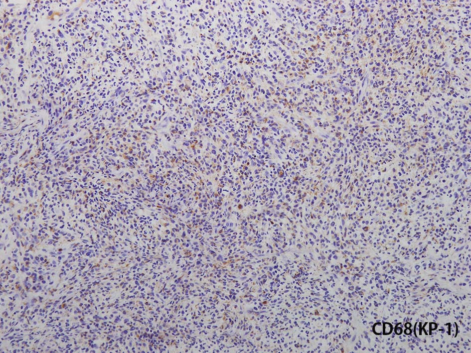
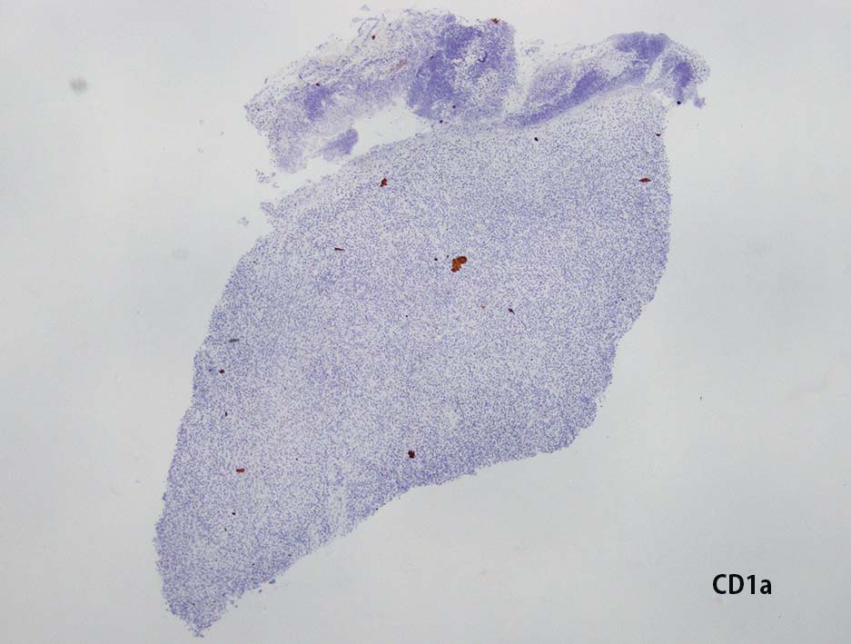
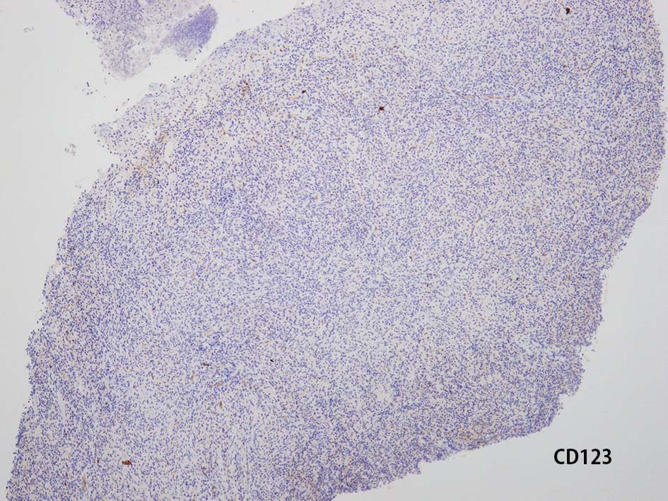
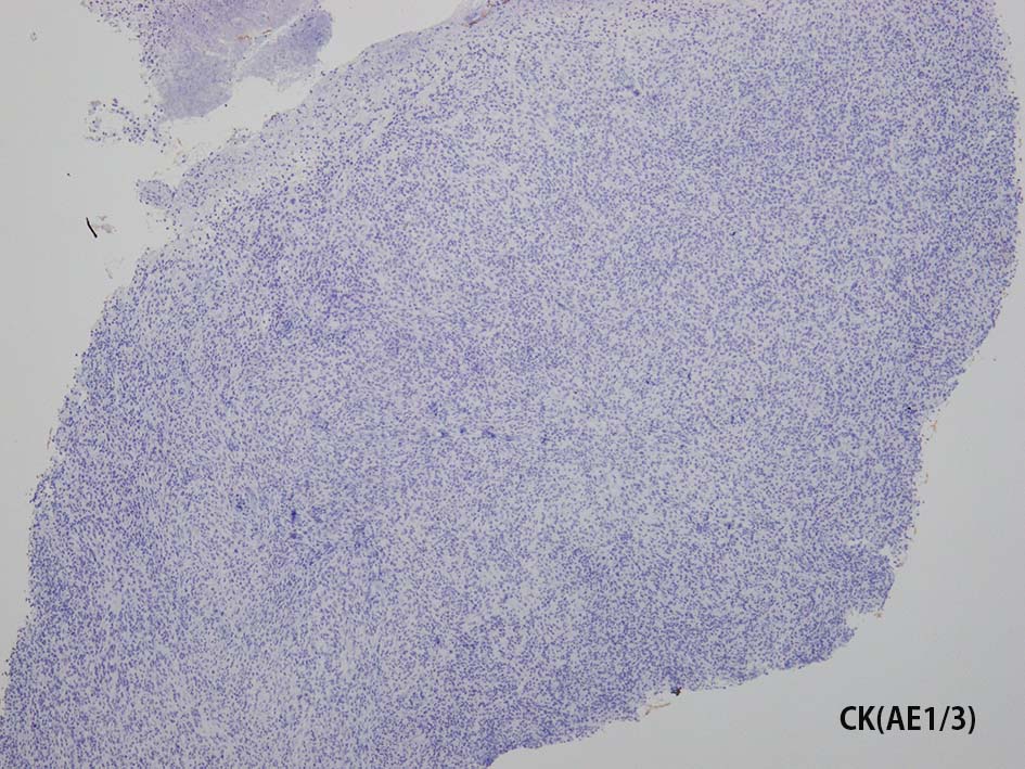
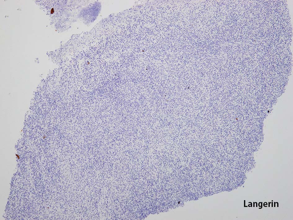
免疫染色

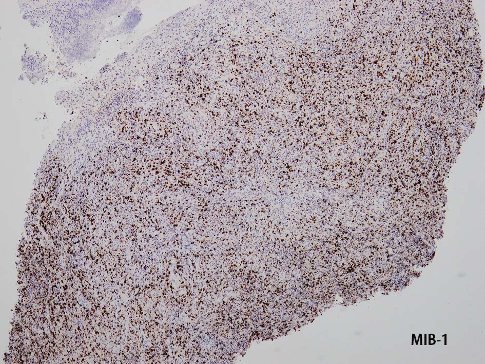
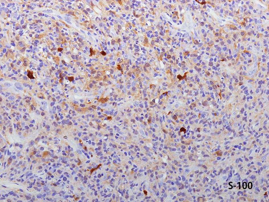
CD20, PAX5, CD3, CD5 リンパ球マーカは陰性. Dendritic cell marker (CD1a, CD123, Langerin, etc)は陰性. S-100, CD168, CD68(KP-1)が陽性. 組織球増殖病変と考えられた. foamy macrophageやgiant cellsはほとんど認められない. 高異型度, 多型細胞の出現はないが, MIB-1 LIが高く, mitosisも増加している, 悪性の心配あり, 治療方針の決定のため consultationを行った.

 

IHCの拡大像. Factor XⅢaの免疫染色画像もここに掲載する.

Pathological Diagnosis

愛知医科大学都築先生にconsultation.

2か月ほどの間に隆起した亜急性病変で, 下記 Juvenile xanthogranulomaの早期病変にあたるのかもしれない, (管理人)

 
 

臨床経過

大学病院に紹介され摘出手術がおこなわれた. 手術検体でも非典型的ではあるものの juvenile xanthogranuloma に矛盾しなかった。
手術検体でも、明瞭な泡沫細胞は指摘できませんでしたが、Tuton型巨細胞が少数確認できた. 免疫染色の結果も、juvenile xanthogranuloma を支持する所見であった。 全身精査を行ったところ、他に病変は見当たらず、単発性であることが確認できた。(大学病理診断担当先生からの報告)

術後2年, 再発なく元気に遊んでいるようです.

 
 

Factor XIIIa:

フィブリノリガーゼ、フィブリン安定化因子としても知られ、血液凝固カスケード(右図)の中で最後に生成される酵素である.

gyohko-cascade.jpg

カルシウム依存性のトランスグルタミナーゼまたはトランスアミド化酵素であり, フィブリン分子間に分子間γ-グルタミル-イプシロン-リジン架橋を形成し、フィブリン凝塊の機械的安定化およびタンパク質分解に対する抵抗性をもたらす。また, ファクターXIIIaは細胞表面の分子や膜を安定化させる働きもあると考えられている.

チオール活性中心を持つCa2+依存性トランスグルタミナーゼは動物組織に広く存在し、細胞増殖、胚発生、乳腺間質および上皮要素の増殖による成長に関連しています。

正常な乳腺間質は、ほとんどのコラーゲン結合組織と同様に、CD34陽性樹状突起間質細胞と,散在するFactor XIIIa陽性コラーゲン関連dendrophageの常在個体群を含んでいる。

ファクターXIIIaは、正常皮膚と炎症性皮膚における発現が調べられてきた。ヒト皮膚におけるFactor XIIIa陽性細胞は、骨髄真皮樹状細胞の特異的な集団であり、単核食細胞に共通する特徴を持つランゲルハンス細胞とは別物である。アトピー性皮膚炎や乾癬などの良性皮膚疾患では、真皮上層にリンパ球と密接に関連したFactor XIIIa陽性細胞が増加していることが報告されている. *1

fileFactor XIIIa_pathology.txt ---病理組織におけるFactor XⅢaの染色態度(text file)

Xanthogranuloma of the neonates

病理組織所見

典型的なJXG細胞は大きく, 細胞質は空胞状で,核は円形または切れ込みをもち, 小さい。細胞は、CD68、fascin、factor XIIIa、CD4で染色されるが、CD1aやCD207(Langerin)では染色されない。*2

Touton giant cellとして知られる、中心部に核を持つ巨細胞が認められる. 時に、emperipolesisが確認される。

JXGの他のvariantとして、早期型と後期型がある.

新たに報告されたALK陽性組織球症は古典的なJXGに類似した泡沫状細胞であるが,不規則に折りたたまれた核と,ALK免疫組織化学で染色されるいくつかの多核細胞である。この所見を有する患者は、TPM3-ALKおよびKIF5B-ALK融合遺伝子の分子生物学的解析を受けるべきである。

ALK陽性組織球症:WHO2022新分類, Dendritic and histiocytic neoplasms項目の新しい疾患


*1  https://shop.leicabiosystems.com/en-jp/ihc-ish/ihc-primary-antibodies/pid-factor-xiiia
*2  Picarsic J, Jaffe R. Nosology and pathology of Langerhans cell histiocytosis. Hematol Oncol Clin North Am 2015;29(5):799-823.
*3  Kemps PG, et al.ALK-positive histiocytosis: a new clinicopathologic spectrum highlighting neurologic involvement and responses to ALK inhibition. Blood 2022;139:256-80.
*4  Chang KTE, et al. ALKpositive histiocytosis: an expanded clinicopathologic spectrum and frequent presence of KIF5B-ALK fusion. Mod Pathol. 2019;32:598-608.
*5  Chan JK, et al.ALK+ histiocytosis: a novel type of systemic histiocytic proliferative disorder of early infancy. Blood.2008;112:2965-8.

トップ   新規 一覧 検索 最終更新   ヘルプ   最終更新のRSS