Bone Marrow Histopathology

Hairy cell leukaemia

定義(WHO 5th classification)

有毛細胞白血病(HCL)は,通常,骨髄,末梢血および脾臓に発現し, 95%以上の症例でBRAF p.V600E体細胞変異を有する、豊富な細胞質と特徴的な毛状突起を有する腫瘍細胞から成る,
低悪性度の成熟B細胞新生物である

WHO 5th HCL --> fileHairy cell leukaemia-WHO5th.txt

Hairy cell leukaemia 有毛細胞性白血病 --疾患説明と診断のページを見る.

BRAF proto-oncogeneのページを見る

HCL case

splenomegaly.jpg

40歳代男性

かかりつけ医で高血圧治療中, 6ヶ月前, WBC1900/μl(neutro 700), RBC 325x104/μl, Hb 12.8g/dl, Plt 5.1x104;. 顆粒球減少, 血小板減少あり.
今回 WBC 1100μl(Neutro 400), RBC 325x104/μl, Hb 11.0g/dl, Plt 3.4x104と血球減少が進行, 紹介となる.

入院し精査. 骨髄はDry tap. CTでは脾腫が認められた. 末梢血には, 芽球, 幼若細胞の出現なし. 骨髄線維症よりもリンパ球系腫瘍が疑われた. 骨髄生検を行う.
生検組織塗抹標本で急性白血病は否定. 自覚症状なく外来での精査可能と判断される.

腹部CT: 脾腫を認める. 脾腹側に4cm大の境界明瞭な腫瘤がみとめられ, 放射線科の診断はリンパ管腫などを疑うとされている.

骨髄生検

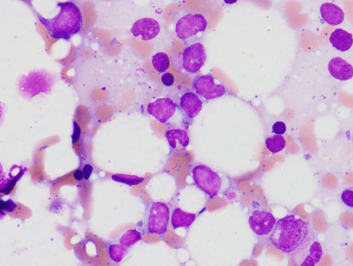
bone marrow trephine biopsy: dry tapのため骨髄生検が行われる. cellularityは40-80%とhypercellular marrow. 流れのある細胞配列は線維化を疑わせる.

 

ASD-G 低倍率所見では赤芽球血島は幼若赤芽球の集簇巣が散在する, 顆粒球系細胞(ASDに赤く染色される)は減少,granulopoietic hypoplasiaを呈する.疎な集簇を示すmast cellsの増加がある.
ASD-G陰性の細胞がびまん性に増加しているように見える.

 

ASD-Giemsa陰性の細胞がシート状に増殖する. 核はクロマチン濃染, 核小体は不明瞭.類円形, 卵円形, くびれを持つ多稜形核, 長円形いびつで屈曲した核, など多彩. 細胞質は淡清色調, 広く淡明. 赤芽球血島は幼若赤芽球のみで形成される異形成像を示す. やや離れて成熟赤芽球が疎な集簇を示す.

 

Ag染色では, 疎な弾性線維が増生し,増殖細胞を小胞巣状に分画するいわゆる「lymphomatoid pattern」を呈する. 本例では, Mgkに異形成所見がある.

 

Immunophenotype

骨髄生検組織を使ったFCMのため, 細胞数が少数であるがCD19, CD20陽性のB-cellが優位で, lambda LC > kappa LCの偏倚がみられclonalな増殖が考えられる. B-cellはCD11c, CD25も発現している. Hairy cell leukaemiaが疑われる. CD103はこのFCMセットには組み込みがなかった.

Hairy-FCM のコピー.jpg ASD-up-PAX5ok.jpg びまん性にPAX5陽性の小型B-cellsが増殖している.

 

増殖細胞はCD20(相変わらずべったり染まる), CD19, PAX5陽性 CD25陽性.

 

BRAF V600E変異タンパクの免疫染色(山梨医大 大石先生に染色していただきました. ベンタナ, Optiview)

BRAF proto-oncogeneのページを見る

Pathological Diagnosis: Hairy cell leukaemia

骨髄病理報告 サンプル

Pathological Diagnosis Slightly hypercellular marrow showing hematopoietic hypoplasia with proliferation of atypical B-cells harboring abundant pale blue cytoplasm; Hairy cell leukaemia, bone marrow biopsy.
CD20+, CD19+, lambda LC>>kappa LC(ISH), CD11c+(FCM), CD25+. BRAF V600E mutant protein-positive.

所見
bone marrow trephine biopsy ca 7mm in length. 診断に十分な長さの組織が採取されている.
cellularityは 60%
赤芽球血島形成は散在性に認められる. 小型で幼若赤芽球からなる血島も多い. M/E =評価困難.
ASD-G染色で赤染する顆粒球系細胞が骨梁に沿って部分的に認められる以外は著明に減少している.
Mgkは 4-5 /mm^2(集簇傾向あり). 小型でbizzarreな核をもつ異形成Mgkが認められる.
骨梁間にクロマチンに濃染する小型類円形から卵円形核,淡青色調のひろい細胞質をもつ異常細胞が増殖, mast cellsの集簇, 増加を伴っている.
増殖細胞の間には赤血球の貯留像がある.
増殖細胞は索状, 流れを示すように配列, 線維化が疑われる所見.

Ag染色 増殖細胞を小型の胞巣に分画するような軽度の弾性線維増生がある. MF-1.

FCMで, 数は少ないが, lambdaLC>>kappa LCの偏倚を呈しclonalな増殖を示すCD20, CD19+ B-cellsの増殖あり, CD11c, CD25陽性. 免疫染色では PAX5+, CD20+, CD19+, CD25+を確認.

骨髄生検組織像, FCM, IHCの結果より, 第一に Hairy cell leukaemiaが疑われる.

[追加染色結果報告]

BRAF V600E mutant proteinのIHC(山梨大学大石Drに依頼)陽性.

 
 

トップ   新規 一覧 検索 最終更新   ヘルプ   最終更新のRSS